JavaScript is disabled in your browser. Please enable JavaScript to view this website.
AB179517

Anti-Caspase-3 p12 antibody [EPR16888]

Be the first to review this product! Submit a review

|

(41 Publications)

Rabbit Recombinant Monoclonal Caspase-3 antibody. Suitable for WB, ICC/IF, Flow Cyt (Intra), IHC-P and reacts with Mouse, Human, Rat samples. Cited in 41 publications.

View Alternative Names

CPP32, CASP3, Caspase-3, CASP-3, Apopain, Cysteine protease CPP32, Protein Yama, SREBP cleavage activity 1, CPP-32, SCA-1

11 Images
Flow Cytometry (Intracellular) - Anti-Caspase-3 p12 antibody [EPR16888] (AB179517)
  • Flow Cyt (Intra)

Lab

Flow Cytometry (Intracellular) - Anti-Caspase-3 p12 antibody [EPR16888] (AB179517)

Intracellular Flow Cytometry analysis of K562 (human chronic myelogenous leukemia) with purified ab179517 at 1/240 dilution (Red). The secondary antibody was Goat anti rabbit IgG (Alexa Fluor® 488) at 1/2000 dilution. A Rabbit monoclonal IgG (Black) was used as the isotype control and cells without incubation with primary antibody and secondary antibody (Blue) were used as unlabeled control.

Immunocytochemistry/ Immunofluorescence - Anti-Caspase-3 p12 antibody [EPR16888] (AB179517)
  • ICC/IF

Lab

Immunocytochemistry/ Immunofluorescence - Anti-Caspase-3 p12 antibody [EPR16888] (AB179517)

Immunofluorescent analysis of 4% paraformaldehyde-fixed, 0.1% Triton X-100 permeabilized K562 (Human chronic myelogenous leukemia cells from bone marrow) cells labeling Caspase-3 p12 with ab179517 at 1/150 dilution, followed by Goat anti-rabbit IgG (Alexa Fluor® 488) (ab150077) secondary antibody at 1/400 dilution (green). Confocal image showing cytoplasmic staining on K562 cell line. The nuclear counter stain is DAPI (blue). Tubulin is detected with ab7291 (anti-Tubulin mouse mAb) at 1/500 dilution and ab150120 (AlexaFluor®594 Goat anti-Mouse secondary) at 1/500 dilution (red).
The negative controls are as follows;
-ve control 1 : ab179517 at 1/150 dilution followed by ab150120 (AlexaFluor®594 Goat anti-Mouse secondary) at 1/500 dilution.
-ve control 2 : ab7291 (anti-Tubulin mouse mAb) at 1/500 dilution followed by ab150077 (Alexa Fluor®488 Goat Anti-Rabbit IgG H&L) at 1/400 dilution.

Immunohistochemistry (Formalin/PFA-fixed paraffin-embedded sections) - Anti-Caspase-3 p12 antibody [EPR16888] (AB179517)
  • IHC-P

Supplier Data

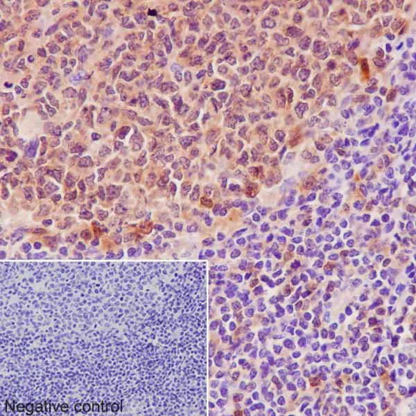
Immunohistochemistry (Formalin/PFA-fixed paraffin-embedded sections) - Anti-Caspase-3 p12 antibody [EPR16888] (AB179517)

Immunohistochemical analysis of paraffin-embedded Human tonsil tissue labeling Caspase-3 p12 with ab179517 at 1/2000 dilution, followed by Goat Anti-Rabbit IgG H&L (HRP) secondary antibody (ab97051) at 1/500 dilution. Cytoplasmic and nuclear staining in germinal center, weaker staining in the mantle zone (MZ) lymphocytes is observed. Counter stained with Hematoxylin.

Negative control : Using PBS instead of primary antibody, secondary antibody is Goat Anti-Rabbit IgG H&L (HRP) secondary antibody (ab97051) at 1/500 dilution.

