JavaScript is disabled in your browser. Please enable JavaScript to view this website.
AB133560

Anti-CARD9 antibody [EPR6489]

Be the first to review this product! Submit a review

|

(2 Publications)

Rabbit Recombinant Monoclonal CARD9 antibody. Suitable for IP, WB and reacts with Human samples. Cited in 2 publications.

View Alternative Names

Caspase recruitment domain-containing protein 9, hCARD9, CARD9

5 Images
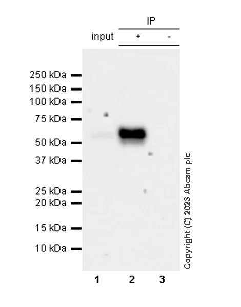
Immunoprecipitation - Anti-CARD9 antibody [EPR6489] (AB133560)
  • IP

Supplier Data

Immunoprecipitation - Anti-CARD9 antibody [EPR6489] (AB133560)

CARD9 was immunoprecipitated from 0.35 mg K-562 (human chronic myelogenous leukemia lymphoblast), whole cell lysate 10 µg with ab133560 at 1/30 dilution (2µg in 0.35mg lysates). Western blot was performed on the immunoprecipitate using ab133560 at 1/1000 dilution. VeriBlot for IP secondary antibody(HRP)(ab131366) was used at 1/5000 dilution.

Lane 1 : K-562 (human chronic myelogenous leukemia lymphoblast), whole cell lysate 10 μg
Lane 2 : ab133560 IP in K-562 whole cell lysate
Lane 3 : Rabbit monoclonal IgG (ab172730) instead of ab133560 in K-562 whole cell lysate

Blocking and dilution buffer and concentration : 5% NFDM/TBST.

All lanes:

Immunoprecipitation - Anti-CARD9 antibody [EPR6489] (ab133560) at 1/30 dilution

All lanes:

K-562 whole cell lysate

Secondary

All lanes:

Immunoprecipitation - VeriBlot for IP Detection Reagent (HRP) (<a href='/en-us/products/reagents/veriblot-for-ip-detection-reagent-hrp-ab131366'>ab131366</a>) at 1/5000 dilution

Observed band size: 62 kDa

false

Exposure time: 15s

Western blot - Anti-CARD9 antibody [EPR6489] (AB133560)
  • WB

Unknown

Western blot - Anti-CARD9 antibody [EPR6489] (AB133560)

All lanes:

Western blot - Anti-CARD9 antibody [EPR6489] (ab133560) at 1/1000 dilution

Lane 1:

K562 cell lysate at 10 µg

Lane 2:

U937 cell lysate at 10 µg

Lane 3:

HL60 cell lysate at 10 µg

Lane 4:

HepG2 cell lysate at 10 µg

Lane 5:

THP1 cell lysate at 10 µg

Secondary

All lanes:

HRP labelled goat anti-rabbit at 1/2000 dilution

Predicted band size: 62 kDa

false

Western blot - Anti-CARD9 antibody [EPR6489] (AB133560)
  • WB

Lab

Western blot - Anti-CARD9 antibody [EPR6489] (AB133560)

Blocking buffer and concentration : 5% NFDM/TBST  Diluting buffer and concentration : 5% NFDM/TBST 293T, A549 and NCI-H1299 are low expressors (PMID : 32164050, PMID : 33558980).

All lanes:

Western blot - Anti-CARD9 antibody [EPR6489] (ab133560) at 1/1000 dilution

Lane 1:

THP-1(Human monocytic leukemia monocyte) whole cell lysate at 20 µg

Lane 2:

293T (Human embryonic kidney epithelial cell) whole cell lysate at 20 µg

Lane 3:

A549 (Human lung carcinoma epithelial cell) whole cell lysate at 20 µg

Lane 4:

NCI-H1299 (Human lung carcinoma epithelial cell) whole cell lysate at 20 µg

Secondary

All lanes:

Western blot - Goat Anti-Rabbit IgG H&L (HRP) (<a href='/en-us/products/secondary-antibodies/goat-rabbit-igg-h-l-hrp-ab97051'>ab97051</a>) at 1/20000 dilution

Predicted band size: 62 kDa

Observed band size: 62 kDa

false

Exposure time: 5s

Western blot - Anti-CARD9 antibody [EPR6489] (AB133560)
  • WB

Lab

Western blot - Anti-CARD9 antibody [EPR6489] (AB133560)

This antibody recognizes 2 isforms

All lanes:

Western blot - Anti-CARD9 antibody [EPR6489] (ab133560) at 1/5000 dilution

Lane 1:

K-562 (Human chronic myelogenous leukemia lymphoblast) whole cell lysates at 15 µg

Lane 2:

THP-1 (Human monocytic leukemia monocyte) whole cell lysates at 15 µg

Secondary

All lanes:

Western blot - Goat Anti-Rabbit IgG H&L (HRP) (<a href='/en-us/products/secondary-antibodies/goat-rabbit-igg-h-l-hrp-ab97051'>ab97051</a>) at 1/20000 dilution

Predicted band size: 62 kDa

Observed band size: 52-62 kDa

false

OI-RD Scanning - Anti-CARD9 antibody [EPR6489] (AB133560)
  • OI-RD Scanning

Unknown

OI-RD Scanning - Anti-CARD9 antibody [EPR6489] (AB133560)

We have systematically measured KD (the equilibrium dissociation constant between the antibody and its antigen), of more than 840 recombinant antibodies to assess not only their individual KD values but also to see the average affinity of antibody. Based on the comparison with published literature values for mouse monoclonal antibodies, Recombinant antibodies appear to be on average 1-2 order of magnitude higher affinity.

