JavaScript is disabled in your browser. Please enable JavaScript to view this website.
AB202068

Anti-Caspase-9 antibody [EPR18107]

  • 20ul selling size
  • RabMAb
  • Recombinant
  • KO Validated
  • What is this?

5

(4 Reviews)

|

(150 Publications)

Anti-Caspase-9 antibody [EPR18107] (ab202068) is a rabbit monoclonal antibody detecting Caspase-9 in Western Blot, IP, IHC-P, ICC/IF. Suitable for Human, Mouse.

- KO validated for confirmed specificity
- Biophysical QC for unrivalled batch-batch consistency
- Over 110 publications

View Alternative Names

MCH6, CASP9, Caspase-9, CASP-9, Apoptotic protease Mch-6, Apoptotic protease-activating factor 3, ICE-like apoptotic protease 6, APAF-3, ICE-LAP6

11 Images
Immunocytochemistry/ Immunofluorescence - Anti-Caspase-9 antibody [EPR18107] (AB202068)
  • ICC/IF

Lab

Immunocytochemistry/ Immunofluorescence - Anti-Caspase-9 antibody [EPR18107] (AB202068)

Immunofluorescent analysis of 4% paraformaldehyde-fixed, 0.1% Triton X-100 permeabilized HeLa (Human epithelial cells from cervix adenocarcinoma) cells labeling Caspase-9 with ab202068 at 1/500 dilution, followed by Goat anti-rabbit IgG (Alexa Fluor® 488) (ab150077) secondary antibody at 1/500 dilution (green).

Confocal image showing cytoplasmic and nuclear staining on HeLa cell line. The expression increased after treatment with staurosporine (1uM) for 4 hours.

The nuclear counter stain is DAPI (blue). Tubulin is detected with ab7291 (anti-Tubulin mouse mAb) at 1/1000 dilution and ab150120 (AlexaFluor®594 Goat anti-Mouse secondary) at 1/500 dilution (red).

The negative controls are as follows :
-ve control 1 : ab202067 at 1/500 dilution followed by ab150120 (AlexaFluor®594 Goat anti-Mouse secondary) at 1/500 dilution.
-ve control 2 : ab7291 (anti-Tubulin mouse mAb) at 1/1000 dilution followed by ab150077 (Alexa Fluor®488 Goat Anti-Rabbit IgG H&L) at 1/500 dilution.

Immunohistochemistry (Formalin/PFA-fixed paraffin-embedded sections) - Anti-Caspase-9 antibody [EPR18107] (AB202068)
  • IHC-P

Supplier Data

Immunohistochemistry (Formalin/PFA-fixed paraffin-embedded sections) - Anti-Caspase-9 antibody [EPR18107] (AB202068)

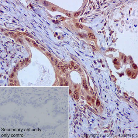
Immunohistochemical analysis of paraffin-embedded Human cervix carcinoma tissue labeling Caspase-9 with ab202068 at 1/300 dilution, followed by Goat Anti-Rabbit IgG H&L (HRP) (ab97051) secondary antibody at 1/500 dilution.

Cytoplasmic and nuclear staining on Human cervix carcinoma tissue is observed.

Counter stained with Hematoxylin.

Secondary antibody only control : Used PBS instead of primary antibody, secondary antibody is Goat Anti-Rabbit IgG H&L (HRP) (ab97051) at 1/500 dilution.

Perform heat mediated antigen retrieval with Tris/EDTA buffer pH 9.0 before commencing with IHC staining protocol.

Immunoprecipitation - Anti-Caspase-9 antibody [EPR18107] (AB202068)
  • IP

Supplier Data

Immunoprecipitation - Anti-Caspase-9 antibody [EPR18107] (AB202068)

Caspase-9 was immunoprecipitated from 1mg of HeLa (Human epithelial cells from cervix adenocarcinoma) treated with staurosporine 1uM for 4 hours whole cell lysate with ab202068 at 1/80 dilution.

Western blot was performed from the immunoprecipitate using ab202068 at 1/1000 dilution.

Anti-Rabbit IgG (HRP), specific to the non-reduced form of IgG was used as secondary antibody at 1/1500 dilution.

