JavaScript is disabled in your browser. Please enable JavaScript to view this website.
AB238936

Anti-Caspase-3 p12 antibody [EPR16888] - BSA and Azide free

Be the first to review this product! Submit a review

|

(1 Publication)

Rabbit Recombinant Monoclonal Caspase-3 antibody. Carrier free. Suitable for WB, ICC/IF, Flow Cyt (Intra), IHC-P and reacts with Mouse, Rat, Human samples. Cited in 1 publication.

View Alternative Names

CPP32, CASP3, Caspase-3, CASP-3, Apopain, Cysteine protease CPP32, Protein Yama, SREBP cleavage activity 1, CPP-32, SCA-1

7 Images
Immunocytochemistry/ Immunofluorescence - Anti-Caspase-3 p12 antibody [EPR16888] - BSA and Azide free (AB238936)
  • ICC/IF

Lab

Immunocytochemistry/ Immunofluorescence - Anti-Caspase-3 p12 antibody [EPR16888] - BSA and Azide free (AB238936)

Immunofluorescent analysis of 4% paraformaldehyde-fixed, 0.1% Triton X-100 permeabilized K562 (Human chronic myelogenous leukemia cells from bone marrow) cells labeling Caspase-3 p12 with ab179517 at 1/150 dilution, followed by Goat anti-rabbit IgG (Alexa Fluor® 488) (ab150077) secondary antibody at 1/400 dilution (green). Confocal image showing cytoplasmic staining on K562 cell line. The nuclear counter stain is DAPI (blue). Tubulin is detected with ab7291 (anti-Tubulin mouse mAb) at 1/500 dilution and ab150120 (AlexaFluor®594 Goat anti-Mouse secondary) at 1/500 dilution (red).
The negative controls are as follows;
-ve control 1 : ab179517 at 1/150 dilution followed by ab150120 (AlexaFluor®594 Goat anti-Mouse secondary) at 1/500 dilution.
-ve control 2 : ab7291 (anti-Tubulin mouse mAb) at 1/500 dilution followed by ab150077 (Alexa Fluor®488 Goat Anti-Rabbit IgG H&L) at 1/400 dilution.

This data was developed using the same antibody clone in a different buffer formulation containing PBS, BSA, glycerol, and sodium azide (ab179517).

Flow Cytometry (Intracellular) - Anti-Caspase-3 p12 antibody [EPR16888] - BSA and Azide free (AB238936)
  • Flow Cyt (Intra)

Lab

Flow Cytometry (Intracellular) - Anti-Caspase-3 p12 antibody [EPR16888] - BSA and Azide free (AB238936)

Intracellular Flow Cytometry analysis of K562 (human chronic myelogenous leukemia) with purified ab179517 at 1/240 dilution (Red). The secondary antibody was Goat anti rabbit IgG (Alexa Fluor® 488) at 1/2000 dilution. A Rabbit monoclonal IgG (Black) was used as the isotype control and cells without incubation with primary antibody and secondary antibody (Blue) were used as unlabeled control.

This data was developed using the same antibody clone in a different buffer formulation containing PBS, BSA, glycerol, and sodium azide (ab179517).

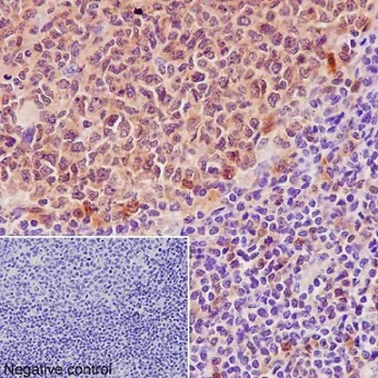
Immunohistochemistry (Formalin/PFA-fixed paraffin-embedded sections) - Anti-Caspase-3 p12 antibody [EPR16888] - BSA and Azide free (AB238936)
  • IHC-P

Supplier Data

Immunohistochemistry (Formalin/PFA-fixed paraffin-embedded sections) - Anti-Caspase-3 p12 antibody [EPR16888] - BSA and Azide free (AB238936)

Immunohistochemical analysis of paraffin-embedded Human tonsil tissue labeling Caspase-3 p12 with ab179517 at 1/2000 dilution, followed by Goat Anti-Rabbit IgG H&L (HRP) secondary antibody (ab97051) at 1/500 dilution. Cytoplasmic and nuclear staining in germinal center, weaker staining in the mantle zone (MZ) lymphocytes is observed. Counter stained with Hematoxylin.

