JavaScript is disabled in your browser. Please enable JavaScript to view this website.
AB247220

Anti-Caspase-9 antibody [E84] - BSA and Azide free

Be the first to review this product! Submit a review

|

(1 Publication)

Rabbit Recombinant Monoclonal Caspase-9 antibody. Carrier free. Suitable for IHC-P, WB and reacts with Human samples. Cited in 1 publication.

View Alternative Names

MCH6, CASP9, Caspase-9, CASP-9, Apoptotic protease Mch-6, Apoptotic protease-activating factor 3, ICE-like apoptotic protease 6, APAF-3, ICE-LAP6

4 Images
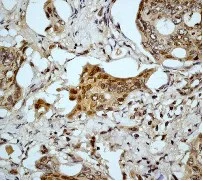
Immunohistochemistry (Formalin/PFA-fixed paraffin-embedded sections) - Anti-Caspase-9 antibody [E84] - BSA and Azide free (AB247220)
  • IHC-P

Unknown

Immunohistochemistry (Formalin/PFA-fixed paraffin-embedded sections) - Anti-Caspase-9 antibody [E84] - BSA and Azide free (AB247220)

This data was developed using ab32068, the same antibody clone in a different buffer formulation.

Immunohistochemical analysis of paraffin-embedded human colon adenocarcinoma using anti-Pro-Caspase-9 RabMAb (ab32068).

Perform heat mediated antigen retrieval with citrate buffer pH 6 before commencing with IHC staining protocol.

Western blot - Anti-Caspase-9 antibody [E84] - BSA and Azide free (AB247220)
  • WB

Unknown

Western blot - Anti-Caspase-9 antibody [E84] - BSA and Azide free (AB247220)

This data was developed using ab32068, the same antibody clone in a different buffer formulation.

Blocking and dilution buffer : 5% NFDM/TBST.

All lanes:

Western blot - Anti-Caspase-9 antibody [E84] (<a href='/en-us/products/primary-antibodies/caspase-9-antibody-e84-ab32068'>ab32068</a>) at 1/1000 dilution

Lane 1:

Untreated HeLa (human epithelial cell line from cervix adenocarcinoma) whole cell lysate at 20 µg

Lane 2:

HeLa treated with staurosporine 1uM for 4 hours whole cell lysate at 20 µg

Secondary

All lanes:

Western blot - Goat Anti-Rabbit IgG H&L (HRP) (<a href='/en-us/products/secondary-antibodies/goat-rabbit-igg-h-l-hrp-ab97051'>ab97051</a>) at 1/20000 dilution

Predicted band size: 46 kDa

Observed band size: 35 kDa,37 kDa,46 kDa

false

Exposure time: 3min

Western blot - Anti-Caspase-9 antibody [E84] - BSA and Azide free (AB247220)
  • WB

Lab

Western blot - Anti-Caspase-9 antibody [E84] - BSA and Azide free (AB247220)

This data was developed using ab32068, the same antibody clone in a different buffer formulation.

Lane 1 : Wild-type HAP1 whole cell lysate (40 μg).

Lane 2 : CASP9 knockout HAP1 whole cell lysate (40μg).

Lane 3 : HeLa whole cell lysate (40 μg).

Lanes 1 - 3 : Merged signal (red and green). Green - ab32068 observed at 45 kDa. Red - loading control, ab8245, observed at 37 kDa.

ab32068 was shown to specifically recognize CASP9 in wild-type HAP1 cells along with additional cross-reactive bands. No band was observed when CASP9 knockout samples were examined. Wild-type and CASP9 knockout samples were subjected to SDS-PAGE. ab32068 and ab8245 (Mouse anti GAPDH loading control) were incubated overnight at 4°C at 1/500 dilution and 1/10,000 dilution respectively. Blots were developed with Goat anti-Rabbit IgG H&L (IRDye® 800CW) preabsorbed ab216773 and Goat anti-Mouse IgG H&L (IRDye® 680RD) preabsorbed ab216776 secondary antibodies at 1/10,000 dilution for 1 hour at room temperature before imaging.

All lanes:

Western blot - Anti-Caspase-9 antibody [E84] (<a href='/en-us/products/primary-antibodies/caspase-9-antibody-e84-ab32068'>ab32068</a>)

Predicted band size: 46 kDa

false

Western blot - Anti-Caspase-9 antibody [E84] - BSA and Azide free (AB247220)
  • WB

Unknown

Western blot - Anti-Caspase-9 antibody [E84] - BSA and Azide free (AB247220)

This data was developed using ab32068, the same antibody clone in a different buffer formulation.

All lanes:

Western blot - Anti-Caspase-9 antibody [E84] (<a href='/en-us/products/primary-antibodies/caspase-9-antibody-e84-ab32068'>ab32068</a>) at 1/2000 dilution

All lanes:

Jurkat cell lysate at 10 µg

Predicted band size: 46 kDa

Observed band size: 46 kDa

false

Key facts

Host species

Rabbit

Clonality

Monoclonal

Clone number

E84

Isotype

IgG

Carrier free

Yes

Reacts with

Human

Applications

WB, IHC-P

applications

Immunogen

The exact immunogen used to generate this antibody is proprietary information.

