JavaScript is disabled in your browser. Please enable JavaScript to view this website.
AB92546

Anti-Cardiac Troponin T antibody [EPR3696]

  • BOND RX™ Validated
  • RabMAb
  • Recombinant
  • 20ul selling size
  • What is this?

Be the first to review this product! Submit a review

|

(14 Publications)

Rabbit Recombinant Monoclonal Cardiac Troponin T antibody. Suitable for IHC-P, WB and reacts with Human, Mouse, Rat samples. Cited in 14 publications.

View Alternative Names

TnTc, Cardiac muscle troponin T, cTnT, TNNT2

3 Images
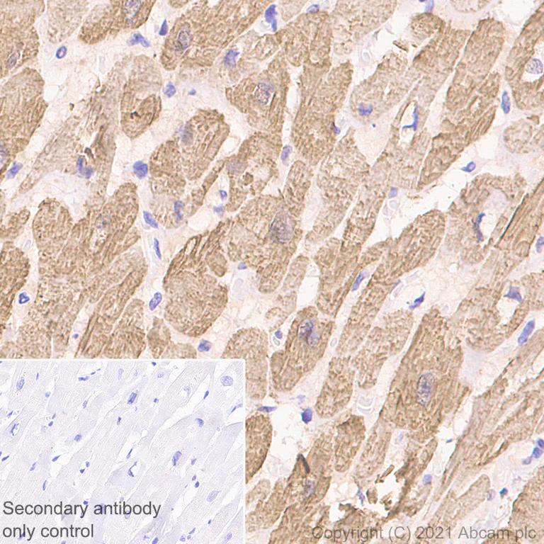
Immunohistochemistry (Formalin/PFA-fixed paraffin-embedded sections) - Anti-Cardiac Troponin T antibody [EPR3696] (AB92546)
  • IHC-P

Lab

Immunohistochemistry (Formalin/PFA-fixed paraffin-embedded sections) - Anti-Cardiac Troponin T antibody [EPR3696] (AB92546)

Immunohistochemistry (Formalin/PFA-fixed paraffin-embedded sections) analysis of human cardiac muscle tissue sections labelling Cardiac Troponin T with purified ab92546 at 1/1000 dilution (0.19 μg/ml). Heat mediated antigen retrieval was performed using Heat mediated antigen retrieval using Bond™ Epitope Retrieval Solution 2 (pH 9.0) . Tissue was counterstained with Hematoxylin. Rabbit specific IHC polymer detection kit HRP/DAB (ab209101) secondary antibody was used. PBS instead of the primary antibody was used as the negative control. The immunostaining was performed on a Leica Biosystems BOND® RX instrument.

Western blot - Anti-Cardiac Troponin T antibody [EPR3696] (AB92546)
  • WB

Lab

Western blot - Anti-Cardiac Troponin T antibody [EPR3696] (AB92546)

The molecular weight observed is consistent with what has been described in the literature (PMID : 15793653).

All lanes:

Western blot - Anti-Cardiac Troponin T antibody [EPR3696] (ab92546) at 1/20000 dilution

All lanes:

Human heart lysate at 15 µg

Secondary

All lanes:

Goat Anti-Rabbit IgG (HRP) with minimal cross-reactivity with human IgG at 1/2000 dilution

Predicted band size: 35 kDa

Observed band size: 39 kDa

false

Western blot - Anti-Cardiac Troponin T antibody [EPR3696] (AB92546)
  • WB

Lab

Western blot - Anti-Cardiac Troponin T antibody [EPR3696] (AB92546)

The molecular weight observed is consistent with what has been described in the literature (PMID : 15793653).

All lanes:

Western blot - Anti-Cardiac Troponin T antibody [EPR3696] (ab92546) at 1/20000 dilution

Lane 1:

Rat heart lysate at 15 µg

Lane 2:

Mouse heart lysate at 15 µg

Secondary

All lanes:

Western blot - Goat Anti-Rabbit IgG H&L (HRP) (<a href='/en-us/products/secondary-antibodies/goat-rabbit-igg-h-l-hrp-ab97051'>ab97051</a>) at 1/20000 dilution

Predicted band size: 35 kDa

Observed band size: 39 kDa

false

  • 519 Alexa Fluor® 488

    Alexa Fluor® 488 Anti-Cardiac Troponin T antibody [EPR3696]

  • 665 Alexa Fluor® 647

    Alexa Fluor® 647 Anti-Cardiac Troponin T antibody [EPR3696]

  • 578 PE

    PE Anti-Cardiac Troponin T antibody [EPR3696]

  • 660 APC

    APC Anti-Cardiac Troponin T antibody [EPR3696]

  • 565 Alexa Fluor® 555

    Alexa Fluor® 555 Anti-Cardiac Troponin T antibody [EPR3696]

  • 617 Alexa Fluor® 594

    Alexa Fluor® 594 Anti-Cardiac Troponin T antibody [EPR3696]

  • 775 Alexa Fluor® 750

    Alexa Fluor® 750 Anti-Cardiac Troponin T antibody [EPR3696]

  • Carrier free

    Anti-Cardiac Troponin T antibody [EPR3696] - BSA and Azide free

Key facts

Host species

Rabbit

Clonality

Monoclonal

Clone number

EPR3696

Isotype

IgG

Carrier free

No

Reacts with

Mouse, Rat, Human

Applications

IHC-P, WB

applications

Immunogen

The exact immunogen used to generate this antibody is proprietary information.

