JavaScript is disabled in your browser. Please enable JavaScript to view this website.
AB32522

Anti-Caspase-7 antibody [E22]

3

(2 Reviews)

|

(26 Publications)

Rabbit Monoclonal Caspase-7 antibody. Suitable for IHC-P, IP, WB, ICC/IF, Flow Cyt (Intra) and reacts with Human samples. Cited in 26 publications.

View Alternative Names

MCH3, CASP7, Caspase-7, CASP-7, Apoptotic protease Mch-3, CMH-1, ICE-like apoptotic protease 3, ICE-LAP3

7 Images
Immunohistochemistry (Formalin/PFA-fixed paraffin-embedded sections) - Anti-Caspase-7 antibody [E22] (AB32522)
  • IHC-P

Unknown

Immunohistochemistry (Formalin/PFA-fixed paraffin-embedded sections) - Anti-Caspase-7 antibody [E22] (AB32522)

Immunohistochemical analysis of paraffin embedded human skin cancer tissue using ab32522 at 1 : 50 dilution.

Perform heat mediated antigen retrieval with citrate buffer pH 6 before commencing with IHC staining protocol.

Flow Cytometry (Intracellular) - Anti-Caspase-7 antibody [E22] (AB32522)
  • Flow Cyt (Intra)

Unknown

Flow Cytometry (Intracellular) - Anti-Caspase-7 antibody [E22] (AB32522)

Intracellular Flow Cytometry analysis of HeLa (human cervix adenocarcinoma) cells labeling Caspase-7 (red) with ab32522 at a 1/250 dilution. Cells were fixed with 4% paraformaldehyde and permeabilized with 90% methanol. A goat anti-rabbit IgG (Alexa Fluorr® 488) (ab150077) was used as the secondary antibody at a 1/2000 dilution. Black - Rabbit monoclonal IgG (ab172730). Blue (unlabeled control) - Cells without incubation with the primary and secondary antibodies.

Immunocytochemistry/ Immunofluorescence - Anti-Caspase-7 antibody [E22] (AB32522)
  • ICC/IF

Unknown

Immunocytochemistry/ Immunofluorescence - Anti-Caspase-7 antibody [E22] (AB32522)

Immunofluorescent staining of HeLa cells using ab32522 at 1 : 100 dilution.

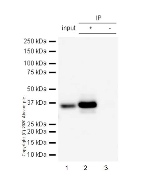
Immunoprecipitation - Anti-Caspase-7 antibody [E22] (AB32522)
  • IP

Lab

Immunoprecipitation - Anti-Caspase-7 antibody [E22] (AB32522)

Purified ab32522 at 1/20 dilution (1μg) immunoprecipitating Caspase-7 in Jurkat whole cell lysate.
Lane 1 (input) : Jurkat (Human T cell leukemia T lymphocyte) whole cell lysate 10μg
Lane 2 (+) : ab32522 + Jurkat whole cell lysate.
Lane 3 (-) : Rabbit monoclonal IgG (ab172730) instead of ab32522 in Jurkat whole cell lysate.
VeriBlot for IP Detection Reagent (HRP) (ab131366) (1/1000 dilution) was used for Western blotting.
Blocking Buffer and concentration : 5% NFDM/TBST.
Diluting buffer and concentration : 5% NFDM/TBST.
Observed band size : 34 kDa

All lanes:

Immunoprecipitation - Anti-Caspase-7 antibody [E22] (ab32522)

Predicted band size: 34 kDa

false

Western blot - Anti-Caspase-7 antibody [E22] (AB32522)
  • WB

Unknown

Western blot - Anti-Caspase-7 antibody [E22] (AB32522)

Lanes 1- 2 : Merged signal (red and green). Green - ab32522 observed at 38 kDa. Red - Anti-alpha Tubulin antibody [DM1A] - Loading Control (ab7291) observed at 50 kDa.

ab32522 was shown to react with pro Caspase-7 in wild-type HeLa cells in western blot. Loss of signal was observed when knockout cell line ab265777 (knockout cell lysate ab257380) was used. Wild-type HeLa and CASP7 knockout HeLa cell lysates were subjected to SDS-PAGE. ab32522 and Anti-alpha Tubulin antibody [DM1A] - Loading Control (ab7291) overnight at 4°C at a 1 in 1000 dilution and a 1 in 20000 dilution respectively. Blots were developed with Goat anti-Rabbit IgG H&L (IRDye®800CW) preadsorbed (ab216773) and Goat anti-Mouse IgG H&L (IRDye®680RD) preadsorbed (ab216776) secondary antibodies at 1 in 20000 dilution for 1 hour at room temperature before imaging.

