JavaScript is disabled in your browser. Please enable JavaScript to view this website.
AB248788

Anti-Caspr2/CNTNAP2 antibody [EPR8738] - BSA and Azide free

Be the first to review this product! Submit a review

|

(1 Publication)

Rabbit Recombinant Monoclonal Caspr2/CNTNAP2 antibody. Carrier free. Suitable for IHC-P, WB and reacts with Human, Mouse, Rat samples. Cited in 1 publication.

View Alternative Names

CASPR2, KIAA0868, CNTNAP2, Contactin-associated protein-like 2, Cell recognition molecule Caspr2

7 Images
Immunohistochemistry (Formalin/PFA-fixed paraffin-embedded sections) - Anti-Caspr2/CNTNAP2 antibody [EPR8738] - BSA and Azide free (AB248788)
  • IHC-P

Lab

Immunohistochemistry (Formalin/PFA-fixed paraffin-embedded sections) - Anti-Caspr2/CNTNAP2 antibody [EPR8738] - BSA and Azide free (AB248788)

This data was developed using ab137052, the same antibody clone in a different buffer formulation.

Immunohistochemical staining of paraffin embedded human cerebral cortex with purified ab137052 at a working dilution of 1 in 2000. The secondary antibody used is a HRP goat anti-rabbit IgG (ab97051) at a dilution of 1/500. The sample is counter-stained with hematoxylin. Antigen retrieval was perfomed using Tris-EDTA buffer, pH 9.0. PBS was used instead of the primary antibody as the negative control, and is shown in the inset.

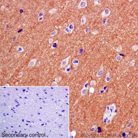
Immunohistochemistry (Formalin/PFA-fixed paraffin-embedded sections) - Anti-Caspr2/CNTNAP2 antibody [EPR8738] - BSA and Azide free (AB248788)
  • IHC-P

Unknown

Immunohistochemistry (Formalin/PFA-fixed paraffin-embedded sections) - Anti-Caspr2/CNTNAP2 antibody [EPR8738] - BSA and Azide free (AB248788)

This data was developed using ab137052, the same antibody clone in a different buffer formulation.

Immunohistochemical analysis of paraffin-embedded Human brain tissue labelling Caspr2/CNTNAP2 with unpurified ab137052 at dilution 1/250.

Perform heat mediated antigen retrieval with citrate buffer pH 6 before commencing with IHC staining protocol.

Western blot - Anti-Caspr2/CNTNAP2 antibody [EPR8738] - BSA and Azide free (AB248788)
  • WB

Lab

Western blot - Anti-Caspr2/CNTNAP2 antibody [EPR8738] - BSA and Azide free (AB248788)

This data was developed using ab137052, the same antibody clone in a different buffer formulation.

Blocking and dilution buffer : 5% NFDM/TBST.

All lanes:

Western blot - Anti-Caspr2/CNTNAP2 antibody [EPR8738] (<a href='/en-us/products/primary-antibodies/caspr2-cntnap2-antibody-epr8738-ab137052'>ab137052</a>) at 1/5000 dilution

All lanes:

Human fetal brain tissue lysate at 20 µg

Secondary

All lanes:

HRP goat anti-rabbit (H+L) at 1/1000 dilution

Predicted band size: 148 kDa

Observed band size: 152 kDa

false

Western blot - Anti-Caspr2/CNTNAP2 antibody [EPR8738] - BSA and Azide free (AB248788)
  • WB

Unknown

Western blot - Anti-Caspr2/CNTNAP2 antibody [EPR8738] - BSA and Azide free (AB248788)

This data was developed using ab137052, the same antibody clone in a different buffer formulation.

All lanes:

Western blot - Anti-Caspr2/CNTNAP2 antibody [EPR8738] (<a href='/en-us/products/primary-antibodies/caspr2-cntnap2-antibody-epr8738-ab137052'>ab137052</a>) at 1/1000 dilution

Lane 1:

Fetal brain lysate at 10 µg

Lane 2:

Human glioma lysate at 10 µg

Secondary

All lanes:

HRP labelled Goat anti-Rabbit IgG at 1/2000 dilution

Predicted band size: 148 kDa,155 kDa

Observed band size: 152 kDa,160 kDa

false

Western blot - Anti-Caspr2/CNTNAP2 antibody [EPR8738] - BSA and Azide free (AB248788)
  • WB

Lab

Western blot - Anti-Caspr2/CNTNAP2 antibody [EPR8738] - BSA and Azide free (AB248788)

This data was developed using ab137052, the same antibody clone in a different buffer formulation.

Blocking and dilution buffer : 5% NFDM/TBST.