Reactivity data

{ "title": "Reactivity Data", "filters": { "stats": ["", "Species", "Dilution Info", "Notes"], "tabs": { "all-applications": {"fullname" : "All Applications", "shortname": "All Applications"}, "IHCP" : {"fullname" : "Immunohistochemistry (Formalin/PFA-fixed paraffin-embedded sections)", "shortname":"IHC-P"}, "ICCIF" : {"fullname" : "Immunocytochemistry/ Immunofluorescence", "shortname":"ICC/IF"}, "IP" : {"fullname" : "Immunoprecipitation", "shortname":"IP"}, "WB" : {"fullname" : "Western blot", "shortname":"WB"} }, "product-promise": { "all": "all", "testedAndGuaranteed": "tested", "guaranteed": "expected", "predicted": "predicted", "notRecommended": "not-recommended" } }, "values": { "Human": { "IHCP-species-checked": "testedAndGuaranteed", "IHCP-species-dilution-info": "", "IHCP-species-notes": "<p></p>", "ICCIF-species-checked": "notRecommended", "ICCIF-species-dilution-info": "", "ICCIF-species-notes": "<p></p>", "IP-species-checked": "notRecommended", "IP-species-dilution-info": "", "IP-species-notes": "<p></p>", "WB-species-checked": "testedAndGuaranteed", "WB-species-dilution-info": "", "WB-species-notes": "<p></p>" } } }

Product details

ab247220 is the carrier-free version of ab32068.

Species reactivity
Mouse, Rat: We have preliminary internal testing data to indicate this antibody may not react with these species.
Please contact us for more information.

Patented technology
Our RabMAb® technology is a patented hybridoma-based technology for making rabbit monoclonal antibodies. For details on our patents, please refer to RabMAb® patents.

What are the advantages of a recombinant monoclonal antibody?
This product is a recombinant monoclonal antibody, which offers several advantages including:

  • - High batch-to-batch consistency and reproducibility
  • - Improved sensitivity and specificity
  • - Long-term security of supply
  • - Animal-free batch production

For more information, read more on recombinant antibodies.

Conjugation ready
Our carrier-free antibodies are typically supplied in a PBS-only formulation, purified and free of BSA, sodium azide and glycerol. This conjugation-ready format is designed for use with fluorochromes, metal isotopes, oligonucleotides, and enzymes, which makes them ideal for antibody labelling, functional and cell-based assays, flow-based assays (e.g. mass cytometry) and Multiplex Imaging applications.

Use our conjugation kits for antibody conjugates that are ready-to-use in as little as 20 minutes with 1 minute hands-on-time and 100% antibody recovery: available for fluorescent dyes, HRP, biotin and gold.

Compatibility
This product is compatible with the Maxpar® Antibody Labeling Kit from Fluidigm, without the need for antibody preparation. Maxpar® is a trademark of Fluidigm Canada Inc.

Properties and storage information

Form
Liquid
Purification technique
Affinity purification Protein A
Storage buffer
pH: 7.2 - 7.4 Constituents: PBS
Shipped at conditions
Blue Ice
Appropriate short-term storage conditions
+4°C
Appropriate long-term storage conditions
+4°C
Storage information
Do Not Freeze

Product protocols

For this product, it's our understanding that no specific protocols are required. You can visit:

Target data

Involved in the activation cascade of caspases responsible for apoptosis execution. Binding of caspase-9 to Apaf-1 leads to activation of the protease which then cleaves and activates effector caspases caspase-3 (CASP3) or caspase-7 (CASP7). Promotes DNA damage-induced apoptosis in a ABL1/c-Abl-dependent manner. Proteolytically cleaves poly(ADP-ribose) polymerase (PARP). Cleaves BIRC6 following inhibition of BIRC6-caspase binding by DIABLO/SMAC (PubMed : 36758105, PubMed : 36758106).. Isoform 2. Lacks activity is an dominant-negative inhibitor of caspase-9.
See full target information CASP9

Publications (1)

Recent publications for all applications. Explore the full list and refine your search

Frontiers in cell and developmental biology 13:1617737 PubMed40746860

2025

Epiplakin expression is lost in psoriatic skin lesions and is downregulated by IFN-γ in skin cultures.

Applications

Unspecified application

Species

Unspecified reactive species

Hannes Kühtreiber,Corinne Drexler,Melanie Salek,Lisa Auer,Johannes Griss,Michael Mildner,Peter Fuchs
View all publications

Product promise

We are committed to supporting your work with high-quality reagents, and we're here for you every step of the way. In the unlikely event that one of our products does not perform as expected, you're protected by our Product Promise.
For full details, please see our Terms & Conditions

Please note: All products are 'FOR RESEARCH USE ONLY. NOT FOR USE IN DIAGNOSTIC OR THERAPEUTIC PROCEDURES'.

For licensing inquiries, please contact partnerships@abcam.com