Perform heat mediated antigen retrieval with Tris/EDTA buffer pH 9.0 before commencing with IHC staining protocol.

Immunohistochemistry (Formalin/PFA-fixed paraffin-embedded sections) - Anti-Caspase-3 p12 antibody [EPR16888] (AB179517)
  • IHC-P

Supplier Data

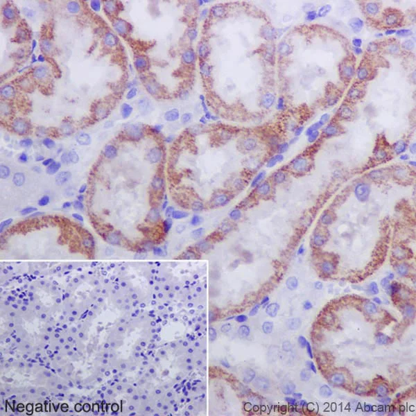
Immunohistochemistry (Formalin/PFA-fixed paraffin-embedded sections) - Anti-Caspase-3 p12 antibody [EPR16888] (AB179517)

Immunohistochemical analysis of paraffin-embedded Rat kidney tissue labeling Caspase-3 p12 with ab179517 at 1/2000 dilution, followed by Goat Anti-Rabbit IgG H&L (HRP) secondary antibody (ab97051) at 1/500 dilution. Granular staining on epithelium from kidney is observed. Counter stained with Hematoxylin.

Negative control : Using PBS instead of primary antibody, secondary antibody is Goat Anti-Rabbit IgG H&L (HRP) secondary antibody (ab97051) at 1/500 dilution.

[1] Afshin Samali, Boris Zhivotovsky, Dean P. Jonesa, Sten Orreniusa. Detection of pro-caspase-3 in cytosol and mitochondria of various tissues (rat). FEBS Letters 431 (1998) 167-169.

Perform heat mediated antigen retrieval with Tris/EDTA buffer pH 9.0 before commencing with IHC staining protocol.

Immunohistochemistry (Formalin/PFA-fixed paraffin-embedded sections) - Anti-Caspase-3 p12 antibody [EPR16888] (AB179517)
  • IHC-P

Supplier Data

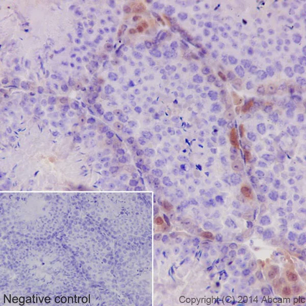
Immunohistochemistry (Formalin/PFA-fixed paraffin-embedded sections) - Anti-Caspase-3 p12 antibody [EPR16888] (AB179517)

Immunohistochemical analysis of paraffin-embedded Mouse testis tissue labeling Caspase-3 p12 with ab179517 at 1/2000 dilution, followed by Goat Anti-Rabbit IgG H&L (HRP) secondary antibody (ab97051) at 1/500 dilution. Nuclear and cytoplasmic staining on leydig cells and spermatogonial cells is observed. Counter stained with Hematoxylin.

Negative control : Using PBS instead of primary antibody, secondary antibody is Goat Anti-Rabbit IgG H&L (HRP) secondary antibody (ab97051) at 1/500 dilution.

Perform heat mediated antigen retrieval with Tris/EDTA buffer pH 9.0 before commencing with IHC staining protocol.

Western blot - Anti-Caspase-3 p12 antibody [EPR16888] (AB179517)
  • WB

Lab

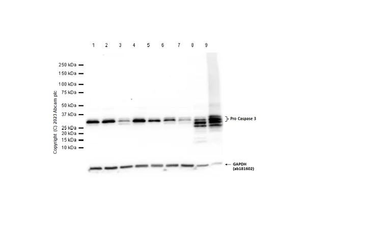
Western blot - Anti-Caspase-3 p12 antibody [EPR16888] (AB179517)

Blocking and diluting buffer and concentration : 5% NFDM/TBST. ab181602 was used as loading control. Bands between 27-32kDa represent cleavage of the procaspase at D9 and D28, respectively (PMID : 14567691)

All lanes:

Western blot - Anti-Caspase-3 p12 antibody [EPR16888] (ab179517) at 1/1000 dilution

Lane 1:

Mouse Alzheimer's disease brain tissue lysate at 20 µg

Lane 2:

Mouse brain cancer tissue lysate at 20 µg

Lane 3:

Mouse hippocampus tissue lysate at 20 µg

Lane 4:

Mouse spinal cord tissue lysate at 20 µg

Lane 5:

Mouse cerebellum tissue lysate at 20 µg

Lane 6:

Mouse cerebral cortex tissue lysate at 20 µg

Lane 7:

Mouse hypothalamus tissue lysate at 20 µg

Lane 8:

Mouse heart tissue lysate at 20 µg

Lane 9:

Mouse liver tissue lysate at 20 µg

Lane 10:

Human brain tissue lysate at 20 µg

Lane 11:

Human liver tissue lysate at 20 µg

Lane 12:

Human hypothalamus tissue lysate at 20 µg

Lane 13:

Human heart tissue lysate at 20 µg

Lane 14:

Human cerebellum tissue at 20 µg

Secondary

All lanes:

Goat Anti-Rabbit IgG (HRP) with minimal cross-reactivity with human IgG at 1/2000 dilution

Predicted band size: 32 kDa

false

Exposure time: 7s

Western blot - Anti-Caspase-3 p12 antibody [EPR16888] (AB179517)
  • WB

Supplier Data

Western blot - Anti-Caspase-3 p12 antibody [EPR16888] (AB179517)

Blocking/Dilution buffer : 5% NFDM/TBST.

32 and 29 kDa bands represent procaspase-3; 12-kDa band is Caspase-3 subunit p12.

All lanes:

Western blot - Anti-Caspase-3 p12 antibody [EPR16888] (ab179517) at 1/1000 dilution

Lane 1:

NIH/3T3 (Mouse embyro fibroblast cells) treated with staurosporine 1uM for 4h at 10 µg

Lane 2:

Untreated NIH/3T3 whole cell lysates at 10 µg

Secondary

All lanes:

Goat Anti-Rabbit IgG, (H+L),Peroxidase conjugated at 1/1000 dilution

Predicted band size: 32 kDa

Observed band size: 12 kDa,29 kDa,32 kDa

false

Western blot - Anti-Caspase-3 p12 antibody [EPR16888] (AB179517)
  • WB

Supplier Data

Western blot - Anti-Caspase-3 p12 antibody [EPR16888] (AB179517)

Blocking/Dilution buffer : 5% NFDM/TBST.

32 and 29 kDa bands represent procaspase-3; 12-kDa band is Caspase-3 subunit p12.

All lanes:

Western blot - Anti-Caspase-3 p12 antibody [EPR16888] (ab179517) at 1/1000 dilution

Lane 1:

HeLa (Human epithelial cells from cervix adenocarcinoma) whole cell lysates treated with staurosporine 1uM for 4hr at 10 µg

Lane 2:

HeLa untreated whole cell lysates at 10 µg

Secondary

All lanes:

Goat Anti-Rabbit IgG, (H+L),Peroxidase conjugated at 1/1000 dilution

Predicted band size: 32 kDa

Observed band size: 12 kDa,29 kDa,32 kDa

false

Western blot - Anti-Caspase-3 p12 antibody [EPR16888] (AB179517)
  • WB

Supplier Data

Western blot - Anti-Caspase-3 p12 antibody [EPR16888] (AB179517)

Blocking/Dilution buffer : 5% NFDM/TBST.

32 and 29 kDa bands represent procaspase-3.

All lanes:

Western blot - Anti-Caspase-3 p12 antibody [EPR16888] (ab179517) at 1/5000 dilution

All lanes:

Mouse spleen lysates at 10 µg

Secondary

All lanes:

Goat Anti-Rabbit IgG, (H+L),Peroxidase conjugated at 1/1000 dilution

Predicted band size: 32 kDa

Observed band size: 29 kDa,32 kDa

false

Western blot - Anti-Caspase-3 p12 antibody [EPR16888] (AB179517)
  • WB

Lab

Western blot - Anti-Caspase-3 p12 antibody [EPR16888] (AB179517)

Blocking and diluting buffer and concentration : 5% NFDM/TBST. ab181602 was used as loading control. Bands between 27-32kDa represent cleavage of the procaspase at D9 and D28, respectively (PMID : 14567691)

All lanes:

Western blot - Anti-Caspase-3 p12 antibody [EPR16888] (ab179517) at 1/1000 dilution

Lane 1:

Rat brain tissue lysate at 20 µg

Lane 2:

Rat hippocampus tissue lysate at 20 µg

Lane 3:

