JavaScript is disabled in your browser. Please enable JavaScript to view this website.
AB324846

Anti-CARD9 antibody [EPR28960-64] - BSA and Azide free

  • BOND RX™ Validated
  • Recombinant
  • Advanced Validation
  • RabMAb
  • What is this?

Be the first to review this product! Submit a review

|

(0 Publication)

Rabbit Recombinant Monoclonal CARD9 antibody. Carrier free. Suitable for IHC-P, mIHC and reacts with Human samples.

View Alternative Names

Caspase recruitment domain-containing protein 9, hCARD9, CARD9

6 Images
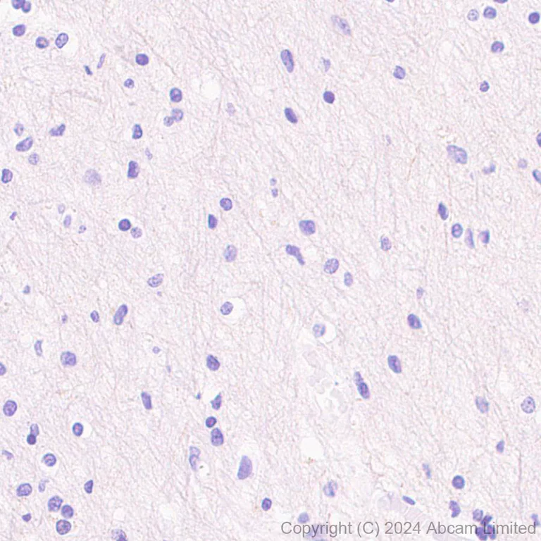
Immunohistochemistry (Formalin/PFA-fixed paraffin-embedded sections) - Anti-CARD9 antibody [EPR28960-64] - BSA and Azide free (AB324846)
  • IHC-P

Supplier Data

Immunohistochemistry (Formalin/PFA-fixed paraffin-embedded sections) - Anti-CARD9 antibody [EPR28960-64] - BSA and Azide free (AB324846)

This data was developed using ab322105, the same antibody clone in a different buffer formulation.

Immunohistochemical analysis of paraffin-embedded Human cerebrum tissue labeling CARD9 with ab322105 at 1/100 (4.99 ug/ml) dilution followed by a ready to use LeicaDS9800 (Bond™ Polymer Refine Detection). Negative control : No staining in human cerebrum. The section was incubated with ab322105 for 30 mins at room temperature. The immunostaining was performed on a Leica Biosystems BOND® RX instrument. Counterstained with Hematoxylin. Secondary antibody only control : Secondary antibody is a ready to use LeicaDS9800 (Bond™ Polymer Refine Detection). Heat mediated antigen retrieval was performed with Tris-EDTA buffer (pH 9.0 Epitope Retrieval Solution2) for 20 mins.

Immunohistochemistry (Formalin/PFA-fixed paraffin-embedded sections) - Anti-CARD9 antibody [EPR28960-64] - BSA and Azide free (AB324846)
  • IHC-P

Supplier Data

Immunohistochemistry (Formalin/PFA-fixed paraffin-embedded sections) - Anti-CARD9 antibody [EPR28960-64] - BSA and Azide free (AB324846)

This data was developed using ab322105, the same antibody clone in a different buffer formulation.

Immunohistochemical analysis of paraffin-embedded Human pancreas tissue labeling CARD9 with ab322105 at 1/100 (4.99 ug/ml) dilution followed by a ready to use LeicaDS9800 (Bond™ Polymer Refine Detection). Negative control : No staining in human pancreas. The section was incubated with ab322105 for 30 mins at room temperature. The immunostaining was performed on a Leica Biosystems BOND® RX instrument. Counterstained with Hematoxylin. Secondary antibody only control : Secondary antibody is a ready to use LeicaDS9800 (Bond™ Polymer Refine Detection). Heat mediated antigen retrieval was performed with Tris-EDTA buffer (pH 9.0 Epitope Retrieval Solution2) for 20 mins.

