JavaScript is disabled in your browser. Please enable JavaScript to view this website.
AB307152

Anti-Cardiac Troponin T antibody [EPR26703-8]

  • BOND RX™ Validated
  • 20ul selling size
  • Recombinant
  • Advanced Validation
  • RabMAb
  • What is this?

Be the first to review this product! Submit a review

|

(0 Publication)

Rabbit Recombinant Monoclonal Cardiac Troponin T antibody. Suitable for IHC-P, WB, mIHC and reacts with Human samples.

View Alternative Names

TnTc, Cardiac muscle troponin T, cTnT, TNNT2

5 Images
Immunohistochemistry - Anti-Cardiac Troponin T antibody [EPR26703-8] (AB307152)
  • IHC

Supplier Data

Immunohistochemistry - Anti-Cardiac Troponin T antibody [EPR26703-8] (AB307152)

Immunohistochemical analysis of paraffin-embedded human skeletal muscle tissue labeling Cardiac troponin T with ab307152 at 1/5000 (0.064 ug/ml) followed by ready to use LeicaDS9800 (Bond® Polymer Refine Detection). Negative control : no staining on human skeletal muscle. The section was incubated with ab307152 for 30 mins at room temperature. The immunostaining was performed on a Leica Biosystems BOND® RX instrument. Counterstained with Hematoxylin. Secondary antibody only control : Secondary antibody is ready to use LeicaDS9800 (Bond® Polymer Refine Detection). Heat mediated antigen retrieval was performed with Tris-EDTA buffer (pH 9.0, Epitope Retrieval Solution2) for 20 mins.

Multiplex immunohistochemistry - Anti-Cardiac Troponin T antibody [EPR26703-8] (AB307152)
  • mIHC

Lab

Multiplex immunohistochemistry - Anti-Cardiac Troponin T antibody [EPR26703-8] (AB307152)

Immunohistochemistry (Formalin/PFA-fixed paraffin-embedded sections) analysis of Human cardiac muscle labelling Cardiac Troponin T with ab307152 at 1/5000 dilution (0.102 µg/mL) (B), CTNNA3 with ab184916 at 1/2000 dilution (0.942 μg/ml) (C) and PDystrophin with ab275391 at 1/500 dilution (2.08 μg/ml) (D). Opal Polymer HRP Ms + Rb was used as a secondary antibody, and DAPI was used for a nuclear counter stain. Heat mediated antigen retrieval with Tris-EDTA buffer (pH 9.0, epitope retrieval solution2) for 20 mins. Panel A : merged staining of anti-Dystrophin (red; Opal™690), anti-Cardiac troponin T (green; Opal™520) and anti-CTNNA3 (gray; Opal™570) on human cardiac muscle. Panel B : anti-Cardiac troponin T stained on cytoplasm of cardiac muscle. Panel C : anti-CTNNA3 stained on intercalated discs. Panel D : anti-Dystrophin stained on membrane of cardiac muscle. The section was incubated in three rounds of staining : in the order of ab275391, ab307152, and ab184916 for 30 mins at room temperature. Each round was followed by a separate fluorescent tyramide signal amplification system. The immunostaining was performed on a Leica Biosystems BOND® RX instrument with an Opal™ 4-color kit. Image acquisition was performed with Leica SP8 confocal microscope.

Immunohistochemistry - Anti-Cardiac Troponin T antibody [EPR26703-8] (AB307152)
  • IHC

Supplier Data

Immunohistochemistry - Anti-Cardiac Troponin T antibody [EPR26703-8] (AB307152)

Immunohistochemical analysis of paraffin-embedded human cardiac muscle tissue labeling Cardiac troponin T with ab307152 at 1/5000 (0.064 ug/ml) followed by ready to use LeicaDS9800 (Bond® Polymer Refine Detection). Positive staining on human cardiac muscle. The section was incubated with ab307152 for 30 mins at room temperature. The immunostaining was performed on a Leica Biosystems BOND® RX instrument. Counterstained with Hematoxylin. Secondary antibody only control : Secondary antibody is ready to use LeicaDS9800 (Bond® Polymer Refine Detection). Heat mediated antigen retrieval was performed with Tris-EDTA buffer (pH 9.0, Epitope Retrieval Solution2) for 20 mins.

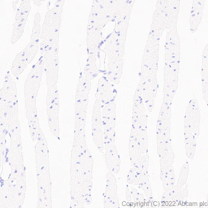
Immunohistochemistry - Anti-Cardiac Troponin T antibody [EPR26703-8] (AB307152)
  • IHC

Supplier Data

Immunohistochemistry - Anti-Cardiac Troponin T antibody [EPR26703-8] (AB307152)

Immunohistochemical analysis of paraffin-embedded mouse cardiac muscle tissue labeling Cardiac troponin T with ab307152 at 1/5000 (0.102 ug/ml) followed by ready to use LeicaDS9800 (Bond® Polymer Refine Detection). Negative control : no staining on mouse cardiac muscle. The section was incubated with ab307152 for 30 mins at room temperature. The immunostaining was performed on a Leica Biosystems BOND® RX instrument.The antibody doesn't recognize mouse species. Counterstained with Hematoxylin. Secondary antibody only control : Secondary antibody is ready to use LeicaDS9800 (Bond® Polymer Refine Detection). Heat mediated antigen retrieval was performed with Tris-EDTA buffer (pH 9.0, Epitope Retrieval Solution2) for 20 mins.

