JavaScript is disabled in your browser. Please enable JavaScript to view this website.
AB32068

Anti-Caspase-9 antibody [E84]

  • 20ul selling size
  • RabMAb
  • Recombinant
  • KO Validated
  • What is this?

Be the first to review this product! Submit a review

|

(21 Publications)

Rabbit Recombinant Monoclonal Caspase-9 antibody. Suitable for IHC-P, WB and reacts with Human samples. Cited in 21 publications.

View Alternative Names

MCH6, CASP9, Caspase-9, CASP-9, Apoptotic protease Mch-6, Apoptotic protease-activating factor 3, ICE-like apoptotic protease 6, APAF-3, ICE-LAP6

4 Images
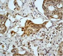
Immunohistochemistry (Formalin/PFA-fixed paraffin-embedded sections) - Anti-Caspase-9 antibody [E84] (AB32068)
  • IHC-P

Unknown

Immunohistochemistry (Formalin/PFA-fixed paraffin-embedded sections) - Anti-Caspase-9 antibody [E84] (AB32068)

Immunohistochemical analysis of paraffin-embedded human colon adenocarcinoma using anti-Pro-Caspase-9 RabMAb (ab32068).

Perform heat mediated antigen retrieval with citrate buffer pH 6 before commencing with IHC staining protocol.

Western blot - Anti-Caspase-9 antibody [E84] (AB32068)
  • WB

Unknown

Western blot - Anti-Caspase-9 antibody [E84] (AB32068)

Blocking/dilution buffer : 5% NFDM/TBST.

All lanes:

Western blot - Anti-Caspase-9 antibody [E84] (ab32068) at 1/1000 dilution

Lane 1:

Untreated HeLa (human epithelial cell line from cervix adenocarcinoma) whole cell lysate at 20 µg

Lane 2:

HeLa treated with staurosporine 1uM for 4 hours whole cell lysate at 20 µg

Secondary

All lanes:

Western blot - Goat Anti-Rabbit IgG H&L (HRP) (<a href='/en-us/products/secondary-antibodies/goat-rabbit-igg-h-l-hrp-ab97051'>ab97051</a>) at 1/20000 dilution

Predicted band size: 46 kDa

Observed band size: 35 kDa,37 kDa,46 kDa

false

Exposure time: 3min

Western blot - Anti-Caspase-9 antibody [E84] (AB32068)
  • WB

Lab

Western blot - Anti-Caspase-9 antibody [E84] (AB32068)

Lanes :
Lane 1 :
Wild-type HAP1 whole cell lysate (40 μg).
Lane 2 : CASP9 knockout HAP1 whole cell lysate (40μg).
Lane 3 : HeLa whole cell lysate (40 μg).

Lanes 1 - 3 Merged signal (red and green). Green - ab32068 observed at 45 kDa. Red - loading control, ab8245, observed at 37 kDa.

ab32068 was shown to specifically recognize CASP9 in wild-type HAP1 cells along with additional cross-reactive bands. No band was observed when CASP9 knockout samples were examined. Wild-type and CASP9 knockout samples were subjected to SDS-PAGE. ab32068 and ab8245 (Mouse anti GAPDH loading control) were incubated overnight at 4°C at 1/500 dilution and 1/10,000 dilution respectively. Blots were developed with Goat anti-Rabbit IgG H&L (IRDye® 800CW) preabsorbed ab216773 and Goat anti-Mouse IgG H&L (IRDye® 680RD) preabsorbed ab216776 secondary antibodies at 1/10,000 dilution for 1 hour at room temperature before imaging.

All lanes:

Western blot - Anti-Caspase-9 antibody [E84] (ab32068)

Predicted band size: 46 kDa

false

Western blot - Anti-Caspase-9 antibody [E84] (AB32068)
  • WB

Unknown

Western blot - Anti-Caspase-9 antibody [E84] (AB32068)

All lanes:

Western blot - Anti-Caspase-9 antibody [E84] (ab32068) at 1/2000 dilution

All lanes:

Jurkat cell lysate at 10 µg

Predicted band size: 46 kDa

Observed band size: 46 kDa

false

  • Carrier free

    Anti-Caspase-9 antibody [E84] - BSA and Azide free

Key facts

Host species

Rabbit

Clonality

Monoclonal

Clone number

E84

Isotype

IgG

Carrier free

No

Reacts with

Human

Applications

WB, IHC-P

applications

Immunogen

The exact immunogen used to generate this antibody is proprietary information.

