JavaScript is disabled in your browser. Please enable JavaScript to view this website.
AB247526

Anti-Cardiac Troponin T antibody [EPR3695] - BSA and Azide free

Be the first to review this product! Submit a review

|

(1 Publication)

Rabbit Recombinant Monoclonal Cardiac Troponin T antibody. Carrier free. Suitable for IHC-P, IP, WB and reacts with Human samples. Cited in 1 publication.

View Alternative Names

TnTc, Cardiac muscle troponin T, cTnT, TNNT2

3 Images
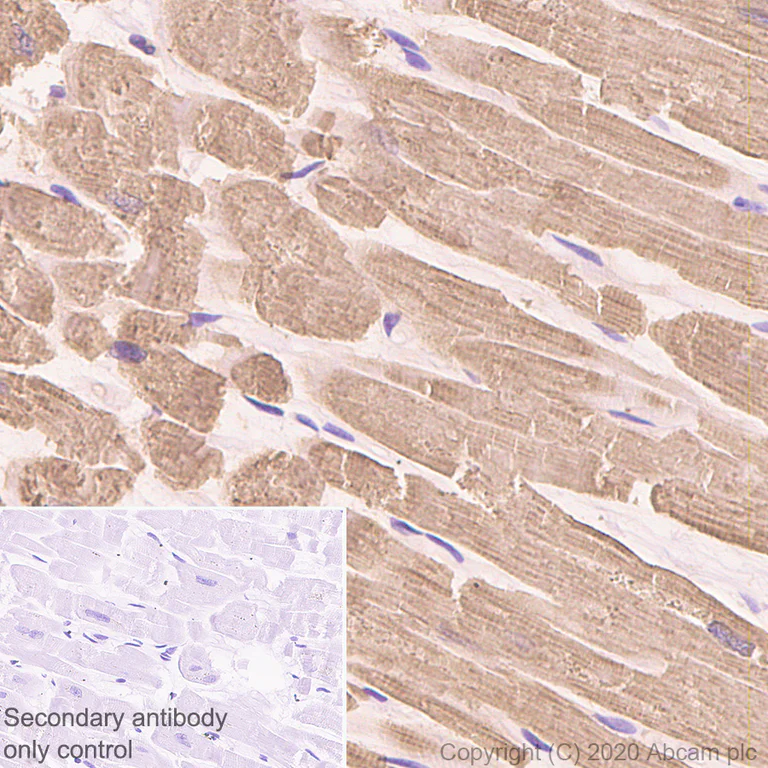
Immunohistochemistry (Formalin/PFA-fixed paraffin-embedded sections) - Anti-Cardiac Troponin T antibody [EPR3695] - BSA and Azide free (AB247526)
  • IHC-P

Lab

Immunohistochemistry (Formalin/PFA-fixed paraffin-embedded sections) - Anti-Cardiac Troponin T antibody [EPR3695] - BSA and Azide free (AB247526)

This data was developed using ab91605, the same antibody clone in a different buffer formulation.
Immunohistochemistry (Formalin/PFA-fixed paraffin-embedded sections) analysis of human cardiac muscle tissue sections labeling Cardiac Troponin T with purified ab91605 at 1/500 dilution (0.32 μg/ml). Heat mediated antigen retrieval was performed using Heat mediated antigen retrieval using Bond™ Epitope Retrieval Solution 2 (pH 9.0) . Tissue was counterstained with Hematoxylin. Rabbit specific IHC polymer detection kit HRP/DAB (ab209101) secondary antibody was used. PBS instead of the primary antibody was used as the negative control.

Immunoprecipitation - Anti-Cardiac Troponin T antibody [EPR3695] - BSA and Azide free (AB247526)
  • IP

Lab

Immunoprecipitation - Anti-Cardiac Troponin T antibody [EPR3695] - BSA and Azide free (AB247526)

This data was developed using ab91605, the same antibody clone in a different buffer formulation.
Purified ab91605 at 1/50 dilution (2μg) immunoprecipitating Cardiac Troponin T in Human heart lysate.
Lane 1 (input) : Human heart lysate 10μg
Lane 2 (+) : ab91605 + Human heart lysate.
Lane 3 (-) : Rabbit monoclonal IgG (ab172730) instead of ab91605 in Human heart lysate.
VeriBlot for IP Detection Reagent (HRP) (ab131366) (1/1000 dilution) was used for Western blotting.
Blocking Buffer and concentration : 5% NFDM/TBST.
Diluting buffer and concentration : 5% NFDM/TBST.
Observed band size : 39 kDa

All lanes:

Immunoprecipitation - Anti-Cardiac Troponin T antibody [EPR3695] (<a href='/en-us/products/primary-antibodies/cardiac-troponin-t-antibody-epr3695-ab91605'>ab91605</a>)

Predicted band size: 35 kDa

false

Western blot - Anti-Cardiac Troponin T antibody [EPR3695] - BSA and Azide free (AB247526)
  • WB

Lab

Western blot - Anti-Cardiac Troponin T antibody [EPR3695] - BSA and Azide free (AB247526)

This data was developed using ab91605, the same antibody clone in a different buffer formulation.

The molecular weight observed is consistent with what has been described in the literature (PMID : 15793653).