Lane 1 : HeLa treated with staurosporine 1uM for 4 hours whole cell lysate10 μg (Input).

Lane 2 : ab202068 IP in HeLa treated with staurosporine 1uM for 4 hours whole cell lysate.

Lane 3 : Rabbit monoclonal IgG (ab172730) instead of ab202068 in HeLa treated with staurosporine 1uM for 4 hours whole cell lysate.
Blocking and dilution buffer and concentration : 5% NFDM/TBST.

Exposure time : 3 seconds.

All lanes:

Immunoprecipitation - Anti-Caspase-9 antibody [EPR18107] (ab202068)

Predicted band size: 46 kDa

false

Western blot - Anti-Caspase-9 antibody [EPR18107] (AB202068)
  • WB

Lab

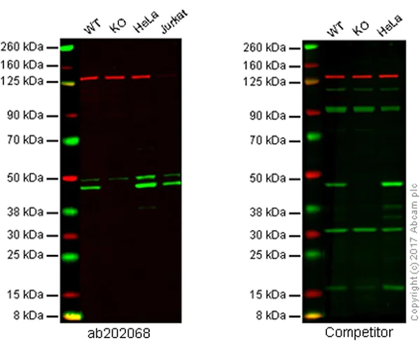
Western blot - Anti-Caspase-9 antibody [EPR18107] (AB202068)

Lane 1 : Wild-type HAP1 cell lysate (20 μg)
Lane 2 : Caspase-9 knockout HAP1 cell lysate (20 μg)
Lane 3 : HeLa cell lysate (20 μg)
Lane 4 : Jurkat cell lysate (20 μg)
Lanes 1 - 4 : Merged signal (red and green).

Green - target observed at 46 kDa. Red - loading control, ab8245, observed at 37 kDa.

This western blot image is a comparison between ab202068 and a competitor's top cited rabbit polyclonal antibody.

All lanes:

Western blot - Anti-Caspase-9 antibody [EPR18107] (ab202068)

Predicted band size: 46 kDa

false

Western blot - Anti-Caspase-9 antibody [EPR18107] (AB202068)
  • WB

Lab

Western blot - Anti-Caspase-9 antibody [EPR18107] (AB202068)

Lane 1 : Wild-type HAP1 cell lysate (20 μg)
Lane 2 : Caspase-9 knockout HAP1 cell lysate (20 μg)
Lane 3 : HeLa cell lysate (20 μg)
Lane 4 : Jurkat cell lysate (20 μg)
Lanes 1 - 4 : Merged signal (red and green). Green - ab202068 observed at 46 kDa. Red - loading control, ab8245, observed at 37 kDa.
ab202068 was shown to recognize Caspase-9 when Caspase-9 knockout samples were used, along with additional cross-reactive bands. Wild-type and Caspase-9 knockout samples were subjected to SDS-PAGE. ab202068 and ab8245 (loading control to GAPDH) were diluted at 1/2000 and 1/10 000 respectively and incubated overnight at 4°C. Blots were developed withGoat anti-Rabbit IgG H&L (IRDy 800CW) preadsorbed (ab216773) and Goat anti-Mouse IgG H&L (IRDye® 680RD) preadsorbed (ab216776) secondary antibodies at 1/10,000 dilution for 1 h at room temperature before imaging.

All lanes:

Western blot - Anti-Caspase-9 antibody [EPR18107] (ab202068)

Predicted band size: 46 kDa

false

Western blot - Anti-Caspase-9 antibody [EPR18107] (AB202068)
  • WB

Lab

Western blot - Anti-Caspase-9 antibody [EPR18107] (AB202068)

