JavaScript is disabled in your browser. Please enable JavaScript to view this website.
AB90437

Anti-Caspase-3 antibody

3

(9 Reviews)

|

(121 Publications)

Rabbit Polyclonal Caspase-3 antibody. Suitable for WB, IHC-P and reacts with Human, Saccharomyces cerevisiae samples. Cited in 121 publications. Immunogen corresponding to Recombinant Full Length Protein corresponding to Human CASP3.

View Alternative Names

CPP32, CASP3, Caspase-3, CASP-3, Apopain, Cysteine protease CPP32, Protein Yama, SREBP cleavage activity 1, CPP-32, SCA-1

3 Images
Western blot - Anti-Caspase-3 antibody (AB90437)
  • WB

Unknown

Western blot - Anti-Caspase-3 antibody (AB90437)

Western blot analysis of Caspase-3 pAb.

All lanes:

Western blot - Anti-Caspase-3 antibody (ab90437) at 1/1000 dilution

Lane 1:

Jurkat cell lysate

Lane 2:

Jurkat cells treated with staurosporine

Lane 3:

MCF-7 cell lysate (negative control)

Predicted band size: 31 kDa

Observed band size: ~18 kDa,~20 kDa

true

Western blot - Anti-Caspase-3 antibody (AB90437)
  • WB

AbReview50371****

Western blot - Anti-Caspase-3 antibody (AB90437)

Blocking with 5% milk for 1 hour at 23°C.

All lanes:

Western blot - Anti-Caspase-3 antibody (ab90437) at 1/1000 dilution

Lane 1:

Mouse hepatocytes whole cell lysate poly(I:C) treated - 0 hours

Lane 2:

Mouse hepatocytes whole cell lysate poly(I:C) treated - 12 hours

Predicted band size: 31 kDa

Observed band size: 32 kDa

true

Exposure time: 20s

This image is courtesy of an anonymous abreview.

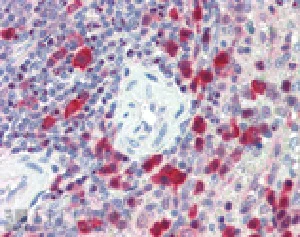
Immunohistochemistry (Formalin/PFA-fixed paraffin-embedded sections) - Anti-Caspase-3 antibody (AB90437)
  • IHC-P

Supplier Data

Immunohistochemistry (Formalin/PFA-fixed paraffin-embedded sections) - Anti-Caspase-3 antibody (AB90437)

Immunohistochemistry analysis of human spleen tissue stained with Caspase-3, pAb at 10μg/ml.

Key facts

Host species

Rabbit

Clonality

Polyclonal

Isotype

IgG

Carrier free

No

Reacts with

Human, Saccharomyces cerevisiae

Applications

IHC-P, WB

applications

Immunogen

Recombinant Full Length Protein corresponding to Human CASP3.

P42574

Reactivity data

{ "title": "Reactivity Data", "filters": { "stats": ["", "Species", "Dilution Info", "Notes"], "tabs": { "all-applications": {"fullname" : "All Applications", "shortname": "All Applications"}, "WB" : {"fullname" : "Western blot", "shortname":"WB"}, "IHCP" : {"fullname" : "Immunohistochemistry (Formalin/PFA-fixed paraffin-embedded sections)", "shortname":"IHC-P"} }, "product-promise": { "all": "all", "testedAndGuaranteed": "tested", "guaranteed": "expected", "predicted": "predicted", "notRecommended": "not-recommended" } }, "values": { "Human": { "WB-species-checked": "testedAndGuaranteed", "WB-species-dilution-info": "1/1000", "WB-species-notes": "<p>A lower molecular weight band refers to a proteolytic cleavage product of caspase-3.</p>", "IHCP-species-checked": "testedAndGuaranteed", "IHCP-species-dilution-info": "", "IHCP-species-notes": "<p></p>" }, "Saccharomyces cerevisiae": { "WB-species-checked": "guaranteed", "WB-species-dilution-info": "1/1000", "WB-species-notes": "<p>A lower molecular weight band refers to a proteolytic cleavage product of caspase-3.</p>", "IHCP-species-checked": "guaranteed", "IHCP-species-dilution-info": "", "IHCP-species-notes": "<p></p>" } } }

