JavaScript is disabled in your browser. Please enable JavaScript to view this website.
AB32366

Anti-Caspase-6/CASP-6 antibody [E180]

0

(1 Review)

|

(1 Publication)

Rabbit Recombinant Monoclonal Caspase-6/CASP-6 antibody. Suitable for IHC-P, WB, ICC/IF and reacts with Human samples. Cited in 1 publication.

View Alternative Names

MCH2, CASP6, Caspase-6, CASP-6, CSP-6, Apoptotic protease Mch-2

3 Images
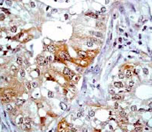
Immunohistochemistry (Formalin/PFA-fixed paraffin-embedded sections) - Anti-Caspase-6/CASP-6 antibody [E180] (AB32366)
  • IHC-P

Unknown

Immunohistochemistry (Formalin/PFA-fixed paraffin-embedded sections) - Anti-Caspase-6/CASP-6 antibody [E180] (AB32366)

ab32366 at a 1 : 50 dilution staining Caspase-6/CASP-6 in paraffin embedded human lung adenocarcinoma tissue by Immunohistochemistry.

Perform heat mediated antigen retrieval with citrate buffer pH 6 before commencing with IHC staining protocol.

Immunocytochemistry/ Immunofluorescence - Anti-Caspase-6/CASP-6 antibody [E180] (AB32366)
  • ICC/IF

Unknown

Immunocytochemistry/ Immunofluorescence - Anti-Caspase-6/CASP-6 antibody [E180] (AB32366)

ab32366 at a 1 : 100 dilution staining Caspase-6/CASP-6 in Hela cells by Immunocytochemistry/Immunofluorescence.

Western blot - Anti-Caspase-6/CASP-6 antibody [E180] (AB32366)
  • WB

Unknown

Western blot - Anti-Caspase-6/CASP-6 antibody [E180] (AB32366)

All lanes:

Western blot - Anti-Caspase-6/CASP-6 antibody [E180] (ab32366) at 1/1000 dilution

Lane 1:

Untreated Jurkat cell lysate

Lane 2:

Jurkat cell lysate treated with Camptothecin

Predicted band size: 33 kDa

Observed band size: 30 kDa

false

  • Carrier free

    Anti-Caspase-6/CASP-6 antibody [E180] - BSA and Azide free

Key facts

Host species

Rabbit

Clonality

Monoclonal

Clone number

E180

Isotype

IgG

Carrier free

No

Reacts with

Human

Applications

IHC-P, ICC/IF, WB

applications

Immunogen

The exact immunogen used to generate this antibody is proprietary information.

Specificity

This antibody detects the pro form and the p11 subunit of human Caspase-6/CASP-6. We have data to indicate that this antibody may not cross react with Rat. However, this has not been conclusively tested and expression levels may vary in certain cell lines/tissues.

Reactivity data

{ "title": "Reactivity Data", "filters": { "stats": ["", "Species", "Dilution Info", "Notes"], "tabs": { "all-applications": {"fullname" : "All Applications", "shortname": "All Applications"}, "IHCP" : {"fullname" : "Immunohistochemistry (Formalin/PFA-fixed paraffin-embedded sections)", "shortname":"IHC-P"}, "IP" : {"fullname" : "Immunoprecipitation", "shortname":"IP"}, "WB" : {"fullname" : "Western blot", "shortname":"WB"}, "ICCIF" : {"fullname" : "Immunocytochemistry/ Immunofluorescence", "shortname":"ICC/IF"} }, "product-promise": { "all": "all", "testedAndGuaranteed": "tested", "guaranteed": "expected", "predicted": "predicted", "notRecommended": "not-recommended" } }, "values": { "Human": { "IHCP-species-checked": "testedAndGuaranteed", "IHCP-species-dilution-info": "", "IHCP-species-notes": "<p></p>", "IP-species-checked": "notRecommended", "IP-species-dilution-info": "", "IP-species-notes": "<p></p>", "WB-species-checked": "testedAndGuaranteed", "WB-species-dilution-info": "1/1000", "WB-species-notes": "<p></p>", "ICCIF-species-checked": "testedAndGuaranteed", "ICCIF-species-dilution-info": "1/100", "ICCIF-species-notes": "<p></p>" }, "Mouse": { "IHCP-species-checked": "predicted", "IHCP-species-dilution-info": "", "IHCP-species-notes": "", "IP-species-checked": "notRecommended", "IP-species-dilution-info": "", "IP-species-notes": "", "WB-species-checked": "predicted", "WB-species-dilution-info": "", "WB-species-notes": "", "ICCIF-species-checked": "predicted", "ICCIF-species-dilution-info": "", "ICCIF-species-notes": "" } } }

Product details

Patented technology
Our RabMAb® technology is a patented hybridoma-based technology for making rabbit monoclonal antibodies. For details on our patents, please refer to RabMAb® patents.

