JavaScript is disabled in your browser. Please enable JavaScript to view this website.
AB249835

Anti-Caspase-14 antibody [EPR12927] - BSA and Azide free

Be the first to review this product! Submit a review

|

(0 Publication)

Rabbit Recombinant Monoclonal Caspase-14 antibody. Carrier free. Suitable for IHC-P, IP, WB, ICC/IF, Flow Cyt (Intra) and reacts with Human samples.

View Alternative Names

Caspase-14, CASP-14, CASP14

6 Images
Flow Cytometry (Intracellular) - Anti-Caspase-14 antibody [EPR12927] - BSA and Azide free (AB249835)
  • Flow Cyt (Intra)

Supplier Data

Flow Cytometry (Intracellular) - Anti-Caspase-14 antibody [EPR12927] - BSA and Azide free (AB249835)

This data was developed using ab174847, the same antibody clone in a different buffer formulation.

Intracellular flow cytometric analysis of permeabilized HACAT cells labeling Caspase-14 using ab174847 at a 1/10 dilution (red), or rabbit IgG negative control (green).

Immunocytochemistry/ Immunofluorescence - Anti-Caspase-14 antibody [EPR12927] - BSA and Azide free (AB249835)
  • ICC/IF

Lab

Immunocytochemistry/ Immunofluorescence - Anti-Caspase-14 antibody [EPR12927] - BSA and Azide free (AB249835)

This data was developed using ab174847, the same antibody clone in a different buffer formulation.

Immunofluorescent staining of HaCaT cells labeling Caspase-14 (green) with ab174847 at 1 : 250 dilution, and labeling tubulin (red) with ab7291 at 1 : 500 (2 μg/ml). Goat Anti-Rabbit IgG H&L (Alexa Fluor® 488) (ab150077) was used at 1 : 200 and Goat Anti-Mouse IgG H&L (Alexa Fluor® 594) (ab150120) was used at 1 : 200.

-ve control 1– Rabbit primary and anti-mouse secondary antibody. -ve control 2 – Mouse primary antibody and anti-rabbit secondary antibody.

Immunohistochemistry (Formalin/PFA-fixed paraffin-embedded sections) - Anti-Caspase-14 antibody [EPR12927] - BSA and Azide free (AB249835)
  • IHC-P

Supplier Data

Immunohistochemistry (Formalin/PFA-fixed paraffin-embedded sections) - Anti-Caspase-14 antibody [EPR12927] - BSA and Azide free (AB249835)

This data was developed using ab174847, the same antibody clone in a different buffer formulation.

Immunohistochemical analysis of paraffin-embedded human fetal skin tissue labeling Caspase-14 using ab174847 at a 1 : 100 dilution.

Perform heat mediated antigen retrieval with citrate buffer pH 6 before commencing with IHC staining protocol.

Immunohistochemistry (Formalin/PFA-fixed paraffin-embedded sections) - Anti-Caspase-14 antibody [EPR12927] - BSA and Azide free (AB249835)
  • IHC-P

Supplier Data

Immunohistochemistry (Formalin/PFA-fixed paraffin-embedded sections) - Anti-Caspase-14 antibody [EPR12927] - BSA and Azide free (AB249835)

This data was developed using ab174847, the same antibody clone in a different buffer formulation.

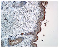
Immunohistochemical analysis of paraffin-embedded Human skin tissue labeling Caspase-14 using ab174847 at a 1 : 100 dilution.

Perform heat mediated antigen retrieval with citrate buffer pH 6 before commencing with IHC staining protocol.

Immunoprecipitation - Anti-Caspase-14 antibody [EPR12927] - BSA and Azide free (AB249835)
  • IP

Supplier Data

Immunoprecipitation - Anti-Caspase-14 antibody [EPR12927] - BSA and Azide free (AB249835)

This data was developed using ab174847, the same antibody clone in a different buffer formulation.

Western blot analysis on immunoprecipitation pellet from human fetal skin lysate (lane 1) or 1X PBS (lane 2, negative control) using ab174847 at 1 : 10 dilution, and HRP-conjugated anti-rabbit IgG preferentially detecting the non-reduced form of rabbit IgG.

All lanes:

Immunoprecipitation - Anti-Caspase-14 antibody [EPR12927] (<a href='/en-us/products/primary-antibodies/caspase-14-antibody-epr12927-ab174847'>ab174847</a>)

Predicted band size: 28 kDa

false

Western blot - Anti-Caspase-14 antibody [EPR12927] - BSA and Azide free (AB249835)
  • WB

Supplier Data

Western blot - Anti-Caspase-14 antibody [EPR12927] - BSA and Azide free (AB249835)

This data was developed using ab174847, the same antibody clone in a different buffer formulation.

All lanes:

Western blot - Anti-Caspase-14 antibody [EPR12927] (<a href='/en-us/products/primary-antibodies/caspase-14-antibody-epr12927-ab174847'>ab174847</a>) at 1/1000 dilution

Lane 1:

MCF7 cell lysate at 10 µg

Lane 2:

ECV-304 cell lysate at 10 µg

Lane 3:

HACAT cell lysate at 10 µg

Lane 4:

Human skin lysate at 10 µg

Predicted band size: 28 kDa

false

Key facts

Host species

Rabbit

Clonality

Monoclonal

Clone number

EPR12927

Isotype

IgG

Carrier free

Yes

Reacts with

Human

Applications

WB, Flow Cyt (Intra), ICC/IF, IP, IHC-P

applications

Immunogen

The exact immunogen used to generate this antibody is proprietary information.

