JavaScript is disabled in your browser. Please enable JavaScript to view this website.
AB226144

Anti-CEACAM5 antibody [EPCEAR7] - BSA and Azide free

  • BOND RX™ Validated
  • KO Validated
  • RabMAb
  • Recombinant
  • What is this?

Be the first to review this product! Submit a review

|

(1 Publication)

Anti-Carcino Embryonic Antigen CEA antibody [EPCEAR7] - BSA and Azide free (ab226144) is a rabbit recombinant monoclonal antibody provided in a PBS only buffer for easy conjugation detecting CEACAM5 in Western Blot, IHC-P, ICC/IF. Suitable for Human.

- KO validated for confirmed specificity
- BSA, sodium azide, and glycerol-free for easy conjugation
- Biophysical QC for unrivalled batch-batch consistency

View Alternative Names

CD66e, CEA, CEACAM5, Cell adhesion molecule CEACAM5, Carcinoembryonic antigen, Carcinoembryonic antigen-related cell adhesion molecule 5, Meconium antigen 100, CEA cell adhesion molecule 5

15 Images
Immunohistochemistry (Formalin/PFA-fixed paraffin-embedded sections) - Anti-CEACAM5 antibody [EPCEAR7] - BSA and Azide free (AB226144)
  • IHC-P

Unknown

Immunohistochemistry (Formalin/PFA-fixed paraffin-embedded sections) - Anti-CEACAM5 antibody [EPCEAR7] - BSA and Azide free (AB226144)

ab133633 showing negative staining in Normal tonsil tissue.

This data was developed using the same antibody clone in a different buffer formulation containing PBS, BSA, glycerol, and sodium azide (ab133633).

Immunohistochemistry (Formalin/PFA-fixed paraffin-embedded sections) - Anti-CEACAM5 antibody [EPCEAR7] - BSA and Azide free (AB226144)
  • IHC-P

Lab

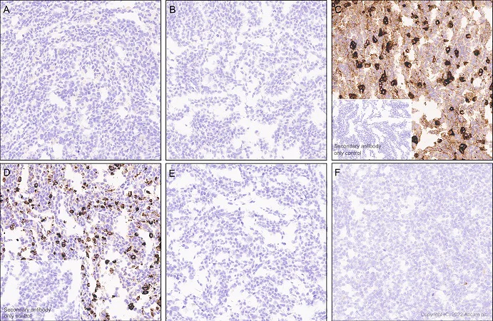
Immunohistochemistry (Formalin/PFA-fixed paraffin-embedded sections) - Anti-CEACAM5 antibody [EPCEAR7] - BSA and Azide free (AB226144)

Immunohistochemistry analysis of paraffin-embedded (A) HEK-293T cells transfected with a CEACAM1 expression vector containing a his tag, (B) HEK-293T cells transfected with a CEACAM3 expression vector containing a his tag, (C) HEK-293T cells transfected with a CEACAM5 expression vector containing a his tag, (D) HEK-293T cells transfected with a CEACAM6 expression vector containing a his tag, (E) HEK-293T cells transfected with a CEACAM8 expression vector containing a his tag and (F) HEK-293T cells transfected with empty vector containing a his tag, sections labelling Carcino Embryonic Antigen CEA with ab133633 at 1/2000 dilution. LeicaDS9800 (Bond™ Polymer Refine Detection) was used as the secondary antibody. Sections were counterstained with Hematoxylin. The section was incubated with ab133633 for 30 mins at room temperature. Heat mediated antigen retrieval with Tris-EDTA buffer (pH 9.0, epitope retrieval solution 2) for 20 mins. Positive staining on HEK-293T cells transfected with a CEACAM5 expression vector containing a his tag (Image C), and HEK-293T cells transfected with a CEACAM6 expression vector containing a his tag (Image D). No staining on other cell pellet tested. The immunostaining was performed on a Leica Biosystems BOND® RX instrument. IHC Note : ab133633 is also cross-reactIve with human CEACAM6 in IHC. This data was developed using the same antibody clone in a different buffer formulation containing PBS, BSA, glycerol, and sodium azide (ab133633).

