JavaScript is disabled in your browser. Please enable JavaScript to view this website.
AB279344

Anti-CARM1 antibody [EPR23678-113] - BSA and Azide free

  • BOND RX™ Validated
  • RabMAb
  • Recombinant
  • KO Validated
  • What is this?

2

(1 Review)

|

(0 Publication)

Rabbit Recombinant Monoclonal CARM1 antibody. Carrier free. Suitable for WB, Flow Cyt (Intra), IHC-P and reacts with Human, Rat, Mouse samples.

View Alternative Names

PRMT4, CARM1, Histone-arginine methyltransferase CARM1, Coactivator-associated arginine methyltransferase 1, Protein arginine N-methyltransferase 4

9 Images
Western blot - Anti-CARM1 antibody [EPR23678-113] - BSA and Azide free (AB279344)
  • WB

Lab

Western blot - Anti-CARM1 antibody [EPR23678-113] - BSA and Azide free (AB279344)

This data was developed using ab243638, the same antibody clone in a different buffer formulation.

Blocking and diluting buffer and concentration : 5% NFDM/TBST

Samples are non-boiled as boiling may cause protein aggregates

Exposure times :

Lane 1-2 : 15 seconds

Lane 3 : 92 seconds

All lanes:

Western blot - Anti-CARM1 antibody [EPR23678-113] (<a href='/en-us/products/primary-antibodies/carm1-antibody-epr23678-113-ab243638'>ab243638</a>) at 1/1000 dilution

Lane 1:

Mouse liver tissue lysate at 20 µg

Lane 2:

Mouse lung tissue lysate at 20 µg

Lane 3:

Rat liver tissue lysate at 20 µg

Secondary

All lanes:

Western blot - Goat Anti-Rabbit IgG H&L (HRP) (<a href='/en-us/products/secondary-antibodies/goat-rabbit-igg-h-l-hrp-ab97051'>ab97051</a>) at 1/100000 dilution

Predicted band size: 65 kDa

Observed band size: 65 kDa

false

Immunohistochemistry (Formalin/PFA-fixed paraffin-embedded sections) - Anti-CARM1 antibody [EPR23678-113] - BSA and Azide free (AB279344)
  • IHC-P

Supplier Data

Immunohistochemistry (Formalin/PFA-fixed paraffin-embedded sections) - Anti-CARM1 antibody [EPR23678-113] - BSA and Azide free (AB279344)

This data was developed using ab243638, the same antibody clone in a different buffer formulation.

Immunohistochemical analysis of paraffin-embedded mouse liver tissue labeling CARM1 with ab243638 at 1/200 dilution followed by ready to use LeicaDS9800 (Bond™ Polymer Refine Detection). Positive staining on mouse liver. The section was incubated with ab243638 for 30 mins at room temperature. The immunostaining was performed on a Leica Biosystems BOND® RX instrument. Counterstained with Hematoxylin.

Secondary antibody only control : Secondary antibody is ready to use LeicaDS9800 (Bond™ Polymer Refine Detection).

Heat mediated antigen retrieval with Tris-EDTA buffer (pH 9.0, epitope retrieval solution2) for 20 mins.

Flow Cytometry (Intracellular) - Anti-CARM1 antibody [EPR23678-113] - BSA and Azide free (AB279344)
  • Flow Cyt (Intra)

Supplier Data

Flow Cytometry (Intracellular) - Anti-CARM1 antibody [EPR23678-113] - BSA and Azide free (AB279344)

This data was developed using ab243638, the same antibody clone in a different buffer formulation.

Flow cytometric analysis of 4% paraformaldehyde fixed 90% methanol permeabilized Wild-type HEK-293T (human embryonic kidney epithelial cell, Right panel)/ CARM1 knockout HEK-293T cells (Left panel) cells labeling CARM1 with ab243638 at 1/500 dilution (Red) compared with a Rabbit monoclonal IgG (ab172730) (Black) isotype control and an unlabeled control (cells without incubation with primary antibody and secondary antibody) (Blue).

Goat anti rabbit IgG (Alexa Fluor® 488, ab150077) at 1/2000 dilution was used as the secondary antibody.

Positive staining on HEK-293T cells (ab255449), while no staining on CARM1 knockout HEK-293T cells (ab266557).