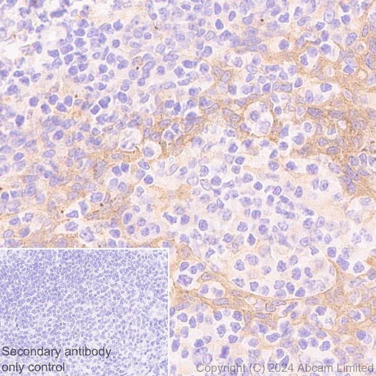
Immunohistochemistry (Formalin/PFA-fixed paraffin-embedded sections) - Anti-CARD9 antibody [EPR28960-64] - BSA and Azide free (AB324846)
  • IHC-P

Supplier Data

Immunohistochemistry (Formalin/PFA-fixed paraffin-embedded sections) - Anti-CARD9 antibody [EPR28960-64] - BSA and Azide free (AB324846)

This data was developed using ab322105, the same antibody clone in a different buffer formulation.

Immunohistochemical analysis of paraffin-embedded Human tonsil tissue labeling CARD9 with ab322105 at 1/100 (4.99 ug/ml) dilution followed by a ready to use LeicaDS9800 (Bond™ Polymer Refine Detection). Positive staining in human tonsil. The section was incubated with ab322105 for 30 mins at room temperature. The immunostaining was performed on a Leica Biosystems BOND® RX instrument. Counterstained with Hematoxylin. Secondary antibody only control : Secondary antibody is a ready to use LeicaDS9800 (Bond™ Polymer Refine Detection). Heat mediated antigen retrieval was performed with Tris-EDTA buffer (pH 9.0 Epitope Retrieval Solution2) for 20 mins.

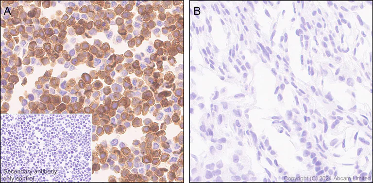
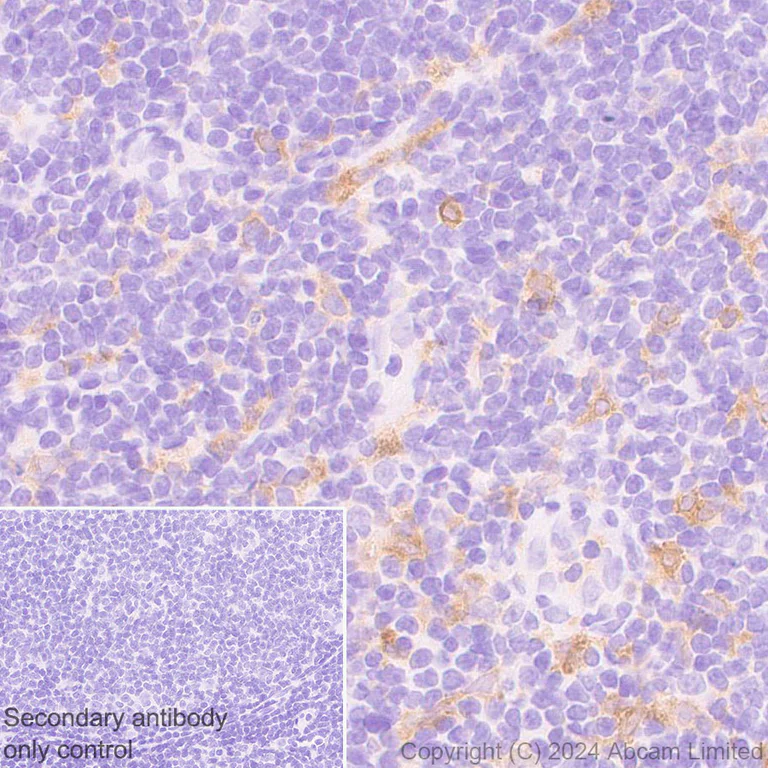
Immunohistochemistry (Formalin/PFA-fixed paraffin-embedded sections) - Anti-CARD9 antibody [EPR28960-64] - BSA and Azide free (AB324846)
  • IHC-P

Supplier Data

Immunohistochemistry (Formalin/PFA-fixed paraffin-embedded sections) - Anti-CARD9 antibody [EPR28960-64] - BSA and Azide free (AB324846)

This data was developed using ab322105, the same antibody clone in a different buffer formulation.

