JavaScript is disabled in your browser. Please enable JavaScript to view this website.
AB61755

Anti-Caspase-8 (phospho S347) antibody

Be the first to review this product! Submit a review

|

(1 Publication)

Rabbit Polyclonal Caspase-8 phospho S347 antibody. Suitable for WB, IHC-P and reacts with Human samples. Cited in 1 publication. Immunogen corresponding to Synthetic Peptide within Human CASP8 phospho S347 aa 300-400.

View Alternative Names

MCH5, CASP8, Caspase-8, CASP-8, Apoptotic cysteine protease, Apoptotic protease Mch-5, CAP4, FADD-homologous ICE/ced-3-like protease, FADD-like ICE, ICE-like apoptotic protease 5, MORT1-associated ced-3 homolog, FLICE, MACH

2 Images
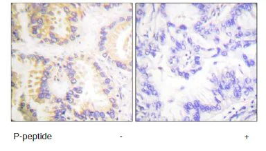
Immunohistochemistry (Formalin/PFA-fixed paraffin-embedded sections) - Anti-Caspase-8 (phospho S347) antibody (AB61755)
  • IHC-P

Unknown

Immunohistochemistry (Formalin/PFA-fixed paraffin-embedded sections) - Anti-Caspase-8 (phospho S347) antibody (AB61755)

Human lung carcinoma tissue stained with ab61755 at 1/50 dilution, with and without the immunising phosphopeptide.

Western blot - Anti-Caspase-8 (phospho S347) antibody (AB61755)
  • WB

Unknown

Western blot - Anti-Caspase-8 (phospho S347) antibody (AB61755)

All lanes:

Western blot - Anti-Caspase-8 (phospho S347) antibody (ab61755) at 1/500 dilution

Lane 1:

Jurkat cell extract treated with PMA

Lane 2:

Jurkat cell extract treated with PMA and the immunising phosphopeptide

Predicted band size: 55 kDa

Observed band size: 55 kDa

false

Key facts

Host species

Rabbit

Clonality

Polyclonal

Isotype

IgG

Carrier free

No

Reacts with

Human

Applications

IHC-P, WB

applications

Immunogen

Synthetic Peptide within Human CASP8 phospho S347 aa 300-400. The exact immunogen used to generate this antibody is proprietary information.

Q14790

Reactivity data

{ "title": "Reactivity Data", "filters": { "stats": ["", "Species", "Dilution Info", "Notes"], "tabs": { "all-applications": {"fullname" : "All Applications", "shortname": "All Applications"}, "WB" : {"fullname" : "Western blot", "shortname":"WB"}, "IHCP" : {"fullname" : "Immunohistochemistry (Formalin/PFA-fixed paraffin-embedded sections)", "shortname":"IHC-P"} }, "product-promise": { "all": "all", "testedAndGuaranteed": "tested", "guaranteed": "expected", "predicted": "predicted", "notRecommended": "not-recommended" } }, "values": { "Human": { "WB-species-checked": "testedAndGuaranteed", "WB-species-dilution-info": "1/500 - 1/1000", "WB-species-notes": "<p></p>", "IHCP-species-checked": "testedAndGuaranteed", "IHCP-species-dilution-info": "1/50 - 1/100", "IHCP-species-notes": "<p></p>" }, "Mouse": { "WB-species-checked": "predicted", "WB-species-dilution-info": "", "WB-species-notes": "", "IHCP-species-checked": "predicted", "IHCP-species-dilution-info": "", "IHCP-species-notes": "" }, "Rat": { "WB-species-checked": "predicted", "WB-species-dilution-info": "", "WB-species-notes": "", "IHCP-species-checked": "predicted", "IHCP-species-dilution-info": "", "IHCP-species-notes": "" } } }

Properties and storage information

Form
Liquid
Purification technique
Affinity purification Immunogen
Purification notes
The antibody against non-phosphopeptide was removed by chromatographyusing non-phosphopeptide corresponding to the phosphorylation site.
Storage buffer
pH: 7.4 Preservative: 0.02% Sodium azide Constituents: PBS, 50% Glycerol (glycerin, glycerine), 0.87% Sodium chloride
Shipped at conditions
Blue Ice
Appropriate short-term storage conditions
+4°C
Appropriate long-term storage conditions
-20°C
Storage information
Stable for 12 months at -20°C

