JavaScript is disabled in your browser. Please enable JavaScript to view this website.
AB248142

Anti-CARS antibody [EPR7121] - BSA and Azide free

Be the first to review this product! Submit a review

|

(1 Publication)

Rabbit Recombinant Monoclonal CARS antibody. Carrier free. Suitable for IHC-P, WB and reacts with Human samples. Cited in 1 publication.

View Alternative Names

CARS, CARS1, Cysteinyl-tRNA synthetase, CysRS

3 Images
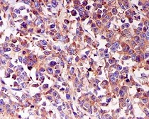
Immunohistochemistry (Formalin/PFA-fixed paraffin-embedded sections) - Anti-CARS antibody [EPR7121] - BSA and Azide free (AB248142)
  • IHC-P

Unknown

Immunohistochemistry (Formalin/PFA-fixed paraffin-embedded sections) - Anti-CARS antibody [EPR7121] - BSA and Azide free (AB248142)

This data was developed using ab126714, the same antibody clone in a different buffer formulation.

ab126714, at 1/50 dilution, stains CARS in paraffin-embedded human breast carcinoma tissue by immunohistochemistry.

Perform heat mediated antigen retrieval with citrate buffer pH 6 before commencing with IHC staining protocol.

Western blot - Anti-CARS antibody [EPR7121] - BSA and Azide free (AB248142)
  • WB

Unknown

Western blot - Anti-CARS antibody [EPR7121] - BSA and Azide free (AB248142)

This data was developed using ab126714, the same antibody clone in a different buffer formulation.

All lanes:

Western blot - Anti-CARS antibody [EPR7121] (<a href='/en-us/products/primary-antibodies/cars-antibody-epr7121-ab126714'>ab126714</a>) at 1/10000 dilution

Lane 1:

293T (Human embryonic kidney epithelial cell) cell lysate

Lane 2:

HeLa cell lysate

Lane 3:

U-87 MG (Human glioblastoma-astrocytoma epithelial cell line) cell lysate

Lane 4:

BxPC-3 cell lysate

Lane 5:

MCF-7 cell lysate

Lane 6:

A549 cell lysate

Predicted band size: 85 kDa

false

OI-RD Scanning - Anti-CARS antibody [EPR7121] - BSA and Azide free (AB248142)
  • OI-RD Scanning

Unknown

OI-RD Scanning - Anti-CARS antibody [EPR7121] - BSA and Azide free (AB248142)

We have systematically measured KD (the equilibrium dissociation constant between the antibody and its antigen), of more than 840 recombinant antibodies to assess not only their individual KD values but also to see the average affinity of antibody. Based on the comparison with published literature values for mouse monoclonal antibodies, Recombinant antibodies appear to be on average 1-2 order of magnitude higher affinity.

Key facts

Host species

Rabbit

Clonality

Monoclonal

Clone number

EPR7121

Isotype

IgG

Carrier free

Yes

Reacts with

Human

Applications

WB, IHC-P

applications

Immunogen

The exact immunogen used to generate this antibody is proprietary information.

Reactivity data

{ "title": "Reactivity Data", "filters": { "stats": ["", "Species", "Dilution Info", "Notes"], "tabs": { "all-applications": {"fullname" : "All Applications", "shortname": "All Applications"}, "IHCP" : {"fullname" : "Immunohistochemistry (Formalin/PFA-fixed paraffin-embedded sections)", "shortname":"IHC-P"}, "IP" : {"fullname" : "Immunoprecipitation", "shortname":"IP"}, "WB" : {"fullname" : "Western blot", "shortname":"WB"} }, "product-promise": { "all": "all", "testedAndGuaranteed": "tested", "guaranteed": "expected", "predicted": "predicted", "notRecommended": "not-recommended" } }, "values": { "Human": { "IHCP-species-checked": "testedAndGuaranteed", "IHCP-species-dilution-info": "", "IHCP-species-notes": "<p>Antigen retrieval is recommended.</p>", "IP-species-checked": "notRecommended", "IP-species-dilution-info": "", "IP-species-notes": "<p></p>", "WB-species-checked": "testedAndGuaranteed", "WB-species-dilution-info": "", "WB-species-notes": "<p></p>" } } }

Product details

ab248142 is the carrier-free version of ab126714.

Species reactivity
Mouse, Rat: We have preliminary internal testing data to indicate this antibody may not react with these species.
Please contact us for more information.

