JavaScript is disabled in your browser. Please enable JavaScript to view this website.
AB179519

Anti-Caspase-2L antibody [EPR16790]

4

(1 Review)

|

(4 Publications)

Rabbit Recombinant Monoclonal Caspase-2 antibody. Suitable for WB, ICC/IF, Flow Cyt (Intra), IHC-P and reacts with Mouse, Rat, Human samples. Cited in 4 publications.

View Alternative Names

Ich1, Nedd-2, Nedd2, Casp2, Caspase-2, CASP-2, Neural precursor cell expressed developmentally down-regulated protein 2, Protease ICH-1, NEDD-2

7 Images
Immunocytochemistry/ Immunofluorescence - Anti-Caspase-2L antibody [EPR16790] (AB179519)
  • ICC/IF

Supplier Data

Immunocytochemistry/ Immunofluorescence - Anti-Caspase-2L antibody [EPR16790] (AB179519)

Immunofluorescent analysis of 4% paraformaldehyde-fixed 0.1% Triton X-100 permeabilized HeLa (Human epithelial cells from cervix adenocarcinoma) cells labeling Caspase-2L with ab179519 at 1/500 dilution followed by Goat anti-rabbit IgG (Alexa Fluor® 488) (ab150077) secondary antibody at 1/500 dilution (green). Confocal image showing nuclear and cytoplasmic staining on HeLa cells. The nuclear counter stain is DAPI (blue). Tubulin is detected with ab7291 (anti-Tubulin mouse mAb) at 1/1000 dilution and ab150120 (AlexaFluor®594 Goat anti-Mouse secondary) at 1/500 dilution (red).
The negative controls are as follows :
1. ab179519 at 1/500 dilution followed by ab150120 (AlexaFluor®594 Goat anti-Mouse secondary) at 1/500 dilution.
2. ab7291 (anti-Tubulin mouse mAb) at 1/1000 dilution followed by ab150077 (Alexa Fluor®488 Goat Anti-Rabbit IgG H&L) at 1/500 dilution.

Immunohistochemistry (Formalin/PFA-fixed paraffin-embedded sections) - Anti-Caspase-2L antibody [EPR16790] (AB179519)
  • IHC-P

Supplier Data

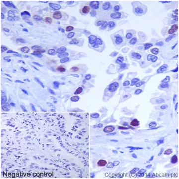
Immunohistochemistry (Formalin/PFA-fixed paraffin-embedded sections) - Anti-Caspase-2L antibody [EPR16790] (AB179519)

Immunohistochemical analysis of paraffin-embedded Human lung cancer tissue labeling Caspase-2L using ab179519 at 1/250 dilution. A Goat Anti-Rabbit IgG H&L (HRP) (ab97051) was used as secondary at 1/500 dilution. Counterstain : Hematoxylin.
Inset image : negative control obtained using PBS instead of ab179519.
Note : nuclear staining on the tumor cells of Human lung cancer was observed.

Perform heat mediated antigen retrieval with Tris/EDTA buffer pH 9.0 before commencing with IHC staining protocol.

Immunohistochemistry (Formalin/PFA-fixed paraffin-embedded sections) - Anti-Caspase-2L antibody [EPR16790] (AB179519)
  • IHC-P

Supplier Data

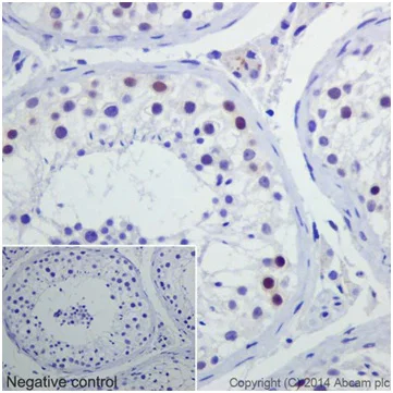
Immunohistochemistry (Formalin/PFA-fixed paraffin-embedded sections) - Anti-Caspase-2L antibody [EPR16790] (AB179519)

Immunohistochemical analysis of paraffin-embedded Human testis tissue labeling Caspase-2L using ab179519 at 1/250 dilution. A Goat Anti-Rabbit IgG H&L (HRP) (ab97051) was used as secondary at 1/500 dilution. Counterstain : Hematoxylin.
Inset image : negative control obtained using PBS instead of ab179519.
Note : nuclear staining on the germ cells of the Human testis was observed.

Perform heat mediated antigen retrieval with Tris/EDTA buffer pH 9.0 before commencing with IHC staining protocol.

Flow Cytometry (Intracellular) - Anti-Caspase-2L antibody [EPR16790] (AB179519)
  • Flow Cyt (Intra)

Supplier Data

Flow Cytometry (Intracellular) - Anti-Caspase-2L antibody [EPR16790] (AB179519)

Intracellular flow cytometric analysis of 2% paraformaldehyde-fixedJurkat (Human T cell leukemia cells from peripheral blood) cells labeling Caspase-2 with ab179519 at 1/500 dilution (red) compared with a rabbit monoclonal IgG isotype control (black) and a unlabelled control (cells without incubation with primary antibody and secondary antibody; blue). Goat anti rabbit IgG (FITC) at 1/150 dilution was used as the secondary antibody.