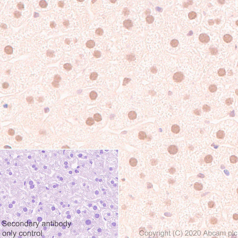
Immunohistochemistry (Formalin/PFA-fixed paraffin-embedded sections) - Anti-CARM1 antibody [EPR23678-113] - BSA and Azide free (AB279344)
  • IHC-P

Supplier Data

Immunohistochemistry (Formalin/PFA-fixed paraffin-embedded sections) - Anti-CARM1 antibody [EPR23678-113] - BSA and Azide free (AB279344)

This data was developed using ab243638, the same antibody clone in a different buffer formulation.

Immunohistochemical analysis of paraffin-embedded rat colon tissue labeling CARM1 with ab243638 at 1/200 dilution followed by ready to use LeicaDS9800 (Bond™ Polymer Refine Detection). Positive staining on rat colon. The section was incubated with ab243638 for 30 mins at room temperature. The immunostaining was performed on a Leica Biosystems BOND® RX instrument. Counterstained with Hematoxylin.

Secondary antibody only control : Secondary antibody is ready to use LeicaDS9800 (Bond™ Polymer Refine Detection).

Heat mediated antigen retrieval with Tris-EDTA buffer (pH 9.0, epitope retrieval solution2) for 20 mins.

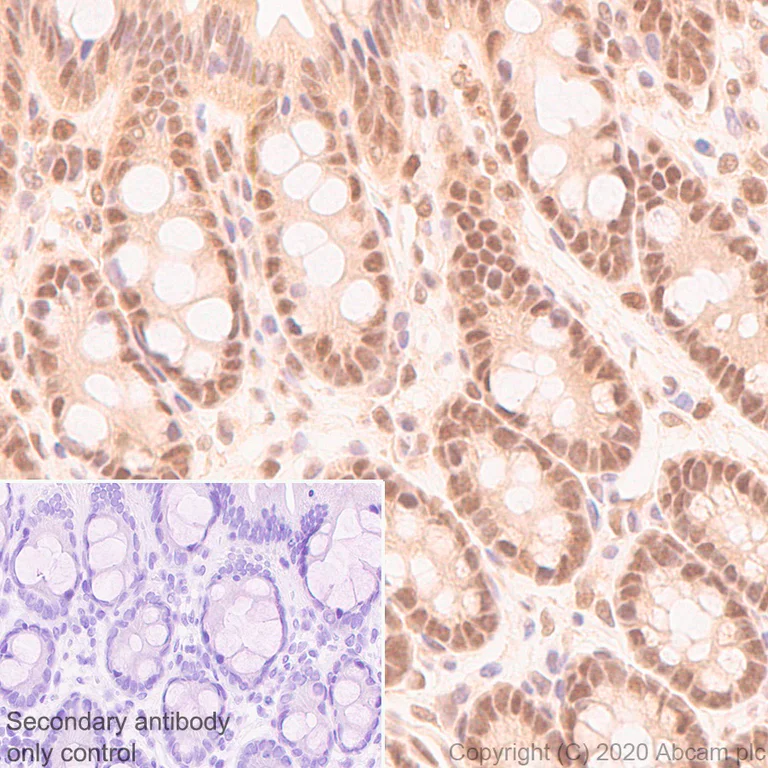
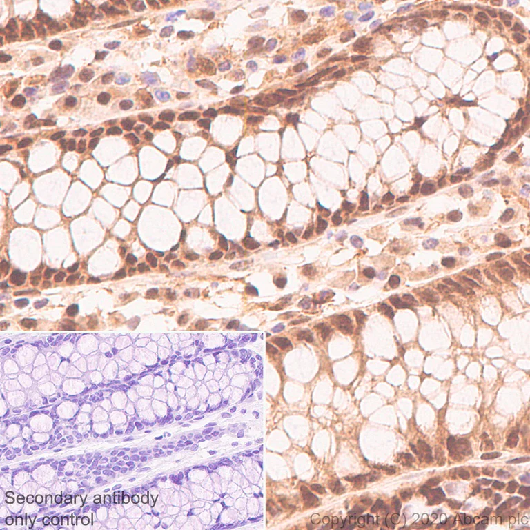
Immunohistochemistry (Formalin/PFA-fixed paraffin-embedded sections) - Anti-CARM1 antibody [EPR23678-113] - BSA and Azide free (AB279344)
  • IHC-P

Supplier Data

Immunohistochemistry (Formalin/PFA-fixed paraffin-embedded sections) - Anti-CARM1 antibody [EPR23678-113] - BSA and Azide free (AB279344)

This data was developed using ab243638, the same antibody clone in a different buffer formulation.

