JavaScript is disabled in your browser. Please enable JavaScript to view this website.
AB113409

Anti-Carma 1/CARD11 antibody

Be the first to review this product! Submit a review

|

(3 Publications)

Rabbit Polyclonal Carma 1/CARD11 antibody. Suitable for WB, IHC-P and reacts with Human samples. Cited in 3 publications. Immunogen corresponding to Recombinant Full Length Protein corresponding to Human CARD11.

View Alternative Names

CARMA1, CARD11, Caspase recruitment domain-containing protein 11, CARD-containing MAGUK protein 1, Carma 1

3 Images
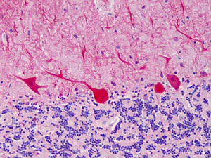
Immunohistochemistry (Formalin/PFA-fixed paraffin-embedded sections) - Anti-Carma 1/CARD11 antibody (AB113409)
  • IHC-P

Unknown

Immunohistochemistry (Formalin/PFA-fixed paraffin-embedded sections) - Anti-Carma 1/CARD11 antibody (AB113409)

Immunohistochemistry of Formalin-fixed, Paraffin-embedded Purkinje cells and fibers in the human cerebellum labeling Carma 1/CARD11 using ab113409 at 10 μg/ml. Image shows staining of macrophages, mast cells, subsets of lymphocytes and plasma cells.

Western blot - Anti-Carma 1/CARD11 antibody (AB113409)
  • WB

Unknown

Western blot - Anti-Carma 1/CARD11 antibody (AB113409)

5% SDS PAGE

All lanes:

Western blot - Anti-Carma 1/CARD11 antibody (ab113409) at 1/1000 dilution

Lane 1:

A431 whole cell lysate at 30 µg

Lane 2:

Raji whole cell lysate at 30 µg

Predicted band size: 133 kDa

false

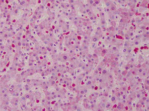
Immunohistochemistry (Formalin/PFA-fixed paraffin-embedded sections) - Anti-Carma 1/CARD11 antibody (AB113409)
  • IHC-P

Unknown

Immunohistochemistry (Formalin/PFA-fixed paraffin-embedded sections) - Anti-Carma 1/CARD11 antibody (AB113409)

Immunohistochemistry of Formalin-fixed, Paraffin-embedded Kupffer cells in the sinusoids of the liver labeling Carma 1/CARD11 using ab113409 at 10 μg/ml. Image shows staining of macrophages, mast cells, subsets of lymphocytes and plasma cells.

Key facts

Host species

Rabbit

Clonality

Polyclonal

Isotype

IgG

Carrier free

No

Reacts with

Human

Applications

WB, IHC-P

applications

Immunogen

Recombinant Full Length Protein corresponding to Human CARD11.

Q9BXL7

Reactivity data

{ "title": "Reactivity Data", "filters": { "stats": ["", "Species", "Dilution Info", "Notes"], "tabs": { "all-applications": {"fullname" : "All Applications", "shortname": "All Applications"}, "WB" : {"fullname" : "Western blot", "shortname":"WB"}, "IHCP" : {"fullname" : "Immunohistochemistry (Formalin/PFA-fixed paraffin-embedded sections)", "shortname":"IHC-P"} }, "product-promise": { "all": "all", "testedAndGuaranteed": "tested", "guaranteed": "expected", "predicted": "predicted", "notRecommended": "not-recommended" } }, "values": { "Human": { "WB-species-checked": "testedAndGuaranteed", "WB-species-dilution-info": "1/500 - 1/3000", "WB-species-notes": "<p></p>", "IHCP-species-checked": "testedAndGuaranteed", "IHCP-species-dilution-info": "1/100", "IHCP-species-notes": "<p>Antigen retrieval conditions: Steam slides in 0.01 M sodium citrate buffer, pH 6.0 at 99-100°C - 20 minute</p>" }, "Mouse": { "WB-species-checked": "predicted", "WB-species-dilution-info": "", "WB-species-notes": "", "IHCP-species-checked": "predicted", "IHCP-species-dilution-info": "", "IHCP-species-notes": "" }, "Cow": { "WB-species-checked": "predicted", "WB-species-dilution-info": "", "WB-species-notes": "", "IHCP-species-checked": "predicted", "IHCP-species-dilution-info": "", "IHCP-species-notes": "" } } }