Immunohistochemistry (Formalin/PFA-fixed paraffin-embedded sections) - Anti-CEACAM5 antibody [EPCEAR7] - BSA and Azide free (AB226144)
  • IHC-P

Unknown

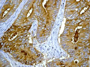
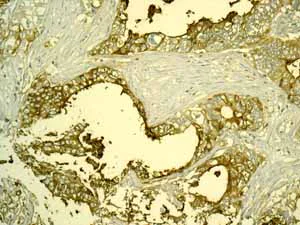
Immunohistochemistry (Formalin/PFA-fixed paraffin-embedded sections) - Anti-CEACAM5 antibody [EPCEAR7] - BSA and Azide free (AB226144)

Immunohistochemical analysis of paraffin embedded Human colon carcinoma tissue labelling Carcino Embryonic Antigen CEA with ab133633 at 1/250.

This data was developed using the same antibody clone in a different buffer formulation containing PBS, BSA, glycerol, and sodium azide (ab133633).

Immunohistochemistry (Formalin/PFA-fixed paraffin-embedded sections) - Anti-CEACAM5 antibody [EPCEAR7] - BSA and Azide free (AB226144)
  • IHC-P

Lab

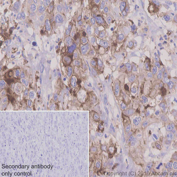
Immunohistochemistry (Formalin/PFA-fixed paraffin-embedded sections) - Anti-CEACAM5 antibody [EPCEAR7] - BSA and Azide free (AB226144)

Immunohistochemistry (Formalin/PFA-fixed paraffin-embedded sections) analysis of Human gastric carcinoma tissue sections labeling Carcino Embryonic Antigen CEA with Purified ab133633 at 1 : 3000 dilution (0.6 μg/ml). Heat mediated antigen retrieval was performed using Perform heat mediated antigen retrieval using EDTA Buffer, PH9. Tissue was counterstained with Hematoxylin. ImmunoHistoProbe one step HRP Polymer (ready to use) secondary antibody was used at 1 : 0 dilution. PBS instead of the primary antibody was used as the negative control.

This data was developed using the same antibody clone in a different buffer formulation containing PBS, BSA, glycerol, and sodium azide (ab133633).

Immunohistochemistry (Formalin/PFA-fixed paraffin-embedded sections) - Anti-CEACAM5 antibody [EPCEAR7] - BSA and Azide free (AB226144)
  • IHC-P

Unknown

Immunohistochemistry (Formalin/PFA-fixed paraffin-embedded sections) - Anti-CEACAM5 antibody [EPCEAR7] - BSA and Azide free (AB226144)

ab133633 showing positive staining in Stomach adenocarcinoma tissue.

This data was developed using the same antibody clone in a different buffer formulation containing PBS, BSA, glycerol, and sodium azide (ab133633).

Immunocytochemistry/ Immunofluorescence - Anti-CEACAM5 antibody [EPCEAR7] - BSA and Azide free (AB226144)
  • ICC/IF

Lab

Immunocytochemistry/ Immunofluorescence - Anti-CEACAM5 antibody [EPCEAR7] - BSA and Azide free (AB226144)

Confocal image showing membranous staining in MCF7 cell line.

Immunocytochemistry/Immunofluorescence analysis of MCF7 (human breast adenocarcinoma cell line) cells labelling carcino embryonic antigen (CEA) with ab133633 at 1/500. Cells were fixed with 4% paraformaldehyde and permeabilized with 0.1% Triton X-100. An Alexa Fluor® 488-conjugated goat anti-rabbit IgG (ab150077) at 1/10000 dilution was used as the secondary antibody. The cells were counterstained with ab195889, a anti-alpha tubulin antibody at 1/200 dilution. DAPI was used as a nuclear counterstain.

Secondary antibody only control : Used PBS instead of primary antibody, followed by Goat Anti-Rabbit IgG H&L (Alexa Fluor® 488) (ab150077) secondary antibody at 1/1000 dilution.

This data was developed using the same antibody clone in a different buffer formulation containing PBS, BSA, glycerol, and sodium azide (ab133633).