Negative control : Using PBS instead of primary antibody, secondary antibody is Goat Anti-Rabbit IgG H&L (HRP) secondary antibody (ab97051) at 1/500 dilution.

This data was developed using the same antibody clone in a different buffer formulation containing PBS, BSA, glycerol, and sodium azide (ab179517).

Perform heat mediated antigen retrieval with Tris/EDTA buffer pH 9.0 before commencing with IHC staining protocol.

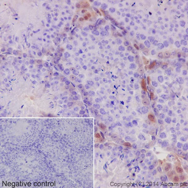
Immunohistochemistry (Formalin/PFA-fixed paraffin-embedded sections) - Anti-Caspase-3 p12 antibody [EPR16888] - BSA and Azide free (AB238936)
  • IHC-P

Supplier Data

Immunohistochemistry (Formalin/PFA-fixed paraffin-embedded sections) - Anti-Caspase-3 p12 antibody [EPR16888] - BSA and Azide free (AB238936)

Immunohistochemical analysis of paraffin-embedded Mouse testis tissue labeling Caspase-3 p12 with ab179517 at 1/2000 dilution, followed by Goat Anti-Rabbit IgG H&L (HRP) secondary antibody (ab97051) at 1/500 dilution. Nuclear and cytoplasmic staining on leydig cells and spermatogonial cells is observed. Counter stained with Hematoxylin.

Negative control : Using PBS instead of primary antibody, secondary antibody is Goat Anti-Rabbit IgG H&L (HRP) secondary antibody (ab97051) at 1/500 dilution.

This data was developed using the same antibody clone in a different buffer formulation containing PBS, BSA, glycerol, and sodium azide (ab179517).

Perform heat mediated antigen retrieval with Tris/EDTA buffer pH 9.0 before commencing with IHC staining protocol.

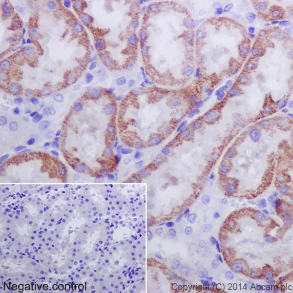
Immunohistochemistry (Formalin/PFA-fixed paraffin-embedded sections) - Anti-Caspase-3 p12 antibody [EPR16888] - BSA and Azide free (AB238936)
  • IHC-P

Supplier Data

Immunohistochemistry (Formalin/PFA-fixed paraffin-embedded sections) - Anti-Caspase-3 p12 antibody [EPR16888] - BSA and Azide free (AB238936)

Immunohistochemical analysis of paraffin-embedded Rat kidney tissue labeling Caspase-3 p12 with ab179517 at 1/2000 dilution, followed by Goat Anti-Rabbit IgG H&L (HRP) secondary antibody (ab97051) at 1/500 dilution. Granular staining on epithelium from kidney is observed. Counter stained with Hematoxylin.

Negative control : Using PBS instead of primary antibody, secondary antibody is Goat Anti-Rabbit IgG H&L (HRP) secondary antibody (ab97051) at 1/500 dilution.

[1] Afshin Samali, Boris Zhivotovsky, Dean P. Jonesa, Sten Orreniusa. Detection of pro-caspase-3 in cytosol and mitochondria of various tissues (rat). FEBS Letters 431 (1998) 167-169.

This data was developed using the same antibody clone in a different buffer formulation containing PBS, BSA, glycerol, and sodium azide (ab179517).

Perform heat mediated antigen retrieval with Tris/EDTA buffer pH 9.0 before commencing with IHC staining protocol.