All lanes:

Western blot - Anti-Caspase-7 antibody [E22] (ab32522) at 1/1000 dilution

Lane 1:

Wild-type HeLa cell lysate at 20 µg

Lane 2:

CASP7 knockout HeLa cell lysate at 20 µg

Lane 2:

Western blot - Human CASP7 (Caspase-7) knockout HeLa cell line (<a href='/en-us/products/cell-lines/human-casp7-caspase-7-knockout-hela-cell-line-ab265777'>ab265777</a>)

Predicted band size: 34 kDa

Observed band size: 38 kDa

false

Western blot - Anti-Caspase-7 antibody [E22] (AB32522)
  • WB

Lab

Western blot - Anti-Caspase-7 antibody [E22] (AB32522)

Lane 1 : Wild type HAP1 whole cell lysate (20 μg)
Lane 2 : Wild type HAP1 + Staurosporine ab120056 whole cell lysate (20 μg)
Lane 3 : CASP7 knockout HAP1 whole cell lysate (20 μg)
Lane 4 : CASP7 + Staurosporine knockout HAP1 whole cell lysate (20 μg)
Lane 5 : HeLa whole cell lysate (20 μg)
Lane 6 : HeLa + Staurosporine whole cell lysate (20 μg)

Lanes 1 - 6 : Merged signal (red and green). Green - ab32522 observed at 38 kDa. Red - loading control, ab18058, observed at 130 kDa.

ab32522 was shown to specifically react with HAP1 + Staurosporine when HAP1 + Staurosporine knockout samples were used. Wild-type and HAP1 + Staurosporine knockout samples were subjected to SDS-PAGE. ab32522 and ab18058 (Mouse anti Vinculin loading control) were incubated overnight at 4°C at 1000 dilution and 1/10000 dilution respectively. Blots were developed with Goat anti-Rabbit IgG H&L (IRDye® 800CW) preabsorbed ab216773 and Goat anti-Mouse IgG H&L (IRDye® 680RD) preabsorbed ab216776 secondary antibodies at 1/20000 dilution for 1 hour at room temperature before imaging.

All lanes:

Western blot - Anti-Caspase-7 antibody [E22] (ab32522)

Predicted band size: 34 kDa

false

Western blot - Anti-Caspase-7 antibody [E22] (AB32522)
  • WB

Unknown

Western blot - Anti-Caspase-7 antibody [E22] (AB32522)

All lanes:

Western blot - Anti-Caspase-7 antibody [E22] (ab32522) at 1/1000 dilution

All lanes:

Jurkat cell lysate

Predicted band size: 34 kDa

Observed band size: 34 kDa

false

  • Carrier free

    Anti-Caspase-7 antibody [E22] - BSA and Azide free

Key facts

Host species

Rabbit

Clonality

Monoclonal

Clone number

E22

Isotype

IgG

Carrier free

No

Reacts with

Human

Applications

WB, IP, ICC/IF, IHC-P, Flow Cyt (Intra)

applications

Immunogen

The exact immunogen used to generate this antibody is proprietary information.

Specificity

The antibody should recognize both pro-form and p20 cleaved-form. The antibody does not cross-react with other Caspase family members.

Reactivity data

{ "title": "Reactivity Data", "filters": { "stats": ["", "Species", "Dilution Info", "Notes"], "tabs": { "all-applications": {"fullname" : "All Applications", "shortname": "All Applications"}, "IHCP" : {"fullname" : "Immunohistochemistry (Formalin/PFA-fixed paraffin-embedded sections)", "shortname":"IHC-P"}, "IP" : {"fullname" : "Immunoprecipitation", "shortname":"IP"}, "WB" : {"fullname" : "Western blot", "shortname":"WB"}, "ICCIF" : {"fullname" : "Immunocytochemistry/ Immunofluorescence", "shortname":"ICC/IF"}, "FlowCytIntra" : {"fullname" : "Flow Cytometry (Intracellular)", "shortname":"Flow Cyt (Intra)"} }, "product-promise": { "all": "all", "testedAndGuaranteed": "tested", "guaranteed": "expected", "predicted": "predicted", "notRecommended": "not-recommended" } }, "values": { "Human": { "IHCP-species-checked": "testedAndGuaranteed", "IHCP-species-dilution-info": "1/50 - 1/100", "IHCP-species-notes": "<p></p> Perform heat-mediated antigen retrieval with citrate buffer pH 6 before commencing with IHC staining protocol.", "IP-species-checked": "testedAndGuaranteed", "IP-species-dilution-info": "1/20", "IP-species-notes": "<p></p>", "WB-species-checked": "testedAndGuaranteed", "WB-species-dilution-info": "1/1000", "WB-species-notes": "<p></p>", "ICCIF-species-checked": "testedAndGuaranteed", "ICCIF-species-dilution-info": "1/100", "ICCIF-species-notes": "<p></p>", "FlowCytIntra-species-checked": "testedAndGuaranteed", "FlowCytIntra-species-dilution-info": "1/250", "FlowCytIntra-species-notes": "<p></p>" } } }

Product details

Species reactivity
Mouse, Rat: We have preliminary internal testing data to indicate this antibody may not react with these species.
Please contact us for more information.