Immunohistochemistry (Formalin/PFA-fixed paraffin-embedded sections) - Anti-CEACAM5 antibody [EPCEAR7] - BSA and Azide free (AB226144)
  • IHC-P

Lab

Immunohistochemistry (Formalin/PFA-fixed paraffin-embedded sections) - Anti-CEACAM5 antibody [EPCEAR7] - BSA and Azide free (AB226144)

Immunohistochemistry (Formalin/PFA-fixed paraffin-embedded sections) analysis of Human colon tissue sections labeling Carcino Embryonic Antigen CEA with Purified ab133633 at 1 : 3000 dilution (0.6 μg/ml). Heat mediated antigen retrieval was performed using Perform heat mediated antigen retrieval using EDTA Buffer, PH9. Tissue was counterstained with Hematoxylin. ImmunoHistoProbe one step HRP Polymer (ready to use) secondary antibody was used at 1 : 0 dilution. PBS instead of the primary antibody was used as the negative control.

This data was developed using the same antibody clone in a different buffer formulation containing PBS, BSA, glycerol, and sodium azide (ab133633).

Immunohistochemistry (Formalin/PFA-fixed paraffin-embedded sections) - Anti-CEACAM5 antibody [EPCEAR7] - BSA and Azide free (AB226144)
  • IHC-P

Unknown

Immunohistochemistry (Formalin/PFA-fixed paraffin-embedded sections) - Anti-CEACAM5 antibody [EPCEAR7] - BSA and Azide free (AB226144)

ab133633 showing negative staining in Hepatocellular carcinoma tissue.

This data was developed using the same antibody clone in a different buffer formulation containing PBS, BSA, glycerol, and sodium azide (ab133633).

Western blot - Anti-CEACAM5 antibody [EPCEAR7] - BSA and Azide free (AB226144)
  • WB

Lab

Western blot - Anti-CEACAM5 antibody [EPCEAR7] - BSA and Azide free (AB226144)

This data was developed using ab133633, the same antibody clone in a different buffer formulation.

Exposure time : Lane 1 : 10 seconds; Lane 2 : 180 seconds

We recommend not to boil the sample after lysis to get desirable WB result.

All lanes:

Western blot - Anti-CEACAM5 antibody [EPCEAR7] (<a href='/en-us/products/primary-antibodies/carcino-embryonic-antigen-cea-antibody-epcear7-ab133633'>ab133633</a>)

Lane 1:

Human colon tissue lysate unboiled at 20 µg

Lane 2:

Human colon tissue lysate boiled at 20 µg

Observed band size: 180-200 kDa

false

Western blot - Anti-CEACAM5 antibody [EPCEAR7] - BSA and Azide free (AB226144)
  • WB

Lab

Western blot - Anti-CEACAM5 antibody [EPCEAR7] - BSA and Azide free (AB226144)

This data was developed using the same antibody clone in a different buffer formulation containing PBS, BSA, glycerol, and sodium azide (ab133633). Western blot : Anti-CEACAM5 antibody [EPCEAR7] (ab133633) staining at 1/1000 dilution, shown in green; Mouse anti-CANX [CANX/1543] (ab238078) loading control staining at 1/20000 dilution, shown in magenta. In Western blot, ab133633 was shown to bind specifically to CEACAM5. A band was observed at 160-180 kDa in wild-type A549 cell lysates with no signal observed at this size in CEACAM5 knockout cell line. To generate this image, wild-type and CEACAM5 knockout A549 unboiled cell lysates were analysed. First, samples were run on an SDS-PAGE gel then transferred onto a nitrocellulose membrane. Membranes were blocked in 3% milk in TBS-0.1% Tween® 20 (TBS-T) before incubation with primary antibodies overnight at 4°C. Blots were washed four times in TBS-T, incubated with secondary antibodies for 1 h at room temperature, washed again four times then imaged. Secondary antibodies used were Goat anti-Rabbit IgG H&L 800CW and Goat anti-Mouse IgG H&L 680RD at 1/20000 dilution.