Immunohistochemical analysis of paraffin-embedded Human non-Hodgkin's lymphoma tissue labeling CARD9 with ab322105 at 1/100 (4.99 ug/ml) dilution followed by a ready to use LeicaDS9800 (Bond™ Polymer Refine Detection). Positive staining in human non-Hodgkin's lymphoma. The section was incubated with ab322105 for 30 mins at room temperature. The immunostaining was performed on a Leica Biosystems BOND® RX instrument. Counterstained with Hematoxylin. Secondary antibody only control : Secondary antibody is a ready to use LeicaDS9800 (Bond™ Polymer Refine Detection). Heat mediated antigen retrieval was performed with Tris-EDTA buffer (pH 9.0 Epitope Retrieval Solution2) for 20 mins.

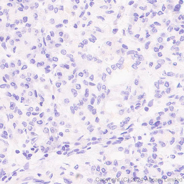
Immunohistochemistry (Formalin/PFA-fixed paraffin-embedded sections) - Anti-CARD9 antibody [EPR28960-64] - BSA and Azide free (AB324846)
  • IHC-P

Supplier Data

Immunohistochemistry (Formalin/PFA-fixed paraffin-embedded sections) - Anti-CARD9 antibody [EPR28960-64] - BSA and Azide free (AB324846)

This data was developed using ab322105, the same antibody clone in a different buffer formulation.

Immunohistochemical analysis of paraffin-embedded (A) THP-1 (human monocytic leukemia monocyte) cell pellets; (B) A549 (human lung carcinoma epithelial cell) cell pellets tissue labeling CARD9 with ab322105 at 1/1000 (0.499 ug/ml) dilution followed by a ready to use LeicaDS9800 (Bond™ Polymer Refine Detection). Positive staining in (A) THP-1 (human monocytic leukemia monocyte) cell pellets and no signal in (B) A549 (human lung carcinoma epithelial cell) cell pellets. The section was incubated with ab322105 for 30 mins at room temperature. The immunostaining was performed on a Leica Biosystems BOND® RX instrument. Counterstained with Hematoxylin. Secondary antibody only control : Secondary antibody is a ready to use LeicaDS9800 (Bond™ Polymer Refine Detection). Heat mediated antigen retrieval was performed with Tris-EDTA buffer (pH 9.0 Epitope Retrieval Solution2) for 20 mins.

Multiplex immunohistochemistry - Anti-CARD9 antibody [EPR28960-64] - BSA and Azide free (AB324846)
  • mIHC

Supplier Data

Multiplex immunohistochemistry - Anti-CARD9 antibody [EPR28960-64] - BSA and Azide free (AB324846)

This data was developed using ab322105, the same antibody clone in a different buffer formulation.

Multiplex immunohistochemistry analysis of formalin/PFA-fixed paraffin-embedded human tonsil tissue staining CARD9 with ab322105 at a 1/100 (4.99 µg/ml) dilution ab313648 anti-CSF-1-R used at 1/100 (5.26 µg/ml) dilution.

Panel A : merged staining of anti-CARD9 (green; Opal™520) and anti-CSF-1-R (magenta; Opal™570) on human tonsil.

Panel B : anti-CARD9 staining immune cells in human tonsil.

Panel C : anti-CSF-1-R staining macrophages and monocytes in human tonsil.

Panel D : Nuclear DNA was labeled with DAPI (shown in blue).

