JavaScript is disabled in your browser. Please enable JavaScript to view this website.
AB270040

Anti-Casein Kinase 1 gamma 2 antibody [EPR20918-13] - BSA and Azide free

Be the first to review this product! Submit a review

|

(0 Publication)

Rabbit Recombinant Monoclonal Casein Kinase 1 gamma 2 antibody. Carrier free. Suitable for IP, WB, Flow Cyt (Intra) and reacts with Mouse, Human, Rat samples.

View Alternative Names

CK1G2, CSNK1G2, Casein kinase I isoform gamma-2, CKI-gamma 2

3 Images
Flow Cytometry (Intracellular) - Anti-Casein Kinase 1 gamma 2 antibody [EPR20918-13] - BSA and Azide free (AB270040)
  • Flow Cyt (Intra)

Unknown

Flow Cytometry (Intracellular) - Anti-Casein Kinase 1 gamma 2 antibody [EPR20918-13] - BSA and Azide free (AB270040)

Intracellular flow cytometric analysis of 4% paraformaldehyde fixed, 90% methanol-permeabilized HEK-293T (Human embryonic kidney epithelial cell) cells (transfected with myc-tagged Casein Kinase 1 gamma 2 construct) labelling Casein Kinase 1 gamma 2 with ab238121 at 1/500 dilution (Right) compared with a Rabbit monoclonal IgG (ab172730) isotype control (Left).

A Goat anti rabbit IgG (Alexa Fluor®488, ab150077) at 1/2000 dilution was used as the secondary antibody.

This data was developed using the same antibody clone in a different buffer formulation containing PBS, BSA, glycerol, and sodium azide (ab238121).

Flow Cytometry (Intracellular) - Anti-Casein Kinase 1 gamma 2 antibody [EPR20918-13] - BSA and Azide free (AB270040)
  • Flow Cyt (Intra)

Unknown

Flow Cytometry (Intracellular) - Anti-Casein Kinase 1 gamma 2 antibody [EPR20918-13] - BSA and Azide free (AB270040)

Intracellular flow cytometric analysis of 4% paraformaldehyde fixed, 90% methanol-permeabilized MEF (Mouse embryonic fibroblast (immortalized) cells labelling Casein Kinase 1 gamma 2 with ab238121 at 1/500 dilution (Red) compared with a Rabbit monoclonal IgG (ab172730) (Black) isotype control and an unlabelled control (cells without incubation with primary antibody and secondary antibody) (Blue). A Goat anti rabbit IgG (Alexa Fluor®488, ab150077) at 1/2000 dilution was used as the secondary antibody.

This data was developed using the same antibody clone in a different buffer formulation containing PBS, BSA, glycerol, and sodium azide (ab238121).

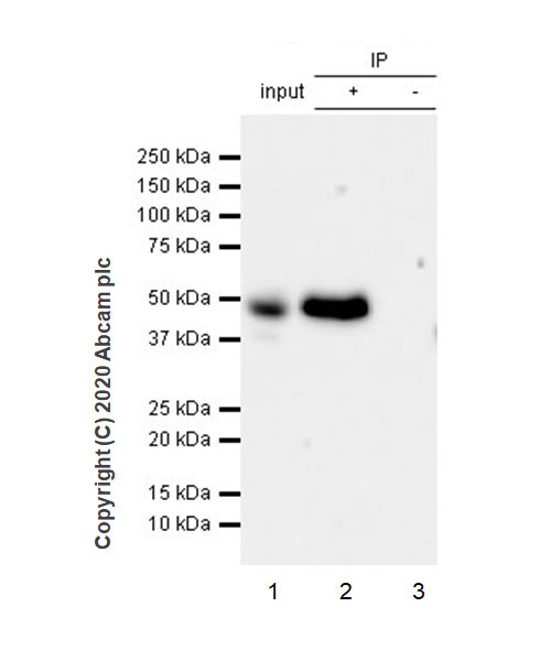
Immunoprecipitation - Anti-Casein Kinase 1 gamma 2 antibody [EPR20918-13] - BSA and Azide free (AB270040)
  • IP

Unknown

Immunoprecipitation - Anti-Casein Kinase 1 gamma 2 antibody [EPR20918-13] - BSA and Azide free (AB270040)

Casein Kinase 1 gamma 2 was immunoprecipitated from 0.35 mg mouse testis tissue lysate with ab238121 at 1/30 dilution (2ug in 0.35mg lysates). Western blot was performed on the immunoprecipitate using ab238121 at 1/1000 dilution. VeriBlot for IP Detection Reagent (HRP)(ab131366) was used at 1/5000 dilution.