All lanes:

Western blot - Anti-CEACAM5 antibody [EPCEAR7] (<a href='/en-us/products/primary-antibodies/carcino-embryonic-antigen-cea-antibody-epcear7-ab133633'>ab133633</a>) at 1/1000 dilution

Lane 1:

Wild-type A549 cell lysate at 20 µg

Lane 2:

CEACAM5 knockout A549 cell lysate at 20 µg

Lane 2:

Western blot - Human CEACAM5 knockout A549 cell line (ab287319)

Lane 3:

MCF7 (unboiled) cell lysate at 20 µg

Lane 4:

PANC-1 (unboiled) cell lysate at 20 µg

Observed band size: 160-180 kDa

true

Western blot - Anti-CEACAM5 antibody [EPCEAR7] - BSA and Azide free (AB226144)
  • WB

Supplier Data

Western blot - Anti-CEACAM5 antibody [EPCEAR7] - BSA and Azide free (AB226144)

Blocking buffer and concentration :  5% NFDM/TBST.  Diluting buffer and concentration :  5% NFDM/TBST. ab181602 was used as a loading control. We recommend not to boil the sample after lysis to get desirable WB result. This data was developed using the same antibody clone in a different buffer formulation containing PBS, BSA, glycerol, and sodium azide (ab133633).

All lanes:

Western blot - Anti-CEACAM5 antibody [EPCEAR7] (<a href='/en-us/products/primary-antibodies/carcino-embryonic-antigen-cea-antibody-epcear7-ab133633'>ab133633</a>) at 1/1000 dilution

Lane 1:

BxPC-3 (Human pancreas adenocarcinoma epithelial cell) whole cell lysate boiled at 20 µg

Lane 2:

BxPC-3 (Human pancreas adenocarcinoma epithelial cell) whole cell lysate unboiled at 20 µg

Lane 3:

MCF7 (Human breast adenocarcinoma epithelial cell) whole cell lysate boiled at 20 µg

Lane 4:

MCF7 (Human breast adenocarcinoma epithelial cell) whole cell lysate unboiled at 20 µg

Secondary

All lanes:

Western blot - Goat Anti-Rabbit IgG H&L (HRP) (<a href='/en-us/products/secondary-antibodies/goat-rabbit-igg-h-l-hrp-ab97051'>ab97051</a>) at 1/20000 dilution

Predicted band size: 76 kDa

Observed band size: 180-200 kDa

false

Exposure time: 3s

Immunohistochemistry (Formalin/PFA-fixed paraffin-embedded sections) - Anti-CEACAM5 antibody [EPCEAR7] - BSA and Azide free (AB226144)
  • IHC-P

Unknown

Immunohistochemistry (Formalin/PFA-fixed paraffin-embedded sections) - Anti-CEACAM5 antibody [EPCEAR7] - BSA and Azide free (AB226144)

ab133633 showing negative staining in Skeletal muscle tissue.

This data was developed using the same antibody clone in a different buffer formulation containing PBS, BSA, glycerol, and sodium azide (ab133633).

Immunohistochemistry (Formalin/PFA-fixed paraffin-embedded sections) - Anti-CEACAM5 antibody [EPCEAR7] - BSA and Azide free (AB226144)
  • IHC-P

Unknown

Immunohistochemistry (Formalin/PFA-fixed paraffin-embedded sections) - Anti-CEACAM5 antibody [EPCEAR7] - BSA and Azide free (AB226144)

ab133633 showing negative staining in Thyroid gland carcinoma tissue.

This data was developed using the same antibody clone in a different buffer formulation containing PBS, BSA, glycerol, and sodium azide (ab133633).

Immunohistochemistry (Formalin/PFA-fixed paraffin-embedded sections) - Anti-CEACAM5 antibody [EPCEAR7] - BSA and Azide free (AB226144)
  • IHC-P

Unknown

Immunohistochemistry (Formalin/PFA-fixed paraffin-embedded sections) - Anti-CEACAM5 antibody [EPCEAR7] - BSA and Azide free (AB226144)

ab133633 showing negative staining in Glioma tissue.

This data was developed using the same antibody clone in a different buffer formulation containing PBS, BSA, glycerol, and sodium azide (ab133633).

