JavaScript is disabled in your browser. Please enable JavaScript to view this website.
AB19347

Anti-CaSR antibody [5C10, ADD]

4

(5 Reviews)

|

(70 Publications)

Mouse Monoclonal CASR antibody. Suitable for IHC-P, Flow Cyt, IHC-Fr and reacts with Human, Mouse samples. Cited in 70 publications. Immunogen corresponding to Synthetic Peptide within Human CASR aa 200-250.

View Alternative Names

GPRC2A, PCAR1, CASR, Extracellular calcium-sensing receptor, CaR, CaSR, hCasR, Parathyroid cell calcium-sensing receptor 1, PCaR1

5 Images
Immunohistochemistry (Formalin/PFA-fixed paraffin-embedded sections) - Anti-CaSR antibody [5C10, ADD] (AB19347)
  • IHC-P

Unknown

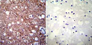
Immunohistochemistry (Formalin/PFA-fixed paraffin-embedded sections) - Anti-CaSR antibody [5C10, ADD] (AB19347)

Immunohistochemistry was performed on normal biopsies of deparaffinized Human brain tissue. To expose target proteins heat induced antigen retrieval was performed using 10mM sodium citrate (pH6.0) buffer microwaved for 8-15 minutes. Following antigen retrieval tissues were blocked in 3% BSA-PBS for 30 minutes at room temperature. Tissues were then probed at a dilution of 1 : 100 with a mouse monoclonal antibody recognizing CaSR ab19347 or without primary antibody (negative control) overnight at 4°C in a humidified chamber. Tissues were washed extensively with PBST and endogenous peroxidase activity was quenched with a peroxidase suppressor. Detection was performed using a biotin-conjugated secondary antibody and SA-HRP followed by colorimetric detection using DAB. Tissues were counterstained with hematoxylin and prepped for mounting.

Immunohistochemistry (Formalin/PFA-fixed paraffin-embedded sections) - Anti-CaSR antibody [5C10, ADD] (AB19347)
  • IHC-P

Unknown

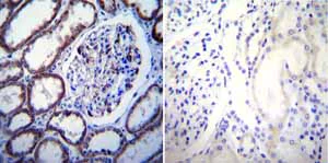
Immunohistochemistry (Formalin/PFA-fixed paraffin-embedded sections) - Anti-CaSR antibody [5C10, ADD] (AB19347)

Immunohistochemistry was performed on normal biopsies of deparaffinized Human kidney tissue. To expose target proteins heat induced antigen retrieval was performed using 10mM sodium citrate (pH6.0) buffer microwaved for 8-15 minutes. Following antigen retrieval tissues were blocked in 3% BSA-PBS for 30 minutes at room temperature. Tissues were then probed at a dilution of 1 : 100 with a mouse monoclonal antibody recognizing CaSR ab19347 or without primary antibody (negative control) overnight at 4°C in a humidified chamber. Tissues were washed extensively with PBST and endogenous peroxidase activity was quenched with a peroxidase suppressor. Detection was performed using a biotin-conjugated secondary antibody and SA-HRP followed by colorimetric detection using DAB. Tissues were counterstained with hematoxylin and prepped for mounting.

Flow Cytometry - Anti-CaSR antibody [5C10, ADD] (AB19347)
  • Flow Cyt

Unknown

Flow Cytometry - Anti-CaSR antibody [5C10, ADD] (AB19347)

Overlay histogram showing SH-SY5Y cells stained with ab19347 (red line). The cells were fixed with 4% paraformaldehyde (10 min) and incubated in 1x PBS / 10% normal goat serum / 0.3M glycine to block non-specific protein-protein interactions. The cells were then incubated with the antibody (ab19347, 1μg/1x106 cells) for 30 min at 22°C. The secondary antibody used was Alexa Fluor® 488 goat anti-mouse IgG (H+L) (ab150113) at 1/2000 dilution for 30 min at 22°C. Isotype control antibody (black line) was mouse IgG2a [ICIGG2A] (ab91361, 1μg/1x106 cells) used under the same conditions. Unlabelled sample (blue line) was also used as a control. Acquisition of >5,000 events were collected using a 20mW Argon ion laser (488nm) and 525/30 bandpass filter. This antibody gave a positive result in 80% methanol (5 min) fixed SH-SY5Y cells used under the same conditions. Please note that Abcam do not have any data for use of this antibody on non-fixed cells. We welcome any customer feedback.

Immunohistochemistry (Frozen sections) - Anti-CaSR antibody [5C10, ADD] (AB19347)
  • IHC-Fr

AbReview9042****

Immunohistochemistry (Frozen sections) - Anti-CaSR antibody [5C10, ADD] (AB19347)

ab19347 at 1/100 staining rat brain (cerebral cortex) tissue sections by IHC-Fr. The tissue was paraformaldehyde fixed and blocked with serum before incubation with the primary antibody for 24 hours at 4°C. A biotinylated horse anti-mouse IgG was used as the secondary.

