JavaScript is disabled in your browser. Please enable JavaScript to view this website.
AB249980

Anti-Caspase-10/CASP-10 antibody [EPR10890] - BSA and Azide free

Be the first to review this product! Submit a review

|

(1 Publication)

Rabbit Recombinant Monoclonal Caspase-10/CASP-10 antibody. Carrier free. Suitable for IHC-P, IP, WB, Flow Cyt (Intra) and reacts with Human samples. Cited in 1 publication.

View Alternative Names

MCH4, CASP10, Caspase-10, CASP-10, Apoptotic protease Mch-4, FAS-associated death domain protein interleukin-1B-converting enzyme 2, ICE-like apoptotic protease 4, FLICE2

5 Images
Flow Cytometry (Intracellular) - Anti-Caspase-10/CASP-10 antibody [EPR10890] - BSA and Azide free (AB249980)
  • Flow Cyt (Intra)

Supplier Data

Flow Cytometry (Intracellular) - Anti-Caspase-10/CASP-10 antibody [EPR10890] - BSA and Azide free (AB249980)

This data was developed using ab177475, the same antibody clone in a different buffer formulation.

Intracellular flow cytometric analysis of permeabilized K562 cells labeling Caspase 10/CASP-10 with ab177475 at 1/100 dilution (red) compared to a rabbit IgG negative control (green).

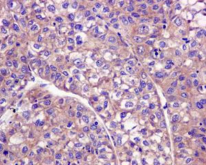
Immunohistochemistry (Formalin/PFA-fixed paraffin-embedded sections) - Anti-Caspase-10/CASP-10 antibody [EPR10890] - BSA and Azide free (AB249980)
  • IHC-P

Supplier Data

Immunohistochemistry (Formalin/PFA-fixed paraffin-embedded sections) - Anti-Caspase-10/CASP-10 antibody [EPR10890] - BSA and Azide free (AB249980)

This data was developed using ab177475, the same antibody clone in a different buffer formulation.

Immunohistochemical analysis of paraffin-embedded Human hepatocellular carcinoma tissue labeling Caspase-10/CASP-10 with ab177475 at 1/50 dilution.

Perform heat mediated antigen retrieval with citrate buffer pH 6 before commencing with IHC staining protocol.

Immunoprecipitation - Anti-Caspase-10/CASP-10 antibody [EPR10890] - BSA and Azide free (AB249980)
  • IP

Supplier Data

Immunoprecipitation - Anti-Caspase-10/CASP-10 antibody [EPR10890] - BSA and Azide free (AB249980)

This data was developed using ab177475, the same antibody clone in a different buffer formulation.

Western blot analysis on immunoprecipitation pellet from (1) K562 cell lysate or (2) 1XPBS (negative control) using ab177475 and HRP-conjugated anti-rabbit IgG preferentially detecting the non-reduced form of rabbit IgG.

All lanes:

Immunoprecipitation - Anti-Caspase-10/CASP-10 antibody [EPR10890] (<a href='/en-us/products/primary-antibodies/caspase-10-casp-10-antibody-epr10890-ab177475'>ab177475</a>)

Predicted band size: 58 kDa

false

Western blot - Anti-Caspase-10/CASP-10 antibody [EPR10890] - BSA and Azide free (AB249980)
  • WB

Supplier Data

Western blot - Anti-Caspase-10/CASP-10 antibody [EPR10890] - BSA and Azide free (AB249980)

This data was developed using ab177475, the same antibody clone in a different buffer formulation.

All lanes:

Western blot - Anti-Caspase-10/CASP-10 antibody [EPR10890] (<a href='/en-us/products/primary-antibodies/caspase-10-casp-10-antibody-epr10890-ab177475'>ab177475</a>) at 1/1000 dilution

Lane 1:

K562 cell lysate at 10 µg

Lane 2:

Jurkat cell lysate at 10 µg

Predicted band size: 58 kDa

false

Western blot - Anti-Caspase-10/CASP-10 antibody [EPR10890] - BSA and Azide free (AB249980)
  • WB

Supplier Data

Western blot - Anti-Caspase-10/CASP-10 antibody [EPR10890] - BSA and Azide free (AB249980)

This data was developed using the same antibody clone in a different buffer formulation containing PBS, BSA, glycerol, and sodium azide (ab177475).

Blocking and diluting buffer : 5% NFDM /TBST.

Exposure time :

Lane 1 & 2 : 7 seconds

Lane 3 & 4 : 3 seconds

Lanes 1 - 2:

Western blot - Anti-Pro Caspase-8 antibody [EPR162] (<a href='/en-us/products/primary-antibodies/pro-caspase-8-antibody-epr162-ab108333'>ab108333</a>) at 1/1000 dilution

Lanes 3 - 4:

Western blot - Anti-Caspase-10/CASP-10 antibody [EPR10890] (<a href='/en-us/products/primary-antibodies/caspase-10-casp-10-antibody-epr10890-ab177475'>ab177475</a>) at 1/1000 dilution

Lanes 1 - 2:

His-tagged Human full-length Caspase 8 recombinant protein at 10 ng

Lanes 3 - 4:

His-tagged Human full-length Caspase 10 recombinant protein at 10 ng

Secondary

All lanes:

Western blot - Goat Anti-Rabbit IgG H&L (HRP) (<a href='/en-us/products/secondary-antibodies/goat-rabbit-igg-h-l-hrp-ab97051'>ab97051</a>) at 1/20000 dilution

Observed band size: 60-70 kDa

false

Key facts

Host species

Rabbit

Clonality

Monoclonal

Clone number

EPR10890

Isotype

IgG

Carrier free

Yes

Reacts with

Human

Applications

Flow Cyt (Intra), WB, IP, IHC-P

applications

Immunogen

The exact immunogen used to generate this antibody is proprietary information.

