JavaScript is disabled in your browser. Please enable JavaScript to view this website.
AB288771

Anti-CASPR3 antibody [EPR22727-102] - BSA and Azide free

  • BOND RX™ Validated
  • RabMAb
  • Recombinant
  • KO Validated
  • What is this?

Be the first to review this product! Submit a review

|

(0 Publication)

Rabbit Recombinant Monoclonal CASPR3 antibody. Carrier free. Suitable for WB, IHC-P, IHC-Fr and reacts with Mouse samples.

View Alternative Names

CASPR3, KIAA1714, CNTNAP3, Contactin-associated protein-like 3, Cell recognition molecule Caspr3

5 Images
Western blot - Anti-CASPR3 antibody [EPR22727-102] - BSA and Azide free (AB288771)
  • WB

Lab

Western blot - Anti-CASPR3 antibody [EPR22727-102] - BSA and Azide free (AB288771)

This data was developed using ab252413, the same antibody clone in a different buffer formulation.

Blocking and diluting buffer and concentration : 5% NFDM/TBST

This blot was developed using a higher sensitivity ECL substrate.

The lysates were kindly provided by Prof. Zilong Qiu, Institute of Neuroscience (ION), CAS.

Exposure time : 3 minutes

All lanes:

Western blot - Anti-CASPR3 antibody [EPR22727-102] (<a href='/en-us/products/primary-antibodies/caspr3-antibody-epr22727-102-ab252413'>ab252413</a>) at 1/1000 dilution

Lane 1:

Wild-type mouse adult prefrontal cortex tissue lysate at 20 µg

Lane 2:

CNTNAP3 knock out mouse adult prefrontal cortex tissue lysate at 20 µg

Lane 3:

Wild-type mouse adult thalamus tissue lysate at 20 µg

Lane 4:

CNTNAP3 knock out mouse adult thalamus tissue lysate at 20 µg

Secondary

All lanes:

Goat Anti-Rabbit IgG, (H+L), Peroxidase conjugated (<a href='/en-us/products/secondary-antibodies/goat-rabbit-igg-h-l-hrp-ab97051'>ab97051</a>) at 1/100000 dilution

Predicted band size: 141 kDa

Observed band size: 150 kDa

false

Immunohistochemistry (Formalin/PFA-fixed paraffin-embedded sections) - Anti-CASPR3 antibody [EPR22727-102] - BSA and Azide free (AB288771)
  • IHC-P

Supplier Data

Immunohistochemistry (Formalin/PFA-fixed paraffin-embedded sections) - Anti-CASPR3 antibody [EPR22727-102] - BSA and Azide free (AB288771)

This data was developed using ab252413, the same antibody clone in a different buffer formulation.

Immunohistochemical analysis of paraffin-embedded Mouse cerebrum tissue labelling Caspr3/CNTNAP3 with ab252413 at 1/2000 (0.274 ug/ml) followed by a ready to use Rabbit specific IHC polymer detection kit HRP/DAB (ab209101). Postive staining on mouse cerebrum (PMID : 26807827). The section was incubated with ab252413 for 30 mins at room temperature. The immunostaining was performed on a Leica Biosystems BOND® RX instrument Counterstained with Hematoxylin.

Secondary antibody only control : Secondary antibody is a ready to use Rabbit specific IHC polymer detection kit HRP/DAB (ab209101).

Heat mediated antigen retrieval with Citrate buffer (pH 6.0, epitope retrieval solution 1) for 20 mins

Immunohistochemistry (Frozen sections) - Anti-CASPR3 antibody [EPR22727-102] - BSA and Azide free (AB288771)
  • IHC-Fr

Supplier Data

Immunohistochemistry (Frozen sections) - Anti-CASPR3 antibody [EPR22727-102] - BSA and Azide free (AB288771)

This data was developed using ab252413, the same antibody clone in a different buffer formulation.

