JavaScript is disabled in your browser. Please enable JavaScript to view this website.
AB322352

Anti-CARD9 antibody [EPR28960-91]

Be the first to review this product! Submit a review

|

(0 Publication)

Rabbit Recombinant Monoclonal CARD9 antibody. Suitable for Flow Cyt (Intra), WB and reacts with Human, Mouse samples.

View Alternative Names

Caspase recruitment domain-containing protein 9, hCARD9, CARD9

4 Images
Flow Cytometry (Intracellular) - Anti-CARD9 antibody [EPR28960-91] (AB322352)
  • Flow Cyt (Intra)

Lab

Flow Cytometry (Intracellular) - Anti-CARD9 antibody [EPR28960-91] (AB322352)

Flow cytometric analysis of 4% paraformaldehyde fixed 90% methanol permeabilized A549 (human lung carcinoma epithelial cell, Left) / THP-1 (human monocytic leukemia monocyte, Right) cells labelling CARD9 with ab322352 at 1/5000 (Red) compared with a Rabbit monoclonal IgG (ab172730) (Black) isotype control and an unlabelled control (cells without incubation with primary antibody and secondary antibody) (Blue).

Goat Anti-Rabbit IgG (Alexa Fluor® 488, ab150081 at 1/5000 was used as the secondary antibody.

Low expression : A549.

Flow Cytometry (Intracellular) - Anti-CARD9 antibody [EPR28960-91] (AB322352)
  • Flow Cyt (Intra)

Lab

Flow Cytometry (Intracellular) - Anti-CARD9 antibody [EPR28960-91] (AB322352)

Flow cytometric analysis of 4% paraformaldehyde fixed 90% methanol permeabilized MEF (mouse embryo fibroblast, Left)/ RAW 264.7 (mouse Abelson murine leukemia virus-induced tumor macrophage, Right) cells labelling CARD9 with ab322352 at 1/5000 (Red) compared with a Rabbit monoclonal IgG (ab172730) (Black) isotype control and an unlabelled control (cells without incubation with primary antibody and secondary antibody) (Blue).

Goat Anti-Rabbit IgG (Alexa Fluor® 488, ab150081 at 1/5000 was used as the secondary antibody.

Negative Control : MEF.

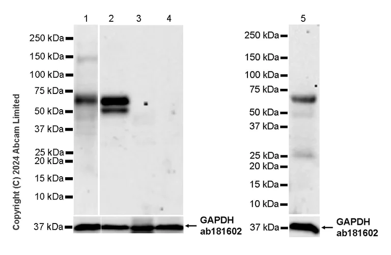
Western blot - Anti-CARD9 antibody [EPR28960-91] (AB322352)
  • WB

Supplier Data

Western blot - Anti-CARD9 antibody [EPR28960-91] (AB322352)

Blocking and diluting buffer and concentration : 5% NFDM/TBST.

Low expression : A549 (PMID : 32164050 ), 293T (PMID : 33558980).

The expression profile/ molecular weight observed is consistent with what has been described in the literature(PMID : 32164050), This antibody can recognize 3 isoforms of CARD9 and isoforms have different molecular weight.

The identity of the higher MW band at 150 kDa (in lane 1) is unknown.

The identity of the lower MW band at 25 kDa (in lane 5) is unknown.

This blot of lane 1 and lane 5 was developed using a high-sensitivity ECL substrate, allowing for the detection of proteins in the mid-femtogram range.

In Western blot, Anti-GAPDH antibody [EPR16891] - Loading Control (ab181602) staining at 1/200000 dilution.

All lanes:

Western blot - Anti-CARD9 antibody [EPR28960-91] (ab322352) at 1/1000 dilution

Lane 1:

K-562 (human chronic myelogenous leukemia lymphoblast) whole cell lysate at 20 µg

Lane 2:

THP-1 (human monocytic leukemia monocyte) whole cell lysate at 20 µg

Lane 3:

A549 (human lung carcinoma epithelial cell) whole cell lysate at 20 µg

Lane 4:

293T (human embryonic kidney epithelial cell) whole cell lysate at 20 µg

Lane 5:

Human bone marrow tissue lysate at 40 µg

Secondary

All lanes:

Western blot - Goat Anti-Rabbit IgG H&L (HRP) (<a href='/en-us/products/secondary-antibodies/goat-rabbit-igg-h-l-hrp-ab97051'>ab97051</a>) at 1/20000 dilution

Observed band size: 43-62 kDa,36 kDa

false

Exposure time: 180s

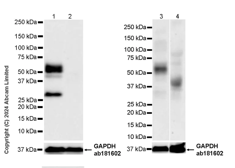
Western blot - Anti-CARD9 antibody [EPR28960-91] (AB322352)
  • WB

Supplier Data

Western blot - Anti-CARD9 antibody [EPR28960-91] (AB322352)

Blocking and diluting buffer and concentration : 5% NFDM/TBST.

