JavaScript is disabled in your browser. Please enable JavaScript to view this website.
AB182616

Anti-Cardiac Troponin I antibody [EP1106Y] - BSA and Azide free

Be the first to review this product! Submit a review

|

(5 Publications)

Rabbit Recombinant Monoclonal Cardiac Troponin I antibody. Carrier free. Suitable for IP, WB, IHC-P, Flow Cyt (Intra) and reacts with Human samples. Cited in 5 publications.

View Alternative Names

TNNC1, TNNI3, Cardiac troponin I

5 Images
Immunohistochemistry (Formalin/PFA-fixed paraffin-embedded sections) - Anti-Cardiac Troponin I antibody [EP1106Y] - BSA and Azide free (AB182616)
  • IHC-P

Unknown

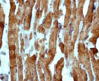
Immunohistochemistry (Formalin/PFA-fixed paraffin-embedded sections) - Anti-Cardiac Troponin I antibody [EP1106Y] - BSA and Azide free (AB182616)

IHC image of Cardiac Troponin I staining in human heart formalin fixed paraffin embedded tissue section, performed on a Leica Bond system using the standard protocol F. The section was pre-treated using heat mediated antigen retrieval with sodium citrate buffer (pH6, epitope retrieval solution 1) for 20 mins. The section was then incubated with ab52862, 1/200 dilution, for 15 mins at room temperature and detected using an HRP conjugated compact polymer system. DAB was used as the chromogen. The section was then counterstained with haematoxylin and mounted with DPX.

For other IHC staining systems (automated and non-automated) customers should optimize variable parameters such as antigen retrieval conditions, primary antibody concentration and antibody incubation times

This data was developed using the same antibody clone in a different buffer formulation containing PBS, BSA, glycerol, and sodium azide (ab52862).

Immunohistochemistry (Formalin/PFA-fixed paraffin-embedded sections) - Anti-Cardiac Troponin I antibody [EP1106Y] - BSA and Azide free (AB182616)
  • IHC-P

Unknown

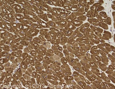
Immunohistochemistry (Formalin/PFA-fixed paraffin-embedded sections) - Anti-Cardiac Troponin I antibody [EP1106Y] - BSA and Azide free (AB182616)

Immunohistochemistry (Formalin/PFA-fixed paraffin-embedded sections) analysis of Human cardiac muscle tissue sections labeling Cardiac Troponin I with Purified ab52862 at 1 : 300 dilution (1.19 μg/ml). Heat mediated antigen retrieval was performed using ab93684 (Tris/EDTA buffer, pH 9.0). ImmunoHistoProbe one step HRP Polymer (ready to use)was used as the secondary antibody. Negative control : PBS instead of the primary antibody. Hematoxylin was used as a counterstain.
This data was developed using the same antibody clone in a different buffer formulation containing PBS, BSA, glycerol, and sodium azide (ab52862)

Immunohistochemistry (Formalin/PFA-fixed paraffin-embedded sections) - Anti-Cardiac Troponin I antibody [EP1106Y] - BSA and Azide free (AB182616)
  • IHC-P

Unknown

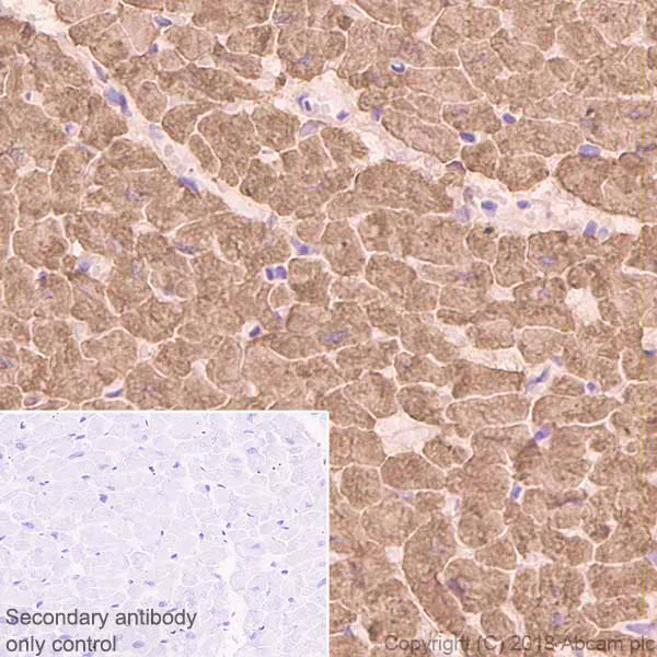
Immunohistochemistry (Formalin/PFA-fixed paraffin-embedded sections) - Anti-Cardiac Troponin I antibody [EP1106Y] - BSA and Azide free (AB182616)