What are the advantages of a recombinant monoclonal antibody?
This product is a recombinant monoclonal antibody, which offers several advantages including:

  • - High batch-to-batch consistency and reproducibility
  • - Improved sensitivity and specificity
  • - Long-term security of supply
  • - Animal-free batch production

For more information, read more on recombinant antibodies.

Properties and storage information

Form
Liquid
Purification technique
Affinity purification Protein A
Storage buffer
pH: 7.2 - 7.4 Preservative: 0.01% Sodium azide Constituents: PBS, 50% Glycerol (glycerin, glycerine), 0.05% BSA
Shipped at conditions
Blue Ice
Appropriate short-term storage duration
1-2 weeks
Appropriate short-term storage conditions
+4°C
Appropriate long-term storage conditions
-20°C
Aliquoting information
Upon delivery aliquot
Storage information
Avoid freeze / thaw cycle

Product protocols

For this product, it's our understanding that no specific protocols are required. You can visit:

Target data

Cysteine protease that plays essential roles in programmed cell death, axonal degeneration, development and innate immunity (PubMed : 19133298, PubMed : 22858542, PubMed : 27032039, PubMed : 28864531, PubMed : 30420425, PubMed : 32298652, PubMed : 8663580). Acts as a non-canonical executioner caspase during apoptosis : localizes in the nucleus and cleaves the nuclear structural protein NUMA1 and lamin A/LMNA thereby inducing nuclear shrinkage and fragmentation (PubMed : 11953316, PubMed : 17401638, PubMed : 8663580, PubMed : 9463409). Lamin-A/LMNA cleavage is required for chromatin condensation and nuclear disassembly during apoptotic execution (PubMed : 11953316). Acts as a regulator of liver damage by promoting hepatocyte apoptosis : in absence of phosphorylation by AMP-activated protein kinase (AMPK), catalyzes cleavage of BID, leading to cytochrome c release, thereby participating in nonalcoholic steatohepatitis (PubMed : 32029622). Cleaves PARK7/DJ-1 in cells undergoing apoptosis (By similarity). Involved in intrinsic apoptosis by mediating cleavage of RIPK1 (PubMed : 22858542). Furthermore, cleaves many transcription factors such as NF-kappa-B and cAMP response element-binding protein/CREBBP (PubMed : 10559921, PubMed : 14657026). Cleaves phospholipid scramblase proteins XKR4 and XKR9 (By similarity). In addition to apoptosis, involved in different forms of programmed cell death (PubMed : 32298652). Plays an essential role in defense against viruses by acting as a central mediator of the ZBP1-mediated pyroptosis, apoptosis, and necroptosis (PANoptosis), independently of its cysteine protease activity (PubMed : 32298652). PANoptosis is a unique inflammatory programmed cell death, which provides a molecular scaffold that allows the interactions and activation of machinery required for inflammasome/pyroptosis, apoptosis and necroptosis (PubMed : 32298652). Mechanistically, interacts with RIPK3 and enhances the interaction between RIPK3 and ZBP1, leading to ZBP1-mediated inflammasome activation and cell death (PubMed : 32298652). Plays an essential role in axon degeneration during axon pruning which is the remodeling of axons during neurogenesis but not apoptosis (By similarity). Regulates B-cell programs both during early development and after antigen stimulation (By similarity).. (Microbial infection) Proteolytically cleaves the N protein of coronaviruses such as MERS-CoV and SARS-CoV (PubMed : 18155731, PubMed : 35922005). The cleavage of MERS-CoV N-protein leads to two fragments and modulates coronavirus replication by regulating IFN signaling. The two fragments produced by the cleavage interact with IRF3 inhibiting its nuclear translocation after activation and reduce the expression of IFNB and IFN-stimulated genes (PubMed : 35922005). The same mechanism seems to be used by other coronaviruses such as SARS-CoV and SARS-CoV-2 to enhance their replication (PubMed : 35922005).
See full target information CASP6

Publications (1)

Recent publications for all applications. Explore the full list and refine your search

Head & neck 33:1191-8 PubMed21755562

2011

Caspase expression in oral squamous cell carcinoma.

Applications

IHC

Species

Human

Cláudia Malheiros Coutinho-Camillo,Silvia Vanessa Lourenço,Ines Nobuko Nishimoto,Luiz Paulo Kowalski,Fernando Augusto Soares
View all publications

Product promise

We are committed to supporting your work with high-quality reagents, and we're here for you every step of the way. In the unlikely event that one of our products does not perform as expected, you're protected by our Product Promise.
For full details, please see our Terms & Conditions

Please note: All products are 'FOR RESEARCH USE ONLY. NOT FOR USE IN DIAGNOSTIC OR THERAPEUTIC PROCEDURES'.

For licensing inquiries, please contact partnerships@abcam.com