JavaScript is disabled in your browser. Please enable JavaScript to view this website.
AB74279

Anti-Caspase-1 antibody

4

(1 Review)

|

(22 Publications)

Rabbit Polyclonal Caspase-1 antibody. Suitable for IHC-P and reacts with Human samples. Cited in 22 publications.

View Alternative Names

IL1BC, IL1BCE, CASP1, Caspase-1, CASP-1, Interleukin-1 beta convertase, Interleukin-1 beta-converting enzyme, p45, IL-1BC, ICE, IL-1 beta-converting enzyme

1 Images
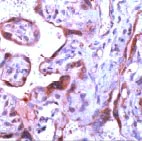
Immunohistochemistry (Formalin/PFA-fixed paraffin-embedded sections) - Anti-Caspase-1 antibody (AB74279)
  • IHC-P

Unknown

Immunohistochemistry (Formalin/PFA-fixed paraffin-embedded sections) - Anti-Caspase-1 antibody (AB74279)

ab74279, at 1 : 50 dilution, staining Caspase-1 in formalin-fixed, paraffin-embedded human placenta tissue by immunohistochemistry.

Key facts

Host species

Rabbit

Clonality

Polyclonal

Isotype

IgG

Carrier free

No

Reacts with

Human

Applications

IHC-P

applications

Immunogen

The exact immunogen used to generate this antibody is proprietary information.

Reactivity data

{ "title": "Reactivity Data", "filters": { "stats": ["", "Species", "Dilution Info", "Notes"], "tabs": { "all-applications": {"fullname" : "All Applications", "shortname": "All Applications"}, "IHCP" : {"fullname" : "Immunohistochemistry (Formalin/PFA-fixed paraffin-embedded sections)", "shortname":"IHC-P"} }, "product-promise": { "all": "all", "testedAndGuaranteed": "tested", "guaranteed": "expected", "predicted": "predicted", "notRecommended": "not-recommended" } }, "values": { "Human": { "IHCP-species-checked": "testedAndGuaranteed", "IHCP-species-dilution-info": "1/50", "IHCP-species-notes": "<p>Staining of formalin-fixed tissues requires boiling tissue sections in 10mM citrate buffer, pH 6.0 for 10 min followed by cooling at RT for 20 min.</p> Perform heat-mediated antigen retrieval before commencing with IHC staining protocol." }, "Mouse": { "IHCP-species-checked": "predicted", "IHCP-species-dilution-info": "", "IHCP-species-notes": "" }, "Rat": { "IHCP-species-checked": "predicted", "IHCP-species-dilution-info": "", "IHCP-species-notes": "" } } }

Properties and storage information

Form
Liquid
Purification technique
Affinity purification Immunogen
Storage buffer
pH: 7.6 Preservative: 0.1% Sodium azide Constituents: PBS, 1% BSA
Shipped at conditions
Blue Ice
Appropriate short-term storage duration
1-2 weeks
Appropriate short-term storage conditions
+4°C
Appropriate long-term storage conditions
-20°C
Aliquoting information
Upon delivery aliquot
Storage information
Avoid freeze / thaw cycle

Product protocols

For this product, it's our understanding that no specific protocols are required. You can visit:

Target data

Thiol protease involved in a variety of inflammatory processes by proteolytically cleaving other proteins, such as the precursors of the inflammatory cytokines interleukin-1 beta (IL1B) and interleukin 18 (IL18) as well as the pyroptosis inducer Gasdermin-D (GSDMD), into active mature peptides (PubMed : 15326478, PubMed : 15498465, PubMed : 1574116, PubMed : 26375003, PubMed : 32051255, PubMed : 37993714, PubMed : 7876192, PubMed : 9334240). Plays a key role in cell immunity as an inflammatory response initiator : once activated through formation of an inflammasome complex, it initiates a pro-inflammatory response through the cleavage of the two inflammatory cytokines IL1B and IL18, releasing the mature cytokines which are involved in a variety of inflammatory processes (PubMed : 15326478, PubMed : 15498465, PubMed : 1574116, PubMed : 32051255, PubMed : 7876192). Cleaves a tetrapeptide after an Asp residue at position P1 (PubMed : 15498465, PubMed : 1574116, PubMed : 7876192). Also initiates pyroptosis, a programmed lytic cell death pathway, through cleavage of GSDMD (PubMed : 26375003). In contrast to cleavage of interleukin IL1B, recognition and cleavage of GSDMD is not strictly dependent on the consensus cleavage site but depends on an exosite interface on CASP1 that recognizes and binds the Gasdermin-D, C-terminal (GSDMD-CT) part (PubMed : 32051255, PubMed : 32109412, PubMed : 32553275). Cleaves and activates CASP7 in response to bacterial infection, promoting plasma membrane repair (PubMed : 22464733). Upon inflammasome activation, during DNA virus infection but not RNA virus challenge, controls antiviral immunity through the cleavage of CGAS, rendering it inactive (PubMed : 28314590). In apoptotic cells, cleaves SPHK2 which is released from cells and remains enzymatically active extracellularly (PubMed : 20197547).. Isoform Delta. Apoptosis inactive.. Isoform Epsilon. Apoptosis inactive.
See full target information CASP1

Publications (22)

Recent publications for all applications. Explore the full list and refine your search

Animals : an open access journal from MDPI 15: PubMed40003024

2025

Differential Remodelling of Endometrial Extracellular Matrix in the Non-Pregnant Uterus of as a Potential Mechanism Underlying Embryonic Death.

