JavaScript is disabled in your browser. Please enable JavaScript to view this website.
AB250846

Anti-Caspase-6/CASP-6 antibody [EPR18046] - BSA and Azide free

Be the first to review this product! Submit a review

|

(1 Publication)

Rabbit Recombinant Monoclonal Caspase-6/CASP-6 antibody. Carrier free. Suitable for WB, IHC-P and reacts with Mouse, Human, Rat samples. Cited in 1 publication.

View Alternative Names

MCH2, CASP6, Caspase-6, CASP-6, CSP-6, Apoptotic protease Mch-2

7 Images
Immunohistochemistry (Formalin/PFA-fixed paraffin-embedded sections) - Anti-Caspase-6/CASP-6 antibody [EPR18046] - BSA and Azide free (AB250846)
  • IHC-P

Supplier Data

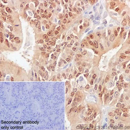
Immunohistochemistry (Formalin/PFA-fixed paraffin-embedded sections) - Anti-Caspase-6/CASP-6 antibody [EPR18046] - BSA and Azide free (AB250846)

This data was developed using ab185646, the same antibody clone in a different buffer formulation.

Immunohistochemical analysis of paraffin-embedded Human colon tissue labeling Caspase-6/CASP-6 with ab185646 at 1/1000 dilution, followed by Goat Anti-Rabbit IgG H&L (HRP) (ab97051) secondary antibody at 1/500 dilution. Nuclear and cytoplasmic staining on the epithelial cells of Human colon is observed. Counter stained with Hematoxylin.

Secondary antibody only control : Used PBS instead of primary antibody, secondary antibody is Goat Anti-Rabbit IgG H&L (HRP) (ab97051) at 1/500 dilution.

Perform heat mediated antigen retrieval with Tris/EDTA buffer pH 9.0 before commencing with IHC staining protocol.

Immunohistochemistry (Formalin/PFA-fixed paraffin-embedded sections) - Anti-Caspase-6/CASP-6 antibody [EPR18046] - BSA and Azide free (AB250846)
  • IHC-P

Supplier Data

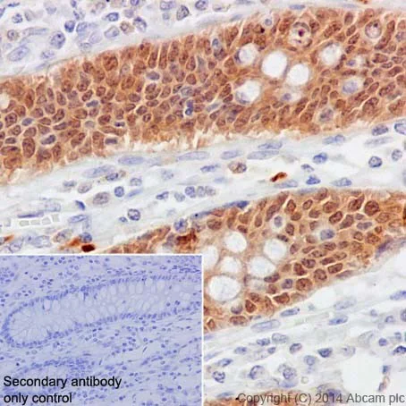
Immunohistochemistry (Formalin/PFA-fixed paraffin-embedded sections) - Anti-Caspase-6/CASP-6 antibody [EPR18046] - BSA and Azide free (AB250846)

This data was developed using ab185646, the same antibody clone in a different buffer formulation.

Immunohistochemical analysis of paraffin-embedded Human endometrium carcinoma tissue labeling Caspase-6/CASP-6 with ab185646 at 1/1000 dilution, followed by Goat Anti-Rabbit IgG H&L (HRP) (ab97051) secondary antibody at 1/500 dilution. Nuclear and cytoplasmic staining on the cancer cells of endometrium carcinoma is observed. Counter stained with Hematoxylin.

Secondary antibody only control : Used PBS instead of primary antibody, secondary antibody is Goat Anti-Rabbit IgG H&L (HRP) (ab97051) at 1/500 dilution.

Perform heat mediated antigen retrieval with Tris/EDTA buffer pH 9.0 before commencing with IHC staining protocol.

Immunohistochemistry (Formalin/PFA-fixed paraffin-embedded sections) - Anti-Caspase-6/CASP-6 antibody [EPR18046] - BSA and Azide free (AB250846)
  • IHC-P

Supplier Data

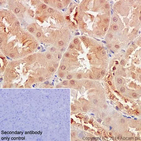
Immunohistochemistry (Formalin/PFA-fixed paraffin-embedded sections) - Anti-Caspase-6/CASP-6 antibody [EPR18046] - BSA and Azide free (AB250846)

This data was developed using ab185646, the same antibody clone in a different buffer formulation.

