JavaScript is disabled in your browser. Please enable JavaScript to view this website.
AB256539

Anti-Caspase-7 antibody [EPR22839-12] - BSA and Azide free

  • BOND RX™ Validated
  • RabMAb
  • Recombinant
  • KO Validated
  • What is this?

Be the first to review this product! Submit a review

|

(1 Publication)

Rabbit Recombinant Monoclonal Caspase-7 antibody. Carrier free. Suitable for WB, Flow Cyt (Intra), IHC-P and reacts with Human, Mouse, Rat samples. Cited in 1 publication.

View Alternative Names

MCH3, CASP7, Caspase-7, CASP-7, Apoptotic protease Mch-3, CMH-1, ICE-like apoptotic protease 3, ICE-LAP3

6 Images
Flow Cytometry (Intracellular) - Anti-Caspase-7 antibody [EPR22839-12] - BSA and Azide free (AB256539)
  • Flow Cyt (Intra)

Unknown

Flow Cytometry (Intracellular) - Anti-Caspase-7 antibody [EPR22839-12] - BSA and Azide free (AB256539)

Intracellular flow cytometric analysis of 4% paraformaldehyde fixed, 90% methanol permeabilized HeLa (human cervix adenocarcinoma) cells labeling Caspase-7 with ab255818 at 1/50 (Red) compared with a Rabbit monoclonal IgG (ab172730) / Black isotype control and an unlabeled control (cells without incubation with primary antibody and secondary antibody) (Blue). A Goat anti rabbit IgG (Alexa Fluor® 488, ab150077) at 1/2000 dilution was used as the secondary antibody.

This data was developed using the same antibody clone in a different buffer formulation containing PBS, BSA, glycerol, and sodium azide (ab255818).

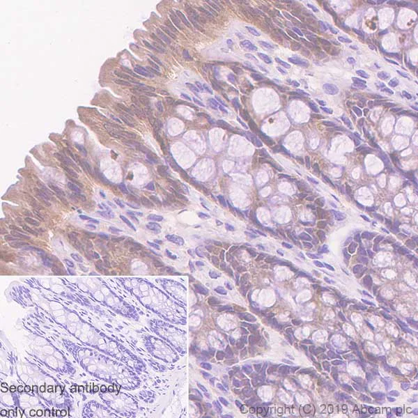
Immunohistochemistry (Formalin/PFA-fixed paraffin-embedded sections) - Anti-Caspase-7 antibody [EPR22839-12] - BSA and Azide free (AB256539)
  • IHC-P

Unknown

Immunohistochemistry (Formalin/PFA-fixed paraffin-embedded sections) - Anti-Caspase-7 antibody [EPR22839-12] - BSA and Azide free (AB256539)

Immunohistochemical analysis of paraffin-embedded human colon tissue labeling Caspase-7 with ab255818 at 1/2000 dilution (0.28 ug/ml) followed by a ready to use Rabbit specific IHC polymer detection kit HRP/DAB (ab209101). Positive staining on human colon (PMID : 30448733) is observed. The section was incubated with ab255818 for 15 mins at room temperature. The immunostaining was performed on a Leica Biosystems BOND® RX instrument. Counterstained with hematoxylin. Heat mediated antigen retrieval with Tris-EDTA buffer (pH 9.0, epitope retrieval solution 2) for 20 mins.

Secondary antibody only control/ Used PBS instead of primary antibody, secondary antibody is a ready to use Rabbit specific IHC polymer detection kit HRP/DAB (ab209101).

This data was developed using the same antibody clone in a different buffer formulation containing PBS, BSA, glycerol, and sodium azide (ab255818).

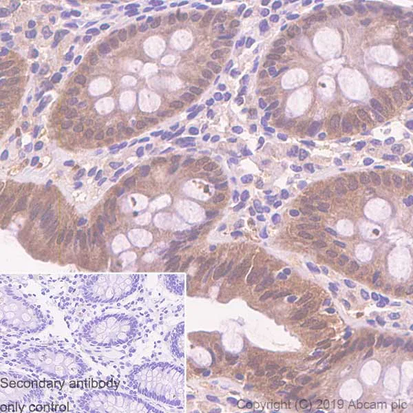
Immunohistochemistry (Formalin/PFA-fixed paraffin-embedded sections) - Anti-Caspase-7 antibody [EPR22839-12] - BSA and Azide free (AB256539)
  • IHC-P