Patented technology
Our RabMAb® technology is a patented hybridoma-based technology for making rabbit monoclonal antibodies. For details on our patents, please refer to RabMAb® patents.

What are the advantages of a recombinant monoclonal antibody?
This product is a recombinant monoclonal antibody, which offers several advantages including:

  • - High batch-to-batch consistency and reproducibility
  • - Improved sensitivity and specificity
  • - Long-term security of supply
  • - Animal-free batch production

For more information, read more on recombinant antibodies.

Conjugation ready
Our carrier-free antibodies are typically supplied in a PBS-only formulation, purified and free of BSA, sodium azide and glycerol. This conjugation-ready format is designed for use with fluorochromes, metal isotopes, oligonucleotides, and enzymes, which makes them ideal for antibody labelling, functional and cell-based assays, flow-based assays (e.g. mass cytometry) and Multiplex Imaging applications.

Use our conjugation kits for antibody conjugates that are ready-to-use in as little as 20 minutes with 1 minute hands-on-time and 100% antibody recovery: available for fluorescent dyes, HRP, biotin and gold.

Compatibility
This product is compatible with the Maxpar® Antibody Labeling Kit from Fluidigm, without the need for antibody preparation. Maxpar® is a trademark of Fluidigm Canada Inc.

Properties and storage information

Form
Liquid
Purification technique
Affinity purification Protein A
Storage buffer
pH: 7.2 - 7.4 Constituents: PBS
Shipped at conditions
Blue Ice
Appropriate short-term storage conditions
+4°C
Appropriate long-term storage conditions
+4°C
Storage information
Do Not Freeze

Supplementary information

This supplementary information is collated from multiple sources and compiled automatically.

The CARS protein also known as cysteinyl-tRNA synthetase is an enzyme responsible for attaching cysteine to its corresponding tRNA thereby playing a vital role in protein synthesis. The molecular mass of CARS is approximately 87 kDa and it is widely expressed in various human tissues including the liver and brain. As a part of the aminoacyl-tRNA synthetase (aaRS) family it ensures that the genetic code is accurately translated into functional proteins.
Biological function summary

Cysteinyl-tRNA synthetase acts as an important component in the translation machinery ensuring incorporation of cysteine into growing polypeptide chains during protein synthesis. It forms part of the multi-synthetase complex (MSC) which is important for cellular translation and efficiency. Beyond its primary synthetase activity CARS also participates in additional cellular processes such as response to oxidative stress by regulating cytosolic thioredoxin levels.

Pathways

Cysteinyl-tRNA synthetase plays a significant role within the translation pathway aiding in the biosynthesis of proteins by providing the essential building blocks. Another critical pathway involving CARS is the response to oxidative stress where it interacts with proteins like thioredoxin supporting cellular defense mechanisms against oxidative damage. These interactions highlight its importance in maintaining cellular homeostasis and function.

Alterations in CARS function have been associated with neurodegenerative disorders and certain types of cancer. In neurodegeneration abnormalities in cysteinyl-tRNA synthetase can lead to defective protein synthesis and oxidative stress imbalance. Additionally in specific cancers deregulation of protein synthesis pathways involving CARS and its interaction with proteins like thioredoxin contributes to tumor progression and resistance to chemotherapy. Understanding these connections aids in developing targeted therapies.

Product protocols

For this product, it's our understanding that no specific protocols are required. You can visit:

Target data

Catalyzes the ATP-dependent ligation of cysteine to tRNA(Cys).
See full target information CARS1

Publications (1)

Recent publications for all applications. Explore the full list and refine your search

Nature communications 13:5945 PubMed36209205

2022

Hepatocyte phosphatase DUSP22 mitigates NASH-HCC progression by targeting FAK.

Applications

Unspecified application

Species

Unspecified reactive species

Chenxu Ge,Jun Tan,Xianling Dai,Qin Kuang,Shaoyu Zhong,Lili Lai,Chao Yi,Yan Sun,Jing Luo,Chufeng Zhang,Liancai Zhu,Bochu Wang,Minxuan Xu
View all publications

Product promise

We are committed to supporting your work with high-quality reagents, and we're here for you every step of the way. In the unlikely event that one of our products does not perform as expected, you're protected by our Product Promise.
For full details, please see our Terms & Conditions

Please note: All products are 'FOR RESEARCH USE ONLY. NOT FOR USE IN DIAGNOSTIC OR THERAPEUTIC PROCEDURES'.

For licensing inquiries, please contact partnerships@abcam.com