JavaScript is disabled in your browser. Please enable JavaScript to view this website.
AB246501

Anti-Caspr antibody [EPR23439-48]

Be the first to review this product! Submit a review

|

(0 Publication)

Rabbit Recombinant Monoclonal Caspr antibody. Suitable for IHC-P, WB and reacts with Mouse, Rat, Human samples.

View Alternative Names

CASPR, NRXN4, CNTNAP1, Contactin-associated protein 1, Caspr, Caspr1, Neurexin IV, Neurexin-4, p190

4 Images
Immunohistochemistry (Formalin/PFA-fixed paraffin-embedded sections) - Anti-Caspr antibody [EPR23439-48] (AB246501)
  • IHC-P

Unknown

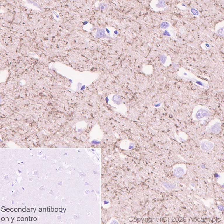
Immunohistochemistry (Formalin/PFA-fixed paraffin-embedded sections) - Anti-Caspr antibody [EPR23439-48] (AB246501)

Immunohistochemical analysis of paraffin-embedded Human cerebrum tissue labeling Caspr with ab246501 at 1/2000 dilution followed by a ready to use Rabbit specific IHC polymer detection kit HRP/DAB (ab209101). Positive staining in human cerebrum (PMID : 27488240). The section was incubated with ab246501 for 30 mins at room temperature.The immunostaining was performed on a Leica Biosystems BOND® RX instrument. Counterstained with Hematoxylin.

Secondary antibody only control : Secondary antibody is a ready to use Rabbit specific IHC polymer detection kit HRP/DAB (ab209101).

Heat mediated antigen retrieval with Citrate buffer (pH 6.0, epitope retrieval solution 1) for 20 mins.

Immunohistochemistry (Formalin/PFA-fixed paraffin-embedded sections) - Anti-Caspr antibody [EPR23439-48] (AB246501)
  • IHC-P

Unknown

Immunohistochemistry (Formalin/PFA-fixed paraffin-embedded sections) - Anti-Caspr antibody [EPR23439-48] (AB246501)

Immunohistochemical analysis of paraffin-embedded Rat cerebrum tissue labeling Caspr with ab246501 at 1/2000 dilution followed by a ready to use Rabbit specific IHC polymer detection kit HRP/DAB (ab209101). Positive staining in rat cerebrum (PMID : 27488240). The section was incubated with ab246501 for 30 mins at room temperature.The immunostaining was performed on a Leica Biosystems BOND® RX instrument. Counterstained with Hematoxylin.

Secondary antibody only control : Secondary antibody is a ready to use Rabbit specific IHC polymer detection kit HRP/DAB (ab209101).

Heat mediated antigen retrieval with Citrate buffer (pH 6.0, epitope retrieval solution 1) for 20 mins.

Immunohistochemistry (Formalin/PFA-fixed paraffin-embedded sections) - Anti-Caspr antibody [EPR23439-48] (AB246501)
  • IHC-P

Unknown

Immunohistochemistry (Formalin/PFA-fixed paraffin-embedded sections) - Anti-Caspr antibody [EPR23439-48] (AB246501)

Immunohistochemical analysis of paraffin-embedded Mouse cerebrum tissue labeling Caspr with ab246501 at 1/2000 dilution followed by a ready to use Rabbit specific IHC polymer detection kit HRP/DAB (ab209101). Positive staining in mouse cerebrum (PMID : 27488240). The section was incubated with ab246501 for 30 mins at room temperature.The immunostaining was performed on a Leica Biosystems BOND® RX instrument. Counterstained with Hematoxylin.

Secondary antibody only control : Secondary antibody is a ready to use Rabbit specific IHC polymer detection kit HRP/DAB (ab209101).

Heat mediated antigen retrieval with Citrate buffer (pH 6.0, epitope retrieval solution 1) for 20 mins

Western blot - Anti-Caspr antibody [EPR23439-48] (AB246501)
  • WB

Supplier Data

Western blot - Anti-Caspr antibody [EPR23439-48] (AB246501)

Blocking and dilution buffer : 5% NFDM/TBST.

Exposure times. Lanes : 1 & 7, 26 seconds; Lanes : 2-6, 114 seconds.

Samples are non-boiled as boiling may cause protein aggregates.

