JavaScript is disabled in your browser. Please enable JavaScript to view this website.
AB45932

Anti-Cardiac Troponin T antibody

4

(7 Reviews)

|

(167 Publications)

Anti-Cardiac Troponin T antibody (ab45932) is a rabbit polyclonal antibody detecting Cardiac Troponin T in Western Blot, IHC-P, ELISA. Suitable for Human.

- Over 110 publications
- Trusted since 2008

View Alternative Names

TnTc, Cardiac muscle troponin T, cTnT, TNNT2

4 Images
Immunohistochemistry - Anti-Cardiac Troponin T antibody (AB45932)
  • IHC

Lab

Immunohistochemistry - Anti-Cardiac Troponin T antibody (AB45932)

Immunohistochemical analysis of formalin fixed paraffin embedded human heart labelling Cardiac Troponin T with ab45932 at a concentration of 0.1µg/ml.

The immunostaining was performed on a Ventana DISCOVERY ULTRA (Roche Tissue Diagnostics) instrument with an OptiView DAB IHC Detection Kit. Heat mediated antigen retrieval was conducted for 32min with DISCOVERY cell conditioning solution (CC1) 100°C, pH8.5. ab45932 anti-Cardiac Troponin T was incubated at 37°C for 16min.

Sections were counterstained is with Hematoxylin II. Image inset shows absence of staining in secondary antibody only control.

Customers are encouraged to optimise antigen retrieval conditions, antibody concentration, incubation times and temperature for best results in their own IHC assay workflow (automated and manual)

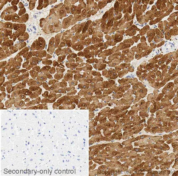
Immunohistochemistry (Formalin/PFA-fixed paraffin-embedded sections) - Anti-Cardiac Troponin T antibody (AB45932)
  • IHC-P

Lab

Immunohistochemistry (Formalin/PFA-fixed paraffin-embedded sections) - Anti-Cardiac Troponin T antibody (AB45932)

IHC image of Cardiac Troponin T staining in a section of formalin-fixed paraffin-embedded normal human heart* performed on a Leica BOND™ system using the standard protocol F. The section was pre-treated using heat mediated antigen retrieval with sodium citrate buffer (pH6, epitope retrieval solution 1) for 20mins. The section was then incubated with ab45932, 1ug/ml, for 15 mins at room temperature and detected using an HRP conjugated compact polymer system. DAB was used as the chromogen. The section was then counterstained with haematoxylin and mounted with DPX. The inset secondary-only control image is taken from an identical assay without primary antibody.

*Tissue obtained from the Human Research Tissue Bank, supported by the NIHR Cambridge Biomedical Research Centre

For other IHC staining systems (automated and non-automated) customers should optimize variable parameters such as antigen retrieval conditions, primary antibody concentration and antibody incubation times.

Sandwich ELISA - Anti-Cardiac Troponin T antibody (AB45932)
  • sELISA

Unknown

Sandwich ELISA - Anti-Cardiac Troponin T antibody (AB45932)

Standard Curve for Cardiac Troponin T (Analyte : Cardiac Troponin T protein (His tag) (ab86685)); dilution range 1pg/ml to 1ug/ml using Capture Antibody Mouse monoclonal [1F11] to Cardiac Troponin T (ab10214) at 5ug/ml and Detector Antibody Rabbit polyclonal to cardiac Troponin T (ab45932) at 0.5ug/ml.

Western blot - Anti-Cardiac Troponin T antibody (AB45932)
  • WB

Supplier Data

Western blot - Anti-Cardiac Troponin T antibody (AB45932)

All lanes:

Western blot - Anti-Cardiac Troponin T antibody (ab45932) at 1 µg/mL

All lanes:

Heart (Human) Whole Cell Lysate - fetal normal tissue at 10 µg

Secondary

All lanes:

Western blot - Goat Anti-Rabbit IgG H&L (HRP) preadsorbed (<a href='/en-us/products/secondary-antibodies/goat-rabbit-igg-h-l-hrp-preadsorbed-ab97080'>ab97080</a>) at 1/5000 dilution

Predicted band size: 35 kDa

Observed band size: 40 kDa

true

Exposure time: 30s

Key facts

Host species

Rabbit

Clonality

Polyclonal

Isotype

IgG

Carrier free

No

Reacts with

Human

Applications

WB, sELISA, IHC-P

applications

Immunogen

The exact immunogen used to generate this antibody is proprietary information.