All lanes:

Western blot - Anti-Caspr2/CNTNAP2 antibody [EPR8738] (<a href='/en-us/products/primary-antibodies/caspr2-cntnap2-antibody-epr8738-ab137052'>ab137052</a>) at 1/5000 dilution

All lanes:

Rat brain tissue lysate at 20 µg

Secondary

All lanes:

HRP goat anti-rabbit (H+L) at 1/1000 dilution

Predicted band size: 148 kDa

Observed band size: 152 kDa

false

Western blot - Anti-Caspr2/CNTNAP2 antibody [EPR8738] - BSA and Azide free (AB248788)
  • WB

Lab

Western blot - Anti-Caspr2/CNTNAP2 antibody [EPR8738] - BSA and Azide free (AB248788)

This data was developed using ab137052, the same antibody clone in a different buffer formulation.

Blocking and dilution buffer : 5% NFDM/TBST.

All lanes:

Western blot - Anti-Caspr2/CNTNAP2 antibody [EPR8738] (<a href='/en-us/products/primary-antibodies/caspr2-cntnap2-antibody-epr8738-ab137052'>ab137052</a>) at 1/5000 dilution

All lanes:

Mouse brain tissue lysate at 10 µg

Secondary

All lanes:

HRP goat anti-rabbit (H+L) at 1/1000 dilution

Predicted band size: 148 kDa

Observed band size: 152 kDa

false

Western blot - Anti-Caspr2/CNTNAP2 antibody [EPR8738] - BSA and Azide free (AB248788)
  • WB

Lab

Western blot - Anti-Caspr2/CNTNAP2 antibody [EPR8738] - BSA and Azide free (AB248788)

This data was developed using ab137052, the same antibody clone in a different buffer formulation.

Blocking and dilution buffer : 5% NFDM/TBST.

All lanes:

Western blot - Anti-Caspr2/CNTNAP2 antibody [EPR8738] (<a href='/en-us/products/primary-antibodies/caspr2-cntnap2-antibody-epr8738-ab137052'>ab137052</a>) at 1/1000 dilution

All lanes:

Human glioma tissue lysate at 20 µg

Secondary

All lanes:

HRP goat anti-rabbit (H+L) at 1/1000 dilution

Predicted band size: 148 kDa,59 kDa

Observed band size: 152 kDa,60 kDa

false

Key facts

Host species

Rabbit

Clonality

Monoclonal

Clone number

EPR8738

Isotype

IgG

Carrier free

Yes

Reacts with

Mouse, Rat, Human

Applications

WB, IHC-P

applications

Immunogen

The exact immunogen used to generate this antibody is proprietary information.

Reactivity data

{ "title": "Reactivity Data", "filters": { "stats": ["", "Species", "Dilution Info", "Notes"], "tabs": { "all-applications": {"fullname" : "All Applications", "shortname": "All Applications"}, "IHCP" : {"fullname" : "Immunohistochemistry (Formalin/PFA-fixed paraffin-embedded sections)", "shortname":"IHC-P"}, "WB" : {"fullname" : "Western blot", "shortname":"WB"}, "ICCIF" : {"fullname" : "Immunocytochemistry/ Immunofluorescence", "shortname":"ICC/IF"} }, "product-promise": { "all": "all", "testedAndGuaranteed": "tested", "guaranteed": "expected", "predicted": "predicted", "notRecommended": "not-recommended" } }, "values": { "Human": { "IHCP-species-checked": "testedAndGuaranteed", "IHCP-species-dilution-info": "", "IHCP-species-notes": "<p></p>", "WB-species-checked": "testedAndGuaranteed", "WB-species-dilution-info": "", "WB-species-notes": "<p></p>", "ICCIF-species-checked": "notRecommended", "ICCIF-species-dilution-info": "", "ICCIF-species-notes": "<p></p>" }, "Mouse": { "IHCP-species-checked": "guaranteed", "IHCP-species-dilution-info": "", "IHCP-species-notes": "<p></p>", "WB-species-checked": "guaranteed", "WB-species-dilution-info": "", "WB-species-notes": "<p></p>", "ICCIF-species-checked": "notRecommended", "ICCIF-species-dilution-info": "", "ICCIF-species-notes": "<p></p>" }, "Rat": { "IHCP-species-checked": "guaranteed", "IHCP-species-dilution-info": "", "IHCP-species-notes": "<p></p>", "WB-species-checked": "guaranteed", "WB-species-dilution-info": "", "WB-species-notes": "<p></p>", "ICCIF-species-checked": "notRecommended", "ICCIF-species-dilution-info": "", "ICCIF-species-notes": "<p></p>" } } }

Product details

ab248788 is the carrier-free version of ab137052.

Patented technology
Our RabMAb® technology is a patented hybridoma-based technology for making rabbit monoclonal antibodies. For details on our patents, please refer to RabMAb® patents.