Immunohistochemical analysis of paraffin-embedded human colon tissue labeling CARM1 with ab243638 at 1/200 dilution followed by ready to use LeicaDS9800 (Bond™ Polymer Refine Detection). Positive staining on human colon (PMID : 20462455). The section was incubated with ab243638 for 30 mins at room temperature. The immunostaining was performed on a Leica Biosystems BOND® RX instrument. Counterstained with Hematoxylin.

Secondary antibody only control : Secondary antibody is ready to use LeicaDS9800 (Bond™ Polymer Refine Detection).

Heat mediated antigen retrieval with Tris-EDTA buffer (pH 9.0, epitope retrieval solution2) for 20 mins.

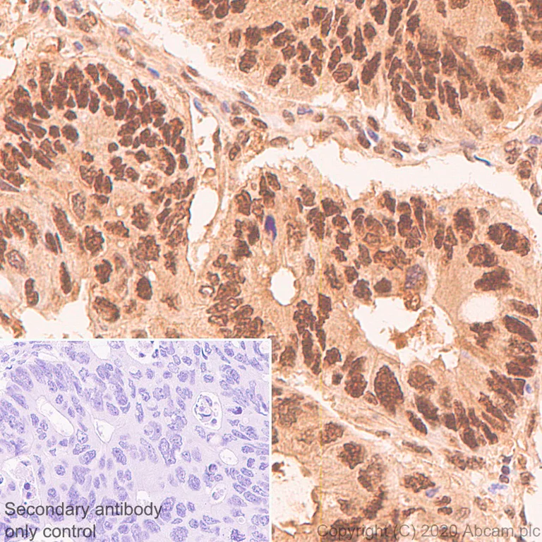
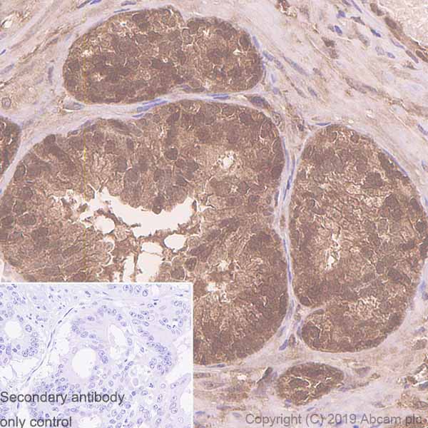
Immunohistochemistry (Formalin/PFA-fixed paraffin-embedded sections) - Anti-CARM1 antibody [EPR23678-113] - BSA and Azide free (AB279344)
  • IHC-P

Supplier Data

Immunohistochemistry (Formalin/PFA-fixed paraffin-embedded sections) - Anti-CARM1 antibody [EPR23678-113] - BSA and Azide free (AB279344)

This data was developed using ab243638, the same antibody clone in a different buffer formulation.

Immunohistochemical analysis of paraffin-embedded human colon carcinoma tissue labeling CARM1 with ab243638 at 1/200 dilution followed by ready to use LeicaDS9800 (Bond™ Polymer Refine Detection). Positive staining on human colon carcinoma (PMID : 20462455). The section was incubated with ab243638 for 30 mins at room temperature. The immunostaining was performed on a Leica Biosystems BOND® RX instrument. Counterstained with Hematoxylin.

Secondary antibody only control : Secondary antibody is ready to use LeicaDS9800 (Bond™ Polymer Refine Detection).

Heat mediated antigen retrieval with Tris-EDTA buffer (pH 9.0, epitope retrieval solution2) for 20 mins.