Immunohistochemical analysis of 4% PFA-fixed, 0.2% Triton X-100 permeabilized frozen Mouse cerebrum tissue labeling Caspr3/CNTNAP3 with ab252413 at 1/50 (10.94 ug/ml) dilution followed by ab150081 Goat Anti-Rabbit IgG H&L (Alexa Fluor® 488) preadsorbed at 1/1000 (2 ug/mL) dilution (Green). Positive staining on mouse cerebrum is observed. The nuclear counterstain was DAPI (Blue).

Secondary antibody control : Secondary antibody is ab150081 Goat Anti-Rabbit IgG H&L (Alexa Fluor® 488) preadsorbedat 1/1000 (2 ug/mL) dilution.

Heat mediated antigen retrieval using sodium citrate buffer (10mM citrate pH 6.0 + 0.05% Tween-20).

Western blot - Anti-CASPR3 antibody [EPR22727-102] - BSA and Azide free (AB288771)
  • WB

Lab

Western blot - Anti-CASPR3 antibody [EPR22727-102] - BSA and Azide free (AB288771)

This data was developed using ab252413, the same antibody clone in a different buffer formulation.

Blocking and diluting buffer and concentration : 5% NFDM/TBST

Exposure time : 92 seconds

All lanes:

Western blot - Anti-CASPR3 antibody [EPR22727-102] (<a href='/en-us/products/primary-antibodies/caspr3-antibody-epr22727-102-ab252413'>ab252413</a>) at 1/1000 dilution

All lanes:

Mouse P5 cerebral cortex tissue lysate at 20 µg

Secondary

All lanes:

Goat Anti-Rabbit IgG, (H+L), Peroxidase conjugated (<a href='/en-us/products/secondary-antibodies/goat-rabbit-igg-h-l-hrp-ab97051'>ab97051</a>) at 1/100000 dilution

Predicted band size: 141 kDa

Observed band size: 150 kDa

false

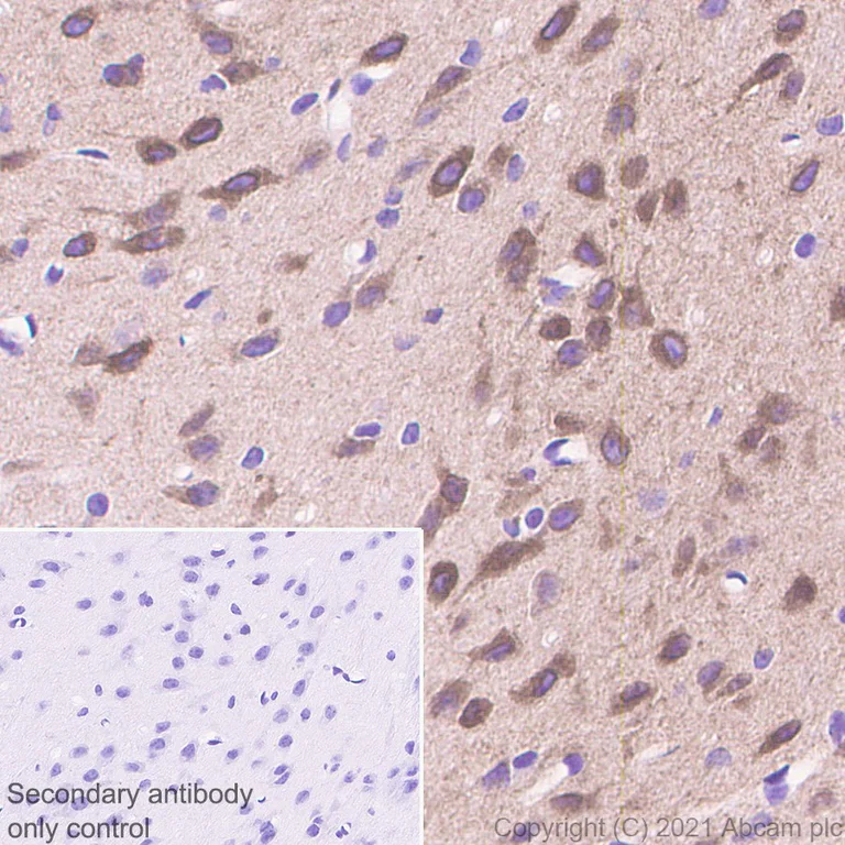
Immunohistochemistry (Formalin/PFA-fixed paraffin-embedded sections) - Anti-CASPR3 antibody [EPR22727-102] - BSA and Azide free (AB288771)
  • IHC-P

Supplier Data

Immunohistochemistry (Formalin/PFA-fixed paraffin-embedded sections) - Anti-CASPR3 antibody [EPR22727-102] - BSA and Azide free (AB288771)

This data was developed using ab252413, the same antibody clone in a different buffer formulation.