Reactivity data

{ "title": "Reactivity Data", "filters": { "stats": ["", "Species", "Dilution Info", "Notes"], "tabs": { "all-applications": {"fullname" : "All Applications", "shortname": "All Applications"}, "IHCP" : {"fullname" : "Immunohistochemistry (Formalin/PFA-fixed paraffin-embedded sections)", "shortname":"IHC-P"}, "ICCIF" : {"fullname" : "Immunocytochemistry/ Immunofluorescence", "shortname":"ICC/IF"}, "IP" : {"fullname" : "Immunoprecipitation", "shortname":"IP"}, "WB" : {"fullname" : "Western blot", "shortname":"WB"} }, "product-promise": { "all": "all", "testedAndGuaranteed": "tested", "guaranteed": "expected", "predicted": "predicted", "notRecommended": "not-recommended" } }, "values": { "Human": { "IHCP-species-checked": "testedAndGuaranteed", "IHCP-species-dilution-info": "1/25", "IHCP-species-notes": "<p></p>", "ICCIF-species-checked": "notRecommended", "ICCIF-species-dilution-info": "", "ICCIF-species-notes": "<p></p>", "IP-species-checked": "notRecommended", "IP-species-dilution-info": "", "IP-species-notes": "<p></p>", "WB-species-checked": "testedAndGuaranteed", "WB-species-dilution-info": "1/2000", "WB-species-notes": "<p></p>" } } }

Product details

Species reactivity
Mouse, Rat: We have preliminary internal testing data to indicate this antibody may not react with these species.
Please contact us for more information.

Patented technology
Our RabMAb® technology is a patented hybridoma-based technology for making rabbit monoclonal antibodies. For details on our patents, please refer to RabMAb® patents.

What are the advantages of a recombinant monoclonal antibody?
This product is a recombinant monoclonal antibody, which offers several advantages including:

  • - High batch-to-batch consistency and reproducibility
  • - Improved sensitivity and specificity
  • - Long-term security of supply
  • - Animal-free batch production

For more information, read more on recombinant antibodies.

Properties and storage information

Form
Liquid
Purification technique
Affinity purification Protein A
Storage buffer
pH: 7.2 - 7.4 Preservative: 0.01% Sodium azide Constituents: PBS, 50% Glycerol (glycerin, glycerine), 0.05% BSA
Shipped at conditions
Blue Ice
Appropriate short-term storage conditions
+4°C
Appropriate long-term storage conditions
-20°C
Aliquoting information
Upon delivery aliquot
Storage information
Avoid freeze / thaw cycle

Product protocols

For this product, it's our understanding that no specific protocols are required. You can visit:

Target data

Involved in the activation cascade of caspases responsible for apoptosis execution. Binding of caspase-9 to Apaf-1 leads to activation of the protease which then cleaves and activates effector caspases caspase-3 (CASP3) or caspase-7 (CASP7). Promotes DNA damage-induced apoptosis in a ABL1/c-Abl-dependent manner. Proteolytically cleaves poly(ADP-ribose) polymerase (PARP). Cleaves BIRC6 following inhibition of BIRC6-caspase binding by DIABLO/SMAC (PubMed : 36758105, PubMed : 36758106).. Isoform 2. Lacks activity is an dominant-negative inhibitor of caspase-9.
See full target information CASP9

Publications (21)

Recent publications for all applications. Explore the full list and refine your search

British journal of pharmacology 182:3923-3951 PubMed40344208

2025

A mitochondria-targeting and G-quadruplex structure-binding ligand inducing calcium overload and ferroptosis in human cancer cells.

Applications

Unspecified application

Species

Unspecified reactive species

Bo-Xin Zheng,Wei Long,Yao-Xun Zeng,Meng-Ting She,Yingying Zheng,Wen-De Zheng,Ya-Kun Wang,Ka-Hin Chan,Alan Siu-Lun Leung,Chun-Ming Chan,Yu-Jing Lu,Wing-Leung Wong

Cancer communications (London, England) 44:408-432 PubMed38407943

2024

Targeting autophagy overcomes cancer-intrinsic resistance to CAR-T immunotherapy in B-cell malignancies.