Rat spinal cord tissue lysate at 20 µg

Lane 4:

Rat cerebellum tissue lysate at 20 µg

Lane 5:

Rat cerebral cortex tissue at 20 µg

Lane 6:

Rat hypothalamus tissue at 20 µg

Lane 7:

Rat heart tissue lysate at 20 µg

Lane 8:

Rat liver tissue lysate at 20 µg

Lane 9:

PC-12 (Rat adrenal gland pheochromocytoma) whole cell lysate at 20 µg

Secondary

All lanes:

Goat Anti-Rabbit IgG (HRP) with minimal cross-reactivity with human IgG at 1/2000 dilution

Predicted band size: 32 kDa

false

Exposure time: 5s

Western blot - Anti-Caspase-3 p12 antibody [EPR16888] (AB179517)
  • WB

Supplier Data

Western blot - Anti-Caspase-3 p12 antibody [EPR16888] (AB179517)

Blocking/Dilution buffer : 5% NFDM/TBST.

32 and 29 kDa bands represent procaspase-3.

All lanes:

Western blot - Anti-Caspase-3 p12 antibody [EPR16888] (ab179517) at 1/1000 dilution

Lane 1:

Mouse brain lysates at 10 µg

Lane 2:

Mouse heart lysates at 10 µg

Lane 3:

Rat brain lysates at 10 µg

Lane 4:

Rat heart lysates at 10 µg

Secondary

All lanes:

Goat Anti-Rabbit IgG, (H+L),Peroxidase conjugated at 1/1000 dilution

Predicted band size: 32 kDa

Observed band size: 29 kDa,32 kDa

false

Key facts

Host species

Rabbit

Clonality

Monoclonal

Clone number

EPR16888

Isotype

IgG

Carrier free

No

Reacts with

Mouse, Rat, Human

Applications

WB, ICC/IF, IHC-P, Flow Cyt (Intra)

applications

Immunogen

The exact immunogen used to generate this antibody is proprietary information.

Reactivity data

{ "title": "Reactivity Data", "filters": { "stats": ["", "Species", "Dilution Info", "Notes"], "tabs": { "all-applications": {"fullname" : "All Applications", "shortname": "All Applications"}, "WB" : {"fullname" : "Western blot", "shortname":"WB"}, "ICCIF" : {"fullname" : "Immunocytochemistry/ Immunofluorescence", "shortname":"ICC/IF"}, "FlowCytIntra" : {"fullname" : "Flow Cytometry (Intracellular)", "shortname":"Flow Cyt (Intra)"}, "IHCP" : {"fullname" : "Immunohistochemistry (Formalin/PFA-fixed paraffin-embedded sections)", "shortname":"IHC-P"} }, "product-promise": { "all": "all", "testedAndGuaranteed": "tested", "guaranteed": "expected", "predicted": "predicted", "notRecommended": "not-recommended" } }, "values": { "Human": { "WB-species-checked": "testedAndGuaranteed", "WB-species-dilution-info": "1/1000", "WB-species-notes": "<p></p>", "ICCIF-species-checked": "testedAndGuaranteed", "ICCIF-species-dilution-info": "1/150", "ICCIF-species-notes": "<p></p>", "FlowCytIntra-species-checked": "testedAndGuaranteed", "FlowCytIntra-species-dilution-info": "", "FlowCytIntra-species-notes": "<p></p>", "IHCP-species-checked": "testedAndGuaranteed", "IHCP-species-dilution-info": "1/2000", "IHCP-species-notes": "<p></p>" }, "Mouse": { "WB-species-checked": "testedAndGuaranteed", "WB-species-dilution-info": "1/1000", "WB-species-notes": "<p></p>", "ICCIF-species-checked": "guaranteed", "ICCIF-species-dilution-info": "", "ICCIF-species-notes": "", "FlowCytIntra-species-checked": "guaranteed", "FlowCytIntra-species-dilution-info": "", "FlowCytIntra-species-notes": "", "IHCP-species-checked": "testedAndGuaranteed", "IHCP-species-dilution-info": "1/2000", "IHCP-species-notes": "<p></p>" }, "Rat": { "WB-species-checked": "guaranteed", "WB-species-dilution-info": "", "WB-species-notes": "", "ICCIF-species-checked": "guaranteed", "ICCIF-species-dilution-info": "", "ICCIF-species-notes": "", "FlowCytIntra-species-checked": "guaranteed", "FlowCytIntra-species-dilution-info": "", "FlowCytIntra-species-notes": "", "IHCP-species-checked": "testedAndGuaranteed", "IHCP-species-dilution-info": "1/2000", "IHCP-species-notes": "<p></p>" } } }

Product details

Patented technology
Our RabMAb® technology is a patented hybridoma-based technology for making rabbit monoclonal antibodies. For details on our patents, please refer to RabMAb® patents.