Specificity

From December 2024, QC testing of replenishment batches of this polyclonal changed. All tested and expected application and reactive species combinations are still covered by our Abcam product promise. However, we no longer test all applications. For more information on a specific batch, please contact our Scientific Support who will be happy to help.

Reactivity data

{ "title": "Reactivity Data", "filters": { "stats": ["", "Species", "Dilution Info", "Notes"], "tabs": { "all-applications": {"fullname" : "All Applications", "shortname": "All Applications"}, "sELISA" : {"fullname" : "Sandwich ELISA", "shortname":"sELISA"}, "WB" : {"fullname" : "Western blot", "shortname":"WB"}, "IHCP" : {"fullname" : "Immunohistochemistry (Formalin/PFA-fixed paraffin-embedded sections)", "shortname":"IHC-P"} }, "product-promise": { "all": "all", "testedAndGuaranteed": "tested", "guaranteed": "expected", "predicted": "predicted", "notRecommended": "not-recommended" } }, "values": { "Human": { "sELISA-species-checked": "guaranteed", "sELISA-species-dilution-info": "", "sELISA-species-notes": "", "WB-species-checked": "guaranteed", "WB-species-dilution-info": "1 µg/mL", "WB-species-notes": "<p></p>", "IHCP-species-checked": "testedAndGuaranteed", "IHCP-species-dilution-info": "1 µg/mL", "IHCP-species-notes": "<p></p> Perform heat-mediated antigen retrieval before commencing with IHC staining protocol." }, "Mouse": { "sELISA-species-checked": "notRecommended", "sELISA-species-dilution-info": "", "sELISA-species-notes": "", "WB-species-checked": "notRecommended", "WB-species-dilution-info": "", "WB-species-notes": "<p></p>", "IHCP-species-checked": "notRecommended", "IHCP-species-dilution-info": "", "IHCP-species-notes": "" }, "Rat": { "sELISA-species-checked": "predicted", "sELISA-species-dilution-info": "", "sELISA-species-notes": "", "WB-species-checked": "notRecommended", "WB-species-dilution-info": "", "WB-species-notes": "", "IHCP-species-checked": "predicted", "IHCP-species-dilution-info": "", "IHCP-species-notes": "" }, "Cat": { "sELISA-species-checked": "predicted", "sELISA-species-dilution-info": "", "sELISA-species-notes": "", "WB-species-checked": "notRecommended", "WB-species-dilution-info": "", "WB-species-notes": "", "IHCP-species-checked": "predicted", "IHCP-species-dilution-info": "", "IHCP-species-notes": "" }, "Dog": { "sELISA-species-checked": "predicted", "sELISA-species-dilution-info": "", "sELISA-species-notes": "", "WB-species-checked": "notRecommended", "WB-species-dilution-info": "", "WB-species-notes": "", "IHCP-species-checked": "predicted", "IHCP-species-dilution-info": "", "IHCP-species-notes": "" }, "Guinea pig": { "sELISA-species-checked": "predicted", "sELISA-species-dilution-info": "", "sELISA-species-notes": "", "WB-species-checked": "notRecommended", "WB-species-dilution-info": "", "WB-species-notes": "", "IHCP-species-checked": "predicted", "IHCP-species-dilution-info": "", "IHCP-species-notes": "" }, "Rabbit": { "sELISA-species-checked": "predicted", "sELISA-species-dilution-info": "", "sELISA-species-notes": "", "WB-species-checked": "notRecommended", "WB-species-dilution-info": "", "WB-species-notes": "", "IHCP-species-checked": "predicted", "IHCP-species-dilution-info": "", "IHCP-species-notes": "" }, "Recombinant full length protein - Human": { "sELISA-species-checked": "testedAndGuaranteed", "sELISA-species-dilution-info": "0.5 µg/mL", "sELISA-species-notes": "<p>For sandwich ELISA, use this antibody as Detection at 0.5 µg/ml with Mouse monoclonal [1F11] to Cardiac Troponin T (<a href='/en-us/products/primary-antibodies/cardiac-troponin-t-antibody-1f11-ab10214'>ab10214</a>) as Capture.</p>", "WB-species-checked": "notRecommended", "WB-species-dilution-info": "", "WB-species-notes": "", "IHCP-species-checked": "notRecommended", "IHCP-species-dilution-info": "", "IHCP-species-notes": "" } } }

Product details

Anti-Cardiac Troponin T antibody (ab45932) is a rabbit polyclonal antibody and is validated for use in IHC-P, WB, sELISA in human, mouse, rat samples.