Applications

Unspecified application

Species

Unspecified reactive species

Lu Tang,Huan Zhang,Fen Zhou,Qiuzhe Wei,Mengyi Du,Jianghua Wu,Chenggong Li,Wenjing Luo,Jie Zhou,Xindi Wang,Zhaozhao Chen,Yinqiang Zhang,Zhongpei Huang,Zhuolin Wu,Yuxi Wen,Huiwen Jiang,Danying Liao,Haiming Kou,Wei Xiong,Heng Mei,Yu Hu

Experimental and therapeutic medicine 25:259 PubMed37153902

2023

Diosgenin alleviates the inflammatory damage and insulin resistance in high glucose‑induced podocyte cells via the AMPK/SIRT1/NF‑κB signaling pathway.

Applications

Unspecified application

Species

Unspecified reactive species

Haoyu Yuan,Huacheng Sui,Saimei Li

Oncology reports 48: PubMed35730618

2022

induces growth inhibition and autophagy‑related apoptosis by regulating the AMPK and Akt/mTOR/p70S6K signaling pathways in cancer cells.

Applications

Unspecified application

Species

Unspecified reactive species

Weixiao An,Yuxi Zhang,Honglin Lai,Yangyang Zhang,Hongmei Zhang,Ge Zhao,Minghua Liu,Yang Li,Xiukun Lin,Shousong Cao

Bioengineered 12:6070-6082 PubMed34488535

2021

Liquiritigenin exerts the anti-cancer role in oral cancer via inducing autophagy-related apoptosis through PI3K/AKT/mTOR pathway inhibition and .

Applications

Unspecified application

Species

Unspecified reactive species

Yingchen Ji,Weiwei Hu,Yan Jin,Huiming Yu,Jin Fang

Artificial cells, nanomedicine, and biotechnology 47:1758-1765 PubMed31062616

2019

Salidroside mitigates hydrogen peroxide-induced injury by enhancement of microRNA-27a in human trabecular meshwork cells.

Applications

Unspecified application

Species

Unspecified reactive species

Jun Zhao,Xiujuan Du,Meng Wang,Peiyao Yang,Juanmei Zhang

Molecular and cellular biochemistry 456:63-72 PubMed30644017

2019

Lidocaine alleviates cytotoxicity-resistance in lung cancer A549/DDP cells via down-regulation of miR-21.

Applications

Unspecified application

Species

Unspecified reactive species

Qing Yang,Zhi Zhang,Haixia Xu,Chuangen Ma

Experimental and molecular pathology 106:109-115 PubMed30594603

2018

Lycium barbarum polysaccharides alleviate hydrogen peroxide-induced injury by up-regulation of miR-4295 in human trabecular meshwork cells.

Applications

Unspecified application

Species

Unspecified reactive species

Yuxia Liu,Yan Zhang

International journal of immunopathology and pharmacology 32:2058738418814341 PubMed30477356

2018

Kaempferol inhibits proliferation, migration, and invasion of liver cancer HepG2 cells by down-regulation of microRNA-21.

Applications

Unspecified application

Species

Unspecified reactive species

Genglong Zhu,Xialei Liu,Haijing Li,Yang Yan,Xiaopeng Hong,Zhidong Lin

Molecules and cells 41:401-412 PubMed29754474

2018

Oxymatrine Causes Hepatotoxicity by Promoting the Phosphorylation of JNK and Induction of Endoplasmic Reticulum Stress Mediated by ROS in LO2 Cells.

Applications

Unspecified application

Species

Unspecified reactive species

Li-Li Gu,Zhe-Lun Shen,Yang-Lei Li,Yi-Qi Bao,Hong Lu
View all publications

Product promise

We are committed to supporting your work with high-quality reagents, and we're here for you every step of the way. In the unlikely event that one of our products does not perform as expected, you're protected by our Product Promise.
For full details, please see our Terms & Conditions

Please note: All products are 'FOR RESEARCH USE ONLY. NOT FOR USE IN DIAGNOSTIC OR THERAPEUTIC PROCEDURES'.

For licensing inquiries, please contact partnerships@abcam.com