The section was incubated in three rounds of staining : in the order of ab322105 and ab313648 for 30 mins at room temperature. Each round was followed by a separate fluorescent tyramide signal amplification system.

The immunostaining was performed on a Leica Biosystems BOND® RX instrument with an Opal™ 4-color kit. Image acquisition was performed with Leica SP8 confocal microscope.

Nuclear counter stain with DAPI.

Heat mediated antigen retrieval with Tris-EDTA buffer (pH 9.0 epitope retrieval solution2) for 20 mins.

Key facts

Host species

Rabbit

Clonality

Monoclonal

Clone number

EPR28960-64

Isotype

IgG

Carrier free

Yes

Reacts with

Human

Applications

IHC-P, mIHC

applications

Immunogen

The exact immunogen used to generate this antibody is proprietary information.

Reactivity data

{ "title": "Reactivity Data", "filters": { "stats": ["", "Species", "Dilution Info", "Notes"], "tabs": { "all-applications": {"fullname" : "All Applications", "shortname": "All Applications"}, "ICCIF" : {"fullname" : "Immunocytochemistry/ Immunofluorescence", "shortname":"ICC/IF"}, "IHCP" : {"fullname" : "Immunohistochemistry (Formalin/PFA-fixed paraffin-embedded sections)", "shortname":"IHC-P"}, "WB" : {"fullname" : "Western blot", "shortname":"WB"}, "mIHC" : {"fullname" : "Multiplex immunohistochemistry", "shortname":"mIHC"} }, "product-promise": { "all": "all", "testedAndGuaranteed": "tested", "guaranteed": "expected", "predicted": "predicted", "notRecommended": "not-recommended" } }, "values": { "Human": { "ICCIF-species-checked": "notRecommended", "ICCIF-species-dilution-info": "", "ICCIF-species-notes": "<p></p>", "IHCP-species-checked": "testedAndGuaranteed", "IHCP-species-dilution-info": "", "IHCP-species-notes": "<p></p> Perform heat-mediated antigen retrieval with Tris/EDTA buffer pH 9.0 before commencing with IHC staining protocol.", "WB-species-checked": "notRecommended", "WB-species-dilution-info": "", "WB-species-notes": "<p></p>", "mIHC-species-checked": "testedAndGuaranteed", "mIHC-species-dilution-info": "", "mIHC-species-notes": "<p></p> Perform heat-mediated antigen retrieval with Tris/EDTA buffer pH 9.0 before commencing with IHC staining protocol." }, "Mouse": { "ICCIF-species-checked": "notRecommended", "ICCIF-species-dilution-info": "", "ICCIF-species-notes": "<p></p>", "IHCP-species-checked": "notRecommended", "IHCP-species-dilution-info": "", "IHCP-species-notes": "", "WB-species-checked": "notRecommended", "WB-species-dilution-info": "", "WB-species-notes": "<p></p>", "mIHC-species-checked": "notRecommended", "mIHC-species-dilution-info": "", "mIHC-species-notes": "" } } }

Product details

ab324846 is the carrier-free version of ab322105.

Patented technology
Our RabMAb® technology is a patented hybridoma-based technology for making rabbit monoclonal antibodies. For details on our patents, please refer to RabMAb® patents.

What are the advantages of a recombinant monoclonal antibody?
This product is a recombinant monoclonal antibody, which offers several advantages including:

  • - High batch-to-batch consistency and reproducibility
  • - Improved sensitivity and specificity
  • - Long-term security of supply
  • - Animal-free batch production

For more information, read more on recombinant antibodies.

Conjugation ready
Our carrier-free antibodies are typically supplied in a PBS-only formulation, purified and free of BSA, sodium azide and glycerol. This conjugation-ready format is designed for use with fluorochromes, metal isotopes, oligonucleotides, and enzymes, which makes them ideal for antibody labelling, functional and cell-based assays, flow-based assays (e.g. mass cytometry) and Multiplex Imaging applications.