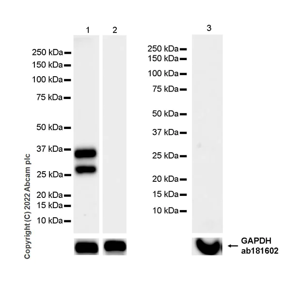
Western blot - Anti-Cardiac Troponin T antibody [EPR26703-8] (AB307152)
  • WB

Supplier Data

Western blot - Anti-Cardiac Troponin T antibody [EPR26703-8] (AB307152)

Blocking and diluting buffer and concentration : 5% NFDM/TBST. Negative control : human skeletal muscle (PMID : 11375287). The antibody recognizes one major 39 kDa isoform and one minor 30 kDa isoform (PMID : 10585344). The antibody doesn't recognize mouse species. Exposure time : 3.25 seconds.

All lanes:

Western blot - Anti-Cardiac Troponin T antibody [EPR26703-8] (ab307152) at 1/1000 dilution

Lane 1:

Human heart tissue lysate 20 μg

Lane 2:

Human skeletal muscle tissue lysate 20 μg

Lane 3:

Mouse heart tissue lysate 20 μg

Secondary

All lanes:

Goat Anti-Rabbit IgG (HRP) with minimal cross-reactivity with human IgG at 1/2000 dilution

Observed band size: 30 kDa,39 kDa

false

Exposure time: 3.25s

  • Carrier free

    Anti-Cardiac Troponin T antibody [EPR26703-8] - BSA and Azide free

Key facts

Host species

Rabbit

Clonality

Monoclonal

Clone number

EPR26703-8

Isotype

IgG

Carrier free

No

Reacts with

Human

Applications

mIHC, WB, IHC-P

applications

Immunogen

The exact immunogen used to generate this antibody is proprietary information.

Reactivity data

{ "title": "Reactivity Data", "filters": { "stats": ["", "Species", "Dilution Info", "Notes"], "tabs": { "all-applications": {"fullname" : "All Applications", "shortname": "All Applications"}, "IP" : {"fullname" : "Immunoprecipitation", "shortname":"IP"}, "IHCP" : {"fullname" : "Immunohistochemistry (Formalin/PFA-fixed paraffin-embedded sections)", "shortname":"IHC-P"}, "WB" : {"fullname" : "Western blot", "shortname":"WB"}, "mIHC" : {"fullname" : "Multiplex immunohistochemistry", "shortname":"mIHC"} }, "product-promise": { "all": "all", "testedAndGuaranteed": "tested", "guaranteed": "expected", "predicted": "predicted", "notRecommended": "not-recommended" } }, "values": { "Human": { "IP-species-checked": "notRecommended", "IP-species-dilution-info": "", "IP-species-notes": "<p></p>", "IHCP-species-checked": "testedAndGuaranteed", "IHCP-species-dilution-info": "1/5000", "IHCP-species-notes": "<p></p>", "WB-species-checked": "testedAndGuaranteed", "WB-species-dilution-info": "1/1000", "WB-species-notes": "<p></p>", "mIHC-species-checked": "testedAndGuaranteed", "mIHC-species-dilution-info": "1/5000", "mIHC-species-notes": "<p>Heat mediated antigen retrieval with Tris-EDTA buffer (pH 9.0, epitope retrieval solution2) for 20 mins.</p>" }, "Mouse": { "IP-species-checked": "notRecommended", "IP-species-dilution-info": "", "IP-species-notes": "", "IHCP-species-checked": "notRecommended", "IHCP-species-dilution-info": "1/5000", "IHCP-species-notes": "<p></p>", "WB-species-checked": "notRecommended", "WB-species-dilution-info": "1/1000", "WB-species-notes": "<p></p>", "mIHC-species-checked": "notRecommended", "mIHC-species-dilution-info": "", "mIHC-species-notes": "" }, "Rat": { "IP-species-checked": "notRecommended", "IP-species-dilution-info": "", "IP-species-notes": "", "IHCP-species-checked": "notRecommended", "IHCP-species-dilution-info": "1/5000", "IHCP-species-notes": "<p></p>", "WB-species-checked": "notRecommended", "WB-species-dilution-info": "1/1000", "WB-species-notes": "<p></p>", "mIHC-species-checked": "notRecommended", "mIHC-species-dilution-info": "", "mIHC-species-notes": "" } } }

Product details

Patented technology
Our RabMAb® technology is a patented hybridoma-based technology for making rabbit monoclonal antibodies. For details on our patents, please refer to RabMAb® patents.

What are the advantages of a recombinant monoclonal antibody?
This product is a recombinant monoclonal antibody, which offers several advantages including:

  • - High batch-to-batch consistency and reproducibility
  • - Improved sensitivity and specificity
  • - Long-term security of supply
  • - Animal-free batch production

For more information, read more on recombinant antibodies.

Properties and storage information

Form
Liquid
Purification technique
Affinity purification Protein A
Storage buffer
pH: 7.2 - 7.4 Preservative: 0.01% Sodium azide Constituents: PBS, 40% Glycerol (glycerin, glycerine), 0.05% BSA
Shipped at conditions
Blue Ice
Appropriate short-term storage duration
1-2 weeks
Appropriate short-term storage conditions
+4°C
Appropriate long-term storage conditions
-20°C
Aliquoting information
Upon delivery aliquot
Storage information
Avoid freeze / thaw cycle

Product protocols

For this product, it's our understanding that no specific protocols are required. You can visit:

Target data

Troponin T is the tropomyosin-binding subunit of troponin, the thin filament regulatory complex which confers calcium-sensitivity to striated muscle actomyosin ATPase activity.
See full target information TNNT2

Product promise

We are committed to supporting your work with high-quality reagents, and we're here for you every step of the way. In the unlikely event that one of our products does not perform as expected, you're protected by our Product Promise.
For full details, please see our Terms & Conditions

Please note: All products are 'FOR RESEARCH USE ONLY. NOT FOR USE IN DIAGNOSTIC OR THERAPEUTIC PROCEDURES'.

For licensing inquiries, please contact partnerships@abcam.com