Immunohistochemical analysis of paraffin-embedded Mouse cerebrum tissue labelling Caspr3/CNTNAP3 with ab252413 at 1/2000 (0.274 ug/ml) followed by a ready to use Rabbit specific IHC polymer detection kit HRP/DAB (ab209101). Postive staining on mouse cerebrum (PMID : 26807827). The section was incubated with ab252413 for 30 mins at room temperature. The immunostaining was performed on a Leica Biosystems BOND® RX instrument Counterstained with Hematoxylin.

Secondary antibody only control : Secondary antibody is a ready to use Rabbit specific IHC polymer detection kit HRP/DAB (ab209101).

Heat mediated antigen retrieval with Citrate buffer (pH 6.0, epitope retrieval solution 1) for 20 mins

Key facts

Host species

Rabbit

Clonality

Monoclonal

Clone number

EPR22727-102

Isotype

IgG

Carrier free

Yes

Reacts with

Mouse

Applications

IHC-Fr, IHC-P, WB

applications

Immunogen

The exact immunogen used to generate this antibody is proprietary information.

Reactivity data

{ "title": "Reactivity Data", "filters": { "stats": ["", "Species", "Dilution Info", "Notes"], "tabs": { "all-applications": {"fullname" : "All Applications", "shortname": "All Applications"}, "IP" : {"fullname" : "Immunoprecipitation", "shortname":"IP"}, "WB" : {"fullname" : "Western blot", "shortname":"WB"}, "IHCP" : {"fullname" : "Immunohistochemistry (Formalin/PFA-fixed paraffin-embedded sections)", "shortname":"IHC-P"}, "IHCFr" : {"fullname" : "Immunohistochemistry (Frozen sections)", "shortname":"IHC-Fr"} }, "product-promise": { "all": "all", "testedAndGuaranteed": "tested", "guaranteed": "expected", "predicted": "predicted", "notRecommended": "not-recommended" } }, "values": { "Human": { "IP-species-checked": "notRecommended", "IP-species-dilution-info": "", "IP-species-notes": "", "WB-species-checked": "notRecommended", "WB-species-dilution-info": "", "WB-species-notes": "<p></p>", "IHCP-species-checked": "notRecommended", "IHCP-species-dilution-info": "", "IHCP-species-notes": "<p></p> Perform heat-mediated antigen retrieval with citrate buffer pH 6 before commencing with IHC staining protocol.", "IHCFr-species-checked": "notRecommended", "IHCFr-species-dilution-info": "", "IHCFr-species-notes": "" }, "Mouse": { "IP-species-checked": "notRecommended", "IP-species-dilution-info": "", "IP-species-notes": "<p></p>", "WB-species-checked": "testedAndGuaranteed", "WB-species-dilution-info": "", "WB-species-notes": "<p></p>", "IHCP-species-checked": "testedAndGuaranteed", "IHCP-species-dilution-info": "", "IHCP-species-notes": "<p></p> Perform heat-mediated antigen retrieval with citrate buffer pH 6 before commencing with IHC staining protocol.", "IHCFr-species-checked": "testedAndGuaranteed", "IHCFr-species-dilution-info": "", "IHCFr-species-notes": "<p>Heat mediated antigen retrieval using sodium citrate buffer (10mM citrate pH 6.0 + 0.05% Tween-20).</p>" }, "Rat": { "IP-species-checked": "notRecommended", "IP-species-dilution-info": "", "IP-species-notes": "", "WB-species-checked": "notRecommended", "WB-species-dilution-info": "", "WB-species-notes": "<p></p>", "IHCP-species-checked": "notRecommended", "IHCP-species-dilution-info": "", "IHCP-species-notes": "<p></p> Perform heat-mediated antigen retrieval with citrate buffer pH 6 before commencing with IHC staining protocol.", "IHCFr-species-checked": "notRecommended", "IHCFr-species-dilution-info": "", "IHCFr-species-notes": "<p>Heat mediated antigen retrieval using sodium citrate buffer (10mM citrate pH 6.0 + 0.05% Tween-20).</p>" } } }

Product details

ab288771 is the carrier free version of ab252413.

