JavaScript is disabled in your browser. Please enable JavaScript to view this website.
AB230045

Anti-Casein Kinase 1 gamma 2 antibody

Be the first to review this product! Submit a review

|

(1 Publication)

Rabbit Polyclonal Casein Kinase 1 gamma 2 antibody. Suitable for IP, WB, IHC-P and reacts with Human, Mouse samples. Cited in 1 publication. Immunogen corresponding to Recombinant Fragment Protein within Human CSNK1G2 aa 300 to C-terminus.

View Alternative Names

CK1G2, CSNK1G2, Casein kinase I isoform gamma-2, CKI-gamma 2

4 Images
Immunohistochemistry (Formalin/PFA-fixed paraffin-embedded sections) - Anti-Casein Kinase 1 gamma 2 antibody (AB230045)
  • IHC-P

Supplier Data

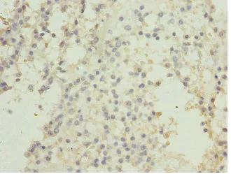
Immunohistochemistry (Formalin/PFA-fixed paraffin-embedded sections) - Anti-Casein Kinase 1 gamma 2 antibody (AB230045)

Paraffin-embedded human testis tissue stained for Casien Kinase 1 gamma 2 using ab230045 at 1/100 dilution in immunohistochemical analysis.

Immunohistochemistry (Formalin/PFA-fixed paraffin-embedded sections) - Anti-Casein Kinase 1 gamma 2 antibody (AB230045)
  • IHC-P

Supplier Data

Immunohistochemistry (Formalin/PFA-fixed paraffin-embedded sections) - Anti-Casein Kinase 1 gamma 2 antibody (AB230045)

Paraffin-embedded human breast cancer tissue stained for Casein Kinase 1 gamma 2 using ab230045 at 1/100 dilution in immunohistochemical analysis.

Immunoprecipitation - Anti-Casein Kinase 1 gamma 2 antibody (AB230045)
  • IP

Supplier Data

Immunoprecipitation - Anti-Casein Kinase 1 gamma 2 antibody (AB230045)

Casein Kinase 1 gamma 2 was immunoprecipitated from 500 μg HeLa epithelial cell line from cervix adenocarcinoma) whole cell lysate with 4 μg of ab230045. Western blot was performed from the immunoprecipitate using ab230045 at 1/1000 dilution.

Lane 1 : 1 μg of Rabbit monoclonal IgG instead of ab230045 in HeLa whole cell lysate.
Lane 2 : ab230045 IP in HeLa whole cell lysate.
Lane 3 : HeLa whole cell lysate 20 μg (input).

For western blotting, an HRP-conjugated anti-rabbit IgG, specific to the non-reduced form of IgG was used the secondary antibody (1/50,000).

All lanes:

Immunoprecipitation - Anti-Casein Kinase 1 gamma 2 antibody (ab230045)

Predicted band size: 47 kDa

false

Western blot - Anti-Casein Kinase 1 gamma 2 antibody (AB230045)
  • WB

Supplier Data

Western blot - Anti-Casein Kinase 1 gamma 2 antibody (AB230045)

All lanes:

Western blot - Anti-Casein Kinase 1 gamma 2 antibody (ab230045) at 1/1000 dilution

Lane 1:

Mouse gonadal tissue lysate

Lane 2:

HeLa (human epithelial cell line from cervix adenocarcinoma) whole cell lysate

Secondary

All lanes:

Goat polyclonal to Rabbit IgG at 1/10000 dilution

Predicted band size: 47 kDa

Observed band size: 47 kDa

false

Key facts

Host species

Rabbit

Clonality

Polyclonal

Isotype

IgG

Carrier free

No

Reacts with

Mouse, Human

Applications

IP, WB, IHC-P

applications

Immunogen

Recombinant Fragment Protein within Human CSNK1G2 aa 300 to C-terminus. The exact immunogen used to generate this antibody is proprietary information.

