JavaScript is disabled in your browser. Please enable JavaScript to view this website.
AB25901

Anti-Caspase-8 antibody

3

(3 Reviews)

|

(179 Publications)

Rabbit Polyclonal Caspase-8 antibody. Suitable for ICC, WB, IHC-P, ICC/IF and reacts with Mouse, Rat, Human samples. Cited in 179 publications. Immunogen corresponding to Synthetic Peptide within Human CASP8.

View Alternative Names

MCH5, CASP8, Caspase-8, CASP-8, Apoptotic cysteine protease, Apoptotic protease Mch-5, CAP4, FADD-homologous ICE/ced-3-like protease, FADD-like ICE, ICE-like apoptotic protease 5, MORT1-associated ced-3 homolog, FLICE, MACH

7 Images
Immunohistochemistry (Formalin/PFA-fixed paraffin-embedded sections) - Anti-Caspase-8 antibody (AB25901)
  • IHC-P

Lab

Immunohistochemistry (Formalin/PFA-fixed paraffin-embedded sections) - Anti-Caspase-8 antibody (AB25901)

IHC image of Caspase-8 staining in human spleen formalin fixed paraffin embedded tissue section, performed on a Leica Bond system using the standard protocol F. The section was pre-treated using heat mediated antigen retrieval with sodium citrate buffer (pH6, epitope retrieval solution 1) for 20 mins. The section was then incubated with ab25901, 1μg/ml, for 15 mins at room temperature and detected using an HRP conjugated compact polymer system. DAB was used as the chromogen. The section was then counterstained with haematoxylin and mounted with DPX.

For other IHC staining systems (automated and non-automated) customers should optimize variable parameters such as antigen retrieval conditions, primary antibody concentration and antibody incubation times.

Immunocytochemistry/ Immunofluorescence - Anti-Caspase-8 antibody (AB25901)
  • ICC/IF

Unknown

Immunocytochemistry/ Immunofluorescence - Anti-Caspase-8 antibody (AB25901)

Immunocytochemistry/Immunofluorescence of Jurkat cells labeling Caspase-8 with Anti-Caspase-8 antibody (ab25901) at 20μg/ml.

Immunohistochemistry (Formalin/PFA-fixed paraffin-embedded sections) - Anti-Caspase-8 antibody (AB25901)
  • IHC-P

Supplier Data

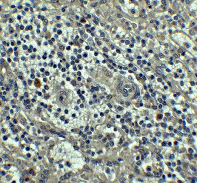
Immunohistochemistry (Formalin/PFA-fixed paraffin-embedded sections) - Anti-Caspase-8 antibody (AB25901)

Immunohistochemistry of Caspase-8 in human spleen tissue with Caspase-8 antibody at 5 μg/ml.

Immunocytochemistry/ Immunofluorescence - Anti-Caspase-8 antibody (AB25901)
  • ICC/IF

Unknown

Immunocytochemistry/ Immunofluorescence - Anti-Caspase-8 antibody (AB25901)

ab25901 at 2ug/ml staining Caspase-8 in Jurkat cells by ICC/IF

Western blot - Anti-Caspase-8 antibody (AB25901)
  • WB

Supplier Data

Western blot - Anti-Caspase-8 antibody (AB25901)

1h incubation at RT in 5% NFDM/TBST

All lanes:

Western blot - Anti-Caspase-8 antibody (ab25901) at 1 µg/mL

All lanes:

K562 cell lysate at 15 µg

Secondary

All lanes:

Goat Anti-Rabbit IgG HRP conjugate at 1/10000 dilution

Predicted band size: 55 kDa

false

Western blot - Anti-Caspase-8 antibody (AB25901)
  • WB

Supplier Data

Western blot - Anti-Caspase-8 antibody (AB25901)

1h incubation at RT in 5% NFDM/TBST

All lanes:

Western blot - Anti-Caspase-8 antibody (ab25901) at 1 µg/mL

All lanes:

YB2/0 cell lysate at 15 µg

Secondary

All lanes:

Goat Anti-Rabbit IgG HRP conjugate at 1/10000 dilution

Predicted band size: 55 kDa

false

Western blot - Anti-Caspase-8 antibody (AB25901)
  • WB

Supplier Data

Western blot - Anti-Caspase-8 antibody (AB25901)