This image is courtesy of an anonymous Abreview

Immunohistochemistry (Frozen sections) - Anti-CaSR antibody [5C10, ADD] (AB19347)
  • IHC-Fr

Supplier Data

Immunohistochemistry (Frozen sections) - Anti-CaSR antibody [5C10, ADD] (AB19347)

Immunohistochemical analysis of 4% formalin fixed frozen mouse stomach tissue labeling CaSR with ab19347 at 1/100 dilution overnight at 4°C, followed by fluorophore-conjugated goat anti-mouse IgG secondary antibody for 2 hours at RT.

Fresh stomach tissue was fixed in 4% formalin for 1 hour and then incubated overnight at in 25% sucrose before embedding in tissue freezing medium. Antigen retrieval was carried out on 8μm cryo-sections by incubating in sodium citrate buffer for 45 minutes at 4°C, immersing in sodium citrate buffer for 10 minutes at 100°C before washing 3 times for 5 minutes each in 1X PBS. Sections were then blocked in blocking buffer (0.3% Triton X-100 in 1X PBS containing 10% normal goat serum) for 30 minutes at RT before staining with ab19347.

Sections were also stained with DAPI nuclear stain (blue). Positive cells (green) were found at the base of the antral glands in the mouse stomach.

Key facts

Host species

Mouse

Clonality

Monoclonal

Clone number

5C10

Isotype

IgG2a

Carrier free

No

Reacts with

Mouse, Human

Applications

IHC-Fr, Flow Cyt, IHC-P

applications

Immunogen

Synthetic Peptide within Human CASR aa 200-250. The exact immunogen used to generate this antibody is proprietary information.

P41180

Reactivity data

{ "title": "Reactivity Data", "filters": { "stats": ["", "Species", "Dilution Info", "Notes"], "tabs": { "all-applications": {"fullname" : "All Applications", "shortname": "All Applications"}, "IHCP" : {"fullname" : "Immunohistochemistry (Formalin/PFA-fixed paraffin-embedded sections)", "shortname":"IHC-P"}, "FlowCyt" : {"fullname" : "Flow Cytometry", "shortname":"Flow Cyt"}, "IHCFr" : {"fullname" : "Immunohistochemistry (Frozen sections)", "shortname":"IHC-Fr"} }, "product-promise": { "all": "all", "testedAndGuaranteed": "tested", "guaranteed": "expected", "predicted": "predicted", "notRecommended": "not-recommended" } }, "values": { "Human": { "IHCP-species-checked": "testedAndGuaranteed", "IHCP-species-dilution-info": "", "IHCP-species-notes": "<p></p> Perform heat-mediated antigen retrieval with citrate buffer pH 6 before commencing with IHC staining protocol.", "FlowCyt-species-checked": "testedAndGuaranteed", "FlowCyt-species-dilution-info": "1 µg for 10^6 Cells", "FlowCyt-species-notes": "<p><a href='/en-us/products/primary-antibodies/mouse-igg2c-kappa-monoclonal-18c8bc7ad10-isotype-control-ab170191'>ab170191</a> - Mouse monoclonal IgG2a, is suitable for use as an isotype control with this antibody.</p>", "IHCFr-species-checked": "testedAndGuaranteed", "IHCFr-species-dilution-info": "2 µg/mL", "IHCFr-species-notes": "<p></p>" }, "Mouse": { "IHCP-species-checked": "guaranteed", "IHCP-species-dilution-info": "", "IHCP-species-notes": "", "FlowCyt-species-checked": "guaranteed", "FlowCyt-species-dilution-info": "", "FlowCyt-species-notes": "", "IHCFr-species-checked": "testedAndGuaranteed", "IHCFr-species-dilution-info": "2 µg/mL", "IHCFr-species-notes": "<p></p>" } } }

Properties and storage information

Form
Liquid
Purification technique
Affinity purification Immunogen
Storage buffer
Preservative: 0.05% Sodium azide Constituents: PBS, 0.1% BSA
Shipped at conditions
Blue Ice
Appropriate short-term storage conditions
+4°C
Appropriate long-term storage conditions
-20°C
Aliquoting information
Upon delivery aliquot
Storage information
Avoid freeze / thaw cycle

Supplementary information

This supplementary information is collated from multiple sources and compiled automatically.

The calcium-sensing receptor often referred to as CaSR is a critical G-protein coupled receptor involved in calcium ion homeostasis. Also known as CASR this receptor detects changes in extracellular calcium concentration and modulates signaling pathways accordingly. The CaSR protein has a molecular weight of approximately 120 kDa. It is mainly expressed in the parathyroid gland kidney and several other tissues playing a significant role in regulating serum calcium levels.
Biological function summary

The calcium-sensing receptor modulates parathyroid hormone secretion and renal calcium excretion in response to calcium fluctuations. Although not typically part of a larger protein complex it interacts with several other proteins to perform its functions efficiently. CaSR ensures the stability of calcium concentration which is essential for bone health muscle contraction and nerve function.

