JavaScript is disabled in your browser. Please enable JavaScript to view this website.
AB184786

Anti-Caspase-9 antibody [EPR18868]

5

(1 Review)

|

(61 Publications)

Rabbit Recombinant Monoclonal CASP9 antibody. Suitable for IP, WB and reacts with Mouse, Rat samples. Cited in 61 publications.
5 Images
Immunoprecipitation - Anti-Caspase-9 antibody [EPR18868] (AB184786)
  • IP

Supplier Data

Immunoprecipitation - Anti-Caspase-9 antibody [EPR18868] (AB184786)

Caspase 9 was immunoprecipitated from 1mg of NIH/3T3 whole cell lysate (Mouse embyro fibroblast cells) treated with 1μM staurosporine for 4h with ab184786 at 1/30 dilution. Western blot was performed from the immunoprecipitate using ab184786 at 1/1000 dilution. VeriBlot for IP Detection Reagent (HRP) (ab131366), was used for detection at 1/10000 dilution.
Lane 1 : NIH/3T3 whole cell lysate treated with 1μM staurosporine for 4h,10ug (Input).
Lane 2 : ab184786 IP in NIH/3T3 whole cell lysate treated with 1μM staurosporine for 4h.
Lane 3 : Rabbit monoclonal IgG (ab172730) instead of ab184786 in NIH/3T3 whole cell lysate treated with 1μM staurosporine for 4h.
Blocking and dilution buffer and concentration : 5% NFDM/TBST.
Exposure time : 10 seconds.

The product has better affinity to procaspase-9. The cleaved form p37 could not be observed even with 3 minutes exposure time.

All lanes:

Immunoprecipitation - Anti-Caspase-9 antibody [EPR18868] (ab184786)

Predicted band size: 46 kDa

false

Immunoprecipitation - Anti-Caspase-9 antibody [EPR18868] (AB184786)
  • IP

Supplier Data

Immunoprecipitation - Anti-Caspase-9 antibody [EPR18868] (AB184786)

Caspase 9 was immunoprecipitated from 1mg of C6 whole cell lysate (Rat glial tumor cells) treated with 1μM staurosporine for 4h with ab184786 at 1/30 dilution. Western blot was performed from the immunoprecipitate using ab184786 at 1/1000 dilution. VeriBlot for IP Detection Reagent (HRP) (ab131366), was used for detection at 1/10000 dilution.
Lane 1 : C6 whole cell lysate treated with 1μM staurosporine for 4h, 10ug (Input).
Lane 2 : ab184786 IP in C6 whole cell lysate treated with 1μM staurosporine for 4h.
Lane 3 : Rabbit monoclonal IgG (ab172730) instead of ab184786 in C6 whole cell lysate treated with 1μM staurosporine for 4h.
Blocking and dilution buffer and concentration : 5% NFDM/TBST.
Exposure time : 3 seconds.

The product has better affinity to procaspase-9. The cleaved form p37 could be observed with longer exposure time.

All lanes:

Immunoprecipitation - Anti-Caspase-9 antibody [EPR18868] (ab184786)

Predicted band size: 46 kDa

false

Western blot - Anti-Caspase-9 antibody [EPR18868] (AB184786)
  • WB

Supplier Data

Western blot - Anti-Caspase-9 antibody [EPR18868] (AB184786)

Blocking/Dilution buffer : 5% NFDM/TBST.

All lanes:

Western blot - Anti-Caspase-9 antibody [EPR18868] (ab184786) at 1/1000 dilution

Lane 1:

Untreated NIH/3T3 (Mouse embyro fibroblast cell line) whole cell lysate at 20 µg

Lane 2:

NIH/3T3 whole cell lysate treated with 1 µM staurosporine for 4 hours at 20 µg

Secondary

All lanes:

Western blot - Goat Anti-Rabbit IgG H&L (HRP) (<a href='/en-us/products/secondary-antibodies/goat-rabbit-igg-h-l-hrp-ab97051'>ab97051</a>) at 1/100000 dilution

Predicted band size: 46 kDa

Observed band size: 37 kDa,39 kDa,50 kDa

false

Exposure time: 15s

Western blot - Anti-Caspase-9 antibody [EPR18868] (AB184786)
  • WB

Supplier Data

Western blot - Anti-Caspase-9 antibody [EPR18868] (AB184786)

Blocking/Dilution buffer : 5% NFDM/TBST.