Lane 1 : Mouse testis tissue lysate 10 ug

Lane 2 : ab238121 IP in mouse testis tissue lysate

Lane 3 : Rabbit monoclonal IgG (ab172730) instead of ab238121 in mouse testis tissue lysate

Blocking and dilution buffer and concentration : 5% NFDM/TBST.

Exposure time : 32 seconds.

This data was developed using the same antibody clone in a different buffer formulation containing PBS, BSA, glycerol, and sodium azide (ab238121).

All lanes:

Immunoprecipitation - Anti-Casein Kinase 1 gamma 2 antibody [EPR20918-13] (<a href='/en-us/products/primary-antibodies/casein-kinase-1-gamma-2-antibody-epr20918-13-ab238121'>ab238121</a>)

Predicted band size: 47 kDa

Observed band size: 50 kDa

false

  • Unconjugated

    Anti-Casein Kinase 1 gamma 2 antibody [EPR20918-13]

Key facts

Host species

Rabbit

Clonality

Monoclonal

Clone number

EPR20918-13

Isotype

IgG

Carrier free

Yes

Reacts with

Mouse, Rat, Human

Applications

Flow Cyt (Intra), WB, IP

applications

Immunogen

The exact immunogen used to generate this antibody is proprietary information.

Reactivity data

{ "title": "Reactivity Data", "filters": { "stats": ["", "Species", "Dilution Info", "Notes"], "tabs": { "all-applications": {"fullname" : "All Applications", "shortname": "All Applications"}, "IP" : {"fullname" : "Immunoprecipitation", "shortname":"IP"}, "WB" : {"fullname" : "Western blot", "shortname":"WB"}, "IHCP" : {"fullname" : "Immunohistochemistry (Formalin/PFA-fixed paraffin-embedded sections)", "shortname":"IHC-P"}, "ICCIF" : {"fullname" : "Immunocytochemistry/ Immunofluorescence", "shortname":"ICC/IF"}, "IHCFr" : {"fullname" : "Immunohistochemistry (Frozen sections)", "shortname":"IHC-Fr"}, "FlowCytIntra" : {"fullname" : "Flow Cytometry (Intracellular)", "shortname":"Flow Cyt (Intra)"} }, "product-promise": { "all": "all", "testedAndGuaranteed": "tested", "guaranteed": "expected", "predicted": "predicted", "notRecommended": "not-recommended" } }, "values": { "Human": { "IP-species-checked": "guaranteed", "IP-species-dilution-info": "", "IP-species-notes": "", "WB-species-checked": "guaranteed", "WB-species-dilution-info": "", "WB-species-notes": "<p></p>", "IHCP-species-checked": "notRecommended", "IHCP-species-dilution-info": "", "IHCP-species-notes": "<p></p>", "ICCIF-species-checked": "notRecommended", "ICCIF-species-dilution-info": "", "ICCIF-species-notes": "<p></p>", "IHCFr-species-checked": "notRecommended", "IHCFr-species-dilution-info": "", "IHCFr-species-notes": "<p></p>", "FlowCytIntra-species-checked": "testedAndGuaranteed", "FlowCytIntra-species-dilution-info": "", "FlowCytIntra-species-notes": "<p></p>" }, "Mouse": { "IP-species-checked": "testedAndGuaranteed", "IP-species-dilution-info": "", "IP-species-notes": "<p></p>", "WB-species-checked": "guaranteed", "WB-species-dilution-info": "", "WB-species-notes": "<p></p>", "IHCP-species-checked": "notRecommended", "IHCP-species-dilution-info": "", "IHCP-species-notes": "<p></p>", "ICCIF-species-checked": "notRecommended", "ICCIF-species-dilution-info": "", "ICCIF-species-notes": "<p></p>", "IHCFr-species-checked": "notRecommended", "IHCFr-species-dilution-info": "", "IHCFr-species-notes": "<p></p>", "FlowCytIntra-species-checked": "testedAndGuaranteed", "FlowCytIntra-species-dilution-info": "", "FlowCytIntra-species-notes": "<p></p>" }, "Rat": { "IP-species-checked": "predicted", "IP-species-dilution-info": "", "IP-species-notes": "", "WB-species-checked": "guaranteed", "WB-species-dilution-info": "", "WB-species-notes": "<p></p>", "IHCP-species-checked": "notRecommended", "IHCP-species-dilution-info": "", "IHCP-species-notes": "<p></p>", "ICCIF-species-checked": "notRecommended", "ICCIF-species-dilution-info": "", "ICCIF-species-notes": "<p></p>", "IHCFr-species-checked": "notRecommended", "IHCFr-species-dilution-info": "", "IHCFr-species-notes": "<p></p>", "FlowCytIntra-species-checked": "predicted", "FlowCytIntra-species-dilution-info": "", "FlowCytIntra-species-notes": "" } } }

