JavaScript is disabled in your browser. Please enable JavaScript to view this website.
AB247301

Anti-Caspase-5 antibody [EP876Y] - BSA and Azide free

Be the first to review this product! Submit a review

|

(0 Publication)

Rabbit Recombinant Monoclonal Caspase-5 antibody. Carrier free. Suitable for IHC-P, IP, WB and reacts with Human samples.

View Alternative Names

ICH3, CASP5, Caspase-5, CASP-5, ICE(rel)-III, Protease ICH-3, Protease TY

4 Images
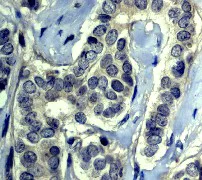
Immunohistochemistry (Formalin/PFA-fixed paraffin-embedded sections) - Anti-Caspase-5 antibody [EP876Y] - BSA and Azide free (AB247301)
  • IHC-P

Unknown

Immunohistochemistry (Formalin/PFA-fixed paraffin-embedded sections) - Anti-Caspase-5 antibody [EP876Y] - BSA and Azide free (AB247301)

This data was developed using ab40887, the same antibody clone in a different buffer formulation.

Stainign of Caspase 5 on paraffin-embedded human breast carcinoma sections, using ab40557 at a 1/50 dilution. Heat mediated antigen retrieval was performed with citrate buffer pH 6 before commencing with IHC staining protocol.

Immunoprecipitation - Anti-Caspase-5 antibody [EP876Y] - BSA and Azide free (AB247301)
  • IP

Lab

Immunoprecipitation - Anti-Caspase-5 antibody [EP876Y] - BSA and Azide free (AB247301)

This data was developed using ab40887, the same antibody clone in a different buffer formulation.
Purified ab40887 at 1/50 dilution (2μg) immunoprecipitating Caspase-5 in HeLa treated with heat shock (42°C 1h) then recovery for 6h whole cell lysate.
Blocking and diluting Buffer and concentration : 5% NFDM/TBST.

All lanes:

Immunoprecipitation - Anti-Caspase-5 antibody [EP876Y] (<a href='/en-us/products/primary-antibodies/caspase-5-antibody-ep876y-ab40887'>ab40887</a>)

Lane 1:

HeLa (Human cervix adenocarcinoma epithelial cell) treated with heat shock (42&deg;C 1h) then recovery for 6h whole cell lysate (Input) at 10 µg

Lane 2:

<a href='/en-us/products/primary-antibodies/caspase-5-antibody-ep876y-ab40887'>ab40887</a> + HeLa treated with heat shock (42&deg;C, 1h) then recovery for 6h whole cell lysate

Lane 3:

<a href='/en-us/products/primary-antibodies/rabbit-igg-monoclonal-epr25a-isotype-control-ab172730'>ab172730</a> instead of <a href='/en-us/products/primary-antibodies/caspase-5-antibody-ep876y-ab40887'>ab40887</a> in HeLa treated with heat shock (42&deg;C 1h) then recovery for 6h whole cell lysate (-)

Secondary

All lanes:

Immunoprecipitation - VeriBlot for IP Detection Reagent (HRP) (<a href='/en-us/products/reagents/veriblot-for-ip-detection-reagent-hrp-ab131366'>ab131366</a>) at 1/1000 dilution

Predicted band size: 50 kDa

Observed band size: 47 kDa

false

Western blot - Anti-Caspase-5 antibody [EP876Y] - BSA and Azide free (AB247301)
  • WB

Unknown

Western blot - Anti-Caspase-5 antibody [EP876Y] - BSA and Azide free (AB247301)

This data was developed using ab40887, the same antibody clone in a different buffer formulation.

The cell lysates were prepared in 1%SDS Hot lysis method.

All lanes:

Western blot - Anti-Caspase-5 antibody [EP876Y] (<a href='/en-us/products/primary-antibodies/caspase-5-antibody-ep876y-ab40887'>ab40887</a>) at 1/10000 dilution

All lanes:

HeLa cell lysate at 10 µg

Predicted band size: 50 kDa

Observed band size: 47 kDa

false

Western blot - Anti-Caspase-5 antibody [EP876Y] - BSA and Azide free (AB247301)
  • WB

Lab

Western blot - Anti-Caspase-5 antibody [EP876Y] - BSA and Azide free (AB247301)

This data was developed using ab40887, the same antibody clone in a different buffer formulation.

Blocking and dilution buffer : 5% NFDM/TBST.

All lanes:

Western blot - Anti-Caspase-5 antibody [EP876Y] (<a href='/en-us/products/primary-antibodies/caspase-5-antibody-ep876y-ab40887'>ab40887</a>) at 1/1000 dilution

All lanes:

HT-1080 (Human fibrosarcoma epithelial cell) prepared in 1%SDS Hot lysis method whole cell lysates at 15 µg

Secondary

All lanes:

Western blot - Goat Anti-Rabbit IgG H&L (HRP) (<a href='/en-us/products/secondary-antibodies/goat-rabbit-igg-h-l-hrp-ab97051'>ab97051</a>) at 1/20000 dilution

Predicted band size: 50 kDa

Observed band size: 47 kDa

false

Key facts

Host species

Rabbit

Clonality

Monoclonal

Clone number

EP876Y

Isotype

IgG

Carrier free

Yes

Reacts with

Human

Applications

WB, IHC-P, IP

applications

Immunogen

The exact immunogen used to generate this antibody is proprietary information.