Unknown

Immunohistochemistry (Formalin/PFA-fixed paraffin-embedded sections) - Anti-Caspase-7 antibody [EPR22839-12] - BSA and Azide free (AB256539)

Immunohistochemical analysis of paraffin-embedded rat colon tissue labeling Caspase-7 with ab255818 at 1/2000 dilution (0.28 ug/ml) followed by a ready to use Rabbit specific IHC polymer detection kit HRP/DAB (ab209101). Positive staining on rat colon (PMID : 30448733) is observed. The section was incubated with ab255818 for 15 mins at room temperature. The immunostaining was performed on a Leica Biosystems BOND® RX instrument. Counterstained with hematoxylin. Heat mediated antigen retrieval with Tris-EDTA buffer (pH 9.0, epitope retrieval solution 2) for 20 mins.

Secondary antibody only control : Used PBS instead of primary antibody, secondary antibody is a ready to use Rabbit specific IHC polymer detection kit HRP/DAB (ab209101).

This data was developed using the same antibody clone in a different buffer formulation containing PBS, BSA, glycerol, and sodium azide (ab255818).

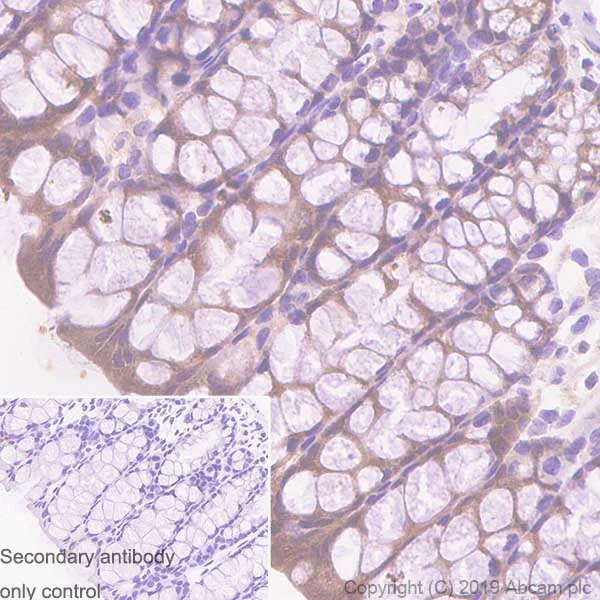
Immunohistochemistry (Formalin/PFA-fixed paraffin-embedded sections) - Anti-Caspase-7 antibody [EPR22839-12] - BSA and Azide free (AB256539)
  • IHC-P

Unknown

Immunohistochemistry (Formalin/PFA-fixed paraffin-embedded sections) - Anti-Caspase-7 antibody [EPR22839-12] - BSA and Azide free (AB256539)

Immunohistochemical analysis of paraffin-embedded mouse colon tissue labeling Caspase-7 with ab255818 at 1/2000 dilution (0.28 ug/ml) followed by a ready to use Rabbit specific IHC polymer detection kit HRP/DAB (ab209101). Positive staining on mouse colon (PMID : 23572575) is observed. The section was incubated with ab255818 for 15 mins at room temperature. The immunostaining was performed on a Leica Biosystems BOND® RX instrument. Counterstained with hematoxylin. Heat mediated antigen retrieval with Tris-EDTA buffer (pH 9.0, epitope retrieval solution 2) for 20 mins.

Secondary antibody only control : Used PBS instead of primary antibody, secondary antibody is a ready to use Rabbit specific IHC polymer detection kit HRP/DAB (ab209101).

This data was developed using the same antibody clone in a different buffer formulation containing PBS, BSA, glycerol, and sodium azide (ab255818).

Flow Cytometry (Intracellular) - Anti-Caspase-7 antibody [EPR22839-12] - BSA and Azide free (AB256539)
  • Flow Cyt (Intra)

Unknown

Flow Cytometry (Intracellular) - Anti-Caspase-7 antibody [EPR22839-12] - BSA and Azide free (AB256539)

Intracellular flow cytometric analysis of 4% paraformaldehyde fixed, 90% methanol permeabilized C2C12 (mouse muscle) cells labeling Caspase-7 with ab255818 at 1/50 (Red) compared with a Rabbit monoclonal IgG (ab172730) / Black isotype control and an unlabeled control (cells without incubation with primary antibody and secondary antibody) (Blue). A Goat anti rabbit IgG (Alexa Fluor® 488, ab150077) at 1/2000 dilution was used as the secondary antibody.