Patented technology
Our RabMAb® technology is a patented hybridoma-based technology for making rabbit monoclonal antibodies. For details on our patents, please refer to RabMAb® patents.

What are the advantages of a recombinant monoclonal antibody?
This product is a recombinant monoclonal antibody, which offers several advantages including:

  • - High batch-to-batch consistency and reproducibility
  • - Improved sensitivity and specificity
  • - Long-term security of supply
  • - Animal-free batch production

For more information, read more on recombinant antibodies.

Conjugation ready
Our carrier-free antibodies are typically supplied in a PBS-only formulation, purified and free of BSA, sodium azide and glycerol. This conjugation-ready format is designed for use with fluorochromes, metal isotopes, oligonucleotides, and enzymes, which makes them ideal for antibody labelling, functional and cell-based assays, flow-based assays (e.g. mass cytometry) and Multiplex Imaging applications.

Use our conjugation kits for antibody conjugates that are ready-to-use in as little as 20 minutes with 1 minute hands-on-time and 100% antibody recovery: available for fluorescent dyes, HRP, biotin and gold.

Compatibility
This product is compatible with the Maxpar® Antibody Labeling Kit from Fluidigm, without the need for antibody preparation. Maxpar® is a trademark of Fluidigm Canada Inc.

Properties and storage information

Form
Liquid
Purification technique
Affinity purification Protein A
Storage buffer
pH: 7.2 - 7.4 Constituents: 100% PBS
Shipped at conditions
Blue Ice
Appropriate short-term storage conditions
+4°C
Appropriate long-term storage conditions
+4°C

Supplementary information

This supplementary information is collated from multiple sources and compiled automatically.

CASPR3 also known as contactin-associated protein-like 3 is a member of the neurexin superfamily with an approximate mass of 142 kDa. This protein typically localizes at the plasma membrane within neural tissues. CASPR3 plays a role in cell adhesion which is important for synaptic function and neural development. Expression of CASPR3 is most regularly observed in the central nervous system where it contributes to the organization of the neuronal network.
Biological function summary

CASPR3 assists in axonal guidance by interacting with other proteins to form complexes necessary for neural communication. It is part of the axon-associated contactin–Caspr complex which is essential for the formation of paranodal junctions in neurons. These junctions ensure the proper functioning of myelinated axons through the coordination of neuronal signaling affecting processes like learning and memory.

Pathways

CASPR3 interacts with molecular pathways that are integral to the maintenance of neuronal architecture and signal transmission. It is involved in the neuregulin signaling pathway which affects neural glial communication. CASPR3 works alongside proteins such as CNTN1 (Contactin 1) that further aid in neural connectivity and axonal integrity. These interactions ensure the rapid transmission of nerve impulses which is important for efficient neural processing.

CASPR3 has associations with neurological conditions such as autism spectrum disorders and schizophrenia. Alterations or malfunctions in CASPR3 can disrupt synaptic adhesion and neural processing leading to symptomatic manifestations of these conditions. CASPR3 links with other proteins related to these diseases such as CNTN1 suggesting a broader impact on the neural network that underlies cognitive and behavioral health.

Product protocols

For this product, it's our understanding that no specific protocols are required. You can visit:

Product promise

We are committed to supporting your work with high-quality reagents, and we're here for you every step of the way. In the unlikely event that one of our products does not perform as expected, you're protected by our Product Promise.
For full details, please see our Terms & Conditions

Please note: All products are 'FOR RESEARCH USE ONLY. NOT FOR USE IN DIAGNOSTIC OR THERAPEUTIC PROCEDURES'.

For licensing inquiries, please contact partnerships@abcam.com