JavaScript is disabled in your browser. Please enable JavaScript to view this website.
AB182657

Anti-Caspase-2 antibody

Be the first to review this product! Submit a review

|

(3 Publications)

Rabbit Polyclonal Caspase-2 antibody. Suitable for WB, IHC-P and reacts with Human samples. Cited in 3 publications. Immunogen corresponding to Recombinant Fragment Protein within Human CASP2 aa 1-250.

View Alternative Names

ICH1, NEDD2, CASP2, Caspase-2, CASP-2, Neural precursor cell expressed developmentally down-regulated protein 2, Protease ICH-1, NEDD-2

2 Images
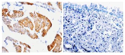
Immunohistochemistry (Formalin/PFA-fixed paraffin-embedded sections) - Anti-Caspase-2 antibody (AB182657)
  • IHC-P

Supplier Data

Immunohistochemistry (Formalin/PFA-fixed paraffin-embedded sections) - Anti-Caspase-2 antibody (AB182657)

Immunohistochemical analysis of paraffin-embedded human urinary bladder tissue labeling Caspase 2 using ab182657 at 1/100 dilution. The right panel is treated with the fusion protein.

Western blot - Anti-Caspase-2 antibody (AB182657)
  • WB

Supplier Data

Western blot - Anti-Caspase-2 antibody (AB182657)

10% SDS PAGE

All lanes:

Western blot - Anti-Caspase-2 antibody (ab182657) at 1/950 dilution

Lane 1:

Human fetal kidney lysate at 30 µg

Lane 2:

Human fetal lung lysate at 30 µg

Secondary

All lanes:

Donkey anti Rabbit IgG - H&L (HRP) at 1/3000 dilution

Predicted band size: 51 kDa

false

Key facts

Host species

Rabbit

Clonality

Polyclonal

Isotype

IgG

Carrier free

No

Reacts with

Human

Applications

WB, IHC-P

applications

Immunogen

Recombinant Fragment Protein within Human CASP2 aa 1-250. The exact immunogen used to generate this antibody is proprietary information.

P42575

Specificity

The antibody detects endogenous level of total Caspase 2 protein.

Reactivity data

{ "title": "Reactivity Data", "filters": { "stats": ["", "Species", "Dilution Info", "Notes"], "tabs": { "all-applications": {"fullname" : "All Applications", "shortname": "All Applications"}, "WB" : {"fullname" : "Western blot", "shortname":"WB"}, "IHCP" : {"fullname" : "Immunohistochemistry (Formalin/PFA-fixed paraffin-embedded sections)", "shortname":"IHC-P"} }, "product-promise": { "all": "all", "testedAndGuaranteed": "tested", "guaranteed": "expected", "predicted": "predicted", "notRecommended": "not-recommended" } }, "values": { "Human": { "WB-species-checked": "testedAndGuaranteed", "WB-species-dilution-info": "1/1000 - 1/2000", "WB-species-notes": "<p></p>", "IHCP-species-checked": "testedAndGuaranteed", "IHCP-species-dilution-info": "1/100 - 1/300", "IHCP-species-notes": "<p></p>" }, "Mouse": { "WB-species-checked": "predicted", "WB-species-dilution-info": "", "WB-species-notes": "", "IHCP-species-checked": "predicted", "IHCP-species-dilution-info": "", "IHCP-species-notes": "" }, "Rat": { "WB-species-checked": "predicted", "WB-species-dilution-info": "", "WB-species-notes": "", "IHCP-species-checked": "predicted", "IHCP-species-dilution-info": "", "IHCP-species-notes": "" } } }

Properties and storage information

Form
Liquid
Purification technique
Affinity purification Immunogen
Storage buffer
pH: 7.4 Preservative: 0.05% Sodium azide Constituents: PBS, 50% Glycerol (glycerin, glycerine)
Shipped at conditions
Blue Ice
Appropriate short-term storage duration
1-2 weeks
Appropriate short-term storage conditions
+4°C
Appropriate long-term storage conditions
-20°C
Aliquoting information
Upon delivery aliquot
Storage information
Avoid freeze / thaw cycle

Product protocols

For this product, it's our understanding that no specific protocols are required. You can visit:

Target data

Is a regulator of the cascade of caspases responsible for apoptosis execution (PubMed : 11156409, PubMed : 15073321, PubMed : 8087842). Might function by either activating some proteins required for cell death or inactivating proteins necessary for cell survival (PubMed : 15073321). Associates with PIDD1 and CRADD to form the PIDDosome, a complex that activates CASP2 and triggers apoptosis in response to genotoxic stress (PubMed : 15073321).. Isoform 1. Acts as a positive regulator of apoptosis.. Isoform 2. Acts as a negative regulator of apoptosis.. Isoform 3. May function as an endogenous apoptosis inhibitor that antagonizes caspase activation and cell death.
See full target information CASP2

Publications (3)

Recent publications for all applications. Explore the full list and refine your search

Cell metabolism 34:1548-1560.e6 PubMed36041455

2022

PIDDosome-SCAP crosstalk controls high-fructose-diet-dependent transition from simple steatosis to steatohepatitis.

Applications

Unspecified application

Species

Unspecified reactive species

Ju Youn Kim,Lily Q Wang,Valentina C Sladky,Tae Gyu Oh,Junlai Liu,Kaitlyn Trinh,Felix Eichin,Michael Downes,Mojgan Hosseini,Etienne D Jacotot,Ronald M Evans,Andreas Villunger,Michael Karin

Cancer management and research 12:5201-5212 PubMed32636681

2020

microRNA-582 Potentiates Liver and Lung Metastasis of Gastric Carcinoma Cells Through the FOXO3-Mediated PI3K/Akt/Snail Pathway.

Applications

Unspecified application

Species

Unspecified reactive species

Tianyu Xie,Di Wu,Shuo Li,Xiongguang Li,Lipeng Wang,Yixun Lu,Qiying Song,Xuehong Sun,Xinxin Wang

Experimental and therapeutic medicine 19:603-610 PubMed31897103

2020

Upregulated miRNA-182-5p expression in tumor tissue and peripheral blood samples from patients with non-small cell lung cancer is associated with downregulated Caspase 2 expression.

Applications

Unspecified application

Species

Unspecified reactive species

Lu Yang,Ye Dou,Zhuxin Sui,Hui Cheng,Xia Liu,Qinglu Wang,Peifu Gao,Yin'e Qu,Ming Xu
View all publications

Product promise

We are committed to supporting your work with high-quality reagents, and we're here for you every step of the way. In the unlikely event that one of our products does not perform as expected, you're protected by our Product Promise.
For full details, please see our Terms & Conditions

Please note: All products are 'FOR RESEARCH USE ONLY. NOT FOR USE IN DIAGNOSTIC OR THERAPEUTIC PROCEDURES'.

For licensing inquiries, please contact partnerships@abcam.com