This data was developed using the same antibody clone in a different buffer formulation containing PBS, BSA, glycerol, and sodium azide (ab255818).

Western blot - Anti-Caspase-7 antibody [EPR22839-12] - BSA and Azide free (AB256539)
  • WB

Lab

Western blot - Anti-Caspase-7 antibody [EPR22839-12] - BSA and Azide free (AB256539)

Caspase-7 is activated upon apoptotic induction. Procapase-7 (35 kDa), intermediate caspase-7 (32 kDa) and caspase-7 p20 subunit (18 kDa) are observed. The molecular weight observed is consistent with what has been described in the literature (PMID : 15953353, 18596415).

ab255818 was shown to specifically react with Caspase-7 in wild-type HAP1 cells as signal was lost in Caspase-7 knockout cells. Wild-type and Caspase-7 knockout samples were subjected to SDS-PAGE. ab255818 and ab181602 (Rabbit anti-GAPDH loading control) were incubated 1 hour at room temperature at 1/1000 dilution and 1/200,000 dilution respectively. Blots were developed with Goat Anti-Rabbit IgG, (H+L), Peroxidase conjugated (ab97051) secondary antibody at 1/100,000 dilution for 1 hour at room temperature before imaging. The blot was developed on a BIO-RAD® ChemiDoc™ instrument using the ECL technique. Blocking and Diluting Buffer and concentration : 5% NFDM/TBST.

This data was developed using the same antibody clone in a different buffer formulation containing PBS, BSA, glycerol, and sodium azide (ab255818).

All lanes:

Western blot - Anti-Caspase-7 antibody [EPR22839-12] (<a href='/en-us/products/primary-antibodies/caspase-7-antibody-epr22839-12-ab255818'>ab255818</a>) at 1/1000 dilution

Lane 1:

Untreated wild-type HAP1 whole cell lysate at 20 µg

Lane 2:

Wild-type HAP1 treated with 1 µM staurosporine for 3 hours whole cell lysate at 20 µg

Lane 3:

Untreated caspase-7 knockout HAP1 whole cell lysate at 20 µg

Lane 4:

Caspase-7 knockout HAP1 treated with 1 µM staurosporine for 3 hours whole cell lysate at 20 µg

Lane 5:

C6 (rat glial tumor glial cell) whole cell lysate at 20 µg

Lane 6:

PC-12 (rat adrenal gland pheochromocytoma) whole cell lysate at 20 µg

Lane 7:

RAW 264.7 (mouse abelson murine leukemia virus-induced tumor macrophage) whole cell lysate at 20 µg

Secondary

All lanes:

Western blot - Goat Anti-Rabbit IgG H&L (HRP) (<a href='/en-us/products/secondary-antibodies/goat-rabbit-igg-h-l-hrp-ab97051'>ab97051</a>) at 1/100000 dilution

Predicted band size: 34 kDa

Observed band size: 32 kDa,35 kDa

false

Exposure time: 26s

Key facts

Host species

Rabbit

Clonality

Monoclonal

Clone number

EPR22839-12

Isotype

IgG

Carrier free

Yes

Reacts with

Mouse, Rat, Human

Applications

WB, Flow Cyt (Intra), IHC-P

applications

Immunogen

The exact immunogen used to generate this antibody is proprietary information.