ab52862 at 1/250 dilution staining cardiac Troponin I in human cardiac muscle by Immunohistochemistry, Paraffin embedded tissue.This data was developed using the same antibody clone in a different buffer formulation containing PBS, BSA, glycerol, and sodium azide (ab52862).

Flow Cytometry (Intracellular) - Anti-Cardiac Troponin I antibody [EP1106Y] - BSA and Azide free (AB182616)
  • Flow Cyt (Intra)

Lab

Flow Cytometry (Intracellular) - Anti-Cardiac Troponin I antibody [EP1106Y] - BSA and Azide free (AB182616)

Intracellular Flow Cytometry analysis of A-673 (Human muscle Ewing's Sarcoma) cells labeling Cardiac Troponin I (red) with ab52862 at a 1/30 dilution. Cells were fixed with 4% paraformaldehyde and permeabilized with 90% methanol. A goat anti-rabbit IgG (Alexa Fluor® 488) (ab150077) was used as the secondary antibody at a 1/2000 dilution. Black - Rabbit monoclonal IgG (Black) (ab172730). Blue (unlabeled control) - Cell without incubation with primary antibody and secondary antibody (Blue).

This data was developed using the same antibody clone in a different buffer formulation containing PBS, BSA, glycerol, and sodium azide (ab52862).

Immunoprecipitation - Anti-Cardiac Troponin I antibody [EP1106Y] - BSA and Azide free (AB182616)
  • IP

Unknown

Immunoprecipitation - Anti-Cardiac Troponin I antibody [EP1106Y] - BSA and Azide free (AB182616)

ab52862 (purified) at 1 : 30 dilution (2μg) immunoprecipitating Cardiac Troponin I in Human fetal heart lysate.
Lane 1 (input) : Human fetal heart lysate 10μg
Lane 2 (+) : ab52862 & Human fetal heart lysate
Lane 3 (-) : Rabbit monoclonal IgG (ab172730) instead of ab52862 in Human fetal heart lysate
For western blotting, VeriBlot for IP Detection Reagent (HRP) (ab131366) was used for detection at 1 : 1000 dilution.
Blocking and diluting buffer : 5% NFDM/TBST.
This data was developed using the same antibody clone in a different buffer formulation containing PBS, BSA, glycerol, and sodium azide (ab52862)

All lanes:

Immunoprecipitation - Anti-Cardiac Troponin I antibody [EP1106Y] (<a href='/en-us/products/primary-antibodies/cardiac-troponin-i-antibody-ep1106y-ab52862'>ab52862</a>)

Predicted band size: 24 kDa

false

  • Unconjugated

    Anti-Cardiac Troponin I antibody [EP1106Y]

  • 578 PE

    PE Anti-Cardiac Troponin I antibody [EP1106Y]

  • 660 APC

    APC Anti-Cardiac Troponin I antibody [EP1106Y]

  • HRP

    HRP Anti-Cardiac Troponin I antibody [EP1106Y]

  • 617 Alexa Fluor® 594

    Alexa Fluor® 594 Anti-Cardiac Troponin I antibody [EP1106Y]

  • 565 Alexa Fluor® 555

    Alexa Fluor® 555 Anti-Cardiac Troponin I antibody [EP1106Y]

Key facts

Host species

Rabbit

Clonality

Monoclonal

Clone number

EP1106Y

Isotype

IgG

Carrier free

Yes

Reacts with

Human

Applications

Flow Cyt (Intra), WB, IHC-P, IP

applications

Immunogen

The exact immunogen used to generate this antibody is proprietary information.

