JavaScript is disabled in your browser. Please enable JavaScript to view this website.
AB59425

Anti-Caspase-3 (phospho S150) antibody

4

(4 Reviews)

|

(6 Publications)

Rabbit Polyclonal Caspase-3 phospho S150 antibody. Suitable for WB, IHC-P and reacts with Human samples. Cited in 6 publications. Immunogen corresponding to Synthetic Peptide within Human CASP3 phospho S150.

View Alternative Names

CPP32, CASP3, Caspase-3, CASP-3, Apopain, Cysteine protease CPP32, Protein Yama, SREBP cleavage activity 1, CPP-32, SCA-1

2 Images
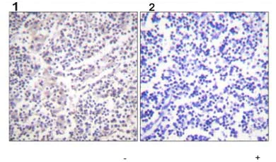
Immunohistochemistry (Formalin/PFA-fixed paraffin-embedded sections) - Anti-Caspase-3 (phospho S150) antibody (AB59425)
  • IHC-P

Unknown

Immunohistochemistry (Formalin/PFA-fixed paraffin-embedded sections) - Anti-Caspase-3 (phospho S150) antibody (AB59425)

ab59425, at a 1/50 dilution, staining paraffin embedded human lymph node tissue sections by Immunohistochemistry in the absence (left image) or presence (right image) of the phosphopeptide.

Western blot - Anti-Caspase-3 (phospho S150) antibody (AB59425)
  • WB

Unknown

Western blot - Anti-Caspase-3 (phospho S150) antibody (AB59425)

All lanes:

Western blot - Anti-Caspase-3 (phospho S150) antibody (ab59425)

Lane 1:

Jurkat cells, treated with Etoposide (25µM, 60mins)

Lane 2:

Jurkat cells, treated with Etoposide (25µM, 60mins) with blocking phosphopeptide.

Predicted band size: 31 kDa

Observed band size: 23 kDa,34 kDa

false

Key facts

Host species

Rabbit

Clonality

Polyclonal

Isotype

IgG

Carrier free

No

Reacts with

Human

Applications

WB, IHC-P

applications

Immunogen

Synthetic Peptide within Human CASP3 phospho S150. The exact immunogen used to generate this antibody is proprietary information.

P42574

Reactivity data

{ "title": "Reactivity Data", "filters": { "stats": ["", "Species", "Dilution Info", "Notes"], "tabs": { "all-applications": {"fullname" : "All Applications", "shortname": "All Applications"}, "WB" : {"fullname" : "Western blot", "shortname":"WB"}, "IHCP" : {"fullname" : "Immunohistochemistry (Formalin/PFA-fixed paraffin-embedded sections)", "shortname":"IHC-P"} }, "product-promise": { "all": "all", "testedAndGuaranteed": "tested", "guaranteed": "expected", "predicted": "predicted", "notRecommended": "not-recommended" } }, "values": { "Human": { "WB-species-checked": "testedAndGuaranteed", "WB-species-dilution-info": "1/500 - 1/1000", "WB-species-notes": "<p></p>", "IHCP-species-checked": "testedAndGuaranteed", "IHCP-species-dilution-info": "", "IHCP-species-notes": "<p></p>" } } }

Properties and storage information

Form
Liquid
Purification technique
Affinity purification Immunogen
Purification notes
ab59425 was affinity purified from rabbit antiserum by affinity chromatography using epitope specific phosphopeptide. The antibody against non phosphopeptide was removed by chromatography using non phosphopeptide corresponding to the phosphorylation site
Storage buffer
pH: 7.4 Preservative: 0.02% Sodium azide Constituents: PBS, 50% Glycerol (glycerin, glycerine), 0.87% Sodium chloride
Shipped at conditions
Blue Ice
Appropriate short-term storage conditions
+4°C
Appropriate long-term storage conditions
-20°C
Storage information
Stable for 12 months at -20°C

Product protocols

For this product, it's our understanding that no specific protocols are required. You can visit:

Target data

Thiol protease that acts as a major effector caspase involved in the execution phase of apoptosis (PubMed : 18723680, PubMed : 20566630, PubMed : 23650375, PubMed : 35338844, PubMed : 35446120, PubMed : 7596430). Following cleavage and activation by initiator caspases (CASP8, CASP9 and/or CASP10), mediates execution of apoptosis by catalyzing cleavage of many proteins (PubMed : 18723680, PubMed : 20566630, PubMed : 23650375, PubMed : 7596430). At the onset of apoptosis, it proteolytically cleaves poly(ADP-ribose) polymerase PARP1 at a '216-Asp-|-Gly-217' bond (PubMed : 10497198, PubMed : 16374543, PubMed : 7596430, PubMed : 7774019). Cleaves and activates sterol regulatory element binding proteins (SREBPs) between the basic helix-loop-helix leucine zipper domain and the membrane attachment domain (By similarity). Cleaves and activates caspase-6, -7 and -9 (CASP6, CASP7 and CASP9, respectively) (PubMed : 7596430). Cleaves and inactivates interleukin-18 (IL18) (PubMed : 37993714, PubMed : 9334240). Involved in the cleavage of huntingtin (PubMed : 8696339). Triggers cell adhesion in sympathetic neurons through RET cleavage (PubMed : 21357690). Cleaves and inhibits serine/threonine-protein kinase AKT1 in response to oxidative stress (PubMed : 23152800). Acts as an inhibitor of type I interferon production during virus-induced apoptosis by mediating cleavage of antiviral proteins CGAS, IRF3 and MAVS, thereby preventing cytokine overproduction (PubMed : 30878284). Also involved in pyroptosis by mediating cleavage and activation of gasdermin-E (GSDME) (PubMed : 35338844, PubMed : 35446120). Cleaves XRCC4 and phospholipid scramblase proteins XKR4, XKR8 and XKR9, leading to promote phosphatidylserine exposure on apoptotic cell surface (PubMed : 23845944, PubMed : 33725486). Cleaves BIRC6 following inhibition of BIRC6-caspase binding by DIABLO/SMAC (PubMed : 36758104, PubMed : 36758106).
See full target information CASP3 phospho S150

Publications (6)

Recent publications for all applications. Explore the full list and refine your search

Cell biology international 46:1399-1408 PubMed35842767

2022

PIK3CB promotes oesophageal cancer proliferation through the PI3K/AKT/mTOR signalling axis.

Applications

Unspecified application

Species

Unspecified reactive species

Wei Xu,Zhiqiang Wang,Zhi Zhang,Jian Xu,Yuequan Jiang

Cancer immunology research 8:1163-1179 PubMed32665263

2020

CAMK1D Triggers Immune Resistance of Human Tumor Cells Refractory to Anti-PD-L1 Treatment.

Applications

Unspecified application

Species

Unspecified reactive species

Valentina Volpin,Tillmann Michels,Antonio Sorrentino,Ayse N Menevse,Gertrud Knoll,Madlen Ditz,Vladimir M Milenkovic,Chih-Yeh Chen,Anchana Rathinasamy,Klaus Griewank,Michael Boutros,Sebastian Haferkamp,Mark Berneburg,Christian H Wetzel,Anja Seckinger,Dirk Hose,Hartmut Goldschmidt,Martin Ehrenschwender,Mathias Witzens-Harig,Arpad Szoor,Gyorgy Vereb,Nisit Khandelwal,Philipp Beckhove

Journal of dairy science 103:8350-8359 PubMed32622596

2020

Staphylococcal enterotoxin M induced inflammation and impairment of bovine mammary epithelial cells.

Applications

Unspecified application

Species

Unspecified reactive species

Yanying Zhao,Junni Tang,Danru Yang,Cheng Tang,Juan Chen

Experimental and therapeutic medicine 17:2310-2316 PubMed30867715

2019

Microvesicles containing miR-34a induce apoptosis of proximal tubular epithelial cells and participate in renal interstitial fibrosis.

Applications

Unspecified application

Species

Unspecified reactive species

Hongyan Li,Yuexia Xu,Qin Zhang,Hongfang Xu,Yan Xu,Kai Ling

Journal of cellular biochemistry 120:9181-9192 PubMed30552708

2018

Notoginsenoside R1 protects oxygen and glucose deprivation-induced injury by upregulation of miR-21 in cardiomyocytes.

Applications

Unspecified application

Species

Unspecified reactive species

Zengjia Liu,Haiyang Wang,Guoliang Hou,Honglei Cao,Yan Zhao,Baofa Yang

Cancer cell international 18:4 PubMed29308053

2018

Effect of long non-coding RNA Gas5 on proliferation, migration, invasion and apoptosis of colorectal cancer HT-29 cell line.

Applications

Unspecified application

Species

Unspecified reactive species

Jin Li,Yuan Wang,Cheng-Gong Zhang,Han-Juan Xiao,Hai-Juan Xiao,Jun-Ming Hu,Jun-Ming Hou,Jing-Dong He
View all publications

Product promise

We are committed to supporting your work with high-quality reagents, and we're here for you every step of the way. In the unlikely event that one of our products does not perform as expected, you're protected by our Product Promise.
For full details, please see our Terms & Conditions

Please note: All products are 'FOR RESEARCH USE ONLY. NOT FOR USE IN DIAGNOSTIC OR THERAPEUTIC PROCEDURES'.

For licensing inquiries, please contact partnerships@abcam.com