Reactivity data

{ "title": "Reactivity Data", "filters": { "stats": ["", "Species", "Dilution Info", "Notes"], "tabs": { "all-applications": {"fullname" : "All Applications", "shortname": "All Applications"}, "IHCP" : {"fullname" : "Immunohistochemistry (Formalin/PFA-fixed paraffin-embedded sections)", "shortname":"IHC-P"}, "IP" : {"fullname" : "Immunoprecipitation", "shortname":"IP"}, "WB" : {"fullname" : "Western blot", "shortname":"WB"}, "ICCIF" : {"fullname" : "Immunocytochemistry/ Immunofluorescence", "shortname":"ICC/IF"}, "FlowCytIntra" : {"fullname" : "Flow Cytometry (Intracellular)", "shortname":"Flow Cyt (Intra)"} }, "product-promise": { "all": "all", "testedAndGuaranteed": "tested", "guaranteed": "expected", "predicted": "predicted", "notRecommended": "not-recommended" } }, "values": { "Human": { "IHCP-species-checked": "testedAndGuaranteed", "IHCP-species-dilution-info": "", "IHCP-species-notes": "<p></p>", "IP-species-checked": "testedAndGuaranteed", "IP-species-dilution-info": "", "IP-species-notes": "<p></p>", "WB-species-checked": "testedAndGuaranteed", "WB-species-dilution-info": "", "WB-species-notes": "<p></p>", "ICCIF-species-checked": "testedAndGuaranteed", "ICCIF-species-dilution-info": "", "ICCIF-species-notes": "<p></p>", "FlowCytIntra-species-checked": "testedAndGuaranteed", "FlowCytIntra-species-dilution-info": "", "FlowCytIntra-species-notes": "<p></p>" }, "Mouse": { "IHCP-species-checked": "predicted", "IHCP-species-dilution-info": "", "IHCP-species-notes": "", "IP-species-checked": "predicted", "IP-species-dilution-info": "", "IP-species-notes": "", "WB-species-checked": "predicted", "WB-species-dilution-info": "", "WB-species-notes": "", "ICCIF-species-checked": "predicted", "ICCIF-species-dilution-info": "", "ICCIF-species-notes": "", "FlowCytIntra-species-checked": "predicted", "FlowCytIntra-species-dilution-info": "", "FlowCytIntra-species-notes": "" }, "Rat": { "IHCP-species-checked": "predicted", "IHCP-species-dilution-info": "", "IHCP-species-notes": "", "IP-species-checked": "predicted", "IP-species-dilution-info": "", "IP-species-notes": "", "WB-species-checked": "predicted", "WB-species-dilution-info": "", "WB-species-notes": "", "ICCIF-species-checked": "predicted", "ICCIF-species-dilution-info": "", "ICCIF-species-notes": "", "FlowCytIntra-species-checked": "predicted", "FlowCytIntra-species-dilution-info": "", "FlowCytIntra-species-notes": "" } } }

Product details

ab249835 is the carrier-free version of ab174847.

Patented technology
Our RabMAb® technology is a patented hybridoma-based technology for making rabbit monoclonal antibodies. For details on our patents, please refer to RabMAb® patents.

What are the advantages of a recombinant monoclonal antibody?
This product is a recombinant monoclonal antibody, which offers several advantages including:

  • - High batch-to-batch consistency and reproducibility
  • - Improved sensitivity and specificity
  • - Long-term security of supply
  • - Animal-free batch production

For more information, read more on recombinant antibodies.

Conjugation ready
Our carrier-free antibodies are typically supplied in a PBS-only formulation, purified and free of BSA, sodium azide and glycerol. This conjugation-ready format is designed for use with fluorochromes, metal isotopes, oligonucleotides, and enzymes, which makes them ideal for antibody labelling, functional and cell-based assays, flow-based assays (e.g. mass cytometry) and Multiplex Imaging applications.

Use our conjugation kits for antibody conjugates that are ready-to-use in as little as 20 minutes with 1 minute hands-on-time and 100% antibody recovery: available for fluorescent dyes, HRP, biotin and gold.

Compatibility
This product is compatible with the Maxpar® Antibody Labeling Kit from Fluidigm, without the need for antibody preparation. Maxpar® is a trademark of Fluidigm Canada Inc.

Properties and storage information

Form
Liquid
Purification technique
Affinity purification Protein A
Storage buffer
pH: 7.2 - 7.4 Constituents: PBS
Shipped at conditions
Blue Ice
Appropriate short-term storage conditions
+4°C
Appropriate long-term storage conditions
+4°C
Storage information
Do Not Freeze

Product protocols

For this product, it's our understanding that no specific protocols are required. You can visit:

Target data

Non-apoptotic caspase involved in epidermal differentiation. Is the predominant caspase in epidermal stratum corneum (PubMed : 15556625). Seems to play a role in keratinocyte differentiation and is required for cornification. Regulates maturation of the epidermis by proteolytically processing filaggrin (By similarity). In vitro has a preference for the substrate [WY]-X-X-D motif and is active on the synthetic caspase substrate WEHD-ACF (PubMed : 16854378, PubMed : 19960512). Involved in processing of prosaposin in the epidermis (By similarity). May be involved in retinal pigment epithelium cell barrier function (PubMed : 25121097). Involved in DNA degradation in differentiated keratinocytes probably by cleaving DFFA/ICAD leading to liberation of DFFB/CAD (PubMed : 24743736).
See full target information CASP14

Product promise

We are committed to supporting your work with high-quality reagents, and we're here for you every step of the way. In the unlikely event that one of our products does not perform as expected, you're protected by our Product Promise.
For full details, please see our Terms & Conditions

Please note: All products are 'FOR RESEARCH USE ONLY. NOT FOR USE IN DIAGNOSTIC OR THERAPEUTIC PROCEDURES'.

For licensing inquiries, please contact partnerships@abcam.com