Flow Cytometry (Intracellular) - Anti-CARM1 antibody [EPR23678-113] - BSA and Azide free (AB279344)
  • Flow Cyt (Intra)

Supplier Data

Flow Cytometry (Intracellular) - Anti-CARM1 antibody [EPR23678-113] - BSA and Azide free (AB279344)

This data was developed using ab243638, the same antibody clone in a different buffer formulation.

Flow cytometric analysis of 4% paraformaldehyde fixed 90% methanol permeabilized HeLa (Human cervix adenocarcinoma epithelial cell) cells labeling CARM1 with ab243638 at 1/500 dilution (Red) compared with a Rabbit monoclonal IgG (ab172730) (Black) isotype control and an unlabeled control (cells without incubation with primary antibody and secondary antibody) (Blue).

Goat anti rabbit IgG (Alexa Fluor® 488, ab150077) at 1/2000 dilution was used as the secondary antibody.

Western blot - Anti-CARM1 antibody [EPR23678-113] - BSA and Azide free (AB279344)
  • WB

Lab

Western blot - Anti-CARM1 antibody [EPR23678-113] - BSA and Azide free (AB279344)

This data was developed using ab243638, the same antibody clone in a different buffer formulation.

Blocking and diluting buffer and concentration : Intercept® (TBS) Blocking Buffer diluted with an equal volume of 0.1% TBS.

Lanes 1 - 4 : Merged signal (red and green). Green - ab243638 observed at 65 kDa. Red - loading control ab8245 (Mouse monoclonal [6C5] to GAPDH) observed at 36 kDa.

ab243638 was shown to react with CARM1 in wild-type HEK-293T cells in western blot with loss of signal observed in CARM1 knockout cell line ab266557 (CARM1 knockout cell lysate ab257871). Wild-type and CARM1 knockout HEK-293T cell lysates were subjected to SDS-PAGE.

ab243638 and Anti-GAPDH antibody [6C5] - Loading Control (ab8245) were incubated at 4°C overnight at 1 in 1000 dilution and 1 in 20000 dilution respectively. Blots were developed with Goat anti-Rabbit IgG H&L (IRDye® 800CW) preadsorbed (ab216773) and Goat anti-Mouse IgG H&L (IRDye® 680RD) preadsorbed (ab216776) secondary antibodies at 1 in 10000 dilution for 1 hour at room temperature before imaging.

Boiled samples are used in this blot.

All lanes:

Western blot - Anti-CARM1 antibody [EPR23678-113] (<a href='/en-us/products/primary-antibodies/carm1-antibody-epr23678-113-ab243638'>ab243638</a>) at 1/1000 dilution

Lane 1:

Wild-type HEK-293T (human embryonic kidney epithelial cell), whole cell lysate at 20 µg

Lane 2:

CARM1 knockout HEK-293T (human embryonic kidney epithelial cell), whole cell lysate at 20 µg

Lane 2:

Western blot - Human CARM1 knockout HEK-293T cell line (<a href='/en-us/products/cell-lines/human-carm1-knockout-hek-293t-cell-line-ab266557'>ab266557</a>)

Lane 3:

HeLa (human cervix adenocarcinoma epithelial cell), whole cell lysate at 20 µg

Lane 4:

HCT116 (human colorectal carcinoma epithelial cell), whole cell lysate at 20 µg

Secondary

All lanes:

Western blot - Goat anti-Mouse IgG H&L (IRDye® 680RD) preadsorbed (<a href='/en-us/products/secondary-antibodies/goat-mouse-igg-h-l-irdye-680rd-preadsorbed-ab216776'>ab216776</a>) at 1/10000 dilution

