JavaScript is disabled in your browser. Please enable JavaScript to view this website.
AB174847

Anti-Caspase-14 antibody [EPR12927]

4

(1 Review)

|

(5 Publications)

Rabbit Recombinant Monoclonal Caspase-14 antibody. Suitable for IHC-P, IP, WB, ICC/IF, Flow Cyt (Intra) and reacts with Human samples. Cited in 5 publications.

View Alternative Names

Caspase-14, CASP-14, CASP14

6 Images
Flow Cytometry (Intracellular) - Anti-Caspase-14 antibody [EPR12927] (AB174847)
  • Flow Cyt (Intra)

Supplier Data

Flow Cytometry (Intracellular) - Anti-Caspase-14 antibody [EPR12927] (AB174847)

Intracellular flow cytometric analysis of permeabilized HACAT cells labeling Caspase-14using ab174847 at a 1/10 dilution (red), or rabbit IgG negative control (green).

Immunocytochemistry/ Immunofluorescence - Anti-Caspase-14 antibody [EPR12927] (AB174847)
  • ICC/IF

Lab

Immunocytochemistry/ Immunofluorescence - Anti-Caspase-14 antibody [EPR12927] (AB174847)

Immunofluorescent staining of HaCaT cells labeling Caspase-14 (green) with ab174847 at 1 : 250 dilution and labeling tubulin (red) with ab7291 at 1 : 500 (2 μg/ml). Goat Anti-Rabbit IgG H&L (Alexa Fluor® 488) (ab150077) was used at 1 : 200 and Goat Anti-Mouse IgG H&L (Alexa Fluor® 594) (ab150120) was used at 1 : 200.

-ve control 1– Rabbit primary and anti-mouse secondary antibody. -ve control 2 – Mouse primary antibody and anti-rabbit secondary antibody.

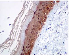
Immunohistochemistry (Formalin/PFA-fixed paraffin-embedded sections) - Anti-Caspase-14 antibody [EPR12927] (AB174847)
  • IHC-P

Supplier Data

Immunohistochemistry (Formalin/PFA-fixed paraffin-embedded sections) - Anti-Caspase-14 antibody [EPR12927] (AB174847)

Immunohistochemical analysis of paraffin-embedded human fetal skin tissue labeling Caspase-14 using ab174847 at a 1 : 100 dilution.

Perform heat mediated antigen retrieval with citrate buffer pH 6 before commencing with IHC staining protocol.

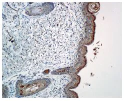
Immunohistochemistry (Formalin/PFA-fixed paraffin-embedded sections) - Anti-Caspase-14 antibody [EPR12927] (AB174847)
  • IHC-P

Supplier Data

Immunohistochemistry (Formalin/PFA-fixed paraffin-embedded sections) - Anti-Caspase-14 antibody [EPR12927] (AB174847)

Immunohistochemical analysis of paraffin-embedded Human skin tissue labeling Caspase-14 using ab174847 at a 1 : 100 dilution.

Perform heat mediated antigen retrieval with citrate buffer pH 6 before commencing with IHC staining protocol.

Immunoprecipitation - Anti-Caspase-14 antibody [EPR12927] (AB174847)
  • IP

Supplier Data

Immunoprecipitation - Anti-Caspase-14 antibody [EPR12927] (AB174847)

Western blot analysis on immunoprecipitation pellet from human fetal skin lysate (lane 1) or 1X PBS (lane 2, negative control) using ab174847 at 1 : 10 dilution, and HRP-conjugated anti-rabbit IgG preferentially detecting the non-reduced form of rabbit IgG.