Patented technology
Our RabMAb® technology is a patented hybridoma-based technology for making rabbit monoclonal antibodies. For details on our patents, please refer to RabMAb® patents.

Properties and storage information

Form
Liquid
Purification technique
Affinity purification Protein A
Storage buffer
pH: 7.2 - 7.4 Preservative: 0.01% Sodium azide Constituents: PBS, 50% Glycerol (glycerin, glycerine), 0.05% BSA
Shipped at conditions
Blue Ice
Appropriate short-term storage duration
1-2 weeks
Appropriate short-term storage conditions
+4°C
Appropriate long-term storage conditions
-20°C
Aliquoting information
Upon delivery aliquot
Storage information
Avoid freeze / thaw cycle

Product protocols

For this product, it's our understanding that no specific protocols are required. You can visit:

Target data

Thiol protease involved in different programmed cell death processes, such as apoptosis, pyroptosis or granzyme-mediated programmed cell death, by proteolytically cleaving target proteins (PubMed : 11257230, PubMed : 11257231, PubMed : 11701129, PubMed : 15314233, PubMed : 16916640, PubMed : 17646170, PubMed : 18723680, PubMed : 19581639, PubMed : 8521391, PubMed : 8567622, PubMed : 8576161, PubMed : 9070923). Has a marked preference for Asp-Glu-Val-Asp (DEVD) consensus sequences, with some plasticity for alternate non-canonical sequences (PubMed : 12824163, PubMed : 15314233, PubMed : 17697120, PubMed : 19581639, PubMed : 20566630, PubMed : 23650375, PubMed : 23897474, PubMed : 27032039). Its involvement in the different programmed cell death processes is probably determined by upstream proteases that activate CASP7 (By similarity). Acts as an effector caspase involved in the execution phase of apoptosis : following cleavage and activation by initiator caspases (CASP8, CASP9 and/or CASP10), mediates execution of apoptosis by catalyzing cleavage of proteins, such as CLSPN, PARP1, PTGES3 and YY1 (PubMed : 10497198, PubMed : 16123041, PubMed : 16374543, PubMed : 16916640, PubMed : 18723680, PubMed : 20566630, PubMed : 21555521, PubMed : 22184066, PubMed : 22451931, PubMed : 27889207, PubMed : 28863261, PubMed : 31586028, PubMed : 34156061, PubMed : 35338844, PubMed : 35446120). Compared to CASP3, acts as a minor executioner caspase and cleaves a limited set of target proteins (PubMed : 18723680). Acts as a key regulator of the inflammatory response in response to bacterial infection by catalyzing cleavage and activation of the sphingomyelin phosphodiesterase SMPD1 in the extracellular milieu, thereby promoting membrane repair (PubMed : 21157428). Regulates pyroptosis in intestinal epithelial cells : cleaved and activated by CASP1 in response to S.typhimurium infection, promoting its secretion to the extracellular milieu, where it catalyzes activation of SMPD1, generating ceramides that repair membranes and counteract the action of gasdermin-D (GSDMD) pores (By similarity). Regulates granzyme-mediated programmed cell death in hepatocytes : cleaved and activated by granzyme B (GZMB) in response to bacterial infection, promoting its secretion to the extracellular milieu, where it catalyzes activation of SMPD1, generating ceramides that repair membranes and counteract the action of perforin (PRF1) pores (By similarity). Following cleavage by CASP1 in response to inflammasome activation, catalyzes processing and inactivation of PARP1, alleviating the transcription repressor activity of PARP1 (PubMed : 22464733). Acts as an inhibitor of type I interferon production during virus-induced apoptosis by mediating cleavage of antiviral proteins CGAS, IRF3 and MAVS, thereby preventing cytokine overproduction (By similarity). Cleaves and activates sterol regulatory element binding proteins (SREBPs) (PubMed : 8643593). Cleaves phospholipid scramblase proteins XKR4, XKR8 and XKR9 (By similarity). In case of infection, catalyzes cleavage of Kaposi sarcoma-associated herpesvirus protein ORF57, thereby preventing expression of viral lytic genes (PubMed : 20159985). Cleaves BIRC6 following inhibition of BIRC6-caspase binding by DIABLO/SMAC (PubMed : 36758104, PubMed : 36758106).. Isoform Beta. Lacks enzymatic activity.
See full target information CASP7

Publications (26)

Recent publications for all applications. Explore the full list and refine your search

Frontiers in immunology 15:1378305 PubMed38779664

2024

Development of an anoikis-related gene signature and prognostic model for predicting the tumor microenvironment and response to immunotherapy in colorectal cancer.