Product details

ab270040 is the carrier-free version of ab238121.

Patented technology
Our RabMAb® technology is a patented hybridoma-based technology for making rabbit monoclonal antibodies. For details on our patents, please refer to RabMAb® patents.

What are the advantages of a recombinant monoclonal antibody?
This product is a recombinant monoclonal antibody, which offers several advantages including:

  • - High batch-to-batch consistency and reproducibility
  • - Improved sensitivity and specificity
  • - Long-term security of supply
  • - Animal-free batch production

For more information, read more on recombinant antibodies.

Conjugation ready
Our carrier-free antibodies are typically supplied in a PBS-only formulation, purified and free of BSA, sodium azide and glycerol. This conjugation-ready format is designed for use with fluorochromes, metal isotopes, oligonucleotides, and enzymes, which makes them ideal for antibody labelling, functional and cell-based assays, flow-based assays (e.g. mass cytometry) and Multiplex Imaging applications.

Use our conjugation kits for antibody conjugates that are ready-to-use in as little as 20 minutes with 1 minute hands-on-time and 100% antibody recovery: available for fluorescent dyes, HRP, biotin and gold.

Compatibility
This product is compatible with the Maxpar® Antibody Labeling Kit from Fluidigm, without the need for antibody preparation. Maxpar® is a trademark of Fluidigm Canada Inc.

Properties and storage information

Form
Liquid
Purification technique
Affinity purification Protein A
Storage buffer
pH: 7.2 - 7.4 Constituents: PBS
Shipped at conditions
Blue Ice
Appropriate short-term storage conditions
+4°C
Appropriate long-term storage conditions
+4°C
Storage information
Do Not Freeze

Product protocols

For this product, it's our understanding that no specific protocols are required. You can visit:

Target data

Serine/threonine-protein kinase. Casein kinases are operationally defined by their preferential utilization of acidic proteins such as caseins as substrates. It can phosphorylate a large number of proteins. Participates in Wnt signaling (By similarity). Phosphorylates COL4A3BP/CERT, MTA1 and SMAD3. SMAD3 phosphorylation promotes its ligand-dependent ubiquitination and subsequent proteasome degradation, thus inhibiting SMAD3-mediated TGF-beta responses. Hyperphosphorylation of the serine-repeat motif of COL4A3BP/CERT leads to its inactivation by dissociation from the Golgi complex, thus down-regulating ER-to-Golgi transport of ceramide and sphingomyelin synthesis. Triggers PER1 proteasomal degradation probably through phosphorylation (PubMed : 15077195, PubMed : 15917222, PubMed : 18794808, PubMed : 19005213). Involved in brain development and vesicular trafficking and neurotransmitter releasing from small synaptic vesicles. Regulates fast synaptic transmission mediated by glutamate (By similarity). Involved in regulation of reactive oxygen species (ROS) levels (PubMed : 37099597).
See full target information CSNK1G2

Product promise

We are committed to supporting your work with high-quality reagents, and we're here for you every step of the way. In the unlikely event that one of our products does not perform as expected, you're protected by our Product Promise.
For full details, please see our Terms & Conditions

Please note: All products are 'FOR RESEARCH USE ONLY. NOT FOR USE IN DIAGNOSTIC OR THERAPEUTIC PROCEDURES'.

For licensing inquiries, please contact partnerships@abcam.com