Western blot - Anti-CEACAM5 antibody [EPCEAR7] - BSA and Azide free (AB226144)
  • WB

Lab

Western blot - Anti-CEACAM5 antibody [EPCEAR7] - BSA and Azide free (AB226144)

This data was developed using the same antibody clone in a different buffer formulation containing PBS, BSA, glycerol, and sodium azide (ab133633).

Blocking and diluting buffer and concentration : 5% NFDM/TBST

This antibody does not cross-react with human CEACAM1, CEACAM3, CEACAM6, and CEACAM8.

This blot was developed using a high sensitivity ECL substrate. The high-sensitivity ECL substrate used allows for the detection of proteins in the mid-femtogram range.

All lanes:

Western blot - Anti-CEACAM5 antibody [EPCEAR7] (<a href='/en-us/products/primary-antibodies/carcino-embryonic-antigen-cea-antibody-epcear7-ab133633'>ab133633</a>) at 1/1000 dilution

Lane 1:

His-tagged human CEACAM1 recombinant protein (aa 35-428) at 0.02 µg

Lane 2:

His-tagged human CEACAM3 recombinant protein (aa 35-252) at 0.02 µg

Lane 3:

His-tagged human CEACAM5 recombinant protein (aa 35-586) at 0.02 µg

Lane 4:

His-tagged human CEACAM6 recombinant protein (aa 35-320) at 0.02 µg

Lane 5:

His-tagged human CEACAM8 recombinant protein (aa 35-320) at 0.02 µg

Secondary

All lanes:

Western blot - Goat Anti-Rabbit IgG H&L (HRP) (<a href='/en-us/products/secondary-antibodies/goat-rabbit-igg-h-l-hrp-ab97051'>ab97051</a>) at 1/100000 dilution

Predicted band size: 76 kDa

Observed band size: 180 kDa

true

Exposure time: 3min

Key facts

Host species

Rabbit

Clonality

Monoclonal

Clone number

EPCEAR7

Isotype

IgG

Carrier free

Yes

Reacts with

Human

Applications

ICC/IF, IHC-P, WB

applications

Immunogen

The exact immunogen used to generate this antibody is proprietary information.

Reactivity data

{ "title": "Reactivity Data", "filters": { "stats": ["", "Species", "Dilution Info", "Notes"], "tabs": { "all-applications": {"fullname" : "All Applications", "shortname": "All Applications"}, "IHCP" : {"fullname" : "Immunohistochemistry (Formalin/PFA-fixed paraffin-embedded sections)", "shortname":"IHC-P"}, "WB" : {"fullname" : "Western blot", "shortname":"WB"}, "ICCIF" : {"fullname" : "Immunocytochemistry/ Immunofluorescence", "shortname":"ICC/IF"} }, "product-promise": { "all": "all", "testedAndGuaranteed": "tested", "guaranteed": "expected", "predicted": "predicted", "notRecommended": "not-recommended" } }, "values": { "Human": { "IHCP-species-checked": "testedAndGuaranteed", "IHCP-species-dilution-info": "", "IHCP-species-notes": "<p><strong>For unpurified use at 1/250 - 1/500.</strong></p><p><a href='/en-us/products/primary-antibodies/carcino-embryonic-antigen-cea-antibody-epcear7-ab133633'>ab133633</a> is also cross-reactIve with human CEACAM6 in IHC.</p> Perform heat-mediated antigen retrieval with Tris/EDTA buffer pH 9.0 before commencing with IHC staining protocol.", "WB-species-checked": "testedAndGuaranteed", "WB-species-dilution-info": "", "WB-species-notes": "<p>We recommend not to boil the sample after lysis to get desirable WB result.</p>", "ICCIF-species-checked": "testedAndGuaranteed", "ICCIF-species-dilution-info": "", "ICCIF-species-notes": "<p></p>" }, "Recombinant full length protein - Human": { "IHCP-species-checked": "notRecommended", "IHCP-species-dilution-info": "", "IHCP-species-notes": "", "WB-species-checked": "testedAndGuaranteed", "WB-species-dilution-info": "", "WB-species-notes": "<p></p>", "ICCIF-species-checked": "notRecommended", "ICCIF-species-dilution-info": "", "ICCIF-species-notes": "" }, "Transfected cell line - Human": { "IHCP-species-checked": "testedAndGuaranteed", "IHCP-species-dilution-info": "", "IHCP-species-notes": "<p><strong>For unpurified use at 1/250 - 1/500.</strong></p><p><a href='/en-us/products/primary-antibodies/carcino-embryonic-antigen-cea-antibody-epcear7-ab133633'>ab133633</a> is also cross-reactIve with human CEACAM6 in IHC.</p> Perform heat-mediated antigen retrieval with Tris/EDTA buffer pH 9.0 before commencing with IHC staining protocol.", "WB-species-checked": "notRecommended", "WB-species-dilution-info": "", "WB-species-notes": "", "ICCIF-species-checked": "notRecommended", "ICCIF-species-dilution-info": "", "ICCIF-species-notes": "" } } }