All lanes:

Western blot - Anti-Caspase-9 antibody [EPR18868] (ab184786) at 1/1000 dilution

Lane 1:

Mouse brain lysate at 10 µg

Lane 2:

Mouse heart lysate at 10 µg

Lane 3:

Mouse spleen lysate at 10 µg

Lane 4:

Rat brain lysate at 10 µg

Lane 5:

Rat heart lysate at 10 µg

Secondary

All lanes:

Western blot - Goat Anti-Rabbit IgG H&L (HRP) (<a href='/en-us/products/secondary-antibodies/goat-rabbit-igg-h-l-hrp-ab97051'>ab97051</a>) at 1/100000 dilution

Predicted band size: 46 kDa

Observed band size: 37 kDa,39 kDa,50 kDa

false

Exposure time: 20s

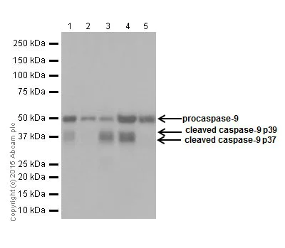
Western blot - Anti-Caspase-9 antibody [EPR18868] (AB184786)
  • WB

Supplier Data

Western blot - Anti-Caspase-9 antibody [EPR18868] (AB184786)

Blocking/Dilution buffer : 5% NFDM/TBST.

The p39 and p37 subunits were inhibited when the caspase activity was blocked by the caspase inhibitor, Z-VAD-FMK.

All lanes:

Western blot - Anti-Caspase-9 antibody [EPR18868] (ab184786) at 1/1000 dilution

Lane 1:

Untreated C6 (Rat glial tumor cells) whole cell lysate at 20 µg

Lane 2:

C6 whole cell lysate treated with 50 µm Z-VAD-FMK for 0.5 hour at 20 µg

Lane 3:

C6 whole cell lysate treated with 50 µm Z-VAD-FMK for 1 hour at 20 µg

Lane 4:

C6 whole cell lysate treated with 1 µm staurosporine for 4 hours at 20 µg

Lane 5:

C6 whole cell lysate treated with 50 µm Z-VAD-FMK for 1 hour, then treated with 1 µM staurosporine for 4 hours at 20 µg

Secondary

All lanes:

Western blot - Goat Anti-Rabbit IgG H&L (HRP) (<a href='/en-us/products/secondary-antibodies/goat-rabbit-igg-h-l-hrp-ab97051'>ab97051</a>) at 1/100000 dilution

Predicted band size: 46 kDa

Observed band size: 37 kDa,39 kDa,50 kDa

false

Exposure time: 10s

Key facts

Host species

Rabbit

Clonality

Monoclonal

Clone number

EPR18868

Isotype

IgG

Carrier free

No

Reacts with

Mouse, Rat

Applications

IP, WB

applications

Immunogen

The exact immunogen used to generate this antibody is proprietary information.

Reactivity data

{ "title": "Reactivity Data", "filters": { "stats": ["", "Species", "Dilution Info", "Notes"], "tabs": { "all-applications": {"fullname" : "All Applications", "shortname": "All Applications"}, "IP" : {"fullname" : "Immunoprecipitation", "shortname":"IP"}, "WB" : {"fullname" : "Western blot", "shortname":"WB"} }, "product-promise": { "all": "all", "testedAndGuaranteed": "tested", "guaranteed": "expected", "predicted": "predicted", "notRecommended": "not-recommended" } }, "values": { "Mouse": { "IP-species-checked": "testedAndGuaranteed", "IP-species-dilution-info": "1/30", "IP-species-notes": "<p></p>", "WB-species-checked": "testedAndGuaranteed", "WB-species-dilution-info": "1/1000", "WB-species-notes": "<p></p>" }, "Rat": { "IP-species-checked": "testedAndGuaranteed", "IP-species-dilution-info": "1/30", "IP-species-notes": "<p></p>", "WB-species-checked": "testedAndGuaranteed", "WB-species-dilution-info": "1/1000", "WB-species-notes": "<p></p>" } } }

Product details

Patented technology
Our RabMAb® technology is a patented hybridoma-based technology for making rabbit monoclonal antibodies. For details on our patents, please refer to RabMAb® patents.

What are the advantages of a recombinant monoclonal antibody?
This product is a recombinant monoclonal antibody, which offers several advantages including:

  • - High batch-to-batch consistency and reproducibility
  • - Improved sensitivity and specificity
  • - Long-term security of supply
  • - Animal-free batch production

For more information, read more on recombinant antibodies.

Properties and storage information

Form
Liquid
Purification technique
Affinity purification Protein A
Storage buffer
pH: 7.2 Preservative: 0.01% Sodium azide Constituents: PBS, 40% Glycerol (glycerin, glycerine), 0.05% BSA
Shipped at conditions
Blue Ice
Appropriate short-term storage duration
1-2 weeks
Appropriate short-term storage conditions
+4°C
Appropriate long-term storage conditions
-20°C
Aliquoting information
Upon delivery aliquot
Storage information
Avoid freeze / thaw cycle

Product protocols

For this product, it's our understanding that no specific protocols are required. You can visit:

Publications (61)

Recent publications for all applications. Explore the full list and refine your search

Frontiers in pharmacology 16:1600435 PubMed40918528

2025

Gypenoside XLIX inhibiting PI3K/AKT/FOXO1 signaling pathway mediated neuronal mitochondrial autophagy to improve patients with ischemic stroke.