Reactivity data

{ "title": "Reactivity Data", "filters": { "stats": ["", "Species", "Dilution Info", "Notes"], "tabs": { "all-applications": {"fullname" : "All Applications", "shortname": "All Applications"}, "IP" : {"fullname" : "Immunoprecipitation", "shortname":"IP"}, "WB" : {"fullname" : "Western blot", "shortname":"WB"}, "ICCIF" : {"fullname" : "Immunocytochemistry/ Immunofluorescence", "shortname":"ICC/IF"}, "FlowCytIntra" : {"fullname" : "Flow Cytometry (Intracellular)", "shortname":"Flow Cyt (Intra)"}, "IHCP" : {"fullname" : "Immunohistochemistry (Formalin/PFA-fixed paraffin-embedded sections)", "shortname":"IHC-P"} }, "product-promise": { "all": "all", "testedAndGuaranteed": "tested", "guaranteed": "expected", "predicted": "predicted", "notRecommended": "not-recommended" } }, "values": { "Human": { "IP-species-checked": "notRecommended", "IP-species-dilution-info": "", "IP-species-notes": "<p></p>", "WB-species-checked": "testedAndGuaranteed", "WB-species-dilution-info": "", "WB-species-notes": "<p></p>", "ICCIF-species-checked": "notRecommended", "ICCIF-species-dilution-info": "", "ICCIF-species-notes": "<p></p>", "FlowCytIntra-species-checked": "testedAndGuaranteed", "FlowCytIntra-species-dilution-info": "", "FlowCytIntra-species-notes": "<p></p>", "IHCP-species-checked": "testedAndGuaranteed", "IHCP-species-dilution-info": "", "IHCP-species-notes": "<p></p>" }, "Mouse": { "IP-species-checked": "notRecommended", "IP-species-dilution-info": "", "IP-species-notes": "<p></p>", "WB-species-checked": "testedAndGuaranteed", "WB-species-dilution-info": "", "WB-species-notes": "<p></p>", "ICCIF-species-checked": "notRecommended", "ICCIF-species-dilution-info": "", "ICCIF-species-notes": "<p></p>", "FlowCytIntra-species-checked": "guaranteed", "FlowCytIntra-species-dilution-info": "", "FlowCytIntra-species-notes": "<p></p>", "IHCP-species-checked": "guaranteed", "IHCP-species-dilution-info": "", "IHCP-species-notes": "<p></p>" }, "Rat": { "IP-species-checked": "notRecommended", "IP-species-dilution-info": "", "IP-species-notes": "<p></p>", "WB-species-checked": "testedAndGuaranteed", "WB-species-dilution-info": "", "WB-species-notes": "<p></p>", "ICCIF-species-checked": "notRecommended", "ICCIF-species-dilution-info": "", "ICCIF-species-notes": "<p></p>", "FlowCytIntra-species-checked": "guaranteed", "FlowCytIntra-species-dilution-info": "", "FlowCytIntra-species-notes": "<p></p>", "IHCP-species-checked": "guaranteed", "IHCP-species-dilution-info": "", "IHCP-species-notes": "<p></p>" } } }

Product details

ab256539 is the carrier-free version of ab255818.

Patented technology
Our RabMAb® technology is a patented hybridoma-based technology for making rabbit monoclonal antibodies. For details on our patents, please refer to RabMAb® patents.

What are the advantages of a recombinant monoclonal antibody?
This product is a recombinant monoclonal antibody, which offers several advantages including:

  • - High batch-to-batch consistency and reproducibility
  • - Improved sensitivity and specificity
  • - Long-term security of supply
  • - Animal-free batch production

For more information, read more on recombinant antibodies.

Conjugation ready
Our carrier-free antibodies are typically supplied in a PBS-only formulation, purified and free of BSA, sodium azide and glycerol. This conjugation-ready format is designed for use with fluorochromes, metal isotopes, oligonucleotides, and enzymes, which makes them ideal for antibody labelling, functional and cell-based assays, flow-based assays (e.g. mass cytometry) and Multiplex Imaging applications.

Use our conjugation kits for antibody conjugates that are ready-to-use in as little as 20 minutes with 1 minute hands-on-time and 100% antibody recovery: available for fluorescent dyes, HRP, biotin and gold.

Compatibility
This product is compatible with the Maxpar® Antibody Labeling Kit from Fluidigm, without the need for antibody preparation. Maxpar® is a trademark of Fluidigm Canada Inc.