1h incubation at RT in 5% NFDM/TBST

All lanes:

Western blot - Anti-Caspase-8 antibody (ab25901) at 1 µg/mL

All lanes:

Mouse 3T3/NIH cell lysate at 15 µg

Secondary

All lanes:

Goat Anti-Rabbit IgG HRP conjugate at 1/10000 dilution

Predicted band size: 55 kDa

false

Key facts

Host species

Rabbit

Clonality

Polyclonal

Isotype

IgG

Carrier free

No

Reacts with

Mouse, Rat, Human

Applications

WB, ICC, ICC/IF, IHC-P

applications

Immunogen

Synthetic Peptide within Human CASP8. The exact immunogen used to generate this antibody is proprietary information.

Q14790

Reactivity data

{ "title": "Reactivity Data", "filters": { "stats": ["", "Species", "Dilution Info", "Notes"], "tabs": { "all-applications": {"fullname" : "All Applications", "shortname": "All Applications"}, "ICC" : {"fullname" : "Immunocytochemistry", "shortname":"ICC"}, "WB" : {"fullname" : "Western blot", "shortname":"WB"}, "IHCP" : {"fullname" : "Immunohistochemistry (Formalin/PFA-fixed paraffin-embedded sections)", "shortname":"IHC-P"}, "ICCIF" : {"fullname" : "Immunocytochemistry/ Immunofluorescence", "shortname":"ICC/IF"} }, "product-promise": { "all": "all", "testedAndGuaranteed": "tested", "guaranteed": "expected", "predicted": "predicted", "notRecommended": "not-recommended" } }, "values": { "Human": { "ICC-species-checked": "guaranteed", "ICC-species-dilution-info": "", "ICC-species-notes": "<p></p>", "WB-species-checked": "testedAndGuaranteed", "WB-species-dilution-info": "0.5-2 µg/mL", "WB-species-notes": "<p></p>", "IHCP-species-checked": "testedAndGuaranteed", "IHCP-species-dilution-info": "", "IHCP-species-notes": "<p><strong>Human samples only</strong></p>", "ICCIF-species-checked": "testedAndGuaranteed", "ICCIF-species-dilution-info": "20 µg/mL", "ICCIF-species-notes": "<p><strong>Human samples only</strong></p>" }, "Mouse": { "ICC-species-checked": "guaranteed", "ICC-species-dilution-info": "", "ICC-species-notes": "<p></p>", "WB-species-checked": "testedAndGuaranteed", "WB-species-dilution-info": "0.5-2 µg/mL", "WB-species-notes": "<p></p>", "IHCP-species-checked": "guaranteed", "IHCP-species-dilution-info": "", "IHCP-species-notes": "", "ICCIF-species-checked": "guaranteed", "ICCIF-species-dilution-info": "", "ICCIF-species-notes": "" }, "Rat": { "ICC-species-checked": "guaranteed", "ICC-species-dilution-info": "", "ICC-species-notes": "<p></p>", "WB-species-checked": "testedAndGuaranteed", "WB-species-dilution-info": "0.5-2 µg/mL", "WB-species-notes": "<p></p>", "IHCP-species-checked": "guaranteed", "IHCP-species-dilution-info": "", "IHCP-species-notes": "", "ICCIF-species-checked": "guaranteed", "ICCIF-species-dilution-info": "", "ICCIF-species-notes": "" } } }

Properties and storage information

Form
Liquid
Purification technique
Affinity purification Immunogen
Purification notes
Caspase-8 Antibody is affinity chromatography purified via peptide column.
Storage buffer
pH: 7.2 Preservative: 0.02% Sodium azide Constituents: PBS
Shipped at conditions
Blue Ice
Appropriate short-term storage conditions
+4°C
Appropriate long-term storage conditions
+4°C

Product protocols

For this product, it's our understanding that no specific protocols are required. You can visit:

Target data

Thiol protease that plays a key role in programmed cell death by acting as a molecular switch for apoptosis, necroptosis and pyroptosis, and is required to prevent tissue damage during embryonic development and adulthood (PubMed : 23516580, PubMed : 35338844, PubMed : 35446120, PubMed : 8681376, PubMed : 8681377, PubMed : 8962078, PubMed : 9006941, PubMed : 9184224). Initiator protease that induces extrinsic apoptosis by mediating cleavage and activation of effector caspases responsible for FAS/CD95-mediated and TNFRSF1A-induced cell death (PubMed : 23516580, PubMed : 35338844, PubMed : 35446120, PubMed : 8681376, PubMed : 8681377, PubMed : 8962078, PubMed : 9006941, PubMed : 9184224). Cleaves and activates effector caspases CASP3, CASP4, CASP6, CASP7, CASP9 and CASP10 (PubMed : 16916640, PubMed : 8962078, PubMed : 9006941). Binding to the adapter molecule FADD recruits it to either receptor FAS/TNFRSF6 or TNFRSF1A (PubMed : 8681376, PubMed : 8681377). The resulting aggregate called the death-inducing signaling complex (DISC) performs CASP8 proteolytic activation (PubMed : 9184224). The active dimeric enzyme is then liberated from the DISC and free to activate downstream apoptotic proteases (PubMed : 9184224). Proteolytic fragments of the N-terminal propeptide (termed CAP3, CAP5 and CAP6) are likely retained in the DISC (PubMed : 9184224). In addition to extrinsic apoptosis, also acts as a negative regulator of necroptosis : acts by cleaving RIPK1 at 'Asp-324', which is crucial to inhibit RIPK1 kinase activity, limiting TNF-induced apoptosis, necroptosis and inflammatory response (PubMed : 31827280, PubMed : 31827281). Also able to initiate pyroptosis by mediating cleavage and activation of gasdermin-C and -D (GSDMC and GSDMD, respectively) : gasdermin cleavage promotes release of the N-terminal moiety that binds to membranes and forms pores, triggering pyroptosis (PubMed : 32929201, PubMed : 34012073). Initiates pyroptosis following inactivation of MAP3K7/TAK1 (By similarity). Also acts as a regulator of innate immunity by mediating cleavage and inactivation of N4BP1 downstream of TLR3 or TLR4, thereby promoting cytokine production (By similarity). May participate in the Granzyme B (GZMB) cell death pathways (PubMed : 8755496). Cleaves PARP1 and PARP2 (PubMed : 8681376). Independent of its protease activity, promotes cell migration following phosphorylation at Tyr-380 (PubMed : 18216014, PubMed : 27109099).. Isoform 5. Lacks the catalytic site and may interfere with the pro-apoptotic activity of the complex.. Isoform 6. Lacks the catalytic site and may interfere with the pro-apoptotic activity of the complex.. Isoform 7. Lacks the catalytic site and may interfere with the pro-apoptotic activity of the complex (Probable). Acts as an inhibitor of the caspase cascade (PubMed : 12010809).. Isoform 8. Lacks the catalytic site and may interfere with the pro-apoptotic activity of the complex.
See full target information CASP8

Publications (179)

Recent publications for all applications. Explore the full list and refine your search

Materials today. Bio 32:101899 PubMed40502365

2025

ROS-responsive death receptor 5 fusion protein nano-delivery system enhances myocardial ischemia-reperfusion injury protection.

Applications

Unspecified application

Species

Unspecified reactive species

Xiaoyu Liang,Yang Zhang,Changduo Wang,Huiyang Li,Quan Li,Yicong Ye,Chenchen Tu,Xiliang Zhao,Jing Yang,Yong Zeng

Metabolites 15: PubMed40422873

2025

Compound 3d Attenuates Metabolic Dysfunction-Associated Steatohepatitis via Peroxisome Proliferator-Activated Receptor Pathway Activation and Inhibition of Inflammatory and Apoptotic Signaling.

Applications

Unspecified application

Species

Unspecified reactive species

Shouqing Zhang,Jiajia Yu,Sule Bai,Shuhan Li,Quanyuan Qiu,Xiangshun Kong,Cen Xiang,Zhen Liu,Peng Yu,Yuou Teng

The International journal of developmental biology 69:35-50 PubMed40172029

2025

Unraveling hepatic consequences of intrauterine growth restriction and catch-up growth: insights from histological, biochemical and metabolomic analysis in rats.