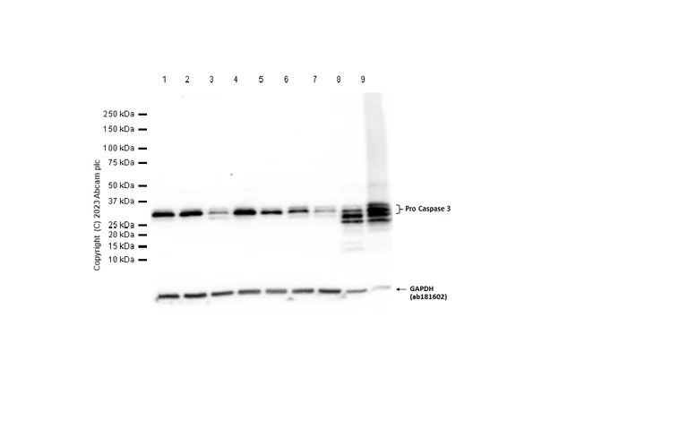
Western blot - Anti-Caspase-3 p12 antibody [EPR16888] - BSA and Azide free (AB238936)
  • WB

Lab

Western blot - Anti-Caspase-3 p12 antibody [EPR16888] - BSA and Azide free (AB238936)

This data was developed using the same antibody clone in a different buffer formulation containing PBS, BSA, glycerol, and sodium azide (ab179517). Blocking and diluting buffer and concentration : 5% NFDM/TBST. ab181602 was used as loading control. Bands between 27-32kDa represent cleavage of the procaspase at D9 and D28, respectively (PMID : 14567691)

All lanes:

Western blot - Anti-Caspase-3 p12 antibody [EPR16888] (<a href='/en-us/products/primary-antibodies/caspase-3-p12-antibody-epr16888-ab179517'>ab179517</a>) at 1/1000 dilution

Lane 1:

Mouse Alzheimer's disease brain tissue lysate at 20 µg

Lane 2:

Mouse brain cancer tissue lysate at 20 µg

Lane 3:

Mouse hippocampus tissue lysate at 20 µg

Lane 4:

Mouse spinal cord tissue lysate at 20 µg

Lane 5:

Mouse cerebellum tissue lysate at 20 µg

Lane 6:

Mouse cerebral cortex tissue lysate at 20 µg

Lane 7:

Mouse hypothalamus tissue lysate at 20 µg

Lane 8:

Mouse heart tissue lysate at 20 µg

Lane 9:

Mouse liver tissue lysate at 20 µg

Lane 10:

Human brain tissue lysate at 20 µg

Lane 11:

Human liver tissue lysate at 20 µg

Lane 12:

Human hypothalamus tissue lysate at 20 µg

Lane 13:

Human heart tissue lysate at 20 µg

Lane 14:

Human cerebellum tissue at 20 µg

Secondary

All lanes:

Goat Anti-Rabbit IgG (HRP) with minimal cross-reactivity with human IgG at 1/2000 dilution

Predicted band size: 32 kDa

false

Exposure time: 7s

Western blot - Anti-Caspase-3 p12 antibody [EPR16888] - BSA and Azide free (AB238936)
  • WB

Lab

Western blot - Anti-Caspase-3 p12 antibody [EPR16888] - BSA and Azide free (AB238936)

This data was developed using the same antibody clone in a different buffer formulation containing PBS, BSA, glycerol, and sodium azide (ab179517). Blocking and diluting buffer and concentration : 5% NFDM/TBST. ab181602 was used as loading control. Bands between 27-32kDa represent cleavage of the procaspase at D9 and D28, respectively (PMID : 14567691)

All lanes:

Western blot - Anti-Caspase-3 p12 antibody [EPR16888] (<a href='/en-us/products/primary-antibodies/caspase-3-p12-antibody-epr16888-ab179517'>ab179517</a>) at 1/1000 dilution

Lane 1:

Rat brain tissue lysate at 20 µg

Lane 2:

Rat hippocampus tissue lysate at 20 µg

Lane 3:

Rat spinal cord tissue lysate at 20 µg

Lane 4:

Rat cerebellum tissue lysate at 20 µg

Lane 5:

Rat cerebral cortex tissue at 20 µg

Lane 6:

Rat hypothalamus tissue at 20 µg

Lane 7:

Rat heart tissue lysate at 20 µg

Lane 8:

Rat liver tissue lysate at 20 µg

Lane 9:

PC-12 (Rat adrenal gland pheochromocytoma) whole cell lysate at 20 µg

Secondary

All lanes:

Goat Anti-Rabbit IgG (HRP) with minimal cross-reactivity with human IgG at 1/2000 dilution

Predicted band size: 32 kDa

false

Exposure time: 5s

Key facts

Host species

Rabbit

Clonality

Monoclonal

Clone number

EPR16888

Isotype

IgG

Carrier free

Yes

Reacts with

Mouse, Rat, Human

Applications

Flow Cyt (Intra), IHC-P, WB, ICC/IF

applications

Immunogen

The exact immunogen used to generate this antibody is proprietary information.