False colour image of Western blot : Anti-Caspase-9 antibody [EPR18107] staining at 1/2000 dilution, shown in green; Mouse anti-CANX [CANX/1543] (ab238078) loading control staining at 1/20000 dilution, shown in red. In Western blot, ab202068 was shown to bind specifically to Caspase-9. A band was observed at 45 kDa in wild-type THP-1 cell lysates with no signal observed at this size in CASP9 knockout cell line ab276122 (knockout cell lysate ab284219). To generate this image, wild-type and CASP9 knockout THP-1 cell lysates were analysed. First, samples were run on an SDS-PAGE gel then transferred onto a nitrocellulose membrane. Membranes were blocked in 3 % milk in TBS-0.1 % Tween® 20 (TBS-T) before incubation with primary antibodies overnight at 4 °C. Blots were washed four times in TBS-T, incubated with secondary antibodies for 1 h at room temperature, washed again four times then imaged. Secondary antibodies used were Goat anti-Rabbit IgG H&L (IRDye® 800CW) preabsorbed (ab216773) and Goat anti-Mouse IgG H&L (IRDye® 680RD) preabsorbed (ab216776) at 1/20000 dilution.

All lanes:

Western blot - Anti-Caspase-9 antibody [EPR18107] (ab202068) at 1/2000 dilution

Lane 1:

Wild-type THP-1 cell lysate at 20 µg

Lane 2:

CASP9 knockout THP-1 cell lysate at 20 µg

Lane 2:

Western blot - Human CASP9 knockout THP-1 cell line (<a href='/en-us/products/cell-lines/human-casp9-knockout-thp-1-cell-line-ab276122'>ab276122</a>)

Lane 3:

HeLa cell lysate at 20 µg

Predicted band size: 46 kDa

Observed band size: 45 kDa

false

Western blot - Anti-Caspase-9 antibody [EPR18107] (AB202068)
  • WB

Supplier Data

Western blot - Anti-Caspase-9 antibody [EPR18107] (AB202068)

Blocking/Dilution buffer : 5% NFDM/TBST.

All lanes:

Western blot - Anti-Caspase-9 antibody [EPR18107] (ab202068) at 1/2000 dilution

Lane 1:

Human fetal kidney lysate at 10 µg

Lane 2:

Human fetal liver lysate at 10 µg

Secondary

All lanes:

Goat Anti-Rabbit IgG, (H+L), Peroxidase conjugated at 1/1000 dilution

Predicted band size: 46 kDa

Observed band size: 46 kDa

false

Exposure time: 30s

Western blot - Anti-Caspase-9 antibody [EPR18107] (AB202068)
  • WB

Supplier Data

Western blot - Anti-Caspase-9 antibody [EPR18107] (AB202068)

Blocking/Dilution buffer : 5% NFDM/TBST.

All lanes:

Western blot - Anti-Caspase-9 antibody [EPR18107] (ab202068) at 1/2000 dilution

Lane 1:

Human fetal brain lysate at 10 µg

Lane 2:

Human fetal heart lysate at 10 µg

Secondary

All lanes:

Goat Anti-Rabbit IgG, (H+L), Peroxidase conjugated at 1/1000 dilution

Predicted band size: 46 kDa

Observed band size: 46 kDa

false

Exposure time: 3min

Western blot - Anti-Caspase-9 antibody [EPR18107] (AB202068)
  • WB

Lab

Western blot - Anti-Caspase-9 antibody [EPR18107] (AB202068)

Blocking/Dilution buffer : 5% NFDM/TBST.

All lanes:

Western blot - Anti-Caspase-9 antibody [EPR18107] (ab202068) at 1/50000 dilution

Lane 1:

Untreated HeLa (human epithelial cells from cervix adenocarcinoma) whole cell lysate at 10 µg

Lane 2:

HeLa (human epithelial cells from cervix adenocarcinoma) treated with staurosporine 1 µM for 4 hours whole cell lysate at 20 µg

Secondary

All lanes:

Western blot - Goat Anti-Rabbit IgG H&L (HRP) (<a href='/en-us/products/secondary-antibodies/goat-rabbit-igg-h-l-hrp-ab97051'>ab97051</a>) at 1/20000 dilution

Predicted band size: 46 kDa

Observed band size: 35 kDa,37 kDa,46 kDa

false

Western blot - Anti-Caspase-9 antibody [EPR18107] (AB202068)
  • WB

Supplier Data

Western blot - Anti-Caspase-9 antibody [EPR18107] (AB202068)

Blocking/Dilution buffer : 5% NFDM/TBST.