Immunohistochemical analysis of paraffin-embedded Mouse kidney tissue labeling Caspase-6/CASP-6 with ab185646 at 1/1000 dilution, followed by Goat Anti-Rabbit IgG H&L (HRP) (ab97051) secondary antibody at 1/500 dilution. Cytoplasmic and nuclear staining on mouse kidney is observed. Counter stained with Hematoxylin.

Secondary antibody only control : Used PBS instead of primary antibody, secondary antibody is Goat Anti-Rabbit IgG H&L (HRP) (ab97051) at 1/500 dilution.

Perform heat mediated antigen retrieval with Tris/EDTA buffer pH 9.0 before commencing with IHC staining protocol.

Immunohistochemistry (Formalin/PFA-fixed paraffin-embedded sections) - Anti-Caspase-6/CASP-6 antibody [EPR18046] - BSA and Azide free (AB250846)
  • IHC-P

Supplier Data

Immunohistochemistry (Formalin/PFA-fixed paraffin-embedded sections) - Anti-Caspase-6/CASP-6 antibody [EPR18046] - BSA and Azide free (AB250846)

This data was developed using ab185646, the same antibody clone in a different buffer formulation.

Immunohistochemical analysis of paraffin-embedded Rat kidney tissue labeling Caspase-6/CASP-6 with ab185646 at 1/1000 dilution, followed by Goat Anti-Rabbit IgG H&L (HRP) (ab97051) secondary antibody at 1/500 dilution. Cytoplasmic and nuclear staining on rat kidney is observed. Counter stained with Hematoxylin.

Secondary antibody only control : Used PBS instead of primary antibody, secondary antibody is Goat Anti-Rabbit IgG H&L (HRP) (ab97051) at 1/500 dilution.

Perform heat mediated antigen retrieval with Tris/EDTA buffer pH 9.0 before commencing with IHC staining protocol.

Western blot - Anti-Caspase-6/CASP-6 antibody [EPR18046] - BSA and Azide free (AB250846)
  • WB

Supplier Data

Western blot - Anti-Caspase-6/CASP-6 antibody [EPR18046] - BSA and Azide free (AB250846)

This data was developed using ab185646, the same antibody clone in a different buffer formulation.

Blocking and dilution buffer : 5% NFDM/TBST.

All lanes:

Western blot - Anti-Caspase-6/CASP-6 antibody [EPR18046] (<a href='/en-us/products/primary-antibodies/caspase-6-casp-6-antibody-epr18046-ab185646'>ab185646</a>) at 1/2000 dilution

Lane 1:

Untreated Jurkat (Human T cell leukemia cells from peripheral blood) whole cell lysates at 10 µg

Lane 2:

Jurkat whole cell lysates treated with 1uM staurosporine for 4 hours at 10 µg

Secondary

All lanes:

Goat Anti-Rabbit IgG, (H+L),Peroxidase conjugated at 1/1000 dilution

Predicted band size: 33 kDa

Observed band size: 11 kDa,33 kDa

false

Exposure time: 3min

Western blot - Anti-Caspase-6/CASP-6 antibody [EPR18046] - BSA and Azide free (AB250846)
  • WB

Supplier Data

Western blot - Anti-Caspase-6/CASP-6 antibody [EPR18046] - BSA and Azide free (AB250846)

This data was developed using ab185646, the same antibody clone in a different buffer formulation.

Blocking and dilution buffer : 5% NFDM/TBST.

The predicted MW is 32kDa for mouse and rat full-length procaspase-6.

All lanes:

Western blot - Anti-Caspase-6/CASP-6 antibody [EPR18046] (<a href='/en-us/products/primary-antibodies/caspase-6-casp-6-antibody-epr18046-ab185646'>ab185646</a>) at 1/2000 dilution

Lane 1:

Mouse heart lysates at 10 µg

Lane 2:

Mouse kidney lysates at 10 µg

Lane 3:

Mouse spleen lysates at 10 µg

Lane 4:

Rat brain lysates at 10 µg

Lane 5:

Rat kidney lysates at 10 µg

Secondary

All lanes:

Goat Anti-Rabbit IgG, (H+L),Peroxidase conjugated at 1/1000 dilution

Predicted band size: 33 kDa

Observed band size: 33 kDa

false

Exposure time: 1min

Western blot - Anti-Caspase-6/CASP-6 antibody [EPR18046] - BSA and Azide free (AB250846)
  • WB

Supplier Data

Western blot - Anti-Caspase-6/CASP-6 antibody [EPR18046] - BSA and Azide free (AB250846)

This data was developed using ab185646, the same antibody clone in a different buffer formulation.