  • Carrier free

    Anti-CARD9 antibody [EPR6489] - BSA and Azide free

Key facts

Host species

Rabbit

Clonality

Monoclonal

Clone number

EPR6489

Isotype

IgG

Carrier free

No

Reacts with

Human

Applications

IP, WB

applications

Immunogen

The exact immunogen used to generate this antibody is proprietary information.

Reactivity data

{ "title": "Reactivity Data", "filters": { "stats": ["", "Species", "Dilution Info", "Notes"], "tabs": { "all-applications": {"fullname" : "All Applications", "shortname": "All Applications"}, "IP" : {"fullname" : "Immunoprecipitation", "shortname":"IP"}, "WB" : {"fullname" : "Western blot", "shortname":"WB"}, "IHCP" : {"fullname" : "Immunohistochemistry (Formalin/PFA-fixed paraffin-embedded sections)", "shortname":"IHC-P"}, "ICCIF" : {"fullname" : "Immunocytochemistry/ Immunofluorescence", "shortname":"ICC/IF"} }, "product-promise": { "all": "all", "testedAndGuaranteed": "tested", "guaranteed": "expected", "predicted": "predicted", "notRecommended": "not-recommended" } }, "values": { "Human": { "IP-species-checked": "testedAndGuaranteed", "IP-species-dilution-info": "1/30", "IP-species-notes": "<p></p>", "WB-species-checked": "testedAndGuaranteed", "WB-species-dilution-info": "1/1000 - 1/10000", "WB-species-notes": "<p></p>", "IHCP-species-checked": "notRecommended", "IHCP-species-dilution-info": "", "IHCP-species-notes": "<p></p>", "ICCIF-species-checked": "notRecommended", "ICCIF-species-dilution-info": "", "ICCIF-species-notes": "<p></p>" } } }

Product details

Species reactivity
Mouse, Rat: We have preliminary internal testing data to indicate this antibody may not react with these species.
Please contact us for more information.

Patented technology
Our RabMAb® technology is a patented hybridoma-based technology for making rabbit monoclonal antibodies. For details on our patents, please refer to RabMAb® patents.

What are the advantages of a recombinant monoclonal antibody?
This product is a recombinant monoclonal antibody, which offers several advantages including:

  • - High batch-to-batch consistency and reproducibility
  • - Improved sensitivity and specificity
  • - Long-term security of supply
  • - Animal-free batch production

For more information, read more on recombinant antibodies.

Properties and storage information

Form
Liquid
Purification technique
Affinity purification Protein A
Storage buffer
pH: 7.2 - 7.4 Preservative: 0.01% Sodium azide Constituents: 59% PBS, 40% Glycerol (glycerin, glycerine), 0.05% BSA
Shipped at conditions
Blue Ice
Appropriate short-term storage conditions
+4°C
Appropriate long-term storage conditions
-20°C
Storage information
Stable for 12 months at -20°C

Supplementary information

This supplementary information is collated from multiple sources and compiled automatically.

CARD9 also known as Caspase Recruitment Domain Family Member 9 is a signaling protein that plays a critical role in immune cell function. It has a molecular mass of approximately 59 kDa. CARD9 is primarily expressed in myeloid cells including dendritic cells monocytes and macrophages. Its mechanical function involves acting as an adaptor protein in immune signaling pathways allowing it to mediate the interaction between upstream pattern recognition receptors and downstream kinases.
Biological function summary

CARD9 is instrumental in the activation of the immune system’s response to pathogens such as fungi and bacteria. It functions as part of the CARD-Bcl10-MALT1 signaling complex which triggers the activation of NF-kB a transcription factor essential for inflammatory responses. Through its role in this complex CARD9 ensures the regulation of cytokine production which is fundamental for effective immune responses. CARD9's activity supports the defense against pathogenic infections by facilitating communication in immune signaling.

Pathways

CARD9 is involved in critical immune response pathways including the C-type lectin receptor (CLR) pathway. This pathway is essential in recognizing fungal pathogens and initiating immune responses. CARD9 interacts with proteins like Syk and Bcl10 in the CLR pathway to propagate immune signaling. CARD9's role in these pathways highlights its significance in regulating immune activities and maintaining homeostasis through signaling cascades.