All lanes:

Western blot - Anti-Caspr antibody [EPR23439-48] (ab246501) at 1/1000 dilution

Lane 1:

HeLa (human cervix adenocarcinoma epithelial cell), whole cell lysate at 20 µg

Lane 2:

SK-N-BE (human neuroblastoma neuroblast), whole cell lysate at 20 µg

Lane 3:

H-SY5Y (human neuroblastoma epithelial cell), whole cell lysate at 20 µg

Lane 4:

U-87 MG (human glioblastoma-astrocytoma epithelial cell), whole cell lysate at 20 µg

Lane 5:

MR-32 (human neuroblastoma neuroblast), whole cell lysate at 20 µg

Lane 6:

Neuro-2a (mouse neuroblastoma neuroblast), whole cell lysate at 20 µg

Lane 7:

PC-12 (rat adrenal gland pheochromocytoma), whole cell lysate at 20 µg

Secondary

All lanes:

Western blot - Goat Anti-Rabbit IgG H&L (HRP) (<a href='/en-us/products/secondary-antibodies/goat-rabbit-igg-h-l-hrp-ab97051'>ab97051</a>) at 1/100000 dilution

Predicted band size: 156 kDa

Observed band size: 180 kDa

false

  • Carrier free

    Anti-Caspr antibody [EPR23439-48] - BSA and Azide free

Key facts

Host species

Rabbit

Clonality

Monoclonal

Clone number

EPR23439-48

Isotype

IgG

Carrier free

No

Reacts with

Mouse, Rat, Human

Applications

IHC-P, WB

applications

Immunogen

The exact immunogen used to generate this antibody is proprietary information.

Reactivity data

{ "title": "Reactivity Data", "filters": { "stats": ["", "Species", "Dilution Info", "Notes"], "tabs": { "all-applications": {"fullname" : "All Applications", "shortname": "All Applications"}, "IHCP" : {"fullname" : "Immunohistochemistry (Formalin/PFA-fixed paraffin-embedded sections)", "shortname":"IHC-P"}, "IP" : {"fullname" : "Immunoprecipitation", "shortname":"IP"}, "FlowCyt" : {"fullname" : "Flow Cytometry", "shortname":"Flow Cyt"}, "WB" : {"fullname" : "Western blot", "shortname":"WB"}, "ICCIF" : {"fullname" : "Immunocytochemistry/ Immunofluorescence", "shortname":"ICC/IF"}, "IHCFr" : {"fullname" : "Immunohistochemistry (Frozen sections)", "shortname":"IHC-Fr"} }, "product-promise": { "all": "all", "testedAndGuaranteed": "tested", "guaranteed": "expected", "predicted": "predicted", "notRecommended": "not-recommended" } }, "values": { "Human": { "IHCP-species-checked": "testedAndGuaranteed", "IHCP-species-dilution-info": "1/2000", "IHCP-species-notes": "<p></p>", "IP-species-checked": "notRecommended", "IP-species-dilution-info": "", "IP-species-notes": "<p></p>", "FlowCyt-species-checked": "notRecommended", "FlowCyt-species-dilution-info": "", "FlowCyt-species-notes": "<p></p>", "WB-species-checked": "testedAndGuaranteed", "WB-species-dilution-info": "1/1000", "WB-species-notes": "<p></p>", "ICCIF-species-checked": "notRecommended", "ICCIF-species-dilution-info": "", "ICCIF-species-notes": "<p></p>", "IHCFr-species-checked": "notRecommended", "IHCFr-species-dilution-info": "", "IHCFr-species-notes": "" }, "Mouse": { "IHCP-species-checked": "testedAndGuaranteed", "IHCP-species-dilution-info": "1/2000", "IHCP-species-notes": "<p></p>", "IP-species-checked": "notRecommended", "IP-species-dilution-info": "", "IP-species-notes": "<p></p>", "FlowCyt-species-checked": "notRecommended", "FlowCyt-species-dilution-info": "", "FlowCyt-species-notes": "", "WB-species-checked": "testedAndGuaranteed", "WB-species-dilution-info": "1/1000", "WB-species-notes": "<p></p>", "ICCIF-species-checked": "notRecommended", "ICCIF-species-dilution-info": "", "ICCIF-species-notes": "<p></p>", "IHCFr-species-checked": "notRecommended", "IHCFr-species-dilution-info": "", "IHCFr-species-notes": "<p></p>" }, "Rat": { "IHCP-species-checked": "testedAndGuaranteed", "IHCP-species-dilution-info": "1/2000", "IHCP-species-notes": "<p></p>", "IP-species-checked": "notRecommended", "IP-species-dilution-info": "", "IP-species-notes": "", "FlowCyt-species-checked": "notRecommended", "FlowCyt-species-dilution-info": "", "FlowCyt-species-notes": "", "WB-species-checked": "testedAndGuaranteed", "WB-species-dilution-info": "1/1000", "WB-species-notes": "<p></p>", "ICCIF-species-checked": "notRecommended", "ICCIF-species-dilution-info": "", "ICCIF-species-notes": "", "IHCFr-species-checked": "notRecommended", "IHCFr-species-dilution-info": "", "IHCFr-species-notes": "" } } }