Applications

Unspecified application

Species

Unspecified reactive species

Chuanchang Li,Junyong Weng,Le Yang,Hangjun Gong,Zhaolong Liu

International journal of oncology 62: PubMed36825592

2023

Dual targets of lethal apoptosis and protective autophagy in liver cancer with periplocymarin elicit a limited therapeutic effect.

Applications

Unspecified application

Species

Unspecified reactive species

Yuanyuan Hao,Tao Song,Mingye Wang,Tongtong Li,Chi Zhao,Ting Li,Yunlong Hou,Hongjiang He

International journal of oncology 60: PubMed35506454

2022

Visfatin inhibits colon cancer cell apoptosis and decreases chemosensitivity to 5‑FU by promoting the SDF‑1/CXCR4/Akt axis.

Applications

Unspecified application

Species

Unspecified reactive species

Quan Zhao,Yaxin Long,Wen Cheng,Yingguang Huang,Jinyuan Li,Yuejin Li,Xing Li,Xiaodong Guo,Yu Li,Guosan Li,Kunmei Gong,Jian Zhang

Acta pharmaceutica Sinica. B 12:2268-2279 PubMed35646538

2022

Anticarin- shows a promising anti-osteosarcoma effect by specifically inhibiting CCT4 to impair proteostasis.

Applications

Unspecified application

Species

Unspecified reactive species

Gan Wang,Min Zhang,Ping Meng,Chengbo Long,Xiaodong Luo,Xingwei Yang,Yunfei Wang,Zhiye Zhang,James Mwangi,Peter Muiruri Kamau,Zhi Dai,Zunfu Ke,Yi Zhang,Wenlin Chen,Xudong Zhao,Fei Ge,Qiumin Lv,Mingqiang Rong,Dongsheng Li,Yang Jin,Xia Sheng,Ren Lai

The Journal of international medical research 49:3000605211008325 PubMed33906532

2021

FK506-binding protein 5 promotes the progression of papillary thyroid carcinoma.

Applications

Unspecified application

Species

Unspecified reactive species

Zhenya Gao,Fang Yu,Huanxia Jia,Zhuo Ye,Shijie Yao

Journal of ophthalmology 2021:6694050 PubMed33628480

2021

Casein Kinase 2-Interacting Protein-1 Alleviates High Glucose-Reduced Autophagy, Oxidative Stress, and Apoptosis in Retinal Pigment Epithelial Cells via Activating the p62/KEAP1/NRF2 Signaling Pathway.

Applications

Unspecified application

Species

Unspecified reactive species

Xia Zhao,Jing Wang,Pei Li,Liying Tang,Yuzhi Bai

Biological research 53:52 PubMed33187557

2020

Caspase-7 deficiency in Chinese hamster ovary cells reduces cell proliferation and viability.

Applications

Unspecified application

Species

Unspecified reactive species

Fatemeh Safari,Safar Farajnia,Abbas Behzad Behbahani,Habib Zarredar,Mazyar Barekati-Mowahed,Hesam Dehghani

Molecular medicine reports 22:4810-4820 PubMed33173957

2020

Exosomal circular RNA_400068 promotes the development of renal cell carcinoma via the miR‑210‑5p/SOCS1 axis.

Applications

Unspecified application

Species

Unspecified reactive species

Hongyan Xiao,Jianguo Shi

Brazilian journal of medical and biological resear 53:e9360 PubMed32696822

2020

MicroRNA-770-5p contributes to podocyte injury via targeting E2F3 in diabetic nephropathy.

Applications

Unspecified application

Species

Unspecified reactive species

Juanjuan Guo,Jie Han,Jieying Liu,Shaoli Wang

Neoplasma 67:547-556 PubMed32202904

2020

CBL0137 administration suppresses human hepatocellular carcinoma cells proliferation and induces apoptosis associated with multiple cell death related proteins.

Applications

Unspecified application

Species

Unspecified reactive species

M A Hasan Albahde,P Zhang,H Chen,W Wang
View all publications

Product promise

We are committed to supporting your work with high-quality reagents, and we're here for you every step of the way. In the unlikely event that one of our products does not perform as expected, you're protected by our Product Promise.
For full details, please see our Terms & Conditions

Please note: All products are 'FOR RESEARCH USE ONLY. NOT FOR USE IN DIAGNOSTIC OR THERAPEUTIC PROCEDURES'.

For licensing inquiries, please contact partnerships@abcam.com