What are the advantages of a recombinant monoclonal antibody?
This product is a recombinant monoclonal antibody, which offers several advantages including:

  • - High batch-to-batch consistency and reproducibility
  • - Improved sensitivity and specificity
  • - Long-term security of supply
  • - Animal-free batch production

For more information, read more on recombinant antibodies.

Conjugation ready
Our carrier-free antibodies are typically supplied in a PBS-only formulation, purified and free of BSA, sodium azide and glycerol. This conjugation-ready format is designed for use with fluorochromes, metal isotopes, oligonucleotides, and enzymes, which makes them ideal for antibody labelling, functional and cell-based assays, flow-based assays (e.g. mass cytometry) and Multiplex Imaging applications.

Use our conjugation kits for antibody conjugates that are ready-to-use in as little as 20 minutes with 1 minute hands-on-time and 100% antibody recovery: available for fluorescent dyes, HRP, biotin and gold.

Compatibility
This product is compatible with the Maxpar® Antibody Labeling Kit from Fluidigm, without the need for antibody preparation. Maxpar® is a trademark of Fluidigm Canada Inc.

Properties and storage information

Form
Liquid
Purification technique
Affinity purification Protein A
Storage buffer
pH: 7.2 - 7.4 Constituents: PBS
Shipped at conditions
Blue Ice
Appropriate short-term storage conditions
+4°C
Appropriate long-term storage conditions
+4°C
Storage information
Do Not Freeze

Supplementary information

This supplementary information is collated from multiple sources and compiled automatically.

Caspr2 also known as CNTNAP2 is a member of the neurexin family with a molecular mass of approximately 133 kDa. This protein extensively expresses in the nervous system and particularly locates on the axonal membrane. Caspr2 functions as a cell adhesion molecule playing a role in facilitating interactions between neurons and glial cells. Additionally Caspr2 participates in the clustering of ion channels at the nodes of Ranvier which is important for rapid action potential propagation along myelinated axons.
Biological function summary

This protein is important in maintaining the integrity of the neuronal membrane. Caspr2 works as part of a complex associating with contactin proteins to stabilize neuronal networks. It is involved in synaptic plasticity and potentially influences neuronal connectivity and communication. Through its adhesive functions Caspr2 contributes to structural frameworks that ensure proper signal transmission in the neural circuits.

Pathways

Caspr2 participates in pathways responsible for neuronal excitability and membrane potential regulation. It plays an important role within the voltage-gated potassium channel complex. Caspr2 also connects to proteins like TAG-1 forming a vital part of the complex involved in the assembly of potassium channels and ensuring efficient nerve impulse conduction. Its interaction within these pathways impacts synaptic function and cognitive processes by modulating neuronal excitability.

Caspr2 has links to epilepsy and autism spectrum disorders where disruptions in its function can lead to pathogenic outcomes. Alterations in Caspr2 expression or structure may result in impaired neuron-glial interactions contributing to neurological symptoms. It relates to contactin-associated proteins in these contexts potentially affecting the development and maintenance of neuronal structures. Understanding Caspr2’s involvement in these diseases helps in developing therapeutic strategies and antibodies such as anti-Caspr2 antibodies to modulate its activity and effects.

Product protocols

For this product, it's our understanding that no specific protocols are required. You can visit:

Target data

Required for gap junction formation (Probable). Required, with CNTNAP1, for radial and longitudinal organization of myelinated axons. Plays a role in the formation of functional distinct domains critical for saltatory conduction of nerve impulses in myelinated nerve fibers. Demarcates the juxtaparanodal region of the axo-glial junction.
See full target information CNTNAP2

Publications (1)

Recent publications for all applications. Explore the full list and refine your search

NPJ precision oncology 7:95 PubMed37723227

2023

Targeted single-cell proteomic analysis identifies new liquid biopsy biomarkers associated with multiple myeloma.

Applications

Unspecified application

Species

Unspecified reactive species

Sonia M Setayesh,Libere J Ndacayisaba,Kate E Rappard,Valerie Hennes,Luz Yurany Moreno Rueda,Guilin Tang,Pei Lin,Robert Z Orlowski,David E Symer,Elisabet E Manasanch,Stephanie N Shishido,Peter Kuhn
View all publications

Product promise

We are committed to supporting your work with high-quality reagents, and we're here for you every step of the way. In the unlikely event that one of our products does not perform as expected, you're protected by our Product Promise.
For full details, please see our Terms & Conditions

Please note: All products are 'FOR RESEARCH USE ONLY. NOT FOR USE IN DIAGNOSTIC OR THERAPEUTIC PROCEDURES'.

For licensing inquiries, please contact partnerships@abcam.com