Product details

Patented technology
Our RabMAb® technology is a patented hybridoma-based technology for making rabbit monoclonal antibodies. For details on our patents, please refer to RabMAb® patents.

What are the advantages of a recombinant monoclonal antibody?
This product is a recombinant monoclonal antibody, which offers several advantages including:

  • - High batch-to-batch consistency and reproducibility
  • - Improved sensitivity and specificity
  • - Long-term security of supply
  • - Animal-free batch production

For more information, read more on recombinant antibodies.

Properties and storage information

Form
Liquid
Purification technique
Affinity purification Protein A
Storage buffer
pH: 7.2 - 7.4 Preservative: 0.01% Sodium azide Constituents: PBS, 40% Glycerol (glycerin, glycerine), 0.05% BSA
Shipped at conditions
Blue Ice
Appropriate short-term storage duration
1-2 weeks
Appropriate short-term storage conditions
+4°C
Appropriate long-term storage conditions
-20°C
Aliquoting information
Upon delivery aliquot
Storage information
Avoid freeze / thaw cycle

Supplementary information

This supplementary information is collated from multiple sources and compiled automatically.

Caspr also known as contactin-associated protein 1 (CNTNAP1) is a transmembrane protein important for axonal function. It is approximately 190 kDa in size. Caspr is expressed mainly in neurons specifically at the paranodal regions of myelinated axons. This location is important for nerve impulse propagation demonstrating its structural and functional roles in the nervous system.
Biological function summary

Caspr interacts with other proteins at the paranodes forming a complex with contactin and Neurofascin 155. This complex contributes to the insulation and maintenance of the nerve's myelin sheath. By ensuring proper node of Ranvier organization Caspr supports efficient saltatory conduction. The protein's interaction within these complexes allows axons to transmit signals rapidly and accurately.

Pathways

Caspr plays an important role in the maintenance of nervous system architecture and function. It is integral to the axoglial junctions and participates in the clustering and distribution of ion channels which are essential components of the nervous system. Caspr regulates these processes by interacting with proteins such as contactin and Neurofascin facilitating the communication and signaling pathways necessary for nervous system homeostasis.

Caspr dysfunction is linked to conditions such as multiple sclerosis and hereditary neuropathies. Abnormalities in Caspr or its associated complexes can lead to myelination defects and impaired nerve transmission. The protein's involvement in these diseases often relates to its association with contactin and other neuronal proteins highlighting its significance not only in healthy nervous system function but also in pathologies that affect nerve conduction.

Product protocols

For this product, it's our understanding that no specific protocols are required. You can visit:

Target data

Required, with CNTNAP2, for radial and longitudinal organization of myelinated axons. Plays a role in the formation of functional distinct domains critical for saltatory conduction of nerve impulses in myelinated nerve fibers. Demarcates the paranodal region of the axo-glial junction. In association with contactin involved in the signaling between axons and myelinating glial cells.
See full target information CNTNAP1

Product promise

We are committed to supporting your work with high-quality reagents, and we're here for you every step of the way. In the unlikely event that one of our products does not perform as expected, you're protected by our Product Promise.
For full details, please see our Terms & Conditions

Please note: All products are 'FOR RESEARCH USE ONLY. NOT FOR USE IN DIAGNOSTIC OR THERAPEUTIC PROCEDURES'.

For licensing inquiries, please contact partnerships@abcam.com