Predicted band size: 65 kDa

Observed band size: 65 kDa

false

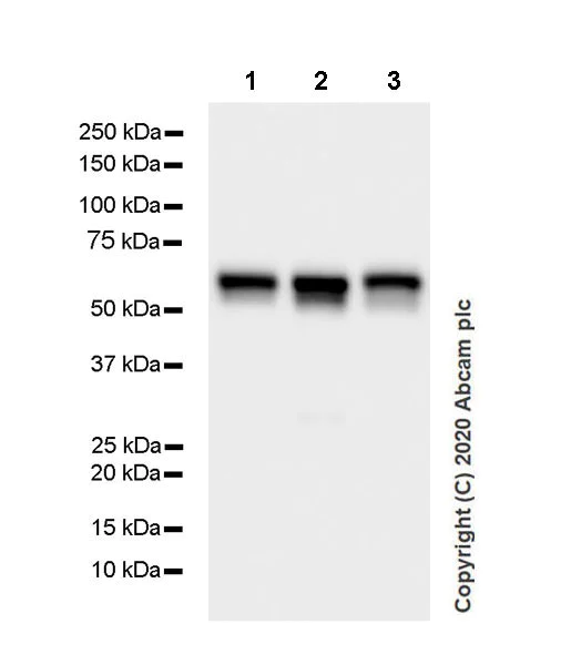
Western blot - Anti-CARM1 antibody [EPR23678-113] - BSA and Azide free (AB279344)
  • WB

Lab

Western blot - Anti-CARM1 antibody [EPR23678-113] - BSA and Azide free (AB279344)

This data was developed using ab243638, the same antibody clone in a different buffer formulation

Blocking and diluting buffer and concentration : 5% NFDM/TBST

Samples are non-boiled as boiling may cause protein aggregates

Exposure time : 10 seconds

All lanes:

Western blot - Anti-CARM1 antibody [EPR23678-113] (<a href='/en-us/products/primary-antibodies/carm1-antibody-epr23678-113-ab243638'>ab243638</a>) at 1/1000 dilution

Lane 1:

HeLa (human cervix adenocarcinoma epithelial cell), whole cell lysate at 20 µg

Lane 2:

HCT116 (human colorectal carcinoma epithelial cell), whole cell lysate at 20 µg

Lane 3:

NIH/3T3 (mouse embryonic fibroblast), whole cell lysate at 20 µg

Secondary

All lanes:

Western blot - Goat Anti-Rabbit IgG H&L (HRP) (<a href='/en-us/products/secondary-antibodies/goat-rabbit-igg-h-l-hrp-ab97051'>ab97051</a>) at 1/100000 dilution

Predicted band size: 65 kDa

Observed band size: 65 kDa

false

Key facts

Host species

Rabbit

Clonality

Monoclonal

Clone number

EPR23678-113

Isotype

IgG

Carrier free

Yes

Reacts with

Mouse, Rat, Human

Applications

WB, IHC-P, Flow Cyt (Intra)

applications

Immunogen

The exact immunogen used to generate this antibody is proprietary information.