Western blot - Anti-Caspase-2L antibody [EPR16790] (AB179519)
  • WB

Supplier Data

Western blot - Anti-Caspase-2L antibody [EPR16790] (AB179519)

Blocking/Dilution buffer : 5% NFDM/TBST.

Observed MW : 48,12 kDa

All lanes:

Western blot - Anti-Caspase-2L antibody [EPR16790] (ab179519) at 1/10000 dilution

All lanes:

C6 (Rat glial tumor cells) whole cell lysate at 10 µg

Secondary

All lanes:

Goat anti-rabbit IgG, (H+L), peroxidase conjugated at 1/1000 dilution

Predicted band size: 51 kDa

false

Exposure time: 3min

Western blot - Anti-Caspase-2L antibody [EPR16790] (AB179519)
  • WB

Supplier Data

Western blot - Anti-Caspase-2L antibody [EPR16790] (AB179519)

Blocking/Dilution buffer : 5% NFDM/TBST.

Observed MW : 48, 30, 14, 12 kDa

All lanes:

Western blot - Anti-Caspase-2L antibody [EPR16790] (ab179519) at 1/2000 dilution

Lane 1:

Jurkat (Human T cell leukemia cells from peripheral blood) whole cell lysates treated with 1uM staurosporine for 4 hours at 10 µg

Lane 2:

untreated Jurkat whole cell lysates at 10 µg

Secondary

All lanes:

Goat Anti-Rabbit IgG, (H+L),Peroxidase conjugated at 1/1000 dilution

Predicted band size: 51 kDa

false

Exposure time: 3min

Western blot - Anti-Caspase-2L antibody [EPR16790] (AB179519)
  • WB

Supplier Data

Western blot - Anti-Caspase-2L antibody [EPR16790] (AB179519)

Blocking/Dilution buffer : 5% NFDM/TBST.

Observed MW : 48,30,12 kDa

All lanes:

Western blot - Anti-Caspase-2L antibody [EPR16790] (ab179519) at 1/2000 dilution

All lanes:

NIH/3T3 (Mouse embyro fibroblast cells) whole cell lysates at 10 µg

Secondary

All lanes:

Goat Anti-Rabbit IgG, (H+L),Peroxidase conjugated at 1/1000 dilution

Predicted band size: 51 kDa

false

Exposure time: 3min

Key facts

Host species

Rabbit

Clonality

Monoclonal

Clone number

EPR16790

Isotype

IgG

Carrier free

No

Reacts with

Mouse, Rat, Human

Applications

WB, Flow Cyt (Intra), ICC/IF, IHC-P

applications

Immunogen

The exact immunogen used to generate this antibody is proprietary information.

Reactivity data

{ "title": "Reactivity Data", "filters": { "stats": ["", "Species", "Dilution Info", "Notes"], "tabs": { "all-applications": {"fullname" : "All Applications", "shortname": "All Applications"}, "WB" : {"fullname" : "Western blot", "shortname":"WB"}, "ICCIF" : {"fullname" : "Immunocytochemistry/ Immunofluorescence", "shortname":"ICC/IF"}, "FlowCytIntra" : {"fullname" : "Flow Cytometry (Intracellular)", "shortname":"Flow Cyt (Intra)"}, "IHCP" : {"fullname" : "Immunohistochemistry (Formalin/PFA-fixed paraffin-embedded sections)", "shortname":"IHC-P"} }, "product-promise": { "all": "all", "testedAndGuaranteed": "tested", "guaranteed": "expected", "predicted": "predicted", "notRecommended": "not-recommended" } }, "values": { "Human": { "WB-species-checked": "testedAndGuaranteed", "WB-species-dilution-info": "1/2000", "WB-species-notes": "<p></p>", "ICCIF-species-checked": "testedAndGuaranteed", "ICCIF-species-dilution-info": "1/500", "ICCIF-species-notes": "<p></p>", "FlowCytIntra-species-checked": "testedAndGuaranteed", "FlowCytIntra-species-dilution-info": "1/500", "FlowCytIntra-species-notes": "<p><a href='/en-us/products/primary-antibodies/rabbit-igg-monoclonal-epr25a-isotype-control-ab172730'>ab172730</a> - Rabbit monoclonal IgG, is suitable for use as an isotype control with this antibody.</p>", "IHCP-species-checked": "testedAndGuaranteed", "IHCP-species-dilution-info": "1/250", "IHCP-species-notes": "<p></p>" }, "Mouse": { "WB-species-checked": "testedAndGuaranteed", "WB-species-dilution-info": "1/2000", "WB-species-notes": "<p></p>", "ICCIF-species-checked": "guaranteed", "ICCIF-species-dilution-info": "", "ICCIF-species-notes": "", "FlowCytIntra-species-checked": "guaranteed", "FlowCytIntra-species-dilution-info": "", "FlowCytIntra-species-notes": "", "IHCP-species-checked": "guaranteed", "IHCP-species-dilution-info": "", "IHCP-species-notes": "" }, "Rat": { "WB-species-checked": "testedAndGuaranteed", "WB-species-dilution-info": "1/2000", "WB-species-notes": "<p></p>", "ICCIF-species-checked": "guaranteed", "ICCIF-species-dilution-info": "", "ICCIF-species-notes": "", "FlowCytIntra-species-checked": "guaranteed", "FlowCytIntra-species-dilution-info": "", "FlowCytIntra-species-notes": "", "IHCP-species-checked": "guaranteed", "IHCP-species-dilution-info": "", "IHCP-species-notes": "" } } }

