JavaScript is disabled in your browser. Please enable JavaScript to view this website.
AB38210

Anti-Cardiac Troponin I antibody [MF4]

5

(1 Review)

|

(4 Publications)

Mouse Monoclonal Cardiac Troponin I antibody. Suitable for IHC-P and reacts with Human samples. Cited in 4 publications. Immunogen corresponding to Native Full Length Protein corresponding to Human TNNI3.

View Alternative Names

TNNC1, TNNI3, Cardiac troponin I

1 Images
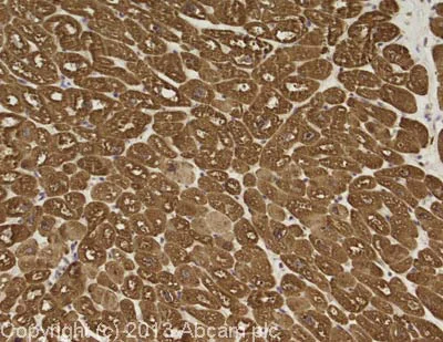
Immunohistochemistry (Formalin/PFA-fixed paraffin-embedded sections) - Anti-Cardiac Troponin I antibody [MF4] (AB38210)
  • IHC-P

Unknown

Immunohistochemistry (Formalin/PFA-fixed paraffin-embedded sections) - Anti-Cardiac Troponin I antibody [MF4] (AB38210)

IHC image of cardiac Troponin I staining in human heart formalin fixed paraffin embedded tissue section, performed on a Leica Bond system using the standard protocol F. The section was pre-treated using heat mediated antigen retrieval with sodium citrate buffer (pH6, epitope retrieval solution 1) for 20 mins. The section was then incubated with ab38210, 5μg/ml, for 15 mins at room temperature and detected using an HRP conjugated compact polymer system. DAB was used as the chromogen. The section was then counterstained with haematoxylin and mounted with DPX.

For other IHC staining systems (automated and non-automated) customers should optimize variable parameters such as antigen retrieval conditions, primary antibody concentration and antibody incubation times.

Key facts

Host species

Mouse

Clonality

Monoclonal

Clone number

MF4

Isotype

IgG1

Carrier free

No

Reacts with

Human

Applications

IHC-P

applications

Immunogen

Native Full Length Protein corresponding to Human TNNI3.

P19429

Specificity

This antibody is specific for cardiac Troponin I. It does not react with skeletal muscle cardiac Troponin I.

Reactivity data

{ "title": "Reactivity Data", "filters": { "stats": ["", "Species", "Dilution Info", "Notes"], "tabs": { "all-applications": {"fullname" : "All Applications", "shortname": "All Applications"}, "IHCP" : {"fullname" : "Immunohistochemistry (Formalin/PFA-fixed paraffin-embedded sections)", "shortname":"IHC-P"} }, "product-promise": { "all": "all", "testedAndGuaranteed": "tested", "guaranteed": "expected", "predicted": "predicted", "notRecommended": "not-recommended" } }, "values": { "Human": { "IHCP-species-checked": "testedAndGuaranteed", "IHCP-species-dilution-info": "5 µg/mL", "IHCP-species-notes": "<p></p> Perform heat-mediated antigen retrieval with citrate buffer pH 6 before commencing with IHC staining protocol." } } }

Properties and storage information

Form
Liquid
Purification technique
Affinity purification Protein A
Storage buffer
pH: 7.4 Preservative: 0.1% Sodium azide Constituents: PBS
Shipped at conditions
Blue Ice
Appropriate short-term storage conditions
+4°C
Appropriate long-term storage conditions
-20°C
Aliquoting information
Upon delivery aliquot
Storage information
Avoid freeze / thaw cycle

Product protocols

For this product, it's our understanding that no specific protocols are required. You can visit:

Target data

Troponin I is the inhibitory subunit of troponin, the thin filament regulatory complex which confers calcium-sensitivity to striated muscle actomyosin ATPase activity.
See full target information TNNI3

Publications (4)

Recent publications for all applications. Explore the full list and refine your search

Biomolecules 13: PubMed36671572

2023

Intact Transition Epitope Mapping-Force Differences between Original and Unusual Residues (ITEM-FOUR).

Applications

Unspecified application

Species

Unspecified reactive species

Claudia Röwer,Christian Ortmann,Andrei Neamtu,Reham F El-Kased,Michael O Glocker

ACS nano 16:13800-13813 PubMed36006419

2022

The "Bloodless" Blood Test: Intradermal Prick Nanoelectronics for the Blood Extraction-Free Multiplex Detection of Protein Biomarkers.

Applications

Unspecified application

Species

Unspecified reactive species

Nimrod Harpak,Ella Borberg,Adva Raz,Fernando Patolsky

Molecules (Basel, Switzerland) 25: PubMed33080923

2020

Mass Spectrometric Analysis of Antibody-Epitope Peptide Complex Dissociation: Theoretical Concept and Practical Procedure of Binding Strength Characterization.

Applications

Unspecified application

Species

Unspecified reactive species

Bright D Danquah,Kwabena F M Opuni,Claudia Roewer,Cornelia Koy,Michael O Glocker

Oncology letters 10:1333-1338 PubMed26622672

2015

Role of RNA-interference-induced zinc finger protein 139 suppression in gastric cancer cell sensitivity to chemotherapeutic agents.

Applications

Unspecified application

Species

Unspecified reactive species

Ying-Jie Hao,Yong Li,Li-Qiao Fan,Qun Zhao,Bi-Bo Tan,Zhi-Kai Jiao,Xue-Feng Zhao,Zhi-Dong Zhang,Dong Wang
View all publications

Product promise

We are committed to supporting your work with high-quality reagents, and we're here for you every step of the way. In the unlikely event that one of our products does not perform as expected, you're protected by our Product Promise.
For full details, please see our Terms & Conditions

Please note: All products are 'FOR RESEARCH USE ONLY. NOT FOR USE IN DIAGNOSTIC OR THERAPEUTIC PROCEDURES'.

For licensing inquiries, please contact partnerships@abcam.com