Specificity

Based on amino acids homology, this antibody will not recognize either p20 or p10 subunits of Caspase-5.

Reactivity data

{ "title": "Reactivity Data", "filters": { "stats": ["", "Species", "Dilution Info", "Notes"], "tabs": { "all-applications": {"fullname" : "All Applications", "shortname": "All Applications"}, "IHCP" : {"fullname" : "Immunohistochemistry (Formalin/PFA-fixed paraffin-embedded sections)", "shortname":"IHC-P"}, "ICCIF" : {"fullname" : "Immunocytochemistry/ Immunofluorescence", "shortname":"ICC/IF"}, "IP" : {"fullname" : "Immunoprecipitation", "shortname":"IP"}, "FlowCyt" : {"fullname" : "Flow Cytometry", "shortname":"Flow Cyt"}, "WB" : {"fullname" : "Western blot", "shortname":"WB"} }, "product-promise": { "all": "all", "testedAndGuaranteed": "tested", "guaranteed": "expected", "predicted": "predicted", "notRecommended": "not-recommended" } }, "values": { "Human": { "IHCP-species-checked": "testedAndGuaranteed", "IHCP-species-dilution-info": "", "IHCP-species-notes": "<p></p>", "ICCIF-species-checked": "notRecommended", "ICCIF-species-dilution-info": "", "ICCIF-species-notes": "<p></p>", "IP-species-checked": "testedAndGuaranteed", "IP-species-dilution-info": "", "IP-species-notes": "<p></p>", "FlowCyt-species-checked": "notRecommended", "FlowCyt-species-dilution-info": "", "FlowCyt-species-notes": "<p></p>", "WB-species-checked": "testedAndGuaranteed", "WB-species-dilution-info": "", "WB-species-notes": "<p></p>" } } }

Product details

ab247301 is the carrier-free version of ab40887.

Patented technology
Our RabMAb® technology is a patented hybridoma-based technology for making rabbit monoclonal antibodies. For details on our patents, please refer to RabMAb® patents.

What are the advantages of a recombinant monoclonal antibody?
This product is a recombinant monoclonal antibody, which offers several advantages including:

  • - High batch-to-batch consistency and reproducibility
  • - Improved sensitivity and specificity
  • - Long-term security of supply
  • - Animal-free batch production

For more information, read more on recombinant antibodies.

Conjugation ready
Our carrier-free antibodies are typically supplied in a PBS-only formulation, purified and free of BSA, sodium azide and glycerol. This conjugation-ready format is designed for use with fluorochromes, metal isotopes, oligonucleotides, and enzymes, which makes them ideal for antibody labelling, functional and cell-based assays, flow-based assays (e.g. mass cytometry) and Multiplex Imaging applications.

Use our conjugation kits for antibody conjugates that are ready-to-use in as little as 20 minutes with 1 minute hands-on-time and 100% antibody recovery: available for fluorescent dyes, HRP, biotin and gold.

Compatibility
This product is compatible with the Maxpar® Antibody Labeling Kit from Fluidigm, without the need for antibody preparation. Maxpar® is a trademark of Fluidigm Canada Inc.

Properties and storage information

Form
Liquid
Purification technique
Affinity purification Protein A
Storage buffer
pH: 7.2 - 7.4 Constituents: PBS
Shipped at conditions
Blue Ice
Appropriate short-term storage conditions
+4°C
Appropriate long-term storage conditions
+4°C
Storage information
Do Not Freeze

Product protocols

For this product, it's our understanding that no specific protocols are required. You can visit:

Target data

Thiol protease that acts as a mediator of programmed cell death (PubMed : 28314590, PubMed : 29898893). Initiates pyroptosis, a programmed lytic cell death pathway through cleavage of Gasdermin-D (GSDMD) : cleavage releases the N-terminal gasdermin moiety (Gasdermin-D, N-terminal) that binds to membranes and forms pores, triggering pyroptosis (PubMed : 29898893). Also mediates cleavage and maturation of IL18 (PubMed : 37993714). Cleavage of GSDMD and IL18 is not strictly dependent on the consensus cleavage site but depends on an exosite interface on CASP4 (PubMed : 37993714). During non-canonical inflammasome activation, cuts CGAS and may play a role in the regulation of antiviral innate immune activation (PubMed : 28314590).
See full target information CASP5

Product promise

We are committed to supporting your work with high-quality reagents, and we're here for you every step of the way. In the unlikely event that one of our products does not perform as expected, you're protected by our Product Promise.
For full details, please see our Terms & Conditions

Please note: All products are 'FOR RESEARCH USE ONLY. NOT FOR USE IN DIAGNOSTIC OR THERAPEUTIC PROCEDURES'.

For licensing inquiries, please contact partnerships@abcam.com