Product protocols

For this product, it's our understanding that no specific protocols are required. You can visit:

Target data

Thiol protease that plays a key role in programmed cell death by acting as a molecular switch for apoptosis, necroptosis and pyroptosis, and is required to prevent tissue damage during embryonic development and adulthood (PubMed : 23516580, PubMed : 35338844, PubMed : 35446120, PubMed : 8681376, PubMed : 8681377, PubMed : 8962078, PubMed : 9006941, PubMed : 9184224). Initiator protease that induces extrinsic apoptosis by mediating cleavage and activation of effector caspases responsible for FAS/CD95-mediated and TNFRSF1A-induced cell death (PubMed : 23516580, PubMed : 35338844, PubMed : 35446120, PubMed : 8681376, PubMed : 8681377, PubMed : 8962078, PubMed : 9006941, PubMed : 9184224). Cleaves and activates effector caspases CASP3, CASP4, CASP6, CASP7, CASP9 and CASP10 (PubMed : 16916640, PubMed : 8962078, PubMed : 9006941). Binding to the adapter molecule FADD recruits it to either receptor FAS/TNFRSF6 or TNFRSF1A (PubMed : 8681376, PubMed : 8681377). The resulting aggregate called the death-inducing signaling complex (DISC) performs CASP8 proteolytic activation (PubMed : 9184224). The active dimeric enzyme is then liberated from the DISC and free to activate downstream apoptotic proteases (PubMed : 9184224). Proteolytic fragments of the N-terminal propeptide (termed CAP3, CAP5 and CAP6) are likely retained in the DISC (PubMed : 9184224). Also cleaves and activates BID, thereby promoting cytochrome C release from mitochrondria (By similarity). In addition to extrinsic apoptosis, also acts as a negative regulator of necroptosis : acts by cleaving RIPK1 at 'Asp-324', which is crucial to inhibit RIPK1 kinase activity, limiting TNF-induced apoptosis, necroptosis and inflammatory response (PubMed : 31827280, PubMed : 31827281). Also able to initiate pyroptosis by mediating cleavage and activation of gasdermin-C and -D (GSDMC and GSDMD, respectively) : gasdermin cleavage promotes release of the N-terminal moiety that binds to membranes and forms pores, triggering pyroptosis (PubMed : 32929201, PubMed : 34012073). Initiates pyroptosis following inactivation of MAP3K7/TAK1 (By similarity). Also acts as a regulator of innate immunity by mediating cleavage and inactivation of N4BP1 downstream of TLR3 or TLR4, thereby promoting cytokine production (By similarity). May participate in the Granzyme B (GZMB) cell death pathways (PubMed : 8755496). Cleaves PARP1 and PARP2 (PubMed : 8681376). Independent of its protease activity, promotes cell migration following phosphorylation at Tyr-380 (PubMed : 18216014, PubMed : 27109099).. Isoform 5. Lacks the catalytic site and may interfere with the pro-apoptotic activity of the complex.. Isoform 6. Lacks the catalytic site and may interfere with the pro-apoptotic activity of the complex.. Isoform 7. Lacks the catalytic site and may interfere with the pro-apoptotic activity of the complex (Probable). Acts as an inhibitor of the caspase cascade (PubMed : 12010809).. Isoform 8. Lacks the catalytic site and may interfere with the pro-apoptotic activity of the complex.
See full target information CASP8 phospho S347

Publications (1)

Recent publications for all applications. Explore the full list and refine your search

Nature cell biology 17:386-96 PubMed25799059

2015

The suture provides a niche for mesenchymal stem cells of craniofacial bones.

Applications

Unspecified application

Species

Unspecified reactive species

Hu Zhao,Jifan Feng,Thach-Vu Ho,Weston Grimes,Mark Urata,Yang Chai
View all publications

Product promise

We are committed to supporting your work with high-quality reagents, and we're here for you every step of the way. In the unlikely event that one of our products does not perform as expected, you're protected by our Product Promise.
For full details, please see our Terms & Conditions

Please note: All products are 'FOR RESEARCH USE ONLY. NOT FOR USE IN DIAGNOSTIC OR THERAPEUTIC PROCEDURES'.

For licensing inquiries, please contact partnerships@abcam.com