All lanes:

Western blot - Anti-Caspase-9 antibody [EPR18107] (ab202068) at 1/10000 dilution

Lane 1:

Untreated C2C12 (Mouse myoblast cell line) whole cell lysate at 10 µg

Lane 2:

C2C12 (Mouse myoblast cell line) treated with staurosporine 1uM for 4 hours whole cell lysate at 10 µg

Secondary

All lanes:

Goat Anti-Rabbit IgG, (H+L),Peroxidase conjugated at 1/1000 dilution

Predicted band size: 46 kDa

Observed band size: 37 kDa,39 kDa,46 kDa

false

Exposure time: 3min

Western blot - Anti-Caspase-9 antibody [EPR18107] (AB202068)
  • WB

CiteAb

Western blot - Anti-Caspase-9 antibody [EPR18107] (AB202068)

Caspase-9 western blot using anti-Caspase-9 antibody [EPR18107] ab202068. Publication image and figure legend from Mesmar, F., Dai, B., et al., 2019, Cancer Med, PubMed 31568691.

ab202068 was used in this publication in western blot. This may not be the same as the application(s) guaranteed by Abcam. For a full list of applications guaranteed by Abcam for ab202068 please see the product overview.

GPER1 mediates anti-proliferative effects in pancreatic cancer. A, GPER1 agonist (G1, 2 μmol/L) reduces cell proliferation of both cell lines (MTT assay, 72 h), which is attenuated upon addition of GPER1 antagonist (G15). B, G1 induces PARP, caspase 3, and caspase 9 cleavage in both MiaPaCa2 and PANC1. C, Propidium iodide (PI) and Annexin V staining demonstrate apoptosis in PANC1 cells after G1 treatment (2 μmol/L, 48 h). Error bar represents SEM and unpaired two-tailed t test was used to test significance (*P < .05, **P < .01, ***P < .001)

false

  • Carrier free

    Anti-Caspase-9 antibody [EPR18107] - BSA and Azide free

Key facts

Host species

Rabbit

Clonality

Monoclonal

Clone number

EPR18107

Isotype

IgG

Carrier free

No

Reacts with

Mouse, Human

Applications

IHC-P, IP, ICC/IF, WB

applications

Immunogen

The exact immunogen used to generate this antibody is proprietary information.

Reactivity data

{ "title": "Reactivity Data", "filters": { "stats": ["", "Species", "Dilution Info", "Notes"], "tabs": { "all-applications": {"fullname" : "All Applications", "shortname": "All Applications"}, "IP" : {"fullname" : "Immunoprecipitation", "shortname":"IP"}, "WB" : {"fullname" : "Western blot", "shortname":"WB"}, "ICCIF" : {"fullname" : "Immunocytochemistry/ Immunofluorescence", "shortname":"ICC/IF"}, "IHCP" : {"fullname" : "Immunohistochemistry (Formalin/PFA-fixed paraffin-embedded sections)", "shortname":"IHC-P"} }, "product-promise": { "all": "all", "testedAndGuaranteed": "tested", "guaranteed": "expected", "predicted": "predicted", "notRecommended": "not-recommended" } }, "values": { "Human": { "IP-species-checked": "testedAndGuaranteed", "IP-species-dilution-info": "1/80", "IP-species-notes": "<p></p>", "WB-species-checked": "testedAndGuaranteed", "WB-species-dilution-info": "1/2000", "WB-species-notes": "<p></p>", "ICCIF-species-checked": "testedAndGuaranteed", "ICCIF-species-dilution-info": "1/500", "ICCIF-species-notes": "<p></p>", "IHCP-species-checked": "testedAndGuaranteed", "IHCP-species-dilution-info": "1/300", "IHCP-species-notes": "<p></p> Perform heat-mediated antigen retrieval with Tris/EDTA buffer pH 9.0 before commencing with IHC staining protocol." }, "Mouse": { "IP-species-checked": "guaranteed", "IP-species-dilution-info": "", "IP-species-notes": "", "WB-species-checked": "testedAndGuaranteed", "WB-species-dilution-info": "1/2000", "WB-species-notes": "<p></p>", "ICCIF-species-checked": "guaranteed", "ICCIF-species-dilution-info": "", "ICCIF-species-notes": "", "IHCP-species-checked": "guaranteed", "IHCP-species-dilution-info": "", "IHCP-species-notes": "" } } }

Product details

What is this antibody validated in?
Anti-Caspase-9 antibody [EPR18107] (ab202068) is a rabbit recombinant monoclonal antibody and is validated for use in Western Blot (WB), Immunoprecipitation (IP), Immunohistochemistry (IHC-P), Immunocytochemistry/immunofluorescence (ICC/IF) in Human, Mouse samples.