Applications

Unspecified application

Species

Unspecified reactive species

Francisco Acuña,Gisela Soledad Gualdoni,Francisco Rivollier,Camila Barril,Enrique Leo Portiansky,Claudio Gustavo Barbeito,Elisa Cebral

Journal of traditional and complementary medicine 15:84-92 PubMed39807270

2025

Zhongfeng Xingnao prescription alleviates injury of intracerebral hemorrhage via regulating the CaMKII/NF-κB p65/NLRP3/GSDMD signaling axis.

Applications

Unspecified application

Species

Unspecified reactive species

Jianyuan Yu,Huifen Zhou,Jianwen Guo,Tianhang Chen,Chongyu Shao,Zhiyong Pan,Jiehong Yang,Haitong Wan

Journal of nanobiotechnology 22:647 PubMed39434141

2024

Co-delivery of polyphyllin II and IR780 PLGA nanoparticles induced pyroptosis combined with photothermal to enhance hepatocellular carcinoma immunotherapy.

Applications

Unspecified application

Species

Unspecified reactive species

Huating Huang,Jing Fu,Hulinyue Peng,Yuanyuan He,Aqian Chang,Huizhong Zhang,Yang Hao,Xiaohan Xu,Shiman Li,Jingxia Zhao,Jian Ni,Xiaoxv Dong

Frontiers in cardiovascular medicine 11:1340199 PubMed38333413

2024

Identification of pyroptosis-associated genes with diagnostic value in calcific aortic valve disease.

Applications

Unspecified application

Species

Unspecified reactive species

Chenxi Yu,Yifeng Zhang,Ling Yang,Mirenuer Aikebaier,Shuyao Shan,Qing Zha,Ke Yang

Journal of cardiothoracic surgery 19:58 PubMed38317168

2024

Nrf2/HO-1 signaling activation alleviates cigarette smoke-induced inflammation in chronic obstructive pulmonary disease by suppressing NLRP3-mediated pyroptosis.

Applications

Unspecified application

Species

Unspecified reactive species

Yanan Zhang,Jinxia Wang,Yuling Wang,Kai Lei

Biomedicines 11: PubMed37509699

2023

Inflammatory Forms of Cardiomyocyte Cell Death in the Rat Model of Isoprenaline-Induced Takotsubo Syndrome.

Applications

Unspecified application

Species

Unspecified reactive species

Sonia Borodzicz-Jażdżyk,Agnieszka Kołodzińska,Katarzyna Czarzasta,Małgorzata Wojciechowska,Renata Główczyńska,Benedykt Szczepankiewicz,Liana Puchalska,Grzegorz Opolski,Agnieszka Cudnoch-Jędrzejewska

Nature communications 14:2476 PubMed37120617

2023

Single-cell RNA sequencing reveals the fragility of male spermatogenic cells to Zika virus-induced complement activation.

Applications

Unspecified application

Species

Unspecified reactive species

Wei Yang,Li-Bo Liu,Feng-Liang Liu,Yan-Hua Wu,Zi-Da Zhen,Dong-Ying Fan,Zi-Yang Sheng,Zheng-Ran Song,Jia-Tong Chang,Yong-Tang Zheng,Jing An,Pei-Gang Wang

Journal of orthopaedic surgery and research 17:487 PubMed36384642

2022

Daphnoretin relieves IL-1β-mediated chondrocytes apoptosis via repressing endoplasmic reticulum stress and NLRP3 inflammasome.

Applications

Unspecified application

Species

Unspecified reactive species

Jianbo Zhou,Qinzhi Wang

Drug development research 83:1654-1672 PubMed36069386

2022

Calycosin represses AIM2 inflammasome-mediated inflammation and pyroptosis to attenuate monosodium urate-induced gouty arthritis through NF-κB and p62-Keap1 pathways.

Applications

Unspecified application

Species

Unspecified reactive species

Jing Tian,Dapeng Zhou,Liangbi Xiang,Bing Xie,Baichuan Wang,Yang Li,Xinwei Liu

Oxidative medicine and cellular longevity 2022:8215842 PubMed35847592

2022

Exosomal miR-27b-3p Derived from Hypoxic Cardiac Microvascular Endothelial Cells Alleviates Rat Myocardial Ischemia/Reperfusion Injury through Inhibiting Oxidative Stress-Induced Pyroptosis via Foxo1/GSDMD Signaling.

Applications

Unspecified application

Species

Unspecified reactive species

Baojian Zhang,Chao Sun,Yaozhong Liu,Fan Bai,Tao Tu,Qiming Liu
View all publications

Product promise

We are committed to supporting your work with high-quality reagents, and we're here for you every step of the way. In the unlikely event that one of our products does not perform as expected, you're protected by our Product Promise.
For full details, please see our Terms & Conditions

Please note: All products are 'FOR RESEARCH USE ONLY. NOT FOR USE IN DIAGNOSTIC OR THERAPEUTIC PROCEDURES'.

For licensing inquiries, please contact partnerships@abcam.com