Negative control : MEF.

Low expression : skeletal muscle (PMID : 11053425).

The expression profile/ molecular weight observed is consistent with what has been described in the literature(PMID : 32164050), This antibody can recognize 3 isoforms of CARD9 and isoforms have different molecular weight.

The identity of the lower MW band at about 30 kDa (in lane 1) is unknown.

The identity of the higher MW bands at about 100 kDa and the lower MW bands at about 40 kDa (in lane 4) are unknown.

This blot of lanes 3-4 was developed using a high-sensitivity ECL substrate, allowing for the detection of proteins in the mid-femtogram range.

In Western blot, Anti-GAPDH antibody [EPR16891] - Loading Control (ab181602) staining at 1/200000 dilution.

All lanes:

Western blot - Anti-CARD9 antibody [EPR28960-91] (ab322352) at 1/1000 dilution

Lane 1:

RAW 264.7 (mouse Abelson murine leukemia virus-induced tumor macrophage) whole cell lysate at 40 µg

Lane 2:

MEF (mouse embryo fibroblast) whole cell lysate at 40 µg

Lane 3:

Mouse spleen tissue lysate at 40 µg

Lane 4:

Mouse skeletal muscle lysate at 40 µg

Secondary

All lanes:

Western blot - Goat Anti-Rabbit IgG H&L (HRP) (<a href='/en-us/products/secondary-antibodies/goat-rabbit-igg-h-l-hrp-ab97051'>ab97051</a>) at 1/20000 dilution

Observed band size: 43-62 kDa,36 kDa

false

Exposure time: 136s

Key facts

Host species

Rabbit

Clonality

Monoclonal

Clone number

EPR28960-91

Isotype

IgG

Carrier free

No

Reacts with

Human, Mouse

Applications

WB, Flow Cyt (Intra)

applications

Immunogen

The exact immunogen used to generate this antibody is proprietary information.

Reactivity data

{ "title": "Reactivity Data", "filters": { "stats": ["", "Species", "Dilution Info", "Notes"], "tabs": { "all-applications": {"fullname" : "All Applications", "shortname": "All Applications"}, "FlowCytIntra" : {"fullname" : "Flow Cytometry (Intracellular)", "shortname":"Flow Cyt (Intra)"}, "WB" : {"fullname" : "Western blot", "shortname":"WB"}, "ICCIF" : {"fullname" : "Immunocytochemistry/ Immunofluorescence", "shortname":"ICC/IF"}, "IHCP" : {"fullname" : "Immunohistochemistry (Formalin/PFA-fixed paraffin-embedded sections)", "shortname":"IHC-P"} }, "product-promise": { "all": "all", "testedAndGuaranteed": "tested", "guaranteed": "expected", "predicted": "predicted", "notRecommended": "not-recommended" } }, "values": { "Human": { "FlowCytIntra-species-checked": "testedAndGuaranteed", "FlowCytIntra-species-dilution-info": "1/5000", "FlowCytIntra-species-notes": "<p></p>", "WB-species-checked": "testedAndGuaranteed", "WB-species-dilution-info": "1/1000", "WB-species-notes": "<p></p>", "ICCIF-species-checked": "notRecommended", "ICCIF-species-dilution-info": "", "ICCIF-species-notes": "<p></p>", "IHCP-species-checked": "notRecommended", "IHCP-species-dilution-info": "", "IHCP-species-notes": "<p></p>" }, "Mouse": { "FlowCytIntra-species-checked": "testedAndGuaranteed", "FlowCytIntra-species-dilution-info": "1/5000", "FlowCytIntra-species-notes": "<p></p>", "WB-species-checked": "testedAndGuaranteed", "WB-species-dilution-info": "1/1000", "WB-species-notes": "<p></p>", "ICCIF-species-checked": "notRecommended", "ICCIF-species-dilution-info": "", "ICCIF-species-notes": "<p></p>", "IHCP-species-checked": "notRecommended", "IHCP-species-dilution-info": "", "IHCP-species-notes": "<p></p>" } } }

Product details

Patented technology
Our RabMAb® technology is a patented hybridoma-based technology for making rabbit monoclonal antibodies. For details on our patents, please refer to RabMAb® patents.