Properties and storage information

Form
Liquid
Purification technique
Affinity purification Protein A
Storage buffer
pH: 7.2 - 7.4 Constituents: PBS
Shipped at conditions
Blue Ice
Appropriate short-term storage conditions
+4°C
Appropriate long-term storage conditions
+4°C
Storage information
Do Not Freeze

Product protocols

For this product, it's our understanding that no specific protocols are required. You can visit:

Target data

Thiol protease involved in different programmed cell death processes, such as apoptosis, pyroptosis or granzyme-mediated programmed cell death, by proteolytically cleaving target proteins (PubMed : 11257230, PubMed : 11257231, PubMed : 11701129, PubMed : 15314233, PubMed : 16916640, PubMed : 17646170, PubMed : 18723680, PubMed : 19581639, PubMed : 8521391, PubMed : 8567622, PubMed : 8576161, PubMed : 9070923). Has a marked preference for Asp-Glu-Val-Asp (DEVD) consensus sequences, with some plasticity for alternate non-canonical sequences (PubMed : 12824163, PubMed : 15314233, PubMed : 17697120, PubMed : 19581639, PubMed : 20566630, PubMed : 23650375, PubMed : 23897474, PubMed : 27032039). Its involvement in the different programmed cell death processes is probably determined by upstream proteases that activate CASP7 (By similarity). Acts as an effector caspase involved in the execution phase of apoptosis : following cleavage and activation by initiator caspases (CASP8, CASP9 and/or CASP10), mediates execution of apoptosis by catalyzing cleavage of proteins, such as CLSPN, PARP1, PTGES3 and YY1 (PubMed : 10497198, PubMed : 16123041, PubMed : 16374543, PubMed : 16916640, PubMed : 18723680, PubMed : 20566630, PubMed : 21555521, PubMed : 22184066, PubMed : 22451931, PubMed : 27889207, PubMed : 28863261, PubMed : 31586028, PubMed : 34156061, PubMed : 35338844, PubMed : 35446120). Compared to CASP3, acts as a minor executioner caspase and cleaves a limited set of target proteins (PubMed : 18723680). Acts as a key regulator of the inflammatory response in response to bacterial infection by catalyzing cleavage and activation of the sphingomyelin phosphodiesterase SMPD1 in the extracellular milieu, thereby promoting membrane repair (PubMed : 21157428). Regulates pyroptosis in intestinal epithelial cells : cleaved and activated by CASP1 in response to S.typhimurium infection, promoting its secretion to the extracellular milieu, where it catalyzes activation of SMPD1, generating ceramides that repair membranes and counteract the action of gasdermin-D (GSDMD) pores (By similarity). Regulates granzyme-mediated programmed cell death in hepatocytes : cleaved and activated by granzyme B (GZMB) in response to bacterial infection, promoting its secretion to the extracellular milieu, where it catalyzes activation of SMPD1, generating ceramides that repair membranes and counteract the action of perforin (PRF1) pores (By similarity). Following cleavage by CASP1 in response to inflammasome activation, catalyzes processing and inactivation of PARP1, alleviating the transcription repressor activity of PARP1 (PubMed : 22464733). Acts as an inhibitor of type I interferon production during virus-induced apoptosis by mediating cleavage of antiviral proteins CGAS, IRF3 and MAVS, thereby preventing cytokine overproduction (By similarity). Cleaves and activates sterol regulatory element binding proteins (SREBPs) (PubMed : 8643593). Cleaves phospholipid scramblase proteins XKR4, XKR8 and XKR9 (By similarity). In case of infection, catalyzes cleavage of Kaposi sarcoma-associated herpesvirus protein ORF57, thereby preventing expression of viral lytic genes (PubMed : 20159985). Cleaves BIRC6 following inhibition of BIRC6-caspase binding by DIABLO/SMAC (PubMed : 36758104, PubMed : 36758106).. Isoform Beta. Lacks enzymatic activity.
See full target information CASP7

Publications (1)

Recent publications for all applications. Explore the full list and refine your search

Cell reports. Medicine 5:101791 PubMed39426375

2024

Schwann cell-secreted frizzled-related protein 1 dictates neuroinflammation and peripheral nerve degeneration after neurotrauma.

Applications

Unspecified application

Species

Unspecified reactive species

Xiangyun Yao,Lingchi Kong,Yi Qiao,David Brand,Juehong Li,Zhiwen Yan,Song Guo Zheng,Yun Qian,Cunyi Fan
View all publications

Product promise

We are committed to supporting your work with high-quality reagents, and we're here for you every step of the way. In the unlikely event that one of our products does not perform as expected, you're protected by our Product Promise.
For full details, please see our Terms & Conditions

Please note: All products are 'FOR RESEARCH USE ONLY. NOT FOR USE IN DIAGNOSTIC OR THERAPEUTIC PROCEDURES'.

For licensing inquiries, please contact partnerships@abcam.com