Reactivity data

{ "title": "Reactivity Data", "filters": { "stats": ["", "Species", "Dilution Info", "Notes"], "tabs": { "all-applications": {"fullname" : "All Applications", "shortname": "All Applications"}, "IP" : {"fullname" : "Immunoprecipitation", "shortname":"IP"}, "WB" : {"fullname" : "Western blot", "shortname":"WB"}, "IHCP" : {"fullname" : "Immunohistochemistry (Formalin/PFA-fixed paraffin-embedded sections)", "shortname":"IHC-P"}, "ICCIF" : {"fullname" : "Immunocytochemistry/ Immunofluorescence", "shortname":"ICC/IF"}, "FlowCytIntra" : {"fullname" : "Flow Cytometry (Intracellular)", "shortname":"Flow Cyt (Intra)"} }, "product-promise": { "all": "all", "testedAndGuaranteed": "tested", "guaranteed": "expected", "predicted": "predicted", "notRecommended": "not-recommended" } }, "values": { "Human": { "IP-species-checked": "testedAndGuaranteed", "IP-species-dilution-info": "", "IP-species-notes": "<p></p>", "WB-species-checked": "guaranteed", "WB-species-dilution-info": "", "WB-species-notes": "<p></p>", "IHCP-species-checked": "testedAndGuaranteed", "IHCP-species-dilution-info": "", "IHCP-species-notes": "<p></p>", "ICCIF-species-checked": "notRecommended", "ICCIF-species-dilution-info": "", "ICCIF-species-notes": "<p></p>", "FlowCytIntra-species-checked": "testedAndGuaranteed", "FlowCytIntra-species-dilution-info": "", "FlowCytIntra-species-notes": "<p><a href='/en-us/products/primary-antibodies/rabbit-igg-monoclonal-epr25a-isotype-control-low-endotoxin-azide-free-ab199376'>ab199376</a> - Rabbit monoclonal IgG, is suitable for use as an isotype control with this antibody.</p>" }, "Mouse": { "IP-species-checked": "notRecommended", "IP-species-dilution-info": "", "IP-species-notes": "<p></p>", "WB-species-checked": "notRecommended", "WB-species-dilution-info": "", "WB-species-notes": "<p></p>", "IHCP-species-checked": "notRecommended", "IHCP-species-dilution-info": "", "IHCP-species-notes": "<p></p>", "ICCIF-species-checked": "notRecommended", "ICCIF-species-dilution-info": "", "ICCIF-species-notes": "<p></p>", "FlowCytIntra-species-checked": "notRecommended", "FlowCytIntra-species-dilution-info": "", "FlowCytIntra-species-notes": "<p><a href='/en-us/products/primary-antibodies/rabbit-igg-monoclonal-epr25a-isotype-control-low-endotoxin-azide-free-ab199376'>ab199376</a> - Rabbit monoclonal IgG, is suitable for use as an isotype control with this antibody.</p>" }, "Rat": { "IP-species-checked": "notRecommended", "IP-species-dilution-info": "", "IP-species-notes": "<p></p>", "WB-species-checked": "notRecommended", "WB-species-dilution-info": "", "WB-species-notes": "<p></p>", "IHCP-species-checked": "notRecommended", "IHCP-species-dilution-info": "", "IHCP-species-notes": "<p></p>", "ICCIF-species-checked": "notRecommended", "ICCIF-species-dilution-info": "", "ICCIF-species-notes": "<p></p>", "FlowCytIntra-species-checked": "notRecommended", "FlowCytIntra-species-dilution-info": "", "FlowCytIntra-species-notes": "<p><a href='/en-us/products/primary-antibodies/rabbit-igg-monoclonal-epr25a-isotype-control-low-endotoxin-azide-free-ab199376'>ab199376</a> - Rabbit monoclonal IgG, is suitable for use as an isotype control with this antibody.</p>" } } }

Product details

ab182616 is the carrier-free version of ab52862.

Patented technology
Our RabMAb® technology is a patented hybridoma-based technology for making rabbit monoclonal antibodies. For details on our patents, please refer to RabMAb® patents.

What are the advantages of a recombinant monoclonal antibody?
This product is a recombinant monoclonal antibody, which offers several advantages including:

  • - High batch-to-batch consistency and reproducibility
  • - Improved sensitivity and specificity
  • - Long-term security of supply
  • - Animal-free batch production

For more information, read more on recombinant antibodies.