P78368

Reactivity data

{ "title": "Reactivity Data", "filters": { "stats": ["", "Species", "Dilution Info", "Notes"], "tabs": { "all-applications": {"fullname" : "All Applications", "shortname": "All Applications"}, "IP" : {"fullname" : "Immunoprecipitation", "shortname":"IP"}, "WB" : {"fullname" : "Western blot", "shortname":"WB"}, "IHCP" : {"fullname" : "Immunohistochemistry (Formalin/PFA-fixed paraffin-embedded sections)", "shortname":"IHC-P"} }, "product-promise": { "all": "all", "testedAndGuaranteed": "tested", "guaranteed": "expected", "predicted": "predicted", "notRecommended": "not-recommended" } }, "values": { "Human": { "IP-species-checked": "testedAndGuaranteed", "IP-species-dilution-info": "1/200 - 1/2000", "IP-species-notes": "<p></p>", "WB-species-checked": "guaranteed", "WB-species-dilution-info": "", "WB-species-notes": "", "IHCP-species-checked": "testedAndGuaranteed", "IHCP-species-dilution-info": "1/20 - 1/200", "IHCP-species-notes": "<p></p>" }, "Mouse": { "IP-species-checked": "guaranteed", "IP-species-dilution-info": "", "IP-species-notes": "", "WB-species-checked": "testedAndGuaranteed", "WB-species-dilution-info": "1/1000 - 1/5000", "WB-species-notes": "<p></p>", "IHCP-species-checked": "guaranteed", "IHCP-species-dilution-info": "", "IHCP-species-notes": "" }, "Rat": { "IP-species-checked": "predicted", "IP-species-dilution-info": "", "IP-species-notes": "", "WB-species-checked": "predicted", "WB-species-dilution-info": "", "WB-species-notes": "", "IHCP-species-checked": "predicted", "IHCP-species-dilution-info": "", "IHCP-species-notes": "" } } }

Properties and storage information

Form
Liquid
Purification technique
Affinity purification Immunogen
Storage buffer
pH: 7.3 Preservative: 0.02% Sodium azide Constituents: PBS, 50% Glycerol (glycerin, glycerine)
Shipped at conditions
Blue Ice
Appropriate short-term storage duration
1-2 weeks
Appropriate short-term storage conditions
+4°C
Appropriate long-term storage conditions
-20°C
Aliquoting information
Upon delivery aliquot
Storage information
Avoid freeze / thaw cycle

Product protocols

For this product, it's our understanding that no specific protocols are required. You can visit:

Target data

Serine/threonine-protein kinase. Casein kinases are operationally defined by their preferential utilization of acidic proteins such as caseins as substrates. It can phosphorylate a large number of proteins. Participates in Wnt signaling (By similarity). Phosphorylates COL4A3BP/CERT, MTA1 and SMAD3. SMAD3 phosphorylation promotes its ligand-dependent ubiquitination and subsequent proteasome degradation, thus inhibiting SMAD3-mediated TGF-beta responses. Hyperphosphorylation of the serine-repeat motif of COL4A3BP/CERT leads to its inactivation by dissociation from the Golgi complex, thus down-regulating ER-to-Golgi transport of ceramide and sphingomyelin synthesis. Triggers PER1 proteasomal degradation probably through phosphorylation (PubMed : 15077195, PubMed : 15917222, PubMed : 18794808, PubMed : 19005213). Involved in brain development and vesicular trafficking and neurotransmitter releasing from small synaptic vesicles. Regulates fast synaptic transmission mediated by glutamate (By similarity). Involved in regulation of reactive oxygen species (ROS) levels (PubMed : 37099597).
See full target information CSNK1G2

Publications (1)

Recent publications for all applications. Explore the full list and refine your search

Frontiers in immunology 13:944591 PubMed36091013

2022

Multi-omics analysis reveals the metabolic regulators of duodenal low-grade inflammation in a functional dyspepsia model.

Applications

Unspecified application

Species

Unspecified reactive species

Shuai Ji,Yanting You,Baizhao Peng,Tianyu Zhong,Yuxiang Kuang,Shasha Li,Lijing Du,Liqian Chen,Xiaomin Sun,Jiaojiao Dai,Suiping Huang,Yuyao Wu,Yanyan Liu
View all publications

Product promise

We are committed to supporting your work with high-quality reagents, and we're here for you every step of the way. In the unlikely event that one of our products does not perform as expected, you're protected by our Product Promise.
For full details, please see our Terms & Conditions

Please note: All products are 'FOR RESEARCH USE ONLY. NOT FOR USE IN DIAGNOSTIC OR THERAPEUTIC PROCEDURES'.

For licensing inquiries, please contact partnerships@abcam.com