Blocking and dilution buffer : 5% NFDM/TBST.

The predicted MW is 32kDa for mouse and rat full-length procaspase-6.

All lanes:

Western blot - Anti-Caspase-6/CASP-6 antibody [EPR18046] (<a href='/en-us/products/primary-antibodies/caspase-6-casp-6-antibody-epr18046-ab185646'>ab185646</a>) at 1/2000 dilution

All lanes:

RAW 264.7 (Mouse macrophage cells transformed with Abelson murine leukemia virus) whole cell lysate at 10 µg

Secondary

All lanes:

Goat anti-rabbit IgG, (H+L), peroxidase conjugated at 1/1000 dilution

Predicted band size: 33 kDa

Observed band size: 11 kDa,33 kDa

false

Exposure time: 3min

Key facts

Host species

Rabbit

Clonality

Monoclonal

Clone number

EPR18046

Isotype

IgG

Carrier free

Yes

Reacts with

Mouse, Rat, Human

Applications

IHC-P, WB

applications

Immunogen

The exact immunogen used to generate this antibody is proprietary information.

Reactivity data

{ "title": "Reactivity Data", "filters": { "stats": ["", "Species", "Dilution Info", "Notes"], "tabs": { "all-applications": {"fullname" : "All Applications", "shortname": "All Applications"}, "WB" : {"fullname" : "Western blot", "shortname":"WB"}, "IHCP" : {"fullname" : "Immunohistochemistry (Formalin/PFA-fixed paraffin-embedded sections)", "shortname":"IHC-P"} }, "product-promise": { "all": "all", "testedAndGuaranteed": "tested", "guaranteed": "expected", "predicted": "predicted", "notRecommended": "not-recommended" } }, "values": { "Human": { "WB-species-checked": "testedAndGuaranteed", "WB-species-dilution-info": "", "WB-species-notes": "<p></p>", "IHCP-species-checked": "testedAndGuaranteed", "IHCP-species-dilution-info": "", "IHCP-species-notes": "<p></p>" }, "Mouse": { "WB-species-checked": "testedAndGuaranteed", "WB-species-dilution-info": "", "WB-species-notes": "<p></p>", "IHCP-species-checked": "testedAndGuaranteed", "IHCP-species-dilution-info": "", "IHCP-species-notes": "<p></p>" }, "Rat": { "WB-species-checked": "testedAndGuaranteed", "WB-species-dilution-info": "", "WB-species-notes": "<p></p>", "IHCP-species-checked": "testedAndGuaranteed", "IHCP-species-dilution-info": "", "IHCP-species-notes": "<p></p>" } } }

Product details

ab250846 is the carrier-free version of ab185646.

Patented technology
Our RabMAb® technology is a patented hybridoma-based technology for making rabbit monoclonal antibodies. For details on our patents, please refer to RabMAb® patents.

What are the advantages of a recombinant monoclonal antibody?
This product is a recombinant monoclonal antibody, which offers several advantages including:

  • - High batch-to-batch consistency and reproducibility
  • - Improved sensitivity and specificity
  • - Long-term security of supply
  • - Animal-free batch production

For more information, read more on recombinant antibodies.

Conjugation ready
Our carrier-free antibodies are typically supplied in a PBS-only formulation, purified and free of BSA, sodium azide and glycerol. This conjugation-ready format is designed for use with fluorochromes, metal isotopes, oligonucleotides, and enzymes, which makes them ideal for antibody labelling, functional and cell-based assays, flow-based assays (e.g. mass cytometry) and Multiplex Imaging applications.

Use our conjugation kits for antibody conjugates that are ready-to-use in as little as 20 minutes with 1 minute hands-on-time and 100% antibody recovery: available for fluorescent dyes, HRP, biotin and gold.

Compatibility
This product is compatible with the Maxpar® Antibody Labeling Kit from Fluidigm, without the need for antibody preparation. Maxpar® is a trademark of Fluidigm Canada Inc.