Reactivity data

{ "title": "Reactivity Data", "filters": { "stats": ["", "Species", "Dilution Info", "Notes"], "tabs": { "all-applications": {"fullname" : "All Applications", "shortname": "All Applications"}, "ICCIF" : {"fullname" : "Immunocytochemistry/ Immunofluorescence", "shortname":"ICC/IF"}, "IP" : {"fullname" : "Immunoprecipitation", "shortname":"IP"}, "ChIP" : {"fullname" : "ChIP", "shortname":"ChIP"}, "WB" : {"fullname" : "Western blot", "shortname":"WB"}, "FlowCytIntra" : {"fullname" : "Flow Cytometry (Intracellular)", "shortname":"Flow Cyt (Intra)"}, "IHCP" : {"fullname" : "Immunohistochemistry (Formalin/PFA-fixed paraffin-embedded sections)", "shortname":"IHC-P"} }, "product-promise": { "all": "all", "testedAndGuaranteed": "tested", "guaranteed": "expected", "predicted": "predicted", "notRecommended": "not-recommended" } }, "values": { "Human": { "ICCIF-species-checked": "notRecommended", "ICCIF-species-dilution-info": "", "ICCIF-species-notes": "<p></p>", "IP-species-checked": "notRecommended", "IP-species-dilution-info": "", "IP-species-notes": "<p></p>", "ChIP-species-checked": "notRecommended", "ChIP-species-dilution-info": "", "ChIP-species-notes": "<p></p>", "WB-species-checked": "testedAndGuaranteed", "WB-species-dilution-info": "", "WB-species-notes": "<p></p>", "FlowCytIntra-species-checked": "testedAndGuaranteed", "FlowCytIntra-species-dilution-info": "", "FlowCytIntra-species-notes": "<p></p>", "IHCP-species-checked": "testedAndGuaranteed", "IHCP-species-dilution-info": "", "IHCP-species-notes": "<p></p> Perform heat-mediated antigen retrieval with Tris/EDTA buffer pH 9.0 before commencing with IHC staining protocol." }, "Mouse": { "ICCIF-species-checked": "notRecommended", "ICCIF-species-dilution-info": "", "ICCIF-species-notes": "<p></p> Perform heat-mediated antigen retrieval with Tris/EDTA buffer pH 9.0 before commencing with IHC staining protocol.", "IP-species-checked": "notRecommended", "IP-species-dilution-info": "", "IP-species-notes": "<p></p>", "ChIP-species-checked": "notRecommended", "ChIP-species-dilution-info": "", "ChIP-species-notes": "<p></p>", "WB-species-checked": "testedAndGuaranteed", "WB-species-dilution-info": "", "WB-species-notes": "<p></p>", "FlowCytIntra-species-checked": "notRecommended", "FlowCytIntra-species-dilution-info": "", "FlowCytIntra-species-notes": "<p></p>", "IHCP-species-checked": "testedAndGuaranteed", "IHCP-species-dilution-info": "", "IHCP-species-notes": "<p></p> Perform heat-mediated antigen retrieval with Tris/EDTA buffer pH 9.0 before commencing with IHC staining protocol." }, "Rat": { "ICCIF-species-checked": "notRecommended", "ICCIF-species-dilution-info": "", "ICCIF-species-notes": "<p></p>", "IP-species-checked": "notRecommended", "IP-species-dilution-info": "", "IP-species-notes": "<p></p>", "ChIP-species-checked": "notRecommended", "ChIP-species-dilution-info": "", "ChIP-species-notes": "<p></p>", "WB-species-checked": "testedAndGuaranteed", "WB-species-dilution-info": "", "WB-species-notes": "<p></p>", "FlowCytIntra-species-checked": "guaranteed", "FlowCytIntra-species-dilution-info": "", "FlowCytIntra-species-notes": "", "IHCP-species-checked": "testedAndGuaranteed", "IHCP-species-dilution-info": "", "IHCP-species-notes": "<p></p> Perform heat-mediated antigen retrieval with Tris/EDTA buffer pH 9.0 before commencing with IHC staining protocol." } } }

Product details

ab279344 is the carrier-free version of ab243638.

Patented technology
Our RabMAb® technology is a patented hybridoma-based technology for making rabbit monoclonal antibodies. For details on our patents, please refer to RabMAb® patents.

What are the advantages of a recombinant monoclonal antibody?
This product is a recombinant monoclonal antibody, which offers several advantages including:

  • - High batch-to-batch consistency and reproducibility
  • - Improved sensitivity and specificity
  • - Long-term security of supply
  • - Animal-free batch production

For more information, read more on recombinant antibodies.

Conjugation ready
Our carrier-free antibodies are typically supplied in a PBS-only formulation, purified and free of BSA, sodium azide and glycerol. This conjugation-ready format is designed for use with fluorochromes, metal isotopes, oligonucleotides, and enzymes, which makes them ideal for antibody labelling, functional and cell-based assays, flow-based assays (e.g. mass cytometry) and Multiplex Imaging applications.

Use our conjugation kits for antibody conjugates that are ready-to-use in as little as 20 minutes with 1 minute hands-on-time and 100% antibody recovery: available for fluorescent dyes, HRP, biotin and gold.

Compatibility
This product is compatible with the Maxpar® Antibody Labeling Kit from Fluidigm, without the need for antibody preparation. Maxpar® is a trademark of Fluidigm Canada Inc.

Properties and storage information

Form
Liquid
Purification technique
Affinity purification Protein A
Storage buffer
Constituents: 100% PBS
Shipped at conditions
Blue Ice
Appropriate short-term storage conditions
+4°C
Appropriate long-term storage conditions
+4°C

Supplementary information

This supplementary information is collated from multiple sources and compiled automatically.

