JavaScript is disabled in your browser. Please enable JavaScript to view this website.
AB35657

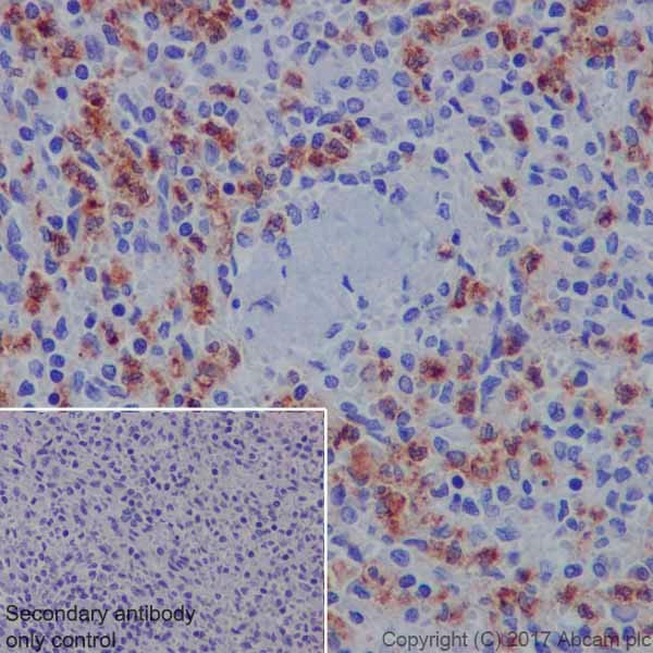
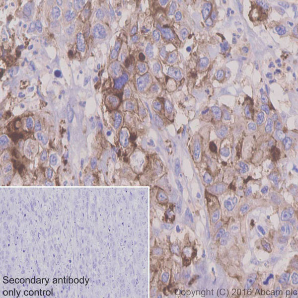
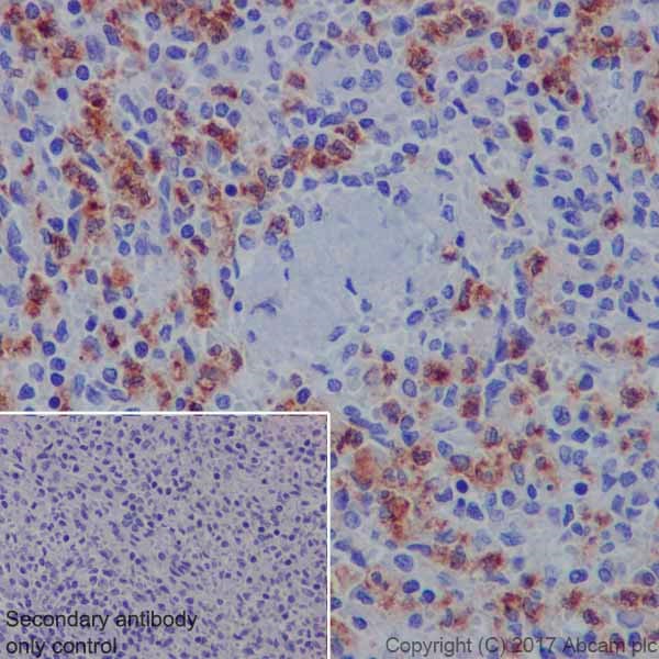
Anti-CEACAM5 antibody [CB30]

Be the first to review this product! Submit a review

|

(1 Publication)

Mouse Monoclonal CEACAM5 antibody. Suitable for ELISA, IHC-P, IHC-Fr and reacts with Human samples. Cited in 1 publication. Immunogen corresponding to Native Full Length Protein corresponding to Human CEACAM5.

View Alternative Names

CD66e, CEA, CEACAM5, Cell adhesion molecule CEACAM5, Carcinoembryonic antigen, Carcinoembryonic antigen-related cell adhesion molecule 5, Meconium antigen 100, CEA cell adhesion molecule 5

Key facts

Host species

Mouse

Clonality

Monoclonal

Clone number

CB30

Isotype

IgG1

Carrier free

No

Reacts with

Human

Applications

IHC-Fr, ELISA, IHC-P

applications

Immunogen

Native Full Length Protein corresponding to Human CEACAM5.