Reactivity data

{ "title": "Reactivity Data", "filters": { "stats": ["", "Species", "Dilution Info", "Notes"], "tabs": { "all-applications": {"fullname" : "All Applications", "shortname": "All Applications"}, "IHCP" : {"fullname" : "Immunohistochemistry (Formalin/PFA-fixed paraffin-embedded sections)", "shortname":"IHC-P"}, "IP" : {"fullname" : "Immunoprecipitation", "shortname":"IP"}, "WB" : {"fullname" : "Western blot", "shortname":"WB"}, "ICCIF" : {"fullname" : "Immunocytochemistry/ Immunofluorescence", "shortname":"ICC/IF"}, "FlowCytIntra" : {"fullname" : "Flow Cytometry (Intracellular)", "shortname":"Flow Cyt (Intra)"} }, "product-promise": { "all": "all", "testedAndGuaranteed": "tested", "guaranteed": "expected", "predicted": "predicted", "notRecommended": "not-recommended" } }, "values": { "Human": { "IHCP-species-checked": "testedAndGuaranteed", "IHCP-species-dilution-info": "", "IHCP-species-notes": "<p></p>", "IP-species-checked": "testedAndGuaranteed", "IP-species-dilution-info": "", "IP-species-notes": "<p></p>", "WB-species-checked": "testedAndGuaranteed", "WB-species-dilution-info": "", "WB-species-notes": "<p></p>", "ICCIF-species-checked": "notRecommended", "ICCIF-species-dilution-info": "", "ICCIF-species-notes": "<p></p>", "FlowCytIntra-species-checked": "testedAndGuaranteed", "FlowCytIntra-species-dilution-info": "", "FlowCytIntra-species-notes": "<p></p>" } } }

Product details

ab249980 is the carrier-free version of ab177475.

Species reactivity
Mouse, Rat: We have preliminary internal testing data to indicate this antibody may not react with these species.
Please contact us for more information.

Patented technology
Our RabMAb® technology is a patented hybridoma-based technology for making rabbit monoclonal antibodies. For details on our patents, please refer to RabMAb® patents.

What are the advantages of a recombinant monoclonal antibody?
This product is a recombinant monoclonal antibody, which offers several advantages including:

  • - High batch-to-batch consistency and reproducibility
  • - Improved sensitivity and specificity
  • - Long-term security of supply
  • - Animal-free batch production

For more information, read more on recombinant antibodies.

Conjugation ready
Our carrier-free antibodies are typically supplied in a PBS-only formulation, purified and free of BSA, sodium azide and glycerol. This conjugation-ready format is designed for use with fluorochromes, metal isotopes, oligonucleotides, and enzymes, which makes them ideal for antibody labelling, functional and cell-based assays, flow-based assays (e.g. mass cytometry) and Multiplex Imaging applications.

Use our conjugation kits for antibody conjugates that are ready-to-use in as little as 20 minutes with 1 minute hands-on-time and 100% antibody recovery: available for fluorescent dyes, HRP, biotin and gold.

Compatibility
This product is compatible with the Maxpar® Antibody Labeling Kit from Fluidigm, without the need for antibody preparation. Maxpar® is a trademark of Fluidigm Canada Inc.

Properties and storage information

Form
Liquid
Purification technique
Affinity purification Protein A
Storage buffer
pH: 7.2 - 7.4 Constituents: PBS
Shipped at conditions
Blue Ice
Appropriate short-term storage conditions
+4°C
Appropriate long-term storage conditions
+4°C
Storage information
Do Not Freeze

Product protocols

For this product, it's our understanding that no specific protocols are required. You can visit:

Target data

Involved in the activation cascade of caspases responsible for apoptosis execution. Recruited to both Fas- and TNFR-1 receptors in a FADD dependent manner. May participate in the granzyme B apoptotic pathways. Cleaves and activates effector caspases CASP3, CASP4, CASP6, CASP7, CASP8 and CASP9. Hydrolyzes the small- molecule substrates, Tyr-Val-Ala-Asp-|-AMC and Asp-Glu-Val-Asp-|-AMC.. Isoform 7 can enhance NF-kappaB activity but promotes only slight apoptosis.. Isoform C is proteolytically inactive.
See full target information CASP10

Publications (1)

Recent publications for all applications. Explore the full list and refine your search

Cell death discovery 7:357 PubMed34785642

2021

UBE2S promotes cell chemoresistance through PTEN-AKT signaling in hepatocellular carcinoma.

Applications

Unspecified application

Species

Unspecified reactive species

Liang Gui,Sicai Zhang,Yongzi Xu,Hongwei Zhang,Ying Zhu,Lianbao Kong
View all publications

Product promise

We are committed to supporting your work with high-quality reagents, and we're here for you every step of the way. In the unlikely event that one of our products does not perform as expected, you're protected by our Product Promise.
For full details, please see our Terms & Conditions

Please note: All products are 'FOR RESEARCH USE ONLY. NOT FOR USE IN DIAGNOSTIC OR THERAPEUTIC PROCEDURES'.

For licensing inquiries, please contact partnerships@abcam.com