Anti-Cardiac Troponin T antibody (ab45932) has been cited over 112 times in peer reviewed journals and is trusted by the scientific community.

Abcam's high quality validation processes ensure Anti-Cardiac Troponin T antibody (ab45932) has high sensitivity and specificity.

Anti-Cardiac Troponin T antibody (ab45932) has 7 independent reviews from customers.

Anti-Cardiac Troponin T antibody (ab45932) specifically detects Cardiac Troponin T (UniProt ID: P45379; Molecular weight: 36kDa) and is sold in 100 µg selling sizes.

Cardiac Troponin T (cTnT) is a critical biomarker for diagnosing myocardial infarction. Utilizing our cTnT antibody can significantly progress research related to the detection of cardiac events. Research indicates that Cardiac Troponin T levels are crucial for early diagnosis and management of heart diseases, providing valuable prognostic information.

Properties and storage information

Form
Liquid
Purification technique
Affinity purification Immunogen
Storage buffer
pH: 7.4 Preservative: 0.02% Sodium azide Constituents: PBS, 1% BSA
Shipped at conditions
Blue Ice
Appropriate short-term storage duration
1-2 weeks
Appropriate short-term storage conditions
+4°C
Appropriate long-term storage conditions
-20°C
Aliquoting information
Upon delivery aliquot
Storage information
Avoid freeze / thaw cycle

Product protocols

For this product, it's our understanding that no specific protocols are required. You can visit:

Target data

Troponin T is the tropomyosin-binding subunit of troponin, the thin filament regulatory complex which confers calcium-sensitivity to striated muscle actomyosin ATPase activity.
See full target information TNNT2

Publications (167)

Recent publications for all applications. Explore the full list and refine your search

Materials today. Bio 34:102256 PubMed40977832

2025

Melt electrowritten medium chain length polyhydroxyalkanoate cardiac patches for Post-MI cardiac regeneration.

Applications

Unspecified application

Species

Unspecified reactive species

Qasim A Majid,Pragati Pandey,Mohamed Bellahcene,Christopher L Grigsby,Molly M Stevens,Virpi Talman,Daniel J Stuckey,Sian E Harding,Ipsita Roy,Gábor Földes

Journal of molecular and cellular cardiology plus 13:100469 PubMed40686505

2025

MitoQ Protects Against Oxidative Stress-Induced Mitochondrial Dysregulation in Human Cardiomyocytes.

Applications

Unspecified application

Species

Unspecified reactive species

Alex M Parker,Jarmon G Lees,Mitchel Tate,Ren J Phang,Anida Velagic,Minh Deo,Tayla Bishop,Thomas Krieg,Michael P Murphy,Shiang Y Lim,Miles J De Blasio,Rebecca H Ritchie

Nature communications 16:6556 PubMed40670355

2025

Human glycogenins maintain glucose homeostasis by regulating glycogen metabolism.

Applications

Unspecified application

Species

Unspecified reactive species

Tzu-Han Weng,Yu-Chung Pien,Ching-Jou Chen,Po-Pang Chen,Yu-Ting Tseng,Ying-Chen Chen,Wen-Po Hsiao,Ying-Ting Lee,Yi-An Chen,Yao-Chi Chen,Carmay Lim,Tzu-Han Hsu,Sung-Jan Lin,Hsin-Yung Yen,Kuo-Chiang Hsia,Su-Yi Tsai

iScience 28:112843 PubMed40662194

2025

Serine synthesis pathway regulates cardiac differentiation from human pluripotent stem cells.