Product details

What is this antibody validated in?
Anti-Carcino Embryonic Antigen CEA antibody [EPCEAR7] - BSA and Azide free (ab226144) is a rabbit recombinant monoclonal antibody and is validated for use in Western Blot (WB), Immunohistochemistry (IHC-P), Immunocytochemistry/immunofluorescence (ICC/IF) in Human samples.

What is the molecular weight of CEACAM5?
Anti-Carcino Embryonic Antigen CEA [EPCEAR7] - BSA and Azide free (ab226144) specifically detects a band for CEACAM5 (UniProt: P06731) at a molecular weight of 76kDa.

Trial sizes available!
Test your antibody or perform pre-screening before committing to a larger quantity. Sold in 10µl. Discover our selection of trial-size antibodies.

Specificity confirmed
The specificity of Anti-Carcino Embryonic Antigen CEA antibody [EPCEAR7] - BSA and Azide free (ab226144) has been confirmed by Western blot testing in CEACAM5 Knockout A549 cell line.

Other related products
We have a range of other formats of antibody clone [EPCEAR7] also available for your convenience: ab133633, Alexa Fluor® 488 - ab214868, Carrier free - ab226144

Species reactivity
Mouse, Rat: We have preliminary internal testing data to indicate this antibody may not react with these species.
Please contact us for more information.

Patented technology
Our RabMAb® technology is a patented hybridoma-based technology for making rabbit monoclonal antibodies. For details on our patents, please refer to RabMAb® patents.

What are the advantages of a recombinant monoclonal antibody?
This product is a recombinant monoclonal antibody, which offers several advantages including:

  • - High batch-to-batch consistency and reproducibility
  • - Improved sensitivity and specificity
  • - Long-term security of supply
  • - Animal-free batch production

For more information, read more on recombinant antibodies.

Conjugation ready
Our carrier-free antibodies are typically supplied in a PBS-only formulation, purified and free of BSA, sodium azide and glycerol. This conjugation-ready format is designed for use with fluorochromes, metal isotopes, oligonucleotides, and enzymes, which makes them ideal for antibody labelling, functional and cell-based assays, flow-based assays (e.g. mass cytometry) and Multiplex Imaging applications.

Use our conjugation kits for antibody conjugates that are ready-to-use in as little as 20 minutes with 1 minute hands-on-time and 100% antibody recovery: available for fluorescent dyes, HRP, biotin and gold.

Compatibility
This product is compatible with the Maxpar® Antibody Labeling Kit from Fluidigm, without the need for antibody preparation. Maxpar® is a trademark of Fluidigm Canada Inc.

Properties and storage information

Form
Liquid
Purification technique
Affinity purification Protein A
Storage buffer
pH: 7.2 - 7.4 Constituents: PBS
Shipped at conditions
Blue Ice
Appropriate short-term storage conditions
+4°C
Appropriate long-term storage conditions
+4°C
Storage information
Do Not Freeze

Supplementary information

This supplementary information is collated from multiple sources and compiled automatically.