Specificity

The mouse and rat recommendation is based on the WB results. We do not guarantee IHC-P for mouse and rat.

Reactivity data

{ "title": "Reactivity Data", "filters": { "stats": ["", "Species", "Dilution Info", "Notes"], "tabs": { "all-applications": {"fullname" : "All Applications", "shortname": "All Applications"}, "IHCP" : {"fullname" : "Immunohistochemistry (Formalin/PFA-fixed paraffin-embedded sections)", "shortname":"IHC-P"}, "WB" : {"fullname" : "Western blot", "shortname":"WB"} }, "product-promise": { "all": "all", "testedAndGuaranteed": "tested", "guaranteed": "expected", "predicted": "predicted", "notRecommended": "not-recommended" } }, "values": { "Human": { "IHCP-species-checked": "testedAndGuaranteed", "IHCP-species-dilution-info": "1/1000", "IHCP-species-notes": "<p>For unpurified use at 1/100.</p><p>The mouse and rat recommendation is based on the WB results. We do not guarantee IHC-P for mouse and rat.</p> Perform heat-mediated antigen retrieval with citrate buffer pH 6 before commencing with IHC staining protocol.", "WB-species-checked": "testedAndGuaranteed", "WB-species-dilution-info": "1/20000 - 1/100000", "WB-species-notes": "<p></p>" }, "Mouse": { "IHCP-species-checked": "guaranteed", "IHCP-species-dilution-info": "", "IHCP-species-notes": "", "WB-species-checked": "testedAndGuaranteed", "WB-species-dilution-info": "1/20000 - 1/100000", "WB-species-notes": "<p></p>" }, "Rat": { "IHCP-species-checked": "guaranteed", "IHCP-species-dilution-info": "", "IHCP-species-notes": "", "WB-species-checked": "testedAndGuaranteed", "WB-species-dilution-info": "1/20000 - 1/100000", "WB-species-notes": "<p></p>" } } }

Product details

Patented technology
Our RabMAb® technology is a patented hybridoma-based technology for making rabbit monoclonal antibodies. For details on our patents, please refer to RabMAb® patents.

What are the advantages of a recombinant monoclonal antibody?
This product is a recombinant monoclonal antibody, which offers several advantages including:

  • - High batch-to-batch consistency and reproducibility
  • - Improved sensitivity and specificity
  • - Long-term security of supply
  • - Animal-free batch production

For more information, read more on recombinant antibodies.

Properties and storage information

Form
Liquid
Purification technique
Affinity purification Protein A
Storage buffer
pH: 7.2 - 7.4 Preservative: 0.01% Sodium azide Constituents: PBS, 40% Glycerol (glycerin, glycerine), 0.05% BSA
Shipped at conditions
Blue Ice
Appropriate short-term storage conditions
+4°C
Appropriate long-term storage conditions
-20°C
Aliquoting information
Upon delivery aliquot
Storage information
Avoid freeze / thaw cycle

Product protocols

For this product, it's our understanding that no specific protocols are required. You can visit:

Target data

Troponin T is the tropomyosin-binding subunit of troponin, the thin filament regulatory complex which confers calcium-sensitivity to striated muscle actomyosin ATPase activity.
See full target information TNNT2

Publications (14)

Recent publications for all applications. Explore the full list and refine your search

Communications medicine 5:323 PubMed40745475

2025

Pantethine ameliorates dilated cardiomyopathy features in PPCS deficiency disorder in patients and cell line models.

Applications

Unspecified application

Species

Unspecified reactive species

Fangfang Zhang,Tatjana Dorn,Barbara Gnutti,Yair Anikster,Sarah Kuebler,Rebecca Ahrens-Nicklas,Rachel Gosselin,Shamima Rahman,Ronen Durst,Enrica Zanuttigh,Miriam A Güra,Christine M Poch,Anna B Meier,Karl-Ludwig Laugwitz,Hans-Joachim Schüller,Ana C Messias,Ody C Sibon,Dario Finazzi,Alyssa Rippert,Dong Li,Kristen Truxal,Deipanjan Nandi,Brent C Lampert,Mildrid Yeo,Alice Gardham,Batel Nissan,Smadar Horowitz Cederboim,Alessandra Moretti,Arcangela Iuso

Molecular genetics and metabolism reports 39:101069 PubMed38516405

2024

Induced pluripotent stem cell (iPSC) modeling validates reduced GBE1 enzyme activity due to a novel variant, p.Ile694Asn, found in a patient with suspected glycogen storage disease IV.

Applications

Unspecified application

Species

Unspecified reactive species

Chie Naito,Karis Kosar,Eriko Kishimoto,Loren Pena,Yilun Huang,Kaili Hao,Anas Bernieh,Jennifer Kasten,Chet Villa,Priya Kishnani,Bali Deeksha,Mingxia Gu,Akihiro Asai

Frontiers in cell and developmental biology 11:1111684 PubMed37261075

2023

Recapitulating porcine cardiac development : from expanded potential stem cell to embryo culture models.