Applications

Unspecified application

Species

Unspecified reactive species

Tomohiko C Umei,Shugo Tohyama,Yuika Morita-Umei,Manami Katoh,Seitaro Nomura,Kotaro Haga,Takako Hishiki,Tomomi Matsuura,Hidenori Tani,Yusuke Soma,Otoya Sekine,Masatoshi Ohno,Masashi Nakamura,Taijun Moriwaki,Yoshikazu Kishino,Keiichi Fukuda,Masaki Ieda

PLoS pathogens 21:e1013293 PubMed40608831

2025

Identification of picornavirus proteins that inhibit de novo nucleotide synthesis during infection.

Applications

Unspecified application

Species

Unspecified reactive species

Lonneke V Nouwen,Esther A Zaal,Inge Buitendijk,Marleen Zwaagstra,Chiara Aloise,Arno L W van Vliet,Jelle G Schipper,Alain van Mil,Celia R Berkers,Frank J M van Kuppeveld

FASEB journal : official publication of the Federation of American Societies for Experimental Biology 39:e70690 PubMed40471103

2025

MicroRNA-100-5p Exacerbates Myocardial Ischemia-Reperfusion Injury Through Downregulation of PRMT5.

Applications

Unspecified application

Species

Unspecified reactive species

Zhenya Wang,Tong-You Wade Wei,Jo-Mei Maureen Chen,Ke Zhang,Yiwei Zhang,Huiting Shi,Hsiang-Chun Su,I-Shan Hsieh,Chang-Tze Ricky Yu,Guo-Jun Zhao

Communications biology 8:736 PubMed40355528

2025

Selective serotonin reuptake inhibitors induce cardiac toxicity through dysfunction of mitochondria and sarcomeres.

Applications

Unspecified application

Species

Unspecified reactive species

Yawei Shen,Cameron E Brown,Xiao Li,Peng Zhang,Stacey R McGee,Søren C Spina,J Ricardo Loret de Mola,Joanna L Fiddler,Haodi Wu,Qing Liu

Cell reports 44:115687 PubMed40343798

2025

A retinoic acid:YAP1 signaling axis controls atrial lineage commitment.

Applications

Unspecified application

Species

Unspecified reactive species

Elizabeth Abraham,Aleksandra Kostina,Brett Volmert,Thomas Roule,Ling Huang,Jingting Yu,April E Williams,Emily Megill,Aidan Douglas,Olivia M Pericak,Alex Morris,Eleonora Stronati,Arantza Larrinaga-Zamanillo,Raquel Fueyo,Mikel Zubillaga,Mark D Andrake,Naiara Akizu,Aitor Aguirre,Conchi Estaras

Redox biology 83:103638 PubMed40286437

2025

iPSC-derived cardiomyocytes and engineered heart tissues reveal suppressed JAK2/STAT3 signaling in LMNA-related emery-dreifuss muscular dystrophy.

Applications

Unspecified application

Species

Unspecified reactive species

Hangping Fan,Zongkuai Yang,Hangying Ying,Jiuxiao Zhao,Xiaochen Wang,Junhao Gong,Lingying Li,Xujie Liu,Tingyu Gong,Qing Ke,Lenan Zhuang,Ping Liang

Nucleic acids research 53: PubMed40183632

2025

AOC 1044 induces exon 44 skipping and restores dystrophin protein in preclinical models of Duchenne muscular dystrophy.

Applications

Unspecified application

Species

Unspecified reactive species

Usue Etxaniz,Isaac Marks,Tyler Albin,Matthew Diaz,Raghav Bhardwaj,Aaron Anderson,Olecya Tyaglo,Tiffany Hoang,Maria Azzurra Missinato,Kristoffer Svensson,Ben Badillo,Philip R Kovach,Laura Leung,Michael Cochran,Hae Won Kwon,Md Nur Ahad Shah,Rika Maruyama,Toshifumi Yokota,Venkata R Doppalapudi,Beatrice Darimont,Husam S Younis,W Michael Flanagan,Arthur A Levin,Hanhua Huang,Georgios Karamanlidis
View all publications

Product promise

We are committed to supporting your work with high-quality reagents, and we're here for you every step of the way. In the unlikely event that one of our products does not perform as expected, you're protected by our Product Promise.
For full details, please see our Terms & Conditions

Please note: All products are 'FOR RESEARCH USE ONLY. NOT FOR USE IN DIAGNOSTIC OR THERAPEUTIC PROCEDURES'.

For licensing inquiries, please contact partnerships@abcam.com