P06731

Reactivity data

{ "title": "Reactivity Data", "filters": { "stats": ["", "Species", "Dilution Info", "Notes"], "tabs": { "all-applications": {"fullname" : "All Applications", "shortname": "All Applications"}, "ELISA" : {"fullname" : "ELISA", "shortname":"ELISA"}, "IHCP" : {"fullname" : "Immunohistochemistry (Formalin/PFA-fixed paraffin-embedded sections)", "shortname":"IHC-P"}, "IHCFr" : {"fullname" : "Immunohistochemistry (Frozen sections)", "shortname":"IHC-Fr"} }, "product-promise": { "all": "all", "testedAndGuaranteed": "tested", "guaranteed": "expected", "predicted": "predicted", "notRecommended": "not-recommended" } }, "values": { "Human": { "ELISA-species-checked": "guaranteed", "ELISA-species-dilution-info": "", "ELISA-species-notes": "<p>Not suitable for use in Sandwich ELISA.</p>", "IHCP-species-checked": "guaranteed", "IHCP-species-dilution-info": "", "IHCP-species-notes": "<p></p>", "IHCFr-species-checked": "guaranteed", "IHCFr-species-dilution-info": "", "IHCFr-species-notes": "<p></p>" } } }

Properties and storage information

Form
Liquid
Purification technique
Affinity purification Protein A
Storage buffer
pH: 7.2 Preservative: 0.09% Sodium azide Constituents: PBS
Shipped at conditions
Blue Ice
Appropriate short-term storage conditions
+4°C
Appropriate long-term storage conditions
-20°C
Aliquoting information
Upon delivery aliquot
Storage information
Avoid freeze / thaw cycle

Supplementary information

This supplementary information is collated from multiple sources and compiled automatically.

CEACAM5 also known as Carcinoembryonic Antigen (CEA) or CD66e is a glycoprotein found mainly on the surface of epithelial cells. This protein has a mass of approximately 180 kDa. It gets expressed in a variety of tissues with high expression in the gastrointestinal tract including the colon and rectum. CEACAM5 is a member of the immunoglobulin superfamily and plays a role in cell adhesion influencing how cells stick to each other.
Biological function summary

CEACAM5 contributes to cellular processes involving cell adhesion and immune response modulation. This protein operates as part of a larger group of cell adhesion molecules and does not function as part of a complex. CEACAM5 can affect the interactions between cells and the extracellular matrix which has implications for tissue structuring and integrity. It helps the immune system recognize and respond to infectious agents or cellular anomalies.

Pathways

CEACAM5 involvement extends to immune response regulation and cell adhesion pathways. It interacts functionally with proteins like E-cadherin in these pathways which contribute to maintaining epithelial integrity. These pathways are critical for normal tissue maintenance and immune system function especially in mucosal surfaces where pathogen entry occurs. Understanding CEACAM5 interactions provides insight into cellular communication and adhesion mechanisms.

CEACAM5 is associated with colorectal cancer and lung adenocarcinoma. Its overexpression and release into the bloodstream make it a popular biomarker for these diseases. CEACAM5 is used in clinical applications such as CEA ELISA assays for cancer detection and monitoring. In colorectal cancer CEACAM5 interacts with proteins like CEACAM6 to promote tumor invasiveness and metastasis. Anti-CEACAM5 therapeutics including antibody-drug conjugates (anti-CEACAM5 ADC) are being developed to target and treat associated malignancies.

Product protocols

For this product, it's our understanding that no specific protocols are required. You can visit:

Target data

Cell surface glycoprotein that plays a role in cell adhesion, intracellular signaling and tumor progression (PubMed : 10864933, PubMed : 10910050, PubMed : 2803308). Mediates homophilic and heterophilic cell adhesion with other carcinoembryonic antigen-related cell adhesion molecules, such as CEACAM6 (PubMed : 2803308). Plays a role as an oncogene by promoting tumor progression; induces resistance to anoikis of colorectal carcinoma cells (PubMed : 10910050).. (Microbial infection) Receptor for E.coli Dr adhesins. Binding of E.coli Dr adhesins leads to dissociation of the homodimer.
See full target information CEACAM5

Publications (1)

Recent publications for all applications. Explore the full list and refine your search

The Journal of pathology 234:34-45 PubMed24797403

2014

Rapidly derived colorectal cancer cultures recapitulate parental cancer characteristics and enable personalized therapeutic assays.

Applications

Unspecified application

Species

Unspecified reactive species

Neil Ashley,Matthew Jones,Djamila Ouaret,Jenny Wilding,Walter F Bodmer
View all publications

Product promise

We are committed to supporting your work with high-quality reagents, and we're here for you every step of the way. In the unlikely event that one of our products does not perform as expected, you're protected by our Product Promise.
For full details, please see our Terms & Conditions

Please note: All products are 'FOR RESEARCH USE ONLY. NOT FOR USE IN DIAGNOSTIC OR THERAPEUTIC PROCEDURES'.

For licensing inquiries, please contact partnerships@abcam.com