Properties and storage information

Form
Liquid
Purification technique
Affinity purification Protein A
Storage buffer
pH: 7 Preservative: 0.01% Thimerosal (merthiolate) Constituents: 89% Tris glycine, 10% Glycerol (glycerin, glycerine)
Shipped at conditions
Blue Ice
Appropriate short-term storage conditions
+4°C
Appropriate long-term storage conditions
-20°C
Aliquoting information
Upon delivery aliquot
Storage information
Avoid freeze / thaw cycle

Product protocols

For this product, it's our understanding that no specific protocols are required. You can visit:

Target data

Adapter protein that plays a key role in adaptive immune response by transducing the activation of NF-kappa-B downstream of T-cell receptor (TCR) and B-cell receptor (BCR) engagement (PubMed : 11278692, PubMed : 11356195, PubMed : 12356734). Transduces signals downstream TCR or BCR activation via the formation of a multiprotein complex together with BCL10 and MALT1 that induces NF-kappa-B and MAP kinase p38 (MAPK11, MAPK12, MAPK13 and/or MAPK14) pathways (PubMed : 11356195). Upon activation in response to TCR or BCR triggering, CARD11 homooligomerizes to form a nucleating helical template that recruits BCL10 via CARD-CARD interaction, thereby promoting polymerization of BCL10 and subsequent recruitment of MALT1 : this leads to I-kappa-B kinase (IKK) phosphorylation and degradation, and release of NF-kappa-B proteins for nuclear translocation (PubMed : 24074955). Its binding to DPP4 induces T-cell proliferation and NF-kappa-B activation in a T-cell receptor/CD3-dependent manner (PubMed : 17287217). Promotes linear ubiquitination of BCL10 by promoting the targeting of BCL10 to RNF31/HOIP (PubMed : 27777308). Stimulates the phosphorylation of BCL10 (PubMed : 11356195). Also activates the TORC1 signaling pathway (PubMed : 28628108).
See full target information CARD11

Publications (3)

Recent publications for all applications. Explore the full list and refine your search

Cancer discovery 12:1922-1941 PubMed35658124

2022

BCL10 Mutations Define Distinct Dependencies Guiding Precision Therapy for DLBCL.

Applications

Unspecified application

Species

Unspecified reactive species

Min Xia,Liron David,Matt Teater,Johana Gutierrez,Xiang Wang,Cem Meydan,Andrew Lytle,Graham W Slack,David W Scott,Ryan D Morin,Ozlem Onder,Kojo S J Elenitoba-Johnson,Nahuel Zamponi,Leandro Cerchietti,Tianbao Lu,Ulrike Philippar,Lorena Fontan,Hao Wu,Ari M Melnick

Molecular cancer research : MCR 19:1917-1928 PubMed34348992

2021

Gene Body Methylation of the Lymphocyte-Specific Gene Results in Its Overexpression and Regulates Cancer mTOR Signaling.

Applications

Unspecified application

Species

Unspecified reactive species

Michael H McGuire,Santosh K Dasari,Hui Yao,Yunfei Wen,Lingegowda S Mangala,Emine Bayraktar,Wencai Ma,Cristina Ivan,Einav Shoshan,Sherry Y Wu,Eric Jonasch,Menashe Bar-Eli,Jing Wang,Keith A Baggerly,Anil K Sood

The American journal of pathology 185:2354-63 PubMed26212909

2015

Novel CARD11 Mutations in Human Cutaneous Squamous Cell Carcinoma Lead to Aberrant NF-κB Regulation.

Applications

Unspecified application

Species

Unspecified reactive species

Stephen A Watt,Karin J Purdie,Nicoline Y den Breems,Michelle Dimon,Sarah T Arron,Angela T McHugh,Dylan J Xue,Jasbani H S Dayal,Charlotte M Proby,Catherine A Harwood,Irene M Leigh,Andrew P South
View all publications

Product promise

We are committed to supporting your work with high-quality reagents, and we're here for you every step of the way. In the unlikely event that one of our products does not perform as expected, you're protected by our Product Promise.
For full details, please see our Terms & Conditions

Please note: All products are 'FOR RESEARCH USE ONLY. NOT FOR USE IN DIAGNOSTIC OR THERAPEUTIC PROCEDURES'.

For licensing inquiries, please contact partnerships@abcam.com