Applications

Unspecified application

Species

Unspecified reactive species

Mukaddes Esrefoğlu,Sahabettin Selek,Fatmanur Koktasoglu,Nihan Bayindir,Emine-Rumeysa Hekimoglu,Seda Kirmizikan,Fatma-Bedia Karakaya-Cimen,Halime Dulun-Agac,Mehtap Alim,Birsen Elibol,Ozge Pasin,Somer Bekiroglu

Frontiers in pharmacology 16:1531459 PubMed40041491

2025

Mechanism of PAVA-induced toxicity and inflammation in a cocultured skin cell model.

Applications

Unspecified application

Species

Unspecified reactive species

Yunyang Song,Wenjie Cheng,Zhen Wang,Tianqi Zhou,Fanghui Wu,Yifeng Yin,Dan Xu,Yanli Liu

EMBO molecular medicine 16:3142-3168 PubMed39521937

2024

JAK-STAT1 as therapeutic target for EGFR deficiency-associated inflammation and scarring alopecia.

Applications

Unspecified application

Species

Unspecified reactive species

Karoline Strobl,Jörg Klufa,Regina Jin,Lena Artner-Gent,Dana Krauß,Philipp Novoszel,Johanna Strobl,Georg Stary,Igor Vujic,Johannes Griss,Martin Holcmann,Matthias Farlik,Bernhard Homey,Maria Sibilia,Thomas Bauer

CNS neuroscience & therapeutics 30:e70019 PubMed39238115

2024

Betulin ameliorates neuronal apoptosis and oxidative injury via DJ-1/Akt/Nrf2 signaling pathway after subarachnoid hemorrhage.

Applications

Unspecified application

Species

Unspecified reactive species

Xiaoyang Lu,Shu Yang,Qixiong Lu,Yuansheng Zhang,Zaihong Cha,Wei Huang,Tao Li

In vivo (Athens, Greece) 38:1162-1169 PubMed38688607

2024

The Effect of Propofol on the Hippocampus in Chronic Cerebral Hypoxia in a Rat Model Through Klotho Regulation.

Applications

Unspecified application

Species

Unspecified reactive species

Hengchang Ren,Min Zhu,Hongli Yu,Yiqi Weng,Wenli Yu

Journal of virology 98:e0031724 PubMed38624231

2024

NS7a of SADS-CoV promotes viral infection via inducing apoptosis to suppress type III interferon production.

Applications

Unspecified application

Species

Unspecified reactive species

Xiaowei Wang,Wenjing Qiu,Guangli Hu,Xiaoyuan Diao,Yunfei Li,Yue Li,Peng Li,Yufang Liu,Yongtong Feng,Chunyi Xue,Yongchang Cao,Zhichao Xu

Cells 13: PubMed38534392

2024

Eye Drop with Fas-Blocking Peptide Attenuates Age-Related Macular Degeneration.

Applications

Unspecified application

Species

Unspecified reactive species

Yujong Yi,Seon-Hong Pyun,Chae-Yeon Kim,Gyeongju Yun,Eunhwa Kang,Seoyoun Heo,Irfan Ullah,Sang-Kyung Lee

Experimental and therapeutic medicine 27:145 PubMed38476905

2024

Enhancer of zeste homolog 2 facilitates phenotypic transition of vascular smooth muscle cells leading to aortic aneurysm/dissection.

Applications

Unspecified application

Species

Unspecified reactive species

Shishan Xue,Shuai Leng,Fengquan Zhang,Zhiqiao Dang,Guohai Su,Wenqian Yu
View all publications

Product promise

We are committed to supporting your work with high-quality reagents, and we're here for you every step of the way. In the unlikely event that one of our products does not perform as expected, you're protected by our Product Promise.
For full details, please see our Terms & Conditions

Please note: All products are 'FOR RESEARCH USE ONLY. NOT FOR USE IN DIAGNOSTIC OR THERAPEUTIC PROCEDURES'.

For licensing inquiries, please contact partnerships@abcam.com