CARD9 deficiency can result in impaired immune responses leading to increased susceptibility to fungal infections such as candidiasis. The protein plays an important role in maintaining appropriate immune functions to prevent such conditions. Furthermore dysfunction in CARD9 signaling has been associated with inflammatory bowel diseases. In this context CARD9 interacts with other immune proteins like NOD2 to modulate intestinal inflammation. Understanding CARD9’s role helps in elucidating its potential as a therapeutic target for managing these diseases.

Product protocols

For this product, it's our understanding that no specific protocols are required. You can visit:

Target data

Adapter protein that plays a key role in innate immune response against fungi by forming signaling complexes downstream of C-type lectin receptors (PubMed : 26961233, PubMed : 33558980). CARD9-mediated signals are essential for antifungal immunity against a subset of fungi from the phylum Ascomycota (PubMed : 24231284, PubMed : 25057046, PubMed : 25702837, PubMed : 26521038, PubMed : 26679537, PubMed : 26961233, PubMed : 27777981, PubMed : 29080677, PubMed : 33558980). Transduces signals in myeloid cells downstream of C-type lectin receptors CLEC7A (dectin-1), CLEC6A (dectin-2) and CLEC4E (Mincle), which detect pathogen-associated molecular pattern metabolites (PAMPs), such as fungal carbohydrates, and trigger CARD9 activation (By similarity). Upon activation, CARD9 homooligomerizes to form a nucleating helical template that recruits BCL10 via CARD-CARD interaction, thereby promoting polymerization of BCL10 and subsequent recruitment of MALT1 : this leads to activation of NF-kappa-B and MAP kinase p38 (MAPK11, MAPK12, MAPK13 and/or MAPK14) pathways which stimulate expression of genes encoding pro-inflammatory cytokines and chemokines (PubMed : 11053425, PubMed : 26488816, PubMed : 26961233, PubMed : 31296852, PubMed : 33558980). CARD9 signaling in antigen-presenting cells links innate sensing of fungi to the activation of adaptive immunity and provides a cytokine milieu that induces the development and subsequent of interleukin 17-producing T helper (Th17) cells (PubMed : 24231284). Also involved in activation of myeloid cells via classical ITAM-associated receptors and TLR : required for TLR-mediated activation of MAPK, while it is not required for TLR-induced activation of NF-kappa-B (By similarity). CARD9 can also be engaged independently of BCL10 : forms a complex with RASGRF1 downstream of C-type lectin receptors, which recruits and activates HRAS, leading to ERK activation and the production of cytokines (By similarity). Acts as an important regulator of the intestinal commensal fungi (mycobiota) component of the gut microbiota (PubMed : 33548172). Plays an essential role in antifungal immunity against dissemination of gut fungi : acts by promoting induction of antifungal IgG antibodies response in CX3CR1(+) macrophages to confer protection against disseminated C.albicans or C.auris infection (PubMed : 33548172). Also mediates immunity against other pathogens, such as certain bacteria, viruses and parasites; CARD9 signaling is however redundant with other innate immune responses (By similarity). In response to L.monocytogenes infection, required for the production of inflammatory cytokines activated by intracellular peptidoglycan : acts by connecting NOD2 recognition of peptidoglycan to downstream activation of MAP kinases (MAPK) without activating NF-kappa-B (By similarity).
See full target information CARD9

Publications (2)

Recent publications for all applications. Explore the full list and refine your search

Nature communications 9:4822 PubMed30446641

2018

Cellular metabolism constrains innate immune responses in early human ontogeny.

Applications

Unspecified application

Species

Unspecified reactive species

Bernard Kan,Christina Michalski,Helen Fu,Hilda H T Au,Kelsey Lee,Elizabeth A Marchant,Maye F Cheng,Emily Anderson-Baucum,Michal Aharoni-Simon,Peter Tilley,Raghavendra G Mirmira,Colin J Ross,Dan S Luciani,Eric Jan,Pascal M Lavoie

PLoS pathogens 11:e1005293 PubMed26679537

2015

CARD9-Dependent Neutrophil Recruitment Protects against Fungal Invasion of the Central Nervous System.

Applications

Flow Cyt

Species

Human

Rebecca A Drummond,Amanda L Collar,Muthulekha Swamydas,Carlos A Rodriguez,Jean K Lim,Laura M Mendez,Danielle L Fink,Amy P Hsu,Bing Zhai,Hatice Karauzum,Constantinos M Mikelis,Stacey R Rose,Elise M N Ferre,Lynne Yockey,Kimberly Lemberg,Hye Sun Kuehn,Sergio D Rosenzweig,Xin Lin,Prashant Chittiboina,Sandip K Datta,Thomas H Belhorn,Eric T Weimer,Michelle L Hernandez,Tobias M Hohl,Douglas B Kuhns,Michail S Lionakis
View all publications

Product promise

We are committed to supporting your work with high-quality reagents, and we're here for you every step of the way. In the unlikely event that one of our products does not perform as expected, you're protected by our Product Promise.
For full details, please see our Terms & Conditions

Please note: All products are 'FOR RESEARCH USE ONLY. NOT FOR USE IN DIAGNOSTIC OR THERAPEUTIC PROCEDURES'.

For licensing inquiries, please contact partnerships@abcam.com