CARM1 also known as PRMT4 is a protein with a mass of approximately 65 kDa. It belongs to the protein arginine methyltransferase (PRMT) family of enzymes. CARM1 modifies histones by methylating arginine residues which plays a role in regulating transcription. This protein expresses widely across diverse tissues but shows higher levels in the lung thymus and spleen. These expression patterns suggest its broad function in modulating gene expression within specialized tissues.
Biological function summary

CARM1 serves as an important regulator of transcriptional activation. It can act independently or as part of a multiprotein complex to enhance transcription factor activity including steroid hormone receptors. In addition to histones CARM1 targets non-histone proteins like p300/CBP which affects their coactivator functions. It has a significant impact on gene expression by altering chromatin structure and accessibility thereby influencing cellular processes like differentiation and proliferation.

Pathways

One can find CARM1 involved in pathways controlling gene expression and cell cycle regulation. The protein is particularly important in the estrogen receptor signaling pathway where it interacts with the estrogen receptor alpha (ERα) and modulates transcriptional activation of estrogen-responsive genes. It also plays a role in the p53 signaling pathway by enhancing p53-mediated transcriptional activation linking CARM1 to cell cycle arrest and apoptosis. Both pathways highlight its importance in cellular growth and homeostasis.

Abnormalities in CARM1 function connect to specific cancers including breast and prostate cancer. Its deregulation leads to altered methylation patterns that can drive cancer progression and metastasis. CARM1 influences the expression and activity of proteins such as cyclin D1 which affects cell cycle progression and tumor growth. Understanding the involvement of CARM1 in these disorders opens potential therapeutic avenues for targeting its aberrant pathways in cancer treatment.

Product protocols

For this product, it's our understanding that no specific protocols are required. You can visit:

Target data

Methylates (mono- and asymmetric dimethylation) the guanidino nitrogens of arginyl residues in several proteins involved in DNA packaging, transcription regulation, pre-mRNA splicing, and mRNA stability (PubMed : 12237300, PubMed : 16497732, PubMed : 19405910). Recruited to promoters upon gene activation together with histone acetyltransferases from EP300/P300 and p160 families, methylates histone H3 at 'Arg-17' (H3R17me), forming mainly asymmetric dimethylarginine (H3R17me2a), leading to activation of transcription via chromatin remodeling (PubMed : 12237300, PubMed : 16497732, PubMed : 19405910). During nuclear hormone receptor activation and TCF7L2/TCF4 activation, acts synergically with EP300/P300 and either one of the p160 histone acetyltransferases NCOA1/SRC1, NCOA2/GRIP1 and NCOA3/ACTR or CTNNB1/beta-catenin to activate transcription (By similarity). During myogenic transcriptional activation, acts together with NCOA3/ACTR as a coactivator for MEF2C (By similarity). During monocyte inflammatory stimulation, acts together with EP300/P300 as a coactivator for NF-kappa-B (By similarity). Acts as a coactivator for PPARG, promotes adipocyte differentiation and the accumulation of brown fat tissue (By similarity). Plays a role in the regulation of pre-mRNA alternative splicing by methylation of splicing factors (By similarity). Also seems to be involved in p53/TP53 transcriptional activation (By similarity). Methylates EP300/P300, both at 'Arg-2142', which may loosen its interaction with NCOA2/GRIP1, and at 'Arg-580' and 'Arg-604' in the KIX domain, which impairs its interaction with CREB and inhibits CREB-dependent transcriptional activation (PubMed : 15731352). Also methylates arginine residues in RNA-binding proteins PABPC1, ELAVL1 and ELAV4, which may affect their mRNA-stabilizing properties and the half-life of their target mRNAs (By similarity). Acts as a transcriptional coactivator of ACACA/acetyl-CoA carboxylase by enriching H3R17 methylation at its promoter, thereby positively regulating fatty acid synthesis (By similarity). Independently of its methyltransferase activity, involved in replication fork progression : promotes PARP1 recruitment to replication forks, leading to poly-ADP-ribosylation of chromatin at replication forks and reduced fork speed (PubMed : 33412112).
See full target information CARM1

Product promise

We are committed to supporting your work with high-quality reagents, and we're here for you every step of the way. In the unlikely event that one of our products does not perform as expected, you're protected by our Product Promise.
For full details, please see our Terms & Conditions

Please note: All products are 'FOR RESEARCH USE ONLY. NOT FOR USE IN DIAGNOSTIC OR THERAPEUTIC PROCEDURES'.

For licensing inquiries, please contact partnerships@abcam.com