What is the molecular weight of Caspase-9?
Anti-Caspase-9 [EPR18107] (ab202068) specifically detects a band for Caspase-9 (UniProt: P55211) at a molecular weight of 46kDa.

Trusted by the scientific community
Anti-Caspase-9 [EPR18107] (ab202068) was first used in a scientific publication in 2015 and has been cited over 110 times in peer-reviewed journals.

Trial sizes available!
Test your antibody or perform pre-screening before committing to a larger quantity. Sold in 10µl. Discover our selection of trial-size antibodies.

Specificity confirmed
The specificity of Anti-Caspase-9 antibody [EPR18107] (ab202068) has been confirmed by Western blot testing in CASP9 Knockout HAP1 cells.

Other related products
We have a range of other formats of antibody clone [EPR18107] also available for your convenience: ab202068, Carrier free - ab222231

Patented technology
Our RabMAb® technology is a patented hybridoma-based technology for making rabbit monoclonal antibodies. For details on our patents, please refer to RabMAb® patents.

What are the advantages of a recombinant monoclonal antibody?
This product is a recombinant monoclonal antibody, which offers several advantages including:

  • - High batch-to-batch consistency and reproducibility
  • - Improved sensitivity and specificity
  • - Long-term security of supply
  • - Animal-free batch production

For more information, read more on recombinant antibodies.

Properties and storage information

Form
Liquid
Purification technique
Affinity purification Protein A
Storage buffer
pH: 7.2 - 7.4 Preservative: 0.01% Sodium azide Constituents: PBS, 40% Glycerol (glycerin, glycerine), 0.05% BSA
Shipped at conditions
Blue Ice
Appropriate short-term storage duration
1-2 weeks
Appropriate short-term storage conditions
+4°C
Appropriate long-term storage conditions
-20°C
Aliquoting information
Upon delivery aliquot
Storage information
Avoid freeze / thaw cycle

Product protocols

For this product, it's our understanding that no specific protocols are required. You can visit:

Target data

Involved in the activation cascade of caspases responsible for apoptosis execution. Binding of caspase-9 to Apaf-1 leads to activation of the protease which then cleaves and activates effector caspases caspase-3 (CASP3) or caspase-7 (CASP7). Promotes DNA damage-induced apoptosis in a ABL1/c-Abl-dependent manner. Proteolytically cleaves poly(ADP-ribose) polymerase (PARP). Cleaves BIRC6 following inhibition of BIRC6-caspase binding by DIABLO/SMAC (PubMed : 36758105, PubMed : 36758106).. Isoform 2. Lacks activity is an dominant-negative inhibitor of caspase-9.
See full target information CASP9

Publications (150)

Recent publications for all applications. Explore the full list and refine your search

PLoS neglected tropical diseases 19:e0013443 PubMed40892762

2025

PANoptosis-mediated mechanisms underlying AST elevation in Talaromyces marneffei infection.

Applications

Unspecified application

Species

Unspecified reactive species

Wudi Wei,Baili Zhan,Lixiang Chen,Gang Wang,Xiuli Bao,Xiaotao He,Meng Zhang,Xiaoting Xie,Weihong Huang,Zhiman Xie,Junjun Jiang,Hao Liang,Li Ye

Antioxidants (Basel, Switzerland) 14: PubMed40563254

2025

Ferulic Acid Combines with Ascorbic Acid to Target MMP9 to Attenuate Cisplatin-Induced Ototoxicity Through the p38MAPK Signaling Pathway.

Applications

Unspecified application

Species

Unspecified reactive species

Guojun Yang,Na Hu,Jie Gao,Xinzhi Li,Bin Zhang,Ketao Ma

Cancer cell international 25:197 PubMed40442688

2025

Venetoclax synergizes with Wnt/β-catenin inhibitor C-82 in acute myeloid leukemia by increasing the degradation of Mcl-1 protein.