Properties and storage information

Form
Liquid
Purification technique
Affinity purification Protein A
Purification notes
Affinity Purification
Storage buffer
Preservative: 0.09% Sodium azide Constituents: PBS, 50% Glycerol (glycerin, glycerine)
Shipped at conditions
Blue Ice
Appropriate short-term storage duration
1-2 weeks
Appropriate short-term storage conditions
+4°C
Appropriate long-term storage conditions
-20°C
Aliquoting information
Upon delivery aliquot
Storage information
Avoid freeze / thaw cycle

Product protocols

For this product, it's our understanding that no specific protocols are required. You can visit:

Target data

Thiol protease that acts as a major effector caspase involved in the execution phase of apoptosis (PubMed : 18723680, PubMed : 20566630, PubMed : 23650375, PubMed : 35338844, PubMed : 35446120, PubMed : 7596430). Following cleavage and activation by initiator caspases (CASP8, CASP9 and/or CASP10), mediates execution of apoptosis by catalyzing cleavage of many proteins (PubMed : 18723680, PubMed : 20566630, PubMed : 23650375, PubMed : 7596430). At the onset of apoptosis, it proteolytically cleaves poly(ADP-ribose) polymerase PARP1 at a '216-Asp-|-Gly-217' bond (PubMed : 10497198, PubMed : 16374543, PubMed : 7596430, PubMed : 7774019). Cleaves and activates sterol regulatory element binding proteins (SREBPs) between the basic helix-loop-helix leucine zipper domain and the membrane attachment domain (By similarity). Cleaves and activates caspase-6, -7 and -9 (CASP6, CASP7 and CASP9, respectively) (PubMed : 7596430). Cleaves and inactivates interleukin-18 (IL18) (PubMed : 37993714, PubMed : 9334240). Involved in the cleavage of huntingtin (PubMed : 8696339). Triggers cell adhesion in sympathetic neurons through RET cleavage (PubMed : 21357690). Cleaves and inhibits serine/threonine-protein kinase AKT1 in response to oxidative stress (PubMed : 23152800). Acts as an inhibitor of type I interferon production during virus-induced apoptosis by mediating cleavage of antiviral proteins CGAS, IRF3 and MAVS, thereby preventing cytokine overproduction (PubMed : 30878284). Also involved in pyroptosis by mediating cleavage and activation of gasdermin-E (GSDME) (PubMed : 35338844, PubMed : 35446120). Cleaves XRCC4 and phospholipid scramblase proteins XKR4, XKR8 and XKR9, leading to promote phosphatidylserine exposure on apoptotic cell surface (PubMed : 23845944, PubMed : 33725486). Cleaves BIRC6 following inhibition of BIRC6-caspase binding by DIABLO/SMAC (PubMed : 36758104, PubMed : 36758106).
See full target information CASP3

Publications (121)

Recent publications for all applications. Explore the full list and refine your search

Heliyon 10:e37169 PubMed39309801

2024

Asiaticoside inhibits breast cancer progression and tumor angiogenesis via YAP1/VEGFA signal pathway.

Applications

Unspecified application

Species

Unspecified reactive species

Mengmeng Guo,Yu Ying,Yun Chen,Xian Miao,Zhenghong Yu

Journal of traditional and complementary medicine 14:101-108 PubMed38223806

2024

Boswellic acid formulations are not suitable for treatment of pediatric high-grade glioma due to tumor promoting potential.

Applications

Unspecified application

Species

Unspecified reactive species

Maria Wiese,Bente Pohlmeier,Klaudia Kubiak,Fatma E El-Khouly,Maren Sitte,Angel M Carcaboso,Joshua N Baugh,Thomas Perwein,Gunther Nussbaumer,Michael Karremann,Gerrit H Gielen,Gabriela Salinas,Christof M Kramm

Poultry science 102:103023 PubMed37748246

2023

Transcriptome analysis of healthy and fatty liver revealed that inhibition of SLCO1B3 induces abnormal liver metabolism and lipid synthesis.