What are the advantages of a recombinant monoclonal antibody?
This product is a recombinant monoclonal antibody, which offers several advantages including:

  • - High batch-to-batch consistency and reproducibility
  • - Improved sensitivity and specificity
  • - Long-term security of supply
  • - Animal-free batch production

For more information, read more on recombinant antibodies.

Properties and storage information

Form
Liquid
Purification technique
Affinity purification Protein A
Storage buffer
Preservative: 0.01% Sodium azide Constituents: PBS, 40% Glycerol (glycerin, glycerine), 0.05% BSA
Shipped at conditions
Blue Ice
Appropriate short-term storage duration
1-2 weeks
Appropriate short-term storage conditions
+4°C
Appropriate long-term storage conditions
-20°C
Aliquoting information
Upon delivery aliquot
Storage information
Avoid freeze / thaw cycle

Product protocols

For this product, it's our understanding that no specific protocols are required. You can visit:

Target data

Thiol protease that acts as a major effector caspase involved in the execution phase of apoptosis (PubMed : 18723680, PubMed : 20566630, PubMed : 23650375, PubMed : 35338844, PubMed : 35446120, PubMed : 7596430). Following cleavage and activation by initiator caspases (CASP8, CASP9 and/or CASP10), mediates execution of apoptosis by catalyzing cleavage of many proteins (PubMed : 18723680, PubMed : 20566630, PubMed : 23650375, PubMed : 7596430). At the onset of apoptosis, it proteolytically cleaves poly(ADP-ribose) polymerase PARP1 at a '216-Asp-|-Gly-217' bond (PubMed : 10497198, PubMed : 16374543, PubMed : 7596430, PubMed : 7774019). Cleaves and activates sterol regulatory element binding proteins (SREBPs) between the basic helix-loop-helix leucine zipper domain and the membrane attachment domain (By similarity). Cleaves and activates caspase-6, -7 and -9 (CASP6, CASP7 and CASP9, respectively) (PubMed : 7596430). Cleaves and inactivates interleukin-18 (IL18) (PubMed : 37993714, PubMed : 9334240). Involved in the cleavage of huntingtin (PubMed : 8696339). Triggers cell adhesion in sympathetic neurons through RET cleavage (PubMed : 21357690). Cleaves and inhibits serine/threonine-protein kinase AKT1 in response to oxidative stress (PubMed : 23152800). Acts as an inhibitor of type I interferon production during virus-induced apoptosis by mediating cleavage of antiviral proteins CGAS, IRF3 and MAVS, thereby preventing cytokine overproduction (PubMed : 30878284). Also involved in pyroptosis by mediating cleavage and activation of gasdermin-E (GSDME) (PubMed : 35338844, PubMed : 35446120). Cleaves XRCC4 and phospholipid scramblase proteins XKR4, XKR8 and XKR9, leading to promote phosphatidylserine exposure on apoptotic cell surface (PubMed : 23845944, PubMed : 33725486). Cleaves BIRC6 following inhibition of BIRC6-caspase binding by DIABLO/SMAC (PubMed : 36758104, PubMed : 36758106).
See full target information CASP3

Publications (41)

Recent publications for all applications. Explore the full list and refine your search

ACS omega 9:46064-46073 PubMed39583716

2024

Potential Therapeutic Effect of Sinigrin on Diethylnitrosamine-Induced Liver Cancer in Mice: Exploring the Involvement of Nrf-2/HO-1, PI3K-Akt-mTOR Signaling Pathways, and Apoptosis.

Applications

Unspecified application

Species

Unspecified reactive species

Zhe Bai,Hui Li,Baoping Jiao

PloS one 19:e0310947 PubMed39325731

2024

PPARγ agonist alleviates calcium oxalate nephrolithiasis by regulating mitochondrial dynamics in renal tubular epithelial cell.