Applications

Unspecified application

Species

Unspecified reactive species

Mengya Pan,Changqing Jiao,Menghua Sun,Duo Jin,Yin Wang,Haoxuan Wu,Yan Zhang,Enbo Chen,Bobin Su,Junjie Zhou,Xiaoying Liu,Jian Ge

Discover oncology 16:826 PubMed40392374

2025

Visfatin promotes multiple myeloma cell proliferation and inhibits apoptosis by inducing IL-6 production via NF-κB pathways.

Applications

Unspecified application

Species

Unspecified reactive species

Wenting Tie,Tao Ma,Jia Liu,Zhigang Yi,Hao Xiong,Jun Bai,Yanhong Li,Lijuan Li,Liansheng Zhang

European thyroid journal 14: PubMed40198658

2025

The mammalian acid chitinase promotes oncogenic properties of thyroid cancer cells through the JAK2/STAT3 pathway.

Applications

Unspecified application

Species

Unspecified reactive species

Zhiyuan Ma,Renmin Mu,Zhengxing Zhou,Zilai Hu,Mimi Shen,Chengli Lu,Hu Wang,Chengmin Zhang,Minglin Zhang,Zhiqiang Yi,Zilin Deng,Yingying Zhao,Jiaxing Zhu,Guorong Wen,Hai Jin,Jiaxing An,Biguang Tuo,Xuemei Liu,Taolang Li

Oncology letters 29:151 PubMed39898288

2025

MicroRNA‑96 promotes the proliferation and migration of breast cancer cells by inhibiting Smad7 expression.

Applications

Unspecified application

Species

Unspecified reactive species

Xiumei Zhang,Lin Cong,Rong Yu,Qianwen Yu,Xian Hou,Yonghua Zhou

Translational pediatrics 13:2242-2253 PubMed39823004

2025

promotes cell apoptosis and cell-cycle arrest in osteosarcoma via the modulation of CDCA8/ATF3 by targeting NUSAP1.

Applications

Unspecified application

Species

Unspecified reactive species

Haoran Wang,Hanqing Wang,Zixiang Liu,Peng Wu,Rongdan Dai,Dongsheng Hong,Tomoki Nakamura,Weiwei Ren

iScience 27:111487 PubMed39759007

2025

miR-450b-5p promotes development of endometriosis by inhibiting the GABPA/HOXD10 axis.

Applications

Unspecified application

Species

Unspecified reactive species

Yi Huang,Yidan Wang,Ruiyun Li,Yongmei Liu,Yuan Yang

Molecular therapy. Oncology 32:200898 PubMed39640863

2024

Newcastle disease virus harboring the PTEN gene inhibits pancreatic cancer growth by inhibiting PI3K/AKT/mTOR signaling and activating apoptosis.

Applications

Unspecified application

Species

Unspecified reactive species

Seonhee Kim,Bo-Kyoung Jung,Jinju Kim,Joo Hee Jeon,Sung Hoon Jang,Minsoo Kim,Cuk-Seong Kim,Hyun Jang

International journal of molecular sciences 25: PubMed39519238

2024

Melittin Inhibits Colorectal Cancer Growth and Metastasis by Ac-Tivating the Mitochondrial Apoptotic Pathway and Suppressing Epithelial-Mesenchymal Transition and Angiogenesis.

Applications

Unspecified application

Species

Unspecified reactive species

Kangli Wang,Lingchen Tao,Meifei Zhu,Xinyu Yu,Yuanyuan Lu,Bin Yuan,Fuliang Hu
View all publications

Product promise

We are committed to supporting your work with high-quality reagents, and we're here for you every step of the way. In the unlikely event that one of our products does not perform as expected, you're protected by our Product Promise.
For full details, please see our Terms & Conditions

Please note: All products are 'FOR RESEARCH USE ONLY. NOT FOR USE IN DIAGNOSTIC OR THERAPEUTIC PROCEDURES'.

For licensing inquiries, please contact partnerships@abcam.com