What are the advantages of a recombinant monoclonal antibody?
This product is a recombinant monoclonal antibody, which offers several advantages including:

  • - High batch-to-batch consistency and reproducibility
  • - Improved sensitivity and specificity
  • - Long-term security of supply
  • - Animal-free batch production

For more information, read more on recombinant antibodies.

Properties and storage information

Form
Liquid
Purification technique
Affinity purification Protein A
Storage buffer
pH: 7.2 - 7.4 Preservative: 0.01% Sodium azide Constituents: PBS, 40% Glycerol (glycerin, glycerine), 0.05% BSA
Shipped at conditions
Blue Ice
Appropriate short-term storage duration
1-2 weeks
Appropriate short-term storage conditions
+4°C
Appropriate long-term storage conditions
-20°C
Aliquoting information
Upon delivery aliquot
Storage information
Avoid freeze / thaw cycle

Product protocols

For this product, it's our understanding that no specific protocols are required. You can visit:

Target data

Adapter protein that plays a key role in innate immune response against fungi by forming signaling complexes downstream of C-type lectin receptors (PubMed : 26961233, PubMed : 33558980). CARD9-mediated signals are essential for antifungal immunity against a subset of fungi from the phylum Ascomycota (PubMed : 24231284, PubMed : 25057046, PubMed : 25702837, PubMed : 26521038, PubMed : 26679537, PubMed : 26961233, PubMed : 27777981, PubMed : 29080677, PubMed : 33558980). Transduces signals in myeloid cells downstream of C-type lectin receptors CLEC7A (dectin-1), CLEC6A (dectin-2) and CLEC4E (Mincle), which detect pathogen-associated molecular pattern metabolites (PAMPs), such as fungal carbohydrates, and trigger CARD9 activation (By similarity). Upon activation, CARD9 homooligomerizes to form a nucleating helical template that recruits BCL10 via CARD-CARD interaction, thereby promoting polymerization of BCL10 and subsequent recruitment of MALT1 : this leads to activation of NF-kappa-B and MAP kinase p38 (MAPK11, MAPK12, MAPK13 and/or MAPK14) pathways which stimulate expression of genes encoding pro-inflammatory cytokines and chemokines (PubMed : 11053425, PubMed : 26488816, PubMed : 26961233, PubMed : 31296852, PubMed : 33558980). CARD9 signaling in antigen-presenting cells links innate sensing of fungi to the activation of adaptive immunity and provides a cytokine milieu that induces the development and subsequent of interleukin 17-producing T helper (Th17) cells (PubMed : 24231284). Also involved in activation of myeloid cells via classical ITAM-associated receptors and TLR : required for TLR-mediated activation of MAPK, while it is not required for TLR-induced activation of NF-kappa-B (By similarity). CARD9 can also be engaged independently of BCL10 : forms a complex with RASGRF1 downstream of C-type lectin receptors, which recruits and activates HRAS, leading to ERK activation and the production of cytokines (By similarity). Acts as an important regulator of the intestinal commensal fungi (mycobiota) component of the gut microbiota (PubMed : 33548172). Plays an essential role in antifungal immunity against dissemination of gut fungi : acts by promoting induction of antifungal IgG antibodies response in CX3CR1(+) macrophages to confer protection against disseminated C.albicans or C.auris infection (PubMed : 33548172). Also mediates immunity against other pathogens, such as certain bacteria, viruses and parasites; CARD9 signaling is however redundant with other innate immune responses (By similarity). In response to L.monocytogenes infection, required for the production of inflammatory cytokines activated by intracellular peptidoglycan : acts by connecting NOD2 recognition of peptidoglycan to downstream activation of MAP kinases (MAPK) without activating NF-kappa-B (By similarity).
See full target information CARD9

Product promise

We are committed to supporting your work with high-quality reagents, and we're here for you every step of the way. In the unlikely event that one of our products does not perform as expected, you're protected by our Product Promise.
For full details, please see our Terms & Conditions

Please note: All products are 'FOR RESEARCH USE ONLY. NOT FOR USE IN DIAGNOSTIC OR THERAPEUTIC PROCEDURES'.

For licensing inquiries, please contact partnerships@abcam.com