Applications

Unspecified application

Species

Unspecified reactive species

Yonglei Liu,Hongdie Mao,Zhengguang Sha,Jishuai Zhao,Hui Cai,Rong Xi,Zhenzhu Zhao,Xiaoling Yin,Lin Yang,Changyun Liu

Scientific reports 15:28482 PubMed40759713

2025

The inhibitory effect of M2 macrophage-derived exosomes on gefitinib resistant lung adenocarcinoma cells through the MIF/TIMP1/CD74 axis.

Applications

Unspecified application

Species

Unspecified reactive species

Jingcui Peng,Yan Zhang,Bin Li,Xin He,Cuimin Ding,Wenxia Hu

Molecular medicine reports 32: PubMed40280112

2025

Sevoflurane: A dual modulator of miR‑211‑5p and mitochondrial apoptosis in glioma therapy.

Applications

Unspecified application

Species

Unspecified reactive species

Haili Wang,Guofang Cheng,Shuyuan Zhang,Haibo Qu,Xibo Zhao,Ailing Yang,Xuejia Sun,Hua Pan

Scientific reports 15:11698 PubMed40188200

2025

Exercise enhances cardiomyocyte mitochondrial homeostasis to alleviate left ventricular dysfunction in pressure overload induced remodelling.

Applications

Unspecified application

Species

Unspecified reactive species

Zhichao Ma,Yanling Cen,Weiwei Xun,Caiying Mou,Junwen Yu,Yarui Hu,Chen Liu,Jun Sun,Rui Bi,Yanli Qiu,Mingchao Ding,Li Jin

Frontiers in pharmacology 15:1445597 PubMed39449968

2024

Zhachong Shisanwei pill drug-containing serum protects HO-Induced PC12 cells injury by suppressing apoptosis, oxidative stress via regulating the MAPK signaling pathway.

Applications

Unspecified application

Species

Unspecified reactive species

Hanqiong Hu,Yifan Sun,Zhen Yang,Limuge Che,Mingyang Cai,Xiaoxuan Li,Xianju Huang,Hurile Bagen,Wulan Qiqige,Wuyunsiri Guleng,Liqun Ma,Haiying Tong

Pharmaceuticals (Basel, Switzerland) 17: PubMed39338354

2024

The Effect of Chronic Immunosuppressive Regimen Treatment on Apoptosis in the Heart of Rats.

Applications

Unspecified application

Species

Unspecified reactive species

Anna Surówka,Michał Żołnierczuk,Piotr Prowans,Marta Grabowska,Patrycja Kupnicka,Marta Markowska,Zbigniew Szlosser,Karolina Kędzierska-Kapuza

Heliyon 10:e36176 PubMed39224278

2024

Puerarin ameliorates high glucose-induced MIN6 cell injury by activating PINK1/Parkin-mediated mitochondrial autophagy.

Applications

Unspecified application

Species

Unspecified reactive species

Hongyang Zhu,You Yu,Yuting Li,Shiyao Chang,Yuhui Liu

Scientific reports 14:10959 PubMed38745034

2024

Magnesium implantation as a continuous hydrogen production generator for the treatment of myocardial infarction in rats.

Applications

Unspecified application

Species

Unspecified reactive species

Bin Wang,Shuang Pan,Chaoqun Nie,Rentong Zou,Jiaren Liu,Xue Han,Li Dong,Jiawen Zhang,Xinrui Yang,Mengshu Yu,Bowei Fan,Xiaojian Hong,Wei Yang

International neurourology journal 28:22-32 PubMed38569617

2024

Impact of Exercise Training on Survival Rate and Neural Cell Death in Sepsis Through the Maintenance of Redox Equilibrium.

Applications

Unspecified application

Species

Unspecified reactive species

Taewan Kim,Youngyun Jin,Jinkyung Cho,Donghyun Kim

Aging 15:15196-15212 PubMed38149979

2023

Macrophage-specific deletion of Notch-1 induced M2 anti-inflammatory effect in atherosclerosis via activation of the PI3K-oxidative stress axis.

Applications

Unspecified application

Species

Unspecified reactive species

Mingming Zhang,Xiangyong Yue,Xueping Zhao,Yonggang Lu,Hongtao Liu,Zhe Zhang,Huan Ma,Xing Wang,Hanying Xing
View all publications

Product promise

We are committed to supporting your work with high-quality reagents, and we're here for you every step of the way. In the unlikely event that one of our products does not perform as expected, you're protected by our Product Promise.
For full details, please see our Terms & Conditions

Please note: All products are 'FOR RESEARCH USE ONLY. NOT FOR USE IN DIAGNOSTIC OR THERAPEUTIC PROCEDURES'.

For licensing inquiries, please contact partnerships@abcam.com