Applications

Unspecified application

Species

Unspecified reactive species

Hilansi Rawat,Jessica Kornherr,Dorota Zawada,Sara Bakhshiyeva,Christian Kupatt,Karl-Ludwig Laugwitz,Andrea Bähr,Tatjana Dorn,Alessandra Moretti,Monika Nowak-Imialek

The Journal of clinical investigation 133: PubMed36548062

2023

Targeting myeloid cell coagulation signaling blocks MAP kinase/TGF-β1-driven fibrotic remodeling in ischemic heart failure.

Applications

Unspecified application

Species

Unspecified reactive species

Venkata Garlapati,Michael Molitor,Thomas Michna,Gregory S Harms,Stefanie Finger,Rebecca Jung,Jeremy Lagrange,Panagiotis Efentakis,Johannes Wild,Maike Knorr,Susanne Karbach,Sabine Wild,Ksenija Vujacic-Mirski,Thomas Münzel,Andreas Daiber,Moritz Brandt,Tommaso Gori,Hendrik Milting,Stefan Tenzer,Wolfram Ruf,Philip Wenzel

Cancer cell international 22:129 PubMed35305640

2022

Knockdown of RSPH14 inhibits proliferation, migration, and invasion and promotes apoptosis of hepatocellular carcinoma via RelA.

Applications

Unspecified application

Species

Unspecified reactive species

Dawei Yuan,Rulan Ma,Tuanhe Sun,Kun Zhu,Chengxue Dang,Haixia Ye,Kang Li

iScience 25:103596 PubMed34988410

2022

Cell cycle defects underlie childhood-onset cardiomyopathy associated with Noonan syndrome.

Applications

Unspecified application

Species

Unspecified reactive species

Anna B Meier,Sarala Raj Murthi,Hilansi Rawat,Christopher N Toepfer,Gianluca Santamaria,Manuel Schmid,Elisa Mastantuono,Thomas Schwarzmayr,Riccardo Berutti,Julie Cleuziou,Peter Ewert,Agnes Görlach,Karin Klingel,Karl-Ludwig Laugwitz,Christine E Seidman,Jonathan G Seidman,Alessandra Moretti,Cordula M Wolf

Frontiers in cell and developmental biology 9:737840 PubMed34805146

2021

Incomplete Assembly of the Dystrophin-Associated Protein Complex in 2D and 3D-Cultured Human Induced Pluripotent Stem Cell-Derived Cardiomyocytes.

Applications

Unspecified application

Species

Unspecified reactive species

Guillaume Gilbert,Chandan Kadur Nagaraju,Robin Duelen,Matthew Amoni,Pierre Bobin,Thomas Eschenhagen,H Llewelyn Roderick,Maurilio Sampaolesi,Karin R Sipido

Acta biomaterialia 102:220-230 PubMed31634626

2019

Modular design of a tissue engineered pulsatile conduit using human induced pluripotent stem cell-derived cardiomyocytes.

Applications

Unspecified application

Species

Unspecified reactive species

Jinkyu Park,Christopher W Anderson,Lorenzo R Sewanan,Mehmet H Kural,Yan Huang,Jiesi Luo,Liqiong Gui,Muhammad Riaz,Colleen A Lopez,Ronald Ng,Subhash K Das,Juan Wang,Laura Niklason,Stuart G Campbell,Yibing Qyang

Molecular medicine reports 19:302-308 PubMed30431112

2018

Expression profile of long non‑coding RNAs in cardiomyocytes exposed to acute ischemic hypoxia.

Applications

Unspecified application

Species

Unspecified reactive species

Hua Li,Zijie Cheng,Yuanyuan Tang,Mengwen Feng,Anwen Yin,Hao Zhang,Jia Xu,Qijun Zhang,Jinsong Zhang,Lingmei Qian

Frontiers in physiology 9:1026 PubMed30108516

2018

Inhalation of Hydrogen Attenuates Progression of Chronic Heart Failure via Suppression of Oxidative Stress and P53 Related to Apoptosis Pathway in Rats.

Applications

Unspecified application

Species

Unspecified reactive species

Jing Chi,Zizhuo Li,Xiaojian Hong,Tong Zhao,Yueyue Bie,Wen Zhang,Jiaxing Yang,Ziming Feng,Zhouqi Yu,Qiannan Xu,Luqi Zhao,Weifan Liu,Yunan Gao,Hongxiao Yang,Jiemei Yang,Jiaren Liu,Wei Yang
View all publications

Product promise

We are committed to supporting your work with high-quality reagents, and we're here for you every step of the way. In the unlikely event that one of our products does not perform as expected, you're protected by our Product Promise.
For full details, please see our Terms & Conditions

Please note: All products are 'FOR RESEARCH USE ONLY. NOT FOR USE IN DIAGNOSTIC OR THERAPEUTIC PROCEDURES'.

For licensing inquiries, please contact partnerships@abcam.com