All lanes:

Western blot - Anti-Cardiac Troponin T antibody [EPR3695] (<a href='/en-us/products/primary-antibodies/cardiac-troponin-t-antibody-epr3695-ab91605'>ab91605</a>) at 1/1000 dilution

Lane 1:

Human heart lysate at 20 µg

Lane 2:

Human skeletal muscle lysate at 20 µg

Lane 3:

293T (Human embryonic kidney epithelial cell) whole cell lysate at 20 µg

Secondary

All lanes:

Goat Anti-Rabbit IgG (HRP) with minimal cross-reactivity with human IgG at 1/2000 dilution

Predicted band size: 35 kDa

Observed band size: 39 kDa

false

Key facts

Host species

Rabbit

Clonality

Monoclonal

Clone number

EPR3695

Isotype

IgG

Carrier free

Yes

Reacts with

Human

Applications

IP, WB, IHC-P

applications

Immunogen

The exact immunogen used to generate this antibody is proprietary information.

Reactivity data

{ "title": "Reactivity Data", "filters": { "stats": ["", "Species", "Dilution Info", "Notes"], "tabs": { "all-applications": {"fullname" : "All Applications", "shortname": "All Applications"}, "IHCP" : {"fullname" : "Immunohistochemistry (Formalin/PFA-fixed paraffin-embedded sections)", "shortname":"IHC-P"}, "IP" : {"fullname" : "Immunoprecipitation", "shortname":"IP"}, "WB" : {"fullname" : "Western blot", "shortname":"WB"} }, "product-promise": { "all": "all", "testedAndGuaranteed": "tested", "guaranteed": "expected", "predicted": "predicted", "notRecommended": "not-recommended" } }, "values": { "Human": { "IHCP-species-checked": "testedAndGuaranteed", "IHCP-species-dilution-info": "", "IHCP-species-notes": "<p>The use of an HRP/AP polymerized secondary antibody is recommended as stronger signals have been found using these. IHC-P validated in Human samples only.</p>", "IP-species-checked": "testedAndGuaranteed", "IP-species-dilution-info": "", "IP-species-notes": "<p></p>", "WB-species-checked": "testedAndGuaranteed", "WB-species-dilution-info": "", "WB-species-notes": "<p></p>" } } }

Product details

ab247526 is the carrier-free version of ab91605.

Species reactivity
Mouse, Rat: We have preliminary internal testing data to indicate this antibody may not react with these species.
Please contact us for more information.

Patented technology
Our RabMAb® technology is a patented hybridoma-based technology for making rabbit monoclonal antibodies. For details on our patents, please refer to RabMAb® patents.

What are the advantages of a recombinant monoclonal antibody?
This product is a recombinant monoclonal antibody, which offers several advantages including:

  • - High batch-to-batch consistency and reproducibility
  • - Improved sensitivity and specificity
  • - Long-term security of supply
  • - Animal-free batch production

For more information, read more on recombinant antibodies.

Conjugation ready
Our carrier-free antibodies are typically supplied in a PBS-only formulation, purified and free of BSA, sodium azide and glycerol. This conjugation-ready format is designed for use with fluorochromes, metal isotopes, oligonucleotides, and enzymes, which makes them ideal for antibody labelling, functional and cell-based assays, flow-based assays (e.g. mass cytometry) and Multiplex Imaging applications.

Use our conjugation kits for antibody conjugates that are ready-to-use in as little as 20 minutes with 1 minute hands-on-time and 100% antibody recovery: available for fluorescent dyes, HRP, biotin and gold.

Compatibility
This product is compatible with the Maxpar® Antibody Labeling Kit from Fluidigm, without the need for antibody preparation. Maxpar® is a trademark of Fluidigm Canada Inc.

Properties and storage information

Form
Liquid
Purification technique
Affinity purification Protein A
Storage buffer
pH: 7.2 - 7.4 Constituents: PBS
Shipped at conditions
Blue Ice
Appropriate short-term storage conditions
+4°C
Appropriate long-term storage conditions
+4°C
Storage information
Do Not Freeze

Product protocols

For this product, it's our understanding that no specific protocols are required. You can visit:

Target data

Troponin T is the tropomyosin-binding subunit of troponin, the thin filament regulatory complex which confers calcium-sensitivity to striated muscle actomyosin ATPase activity.
See full target information TNNT2

Publications (1)

Recent publications for all applications. Explore the full list and refine your search

Obesity (Silver Spring, Md.) 30:666-679 PubMed35170865

2022

Exosomal miR-122 promotes adipogenesis and aggravates obesity through the VDR/SREBF1 axis.

Applications

Unspecified application

Species

Unspecified reactive species

Xiao-Yan Huang,Ji-Xiong Chen,Yi Ren,Li-Chun Fan,Wei Xiang,Xiao-Jie He
View all publications

Product promise

We are committed to supporting your work with high-quality reagents, and we're here for you every step of the way. In the unlikely event that one of our products does not perform as expected, you're protected by our Product Promise.
For full details, please see our Terms & Conditions

Please note: All products are 'FOR RESEARCH USE ONLY. NOT FOR USE IN DIAGNOSTIC OR THERAPEUTIC PROCEDURES'.

For licensing inquiries, please contact partnerships@abcam.com