All lanes:

Immunoprecipitation - Anti-Caspase-14 antibody [EPR12927] (ab174847)

Predicted band size: 28 kDa

false

Western blot - Anti-Caspase-14 antibody [EPR12927] (AB174847)
  • WB

Supplier Data

Western blot - Anti-Caspase-14 antibody [EPR12927] (AB174847)

All lanes:

Western blot - Anti-Caspase-14 antibody [EPR12927] (ab174847) at 1/1000 dilution

Lane 1:

MCF7 cell lysate at 10 µg

Lane 2:

ECV-304 cell lysate at 10 µg

Lane 3:

HACAT cell lysate at 10 µg

Lane 4:

Human skin lysate at 10 µg

Predicted band size: 28 kDa

false

  • 519 Alexa Fluor® 488

    Alexa Fluor® 488 Anti-Caspase-14 antibody [EPR12927]

  • Carrier free

    Anti-Caspase-14 antibody [EPR12927] - BSA and Azide free

Key facts

Host species

Rabbit

Clonality

Monoclonal

Clone number

EPR12927

Isotype

IgG

Carrier free

No

Reacts with

Human

Applications

ICC/IF, IP, Flow Cyt (Intra), WB, IHC-P

applications

Immunogen

The exact immunogen used to generate this antibody is proprietary information.

Reactivity data

{ "title": "Reactivity Data", "filters": { "stats": ["", "Species", "Dilution Info", "Notes"], "tabs": { "all-applications": {"fullname" : "All Applications", "shortname": "All Applications"}, "IHCP" : {"fullname" : "Immunohistochemistry (Formalin/PFA-fixed paraffin-embedded sections)", "shortname":"IHC-P"}, "IP" : {"fullname" : "Immunoprecipitation", "shortname":"IP"}, "WB" : {"fullname" : "Western blot", "shortname":"WB"}, "ICCIF" : {"fullname" : "Immunocytochemistry/ Immunofluorescence", "shortname":"ICC/IF"}, "FlowCytIntra" : {"fullname" : "Flow Cytometry (Intracellular)", "shortname":"Flow Cyt (Intra)"} }, "product-promise": { "all": "all", "testedAndGuaranteed": "tested", "guaranteed": "expected", "predicted": "predicted", "notRecommended": "not-recommended" } }, "values": { "Human": { "IHCP-species-checked": "testedAndGuaranteed", "IHCP-species-dilution-info": "1/100 - 1/250", "IHCP-species-notes": "<p></p> Perform heat-mediated antigen retrieval with citrate buffer pH 6 before commencing with IHC staining protocol.", "IP-species-checked": "testedAndGuaranteed", "IP-species-dilution-info": "1/10 - 1/100", "IP-species-notes": "<p></p>", "WB-species-checked": "testedAndGuaranteed", "WB-species-dilution-info": "1/1000 - 1/10000", "WB-species-notes": "<p></p>", "ICCIF-species-checked": "testedAndGuaranteed", "ICCIF-species-dilution-info": "1/250", "ICCIF-species-notes": "<p></p>", "FlowCytIntra-species-checked": "testedAndGuaranteed", "FlowCytIntra-species-dilution-info": "1/10 - 1/100", "FlowCytIntra-species-notes": "<p><a href='/en-us/products/primary-antibodies/rabbit-igg-monoclonal-epr25a-isotype-control-ab172730'>ab172730</a> - Rabbit monoclonal IgG, is suitable for use as an isotype control with this antibody.</p>" }, "Mouse": { "IHCP-species-checked": "predicted", "IHCP-species-dilution-info": "", "IHCP-species-notes": "", "IP-species-checked": "predicted", "IP-species-dilution-info": "", "IP-species-notes": "", "WB-species-checked": "predicted", "WB-species-dilution-info": "", "WB-species-notes": "", "ICCIF-species-checked": "predicted", "ICCIF-species-dilution-info": "", "ICCIF-species-notes": "", "FlowCytIntra-species-checked": "predicted", "FlowCytIntra-species-dilution-info": "", "FlowCytIntra-species-notes": "" }, "Rat": { "IHCP-species-checked": "predicted", "IHCP-species-dilution-info": "", "IHCP-species-notes": "", "IP-species-checked": "predicted", "IP-species-dilution-info": "", "IP-species-notes": "", "WB-species-checked": "predicted", "WB-species-dilution-info": "", "WB-species-notes": "", "ICCIF-species-checked": "predicted", "ICCIF-species-dilution-info": "", "ICCIF-species-notes": "", "FlowCytIntra-species-checked": "predicted", "FlowCytIntra-species-dilution-info": "", "FlowCytIntra-species-notes": "" } } }

Product details

Patented technology
Our RabMAb® technology is a patented hybridoma-based technology for making rabbit monoclonal antibodies. For details on our patents, please refer to RabMAb® patents.