Reactivity data

{ "title": "Reactivity Data", "filters": { "stats": ["", "Species", "Dilution Info", "Notes"], "tabs": { "all-applications": {"fullname" : "All Applications", "shortname": "All Applications"}, "WB" : {"fullname" : "Western blot", "shortname":"WB"}, "ICCIF" : {"fullname" : "Immunocytochemistry/ Immunofluorescence", "shortname":"ICC/IF"}, "FlowCytIntra" : {"fullname" : "Flow Cytometry (Intracellular)", "shortname":"Flow Cyt (Intra)"}, "IHCP" : {"fullname" : "Immunohistochemistry (Formalin/PFA-fixed paraffin-embedded sections)", "shortname":"IHC-P"} }, "product-promise": { "all": "all", "testedAndGuaranteed": "tested", "guaranteed": "expected", "predicted": "predicted", "notRecommended": "not-recommended" } }, "values": { "Human": { "WB-species-checked": "guaranteed", "WB-species-dilution-info": "", "WB-species-notes": "<p></p>", "ICCIF-species-checked": "testedAndGuaranteed", "ICCIF-species-dilution-info": "", "ICCIF-species-notes": "<p></p>", "FlowCytIntra-species-checked": "testedAndGuaranteed", "FlowCytIntra-species-dilution-info": "", "FlowCytIntra-species-notes": "<p></p>", "IHCP-species-checked": "testedAndGuaranteed", "IHCP-species-dilution-info": "", "IHCP-species-notes": "<p></p>" }, "Mouse": { "WB-species-checked": "guaranteed", "WB-species-dilution-info": "", "WB-species-notes": "<p></p>", "ICCIF-species-checked": "predicted", "ICCIF-species-dilution-info": "", "ICCIF-species-notes": "", "FlowCytIntra-species-checked": "predicted", "FlowCytIntra-species-dilution-info": "", "FlowCytIntra-species-notes": "", "IHCP-species-checked": "predicted", "IHCP-species-dilution-info": "", "IHCP-species-notes": "" }, "Rat": { "WB-species-checked": "guaranteed", "WB-species-dilution-info": "", "WB-species-notes": "<p></p>", "ICCIF-species-checked": "predicted", "ICCIF-species-dilution-info": "", "ICCIF-species-notes": "", "FlowCytIntra-species-checked": "predicted", "FlowCytIntra-species-dilution-info": "", "FlowCytIntra-species-notes": "", "IHCP-species-checked": "predicted", "IHCP-species-dilution-info": "", "IHCP-species-notes": "" } } }

Product details

ab238936 is the carrier-free version of ab179517.

Patented technology
Our RabMAb® technology is a patented hybridoma-based technology for making rabbit monoclonal antibodies. For details on our patents, please refer to RabMAb® patents.

What are the advantages of a recombinant monoclonal antibody?
This product is a recombinant monoclonal antibody, which offers several advantages including:

  • - High batch-to-batch consistency and reproducibility
  • - Improved sensitivity and specificity
  • - Long-term security of supply
  • - Animal-free batch production

For more information, read more on recombinant antibodies.

Conjugation ready
Our carrier-free antibodies are typically supplied in a PBS-only formulation, purified and free of BSA, sodium azide and glycerol. This conjugation-ready format is designed for use with fluorochromes, metal isotopes, oligonucleotides, and enzymes, which makes them ideal for antibody labelling, functional and cell-based assays, flow-based assays (e.g. mass cytometry) and Multiplex Imaging applications.

Use our conjugation kits for antibody conjugates that are ready-to-use in as little as 20 minutes with 1 minute hands-on-time and 100% antibody recovery: available for fluorescent dyes, HRP, biotin and gold.