Applications

Unspecified application

Species

Unspecified reactive species

Xiaomu Zhu,Yi Chen,Tian Lan,Chang Liu

Stem cells international 2022:5609501 PubMed36277041

2022

MFG-E8 Exerts Neuroprotection in Neural Stem Cells Induced by Anesthetic Sevoflurane via Regulating the PI3K/AKT Pathways.

Applications

Unspecified application

Species

Unspecified reactive species

Minmin Cai,Liufang Sheng

Cell biology international 46:1399-1408 PubMed35842767

2022

PIK3CB promotes oesophageal cancer proliferation through the PI3K/AKT/mTOR signalling axis.

Applications

Unspecified application

Species

Unspecified reactive species

Wei Xu,Zhiqiang Wang,Zhi Zhang,Jian Xu,Yuequan Jiang

Journal of clinical laboratory analysis 36:e24533 PubMed35766445

2022

Hsa_circ_0005100 regulates tumorigenicity of colorectal carcinoma via miR-145-5p/MACC1 axis.

Applications

Unspecified application

Species

Unspecified reactive species

Tongtong Zhang,Suyang Yu,Shipeng Zhao

Translational cancer research 10:3491-3506 PubMed35116653

2022

KDELR2 knockdown synergizes with temozolomide to induce glioma cell apoptosis through the CHOP and JNK/p38 pathways.

Applications

Unspecified application

Species

Unspecified reactive species

Guofeng Zhang,Bin Wang,Shiqi Cheng,Hengyi Fan,Shaowen Liu,Bin Zhou,Weibin Liu,Rui Liang,Youjia Tang,Yan Zhang

Journal of clinical orthopaedics and trauma 25:101762 PubMed35070686

2022

Chondroprotective effects of multiple PRP injections in osteoarthritis by apoptosis regulation and increased aggrecan synthesis- Immunohistochemistry based Guinea pig study.

Applications

Unspecified application

Species

Unspecified reactive species

Sandeep Patel,Narayan Prasad Mishra,Devendra Kumar Chouhan,Uma Nahar,Mandeep S Dhillon

Molecules (Basel, Switzerland) 26: PubMed34770786

2021

Betulinic Acid Modulates the Expression of HSPA and Activates Apoptosis in Two Cell Lines of Human Colorectal Cancer.

Applications

Unspecified application

Species

Unspecified reactive species

Laphatrada Yurasakpong,Chanin Nantasenamat,Saksit Nobsathian,Kulathida Chaithirayanon,Somjai Apisawetakan

Life (Basel, Switzerland) 11: PubMed34685458

2021

A Novel RNA Synthesis Inhibitor, STK160830, Has Negligible DNA-Intercalating Activity for Triggering A p53 Response, and Can Inhibit p53-Dependent Apoptosis.

Applications

Unspecified application

Species

Unspecified reactive species

Akinori Morita,Shintaro Ochi,Hidetoshi Satoh,Shohei Ujita,Yosuke Matsushita,Kasumi Tada,Mihiro Toyoda,Yuichi Nishiyama,Kosuke Mizuno,Yuichi Deguchi,Keiji Suzuki,Yoshimasa Tanaka,Hiroshi Ueda,Toshiya Inaba,Yoshio Hosoi,Shin Aoki
View all publications

Product promise

We are committed to supporting your work with high-quality reagents, and we're here for you every step of the way. In the unlikely event that one of our products does not perform as expected, you're protected by our Product Promise.
For full details, please see our Terms & Conditions

Please note: All products are 'FOR RESEARCH USE ONLY. NOT FOR USE IN DIAGNOSTIC OR THERAPEUTIC PROCEDURES'.

For licensing inquiries, please contact partnerships@abcam.com