What are the advantages of a recombinant monoclonal antibody?
This product is a recombinant monoclonal antibody, which offers several advantages including:

  • - High batch-to-batch consistency and reproducibility
  • - Improved sensitivity and specificity
  • - Long-term security of supply
  • - Animal-free batch production

For more information, read more on recombinant antibodies.

Properties and storage information

Form
Liquid
Purification technique
Affinity purification Protein A
Storage buffer
Preservative: 0.01% Sodium azide Constituents: PBS, 40% Glycerol (glycerin, glycerine), 0.05% BSA
Shipped at conditions
Blue Ice
Appropriate short-term storage duration
1-2 weeks
Appropriate short-term storage conditions
+4°C
Appropriate long-term storage conditions
-20°C
Aliquoting information
Upon delivery aliquot
Storage information
Avoid freeze / thaw cycle

Product protocols

For this product, it's our understanding that no specific protocols are required. You can visit:

Target data

Non-apoptotic caspase involved in epidermal differentiation. Is the predominant caspase in epidermal stratum corneum (PubMed : 15556625). Seems to play a role in keratinocyte differentiation and is required for cornification. Regulates maturation of the epidermis by proteolytically processing filaggrin (By similarity). In vitro has a preference for the substrate [WY]-X-X-D motif and is active on the synthetic caspase substrate WEHD-ACF (PubMed : 16854378, PubMed : 19960512). Involved in processing of prosaposin in the epidermis (By similarity). May be involved in retinal pigment epithelium cell barrier function (PubMed : 25121097). Involved in DNA degradation in differentiated keratinocytes probably by cleaving DFFA/ICAD leading to liberation of DFFB/CAD (PubMed : 24743736).
See full target information CASP14

Publications (5)

Recent publications for all applications. Explore the full list and refine your search

International journal of molecular sciences 24: PubMed37047109

2023

Effect of Hypertrophic Scar Fibroblast-Derived Exosomes on Keratinocytes of Normal Human Skin.

Applications

Unspecified application

Species

Unspecified reactive species

Hui Song Cui,So Young Joo,Seung Yeol Lee,Yoon Soo Cho,Dong Hyun Kim,Cheong Hoon Seo

Bioengineering (Basel, Switzerland) 9: PubMed36290526

2022

Keratin Promotes Differentiation of Keratinocytes Seeded on Collagen/Keratin Hydrogels.

Applications

Unspecified application

Species

Unspecified reactive species

Kameel Zuniga,Neda Ghousifam,John Sansalone,Kris Senecal,Mark Van Dyke,Marissa Nichole Rylander

Scientific reports 11:17296 PubMed34453089

2021

Effect of extracorporeal shock wave therapy on keratinocytes derived from human hypertrophic scars.

Applications

Unspecified application

Species

Unspecified reactive species

Hui Song Cui,So Young Joo,Yoon Soo Cho,Ji Heon Park,Yu Mi Ro,June-Bum Kim,Cheong Hoon Seo

Proteomics. Clinical applications 13:e1900029 PubMed31282103

2019

Moonlighting Proteins and Cardiopathy in the Spatial Response of MCF-7 Breast Cancer Cells to Tamoxifen.

Applications

Unspecified application

Species

Unspecified reactive species

Abdulrab Ahmed M Alkhanjaf,Roberto Raggiaschi,Mark Crawford,Gabriella Pinto,Jasminka Godovac-Zimmermann

Cancer science 109:373-383 PubMed29178343

2017

PRDM14 directly interacts with heat shock proteins HSP90α and glucose-regulated protein 78.

Applications

Unspecified application

Species

Unspecified reactive species

Chiharu Moriya,Hiroaki Taniguchi,Satoru Nagatoishi,Hisayoshi Igarashi,Kouhei Tsumoto,Kohzoh Imai
View all publications

Product promise

We are committed to supporting your work with high-quality reagents, and we're here for you every step of the way. In the unlikely event that one of our products does not perform as expected, you're protected by our Product Promise.
For full details, please see our Terms & Conditions

Please note: All products are 'FOR RESEARCH USE ONLY. NOT FOR USE IN DIAGNOSTIC OR THERAPEUTIC PROCEDURES'.

For licensing inquiries, please contact partnerships@abcam.com