Compatibility
This product is compatible with the Maxpar® Antibody Labeling Kit from Fluidigm, without the need for antibody preparation. Maxpar® is a trademark of Fluidigm Canada Inc.

Properties and storage information

Form
Liquid
Purification technique
Affinity purification Protein A
Storage buffer
pH: 7.2 - 7.4 Constituents: PBS
Shipped at conditions
Blue Ice
Appropriate short-term storage conditions
+4°C
Appropriate long-term storage conditions
+4°C
Storage information
Do Not Freeze

Product protocols

For this product, it's our understanding that no specific protocols are required. You can visit:

Target data

Thiol protease that acts as a major effector caspase involved in the execution phase of apoptosis (PubMed : 18723680, PubMed : 20566630, PubMed : 23650375, PubMed : 35338844, PubMed : 35446120, PubMed : 7596430). Following cleavage and activation by initiator caspases (CASP8, CASP9 and/or CASP10), mediates execution of apoptosis by catalyzing cleavage of many proteins (PubMed : 18723680, PubMed : 20566630, PubMed : 23650375, PubMed : 7596430). At the onset of apoptosis, it proteolytically cleaves poly(ADP-ribose) polymerase PARP1 at a '216-Asp-|-Gly-217' bond (PubMed : 10497198, PubMed : 16374543, PubMed : 7596430, PubMed : 7774019). Cleaves and activates sterol regulatory element binding proteins (SREBPs) between the basic helix-loop-helix leucine zipper domain and the membrane attachment domain (By similarity). Cleaves and activates caspase-6, -7 and -9 (CASP6, CASP7 and CASP9, respectively) (PubMed : 7596430). Cleaves and inactivates interleukin-18 (IL18) (PubMed : 37993714, PubMed : 9334240). Involved in the cleavage of huntingtin (PubMed : 8696339). Triggers cell adhesion in sympathetic neurons through RET cleavage (PubMed : 21357690). Cleaves and inhibits serine/threonine-protein kinase AKT1 in response to oxidative stress (PubMed : 23152800). Acts as an inhibitor of type I interferon production during virus-induced apoptosis by mediating cleavage of antiviral proteins CGAS, IRF3 and MAVS, thereby preventing cytokine overproduction (PubMed : 30878284). Also involved in pyroptosis by mediating cleavage and activation of gasdermin-E (GSDME) (PubMed : 35338844, PubMed : 35446120). Cleaves XRCC4 and phospholipid scramblase proteins XKR4, XKR8 and XKR9, leading to promote phosphatidylserine exposure on apoptotic cell surface (PubMed : 23845944, PubMed : 33725486). Cleaves BIRC6 following inhibition of BIRC6-caspase binding by DIABLO/SMAC (PubMed : 36758104, PubMed : 36758106).
See full target information CASP3

Publications (1)

Recent publications for all applications. Explore the full list and refine your search

Nature genetics 57:1142-1154 PubMed40229600

2025

Longitudinal single-cell multiomic atlas of high-risk neuroblastoma reveals chemotherapy-induced tumor microenvironment rewiring.

Applications

Unspecified application

Species

Unspecified reactive species

Wenbao Yu,Rumeysa Biyik-Sit,Yasin Uzun,Chia-Hui Chen,Anusha Thadi,Jonathan H Sussman,Minxing Pang,Chi-Yun Wu,Liron D Grossmann,Peng Gao,David W Wu,Aliza Yousey,Mei Zhang,Christina S Turn,Zhan Zhang,Shovik Bandyopadhyay,Jeffrey Huang,Tasleema Patel,Changya Chen,Daniel Martinez,Lea F Surrey,Michael D Hogarty,Kathrin Bernt,Nancy R Zhang,John M Maris,Kai Tan
View all publications

Product promise

We are committed to supporting your work with high-quality reagents, and we're here for you every step of the way. In the unlikely event that one of our products does not perform as expected, you're protected by our Product Promise.
For full details, please see our Terms & Conditions

Please note: All products are 'FOR RESEARCH USE ONLY. NOT FOR USE IN DIAGNOSTIC OR THERAPEUTIC PROCEDURES'.

For licensing inquiries, please contact partnerships@abcam.com