Properties and storage information

Form
Liquid
Purification technique
Affinity purification Protein A
Storage buffer
pH: 7.2 - 7.4 Constituents: PBS
Shipped at conditions
Blue Ice
Appropriate short-term storage conditions
+4°C
Appropriate long-term storage conditions
+4°C
Storage information
Do Not Freeze

Product protocols

For this product, it's our understanding that no specific protocols are required. You can visit:

Target data

Cysteine protease that plays essential roles in programmed cell death, axonal degeneration, development and innate immunity (PubMed : 19133298, PubMed : 22858542, PubMed : 27032039, PubMed : 28864531, PubMed : 30420425, PubMed : 32298652, PubMed : 8663580). Acts as a non-canonical executioner caspase during apoptosis : localizes in the nucleus and cleaves the nuclear structural protein NUMA1 and lamin A/LMNA thereby inducing nuclear shrinkage and fragmentation (PubMed : 11953316, PubMed : 17401638, PubMed : 8663580, PubMed : 9463409). Lamin-A/LMNA cleavage is required for chromatin condensation and nuclear disassembly during apoptotic execution (PubMed : 11953316). Acts as a regulator of liver damage by promoting hepatocyte apoptosis : in absence of phosphorylation by AMP-activated protein kinase (AMPK), catalyzes cleavage of BID, leading to cytochrome c release, thereby participating in nonalcoholic steatohepatitis (PubMed : 32029622). Cleaves PARK7/DJ-1 in cells undergoing apoptosis (By similarity). Involved in intrinsic apoptosis by mediating cleavage of RIPK1 (PubMed : 22858542). Furthermore, cleaves many transcription factors such as NF-kappa-B and cAMP response element-binding protein/CREBBP (PubMed : 10559921, PubMed : 14657026). Cleaves phospholipid scramblase proteins XKR4 and XKR9 (By similarity). In addition to apoptosis, involved in different forms of programmed cell death (PubMed : 32298652). Plays an essential role in defense against viruses by acting as a central mediator of the ZBP1-mediated pyroptosis, apoptosis, and necroptosis (PANoptosis), independently of its cysteine protease activity (PubMed : 32298652). PANoptosis is a unique inflammatory programmed cell death, which provides a molecular scaffold that allows the interactions and activation of machinery required for inflammasome/pyroptosis, apoptosis and necroptosis (PubMed : 32298652). Mechanistically, interacts with RIPK3 and enhances the interaction between RIPK3 and ZBP1, leading to ZBP1-mediated inflammasome activation and cell death (PubMed : 32298652). Plays an essential role in axon degeneration during axon pruning which is the remodeling of axons during neurogenesis but not apoptosis (By similarity). Regulates B-cell programs both during early development and after antigen stimulation (By similarity).. (Microbial infection) Proteolytically cleaves the N protein of coronaviruses such as MERS-CoV and SARS-CoV (PubMed : 18155731, PubMed : 35922005). The cleavage of MERS-CoV N-protein leads to two fragments and modulates coronavirus replication by regulating IFN signaling. The two fragments produced by the cleavage interact with IRF3 inhibiting its nuclear translocation after activation and reduce the expression of IFNB and IFN-stimulated genes (PubMed : 35922005). The same mechanism seems to be used by other coronaviruses such as SARS-CoV and SARS-CoV-2 to enhance their replication (PubMed : 35922005).
See full target information CASP6

Publications (1)

Recent publications for all applications. Explore the full list and refine your search

Journal of radiation research 64:833-841 PubMed37439405

2023

Expression of TMEM59L associated with radiosensitive in glioblastoma.

Applications

Unspecified application

Species

Unspecified reactive species

Dezhi Gao,Peng Wang,Lin Zhi,Shibin Sun,Xiaoguang Qiu,Yanwei Liu
View all publications

Product promise

We are committed to supporting your work with high-quality reagents, and we're here for you every step of the way. In the unlikely event that one of our products does not perform as expected, you're protected by our Product Promise.
For full details, please see our Terms & Conditions

Please note: All products are 'FOR RESEARCH USE ONLY. NOT FOR USE IN DIAGNOSTIC OR THERAPEUTIC PROCEDURES'.

For licensing inquiries, please contact partnerships@abcam.com