Product details

Patented technology
Our RabMAb® technology is a patented hybridoma-based technology for making rabbit monoclonal antibodies. For details on our patents, please refer to RabMAb® patents.

What are the advantages of a recombinant monoclonal antibody?
This product is a recombinant monoclonal antibody, which offers several advantages including:

  • - High batch-to-batch consistency and reproducibility
  • - Improved sensitivity and specificity
  • - Long-term security of supply
  • - Animal-free batch production

For more information, read more on recombinant antibodies.

Properties and storage information

Form
Liquid
Purification technique
Affinity purification Protein A
Storage buffer
Preservative: 0.01% Sodium azide Constituents: PBS, 40% Glycerol (glycerin, glycerine), 0.05% BSA
Shipped at conditions
Blue Ice
Appropriate short-term storage duration
1-2 weeks
Appropriate short-term storage conditions
+4°C
Appropriate long-term storage conditions
-20°C
Aliquoting information
Upon delivery aliquot
Storage information
Avoid freeze / thaw cycle

Product protocols

For this product, it's our understanding that no specific protocols are required. You can visit:

Target data

Involved in the activation cascade of caspases responsible for apoptosis execution. Might function by either activating some proteins required for cell death or inactivating proteins necessary for cell survival (PubMed : 7958843). Associates with PIDD1 and CRADD to form the PIDDosome, a complex that activates CASP2 and triggers apoptosis in response to genotoxic stress (By similarity).
See full target information Casp2

Publications (4)

Recent publications for all applications. Explore the full list and refine your search

Mediators of inflammation 2025:3675276 PubMed40196168

2025

Mdivi-1 Attenuates Sepsis-Associated Acute Lung Injury by Inhibiting M1 Alveolar Macrophage Polarization and Pyroptosis.

Applications

Unspecified application

Species

Unspecified reactive species

Xiaoyu Zhang,Hui Fan,Li Su,Yanni Wang,Guozhong Chen

Scientific reports 10:3869 PubMed32123248

2020

A soluble truncated tau species related to cognitive dysfunction is elevated in the brain of cognitively impaired human individuals.

Applications

Unspecified application

Species

Unspecified reactive species

Peng Liu,Benjamin R Smith,Michelle L Montonye,Lisa J Kemper,Kailee Leinonen-Wright,Kathryn M Nelson,LeeAnn Higgins,Candace R Guerrero,Todd W Markowski,Xiaohui Zhao,Ashley J Petersen,David S Knopman,Ronald C Petersen,Karen H Ashe

Nature communications 10:3622 PubMed31399584

2019

Caspase-2 promotes AMPA receptor internalization and cognitive flexibility via mTORC2-AKT-GSK3β signaling.

Applications

Unspecified application

Species

Unspecified reactive species

Zhi-Xiang Xu,Ji-Wei Tan,Haifei Xu,Cassandra J Hill,Olga Ostrovskaya,Kirill A Martemyanov,Baoji Xu

Acta neuropathologica communications 7:111 PubMed31358058

2019

A soluble truncated tau species related to cognitive dysfunction and caspase-2 is elevated in the brain of Huntington's disease patients.

Applications

Unspecified application

Species

Unspecified reactive species

Peng Liu,Benjamin R Smith,Eric S Huang,Abhishek Mahesh,Jean Paul G Vonsattel,Ashley J Petersen,Rocio Gomez-Pastor,Karen H Ashe
View all publications

Product promise

We are committed to supporting your work with high-quality reagents, and we're here for you every step of the way. In the unlikely event that one of our products does not perform as expected, you're protected by our Product Promise.
For full details, please see our Terms & Conditions

Please note: All products are 'FOR RESEARCH USE ONLY. NOT FOR USE IN DIAGNOSTIC OR THERAPEUTIC PROCEDURES'.

For licensing inquiries, please contact partnerships@abcam.com