CEACAM5 also known as Carcinoembryonic Antigen (CEA) or CD66e is a glycoprotein found mainly on the surface of epithelial cells. This protein has a mass of approximately 180 kDa. It gets expressed in a variety of tissues with high expression in the gastrointestinal tract including the colon and rectum. CEACAM5 is a member of the immunoglobulin superfamily and plays a role in cell adhesion influencing how cells stick to each other.
Biological function summary

CEACAM5 contributes to cellular processes involving cell adhesion and immune response modulation. This protein operates as part of a larger group of cell adhesion molecules and does not function as part of a complex. CEACAM5 can affect the interactions between cells and the extracellular matrix which has implications for tissue structuring and integrity. It helps the immune system recognize and respond to infectious agents or cellular anomalies.

Pathways

CEACAM5 involvement extends to immune response regulation and cell adhesion pathways. It interacts functionally with proteins like E-cadherin in these pathways which contribute to maintaining epithelial integrity. These pathways are critical for normal tissue maintenance and immune system function especially in mucosal surfaces where pathogen entry occurs. Understanding CEACAM5 interactions provides insight into cellular communication and adhesion mechanisms.

CEACAM5 is associated with colorectal cancer and lung adenocarcinoma. Its overexpression and release into the bloodstream make it a popular biomarker for these diseases. CEACAM5 is used in clinical applications such as CEA ELISA assays for cancer detection and monitoring. In colorectal cancer CEACAM5 interacts with proteins like CEACAM6 to promote tumor invasiveness and metastasis. Anti-CEACAM5 therapeutics including antibody-drug conjugates (anti-CEACAM5 ADC) are being developed to target and treat associated malignancies.

Product protocols

For this product, it's our understanding that no specific protocols are required. You can visit:

Target data

Cell surface glycoprotein that plays a role in cell adhesion, intracellular signaling and tumor progression (PubMed : 10864933, PubMed : 10910050, PubMed : 2803308). Mediates homophilic and heterophilic cell adhesion with other carcinoembryonic antigen-related cell adhesion molecules, such as CEACAM6 (PubMed : 2803308). Plays a role as an oncogene by promoting tumor progression; induces resistance to anoikis of colorectal carcinoma cells (PubMed : 10910050).. (Microbial infection) Receptor for E.coli Dr adhesins. Binding of E.coli Dr adhesins leads to dissociation of the homodimer.
See full target information CEACAM5

Publications (1)

Recent publications for all applications. Explore the full list and refine your search

Nature immunology 25:2152-2165 PubMed39438660

2024

A longitudinal single-cell atlas of anti-tumour necrosis factor treatment in inflammatory bowel disease.

Applications

Unspecified application

Species

Unspecified reactive species

Tom Thomas,Matthias Friedrich,Charlotte Rich-Griffin,Mathilde Pohin,Devika Agarwal,Julia Pakpoor,Carl Lee,Ruchi Tandon,Aniko Rendek,Dominik Aschenbrenner,Ashwin Jainarayanan,Alexandru Voda,Jacqueline H Y Siu,Raphael Sanches-Peres,Eloise Nee,Dharshan Sathananthan,Dylan Kotliar,Peter Todd,Maria Kiourlappou,Lisa Gartner,Nicholas Ilott,Fadi Issa,Joanna Hester,Jason Turner,Saba Nayar,Jonas Mackerodt,Fan Zhang,Anna Jonsson,Michael Brenner,Soumya Raychaudhuri,Ruth Kulicke,Danielle Ramsdell,Nicolas Stransky,Ray Pagliarini,Piotr Bielecki,Noah Spies,Brian Marsden,Stephen Taylor,Allon Wagner,Paul Klenerman,Alissa Walsh,Mark Coles,Luke Jostins-Dean,Fiona M Powrie,Andrew Filer,Simon Travis,Holm H Uhlig,Calliope A Dendrou,Christopher D Buckley
View all publications

Product promise

We are committed to supporting your work with high-quality reagents, and we're here for you every step of the way. In the unlikely event that one of our products does not perform as expected, you're protected by our Product Promise.
For full details, please see our Terms & Conditions

Please note: All products are 'FOR RESEARCH USE ONLY. NOT FOR USE IN DIAGNOSTIC OR THERAPEUTIC PROCEDURES'.

For licensing inquiries, please contact partnerships@abcam.com