Applications

Unspecified application

Species

Unspecified reactive species

Junfa Liu,Xingyang Liu,Lizhe Guo,Xiongfei Liu,Qian Gao,E Wang,Zhitao Dong

Heliyon 10:e33585 PubMed39040273

2024

Lung decellularized matrix-derived 3D spheroids: Exploring silicosis through the impact of the Nrf2/Bax pathway on myofibroblast dynamics.

Applications

Unspecified application

Species

Unspecified reactive species

Wenming Xue,Jiaxin Wang,Yao Hou,Di Wu,Hongwei Wang,Qiyue Jia,Qiyue Jiang,Yan Wang,Chenzhao Song,Yifei Wang,Zhonghui Zhu,Lin Tian

The Tohoku journal of experimental medicine 263:141-150 PubMed38522897

2024

Warming Yang Promoting Blood Circulation and Diuresis Alleviates Myocardial Damage by Inhibiting Collagen Fiber and Myocardial Fibrosis and Attenuating Mitochondria Signaling Pathway Mediated Apoptosis in Chronic Heart Failure Rats.

Applications

Unspecified application

Species

Unspecified reactive species

Yong Chen,Yadan Tu,Lei Du,Ruixue Nan,Yi Ren

Cell reports. Medicine 5:101476 PubMed38508138

2024

Pyroptotic T cell-derived active IL-16 has a driving function in ovarian endometriosis development.

Applications

Unspecified application

Species

Unspecified reactive species

Jinghe Zhang,Weidong Zhao,Yonggang Zhou,Shengdi Xi,Xiuxiu Xu,Xianghui Du,Xiaohu Zheng,Weiping Hu,Rui Sun,Zhigang Tian,Binqing Fu,Haiming Wei

Frontiers in pharmacology 14:1288406 PubMed38293673

2024

Integrating RNA-sequencing and network analysis to explore the mechanism of topical Pien Tze Huang treatment on diabetic wounds.

Applications

Unspecified application

Species

Unspecified reactive species

Guang-Zhao Cao,Liang-Liang Tian,Jing-Yi Hou,Yi Zhang,He Xu,Hong-Jun Yang,Jing-Jing Zhang

Acta biochimica et biophysica Sinica 56:96-105 PubMed38105649

2023

Endoplasmic reticulum stress caused by traumatic injury promotes cardiomyocyte apoptosis through acetylation modification of GRP78.

Applications

Unspecified application

Species

Unspecified reactive species

Zi Yan,Yufeng Liu,Bowen Yang,Wenhui Zhao,Yan Wang,Deping Wang,Jianguo Li,Xiangying Jiao,Jimin Cao

Cancer chemotherapy and pharmacology 93:137-149 PubMed37921901

2023

The combination of brentuximab vedotin and chidamide synergistically suppresses the proliferation of T-cell lymphoma cells through the enhancement of apoptosis.

Applications

Unspecified application

Species

Unspecified reactive species

Yukio Tonozuka,Hiroshi Tanaka,Kazumi Nomura,Kazuya Sakaguchi,Junpei Soeda,Yoshihide Kakimoto

Cell & bioscience 13:87 PubMed37179385

2023

Hinokitiol-iron complex is a ferroptosis inducer to inhibit triple-negative breast tumor growth.

Applications

Unspecified application

Species

Unspecified reactive species

Hongting Zhao,Meng Zhang,Jinghua Zhang,Zichen Sun,Wenxin Zhang,Weichen Dong,Chen Cheng,Yongzhong Yao,Kuanyu Li

Communications biology 6:184 PubMed36797395

2023

Nanodrug rescues liver fibrosis via synergistic therapy with HO depletion and Saikosaponin b1 sustained release.

Applications

Unspecified application

Species

Unspecified reactive species

Hongyan Dong,Xin Han,Min Hao,Qiao Yang,Qiang Lyu,Dongxin Tang,Zhe Shen,Kuilong Wang,Haodan Kuang,Gang Cao,Mengyun Peng,Meiyu Shao
View all publications

Product promise

We are committed to supporting your work with high-quality reagents, and we're here for you every step of the way. In the unlikely event that one of our products does not perform as expected, you're protected by our Product Promise.
For full details, please see our Terms & Conditions

Please note: All products are 'FOR RESEARCH USE ONLY. NOT FOR USE IN DIAGNOSTIC OR THERAPEUTIC PROCEDURES'.

For licensing inquiries, please contact partnerships@abcam.com