Use our conjugation kits for antibody conjugates that are ready-to-use in as little as 20 minutes with 1 minute hands-on-time and 100% antibody recovery: available for fluorescent dyes, HRP, biotin and gold.

Compatibility
This product is compatible with the Maxpar® Antibody Labeling Kit from Fluidigm, without the need for antibody preparation. Maxpar® is a trademark of Fluidigm Canada Inc.

Properties and storage information

Form
Liquid
Purification technique
Affinity purification Protein A
Storage buffer
pH: 7.2 - 7.4 Constituents: 100% PBS
Shipped at conditions
Blue Ice
Appropriate short-term storage conditions
+4°C
Appropriate long-term storage conditions
+4°C

Product protocols

For this product, it's our understanding that no specific protocols are required. You can visit:

Target data

Adapter protein that plays a key role in innate immune response against fungi by forming signaling complexes downstream of C-type lectin receptors (PubMed : 26961233, PubMed : 33558980). CARD9-mediated signals are essential for antifungal immunity against a subset of fungi from the phylum Ascomycota (PubMed : 24231284, PubMed : 25057046, PubMed : 25702837, PubMed : 26521038, PubMed : 26679537, PubMed : 26961233, PubMed : 27777981, PubMed : 29080677, PubMed : 33558980). Transduces signals in myeloid cells downstream of C-type lectin receptors CLEC7A (dectin-1), CLEC6A (dectin-2) and CLEC4E (Mincle), which detect pathogen-associated molecular pattern metabolites (PAMPs), such as fungal carbohydrates, and trigger CARD9 activation (By similarity). Upon activation, CARD9 homooligomerizes to form a nucleating helical template that recruits BCL10 via CARD-CARD interaction, thereby promoting polymerization of BCL10 and subsequent recruitment of MALT1 : this leads to activation of NF-kappa-B and MAP kinase p38 (MAPK11, MAPK12, MAPK13 and/or MAPK14) pathways which stimulate expression of genes encoding pro-inflammatory cytokines and chemokines (PubMed : 11053425, PubMed : 26488816, PubMed : 26961233, PubMed : 31296852, PubMed : 33558980). CARD9 signaling in antigen-presenting cells links innate sensing of fungi to the activation of adaptive immunity and provides a cytokine milieu that induces the development and subsequent of interleukin 17-producing T helper (Th17) cells (PubMed : 24231284). Also involved in activation of myeloid cells via classical ITAM-associated receptors and TLR : required for TLR-mediated activation of MAPK, while it is not required for TLR-induced activation of NF-kappa-B (By similarity). CARD9 can also be engaged independently of BCL10 : forms a complex with RASGRF1 downstream of C-type lectin receptors, which recruits and activates HRAS, leading to ERK activation and the production of cytokines (By similarity). Acts as an important regulator of the intestinal commensal fungi (mycobiota) component of the gut microbiota (PubMed : 33548172). Plays an essential role in antifungal immunity against dissemination of gut fungi : acts by promoting induction of antifungal IgG antibodies response in CX3CR1(+) macrophages to confer protection against disseminated C.albicans or C.auris infection (PubMed : 33548172). Also mediates immunity against other pathogens, such as certain bacteria, viruses and parasites; CARD9 signaling is however redundant with other innate immune responses (By similarity). In response to L.monocytogenes infection, required for the production of inflammatory cytokines activated by intracellular peptidoglycan : acts by connecting NOD2 recognition of peptidoglycan to downstream activation of MAP kinases (MAPK) without activating NF-kappa-B (By similarity).
See full target information CARD9

Product promise

We are committed to supporting your work with high-quality reagents, and we're here for you every step of the way. In the unlikely event that one of our products does not perform as expected, you're protected by our Product Promise.
For full details, please see our Terms & Conditions

Please note: All products are 'FOR RESEARCH USE ONLY. NOT FOR USE IN DIAGNOSTIC OR THERAPEUTIC PROCEDURES'.

For licensing inquiries, please contact partnerships@abcam.com