Conjugation ready
Our carrier-free antibodies are typically supplied in a PBS-only formulation, purified and free of BSA, sodium azide and glycerol. This conjugation-ready format is designed for use with fluorochromes, metal isotopes, oligonucleotides, and enzymes, which makes them ideal for antibody labelling, functional and cell-based assays, flow-based assays (e.g. mass cytometry) and Multiplex Imaging applications.

Use our conjugation kits for antibody conjugates that are ready-to-use in as little as 20 minutes with 1 minute hands-on-time and 100% antibody recovery: available for fluorescent dyes, HRP, biotin and gold.

Compatibility
This product is compatible with the Maxpar® Antibody Labeling Kit from Fluidigm, without the need for antibody preparation. Maxpar® is a trademark of Fluidigm Canada Inc.

Properties and storage information

Form
Liquid
Purification technique
Affinity purification Protein A
Storage buffer
pH: 7.2 Constituents: PBS
Shipped at conditions
Blue Ice
Appropriate short-term storage conditions
+4°C
Appropriate long-term storage conditions
+4°C
Storage information
Do Not Freeze

Product protocols

For this product, it's our understanding that no specific protocols are required. You can visit:

Target data

Troponin I is the inhibitory subunit of troponin, the thin filament regulatory complex which confers calcium-sensitivity to striated muscle actomyosin ATPase activity.
See full target information TNNI3

Publications (5)

Recent publications for all applications. Explore the full list and refine your search

Stem cells and development 21:977-86 PubMed22182484

2012

Efficient differentiation of human induced pluripotent stem cells generates cardiac cells that provide protection following myocardial infarction in the rat.

Applications

ICC/IF

Species

Human

Lee Carpenter,Carolyn Carr,Cheng Tao Yang,Daniel J Stuckey,Kieran Clarke,Suzanne M Watt

Journal of biotechnology 150:175-81 PubMed20633583

2010

Assaying cardiac biomarkers for toxicity testing using biosensing and cardiomyocytes derived from human embryonic stem cells.

Applications

ICC/IF

Species

Human

Henrik Andersson,Daniella Steel,Julia Asp,Kerstin Dahlenborg,Marianne Jonsson,Anders Jeppsson,Anders Lindahl,Bertil Kågedal,Peter Sartipy,Carl-Fredrik Mandenius

Journal of cellular and molecular medicine 15:38-51 PubMed20041972

2010

Molecular characterization and functional properties of cardiomyocytes derived from human inducible pluripotent stem cells.

Applications

Unspecified application

Species

Unspecified reactive species

Igal Germanguz,Oshra Sedan,Naama Zeevi-Levin,Ronit Shtrichman,Efrat Barak,Anna Ziskind,Sivan Eliyahu,Gideon Meiry,Michal Amit,Joseph Itskovitz-Eldor,Ofer Binah

Journal of cellular and molecular medicine 14:198-205 PubMed19298519

2009

The anti-angiogenic factor PEDF is present in the human heart and is regulated by anoxia in cardiac myocytes and fibroblasts.

Applications

IHC-P

Species

Human

Kathrin Rychli,Christoph Kaun,Philipp J Hohensinner,Adrian J Dorfner,Stefan Pfaffenberger,Alexander Niessner,Michael Bauer,Wolfgang Dietl,Bruno K Podesser,Gerald Maurer,Kurt Huber,Johann Wojta

Stem cells (Dayton, Ohio) 26:1831-40 PubMed18436862

2008

Molecular signature of cardiomyocyte clusters derived from human embryonic stem cells.

Applications

IHC-Fr

Species

Human

Jane Synnergren,Karolina Akesson,Kerstin Dahlenborg,Hilmar Vidarsson,Caroline Améen,Daniella Steel,Anders Lindahl,Björn Olsson,Peter Sartipy
View all publications

Product promise

We are committed to supporting your work with high-quality reagents, and we're here for you every step of the way. In the unlikely event that one of our products does not perform as expected, you're protected by our Product Promise.
For full details, please see our Terms & Conditions

Please note: All products are 'FOR RESEARCH USE ONLY. NOT FOR USE IN DIAGNOSTIC OR THERAPEUTIC PROCEDURES'.

For licensing inquiries, please contact partnerships@abcam.com