Pathways

Several other proteins work alongside the calcium-sensing receptor in the calcium signaling and parathyroid hormone secretion pathways. In particular CaSR influences the MAPK pathway which impacts cell growth and differentiation. Phosphate transporters and calbindins are related to CaSR within these pathways indicating its broad scope in calcium metabolism.

The calcium-sensing receptor is closely associated with conditions like hypercalcemia and autosomal dominant hypocalcemia. CaSR mutations can result in dysfunctional calcium regulation impacting parathyroid hormone levels. The relationship between CaSR and parathyroid hormone-related peptide highlights its significance in maintaining calcium balance and preventing skeletal and neurological complications.

Product protocols

For this product, it's our understanding that no specific protocols are required. You can visit:

Target data

G-protein-coupled receptor that senses changes in the extracellular concentration of calcium ions and plays a key role in maintaining calcium homeostasis (PubMed : 17555508, PubMed : 19789209, PubMed : 21566075, PubMed : 22114145, PubMed : 22789683, PubMed : 23966241, PubMed : 25104082, PubMed : 25292184, PubMed : 25766501, PubMed : 26386835, PubMed : 32817431, PubMed : 33603117, PubMed : 34194040, PubMed : 34467854, PubMed : 7759551, PubMed : 8636323, PubMed : 8702647, PubMed : 8878438). Senses fluctuations in the circulating calcium concentration : activated by elevated circulating calcium, leading to decreased parathyroid hormone (PTH) secretion in parathyroid glands (By similarity). In kidneys, acts as a key regulator of renal tubular calcium resorption (By similarity). Ligand binding causes a conformation change that triggers signaling via guanine nucleotide-binding proteins (G-proteins) and modulates the activity of downstream effectors (PubMed : 38632411). CASR is coupled with different G(q)/G(11), G(i)/G(o)- or G(s)-classes of G-proteins depending on the context (PubMed : 38632411). In the parathyroid and kidney, CASR signals through G(q)/G(11) and G(i)/G(o) G-proteins : G(q)/G(11) coupling activates phospholipase C-beta, releasing diacylglycerol (DAG) and inositol 1,4,5-trisphosphate (IP3) second messengers, while G(i)/G(o) coupling mediates inhibition of adenylate cyclase activity (PubMed : 38632411, PubMed : 7759551). The G-protein-coupled receptor activity is activated by a co-agonist mechanism : aromatic amino acids, such as Trp or Phe, act concertedly with divalent cations, such as calcium or magnesium, to achieve full receptor activation (PubMed : 27386547, PubMed : 27434672, PubMed : 32817431, PubMed : 33603117, PubMed : 34194040). Acts as an activator of the NLRP3 inflammasome via G(i)/G(o)-mediated signaling : down-regulation of cyclic AMP (cAMP) relieving NLRP3 inhibition by cAMP (PubMed : 32843625). Acts as a regulator of proton-sensing receptor GPR68 in a seesaw manner : CASR-mediated signaling inhibits GPR68 signaling in response to extracellular calcium, while GPR68 inhibits CASR in presence of extracellular protons (By similarity).
See full target information CASR

Publications (70)

Recent publications for all applications. Explore the full list and refine your search

iScience 28:112651 PubMed40510119

2025

A calcium-sensing receptor dileucine motif directs internalization to spatially distinct endosomal signaling pathways.

Applications

Unspecified application

Species

Unspecified reactive species

Rachael A Wyatt,Meurig T Gallagher,Ling Zha,Christopher J McCabe,Caroline M Gorvin

The Journal of clinical investigation 135: PubMed40372791

2025

Genetic variants predisposing to an increased risk of kidney stone disease.

Applications

Unspecified application

Species

Unspecified reactive species

Catherine E Lovegrove,Michelle Goldsworthy,Jeremy Haley,Diane Smelser,Caroline Gorvin,Fadil M Hannan,Anubha Mahajan,Mohnish Suri,Omid Sadeghi-Alavijeh,Shabbir H Moochhala,Daniel P Gale,David Carey,Michael V Holmes,Dominic Furniss,Rajesh V Thakker,Sarah A Howles

eLife 13: PubMed40309958

2025

GPRC6A as a novel kokumi receptor responsible for enhanced taste preferences by ornithine.

Applications

Unspecified application

Species

Unspecified reactive species

Takashi Yamamoto,Kayoko Ueji,Haruno Mizuta,Chizuko Inui-Yamamoto,Natsuko Kumamoto,Yasuhiro Shibata,Shinya Ugawa

Biomolecules 15: PubMed40305220

2025

Calcium-Sensing Receptor as a Novel Target for the Treatment of Idiopathic Pulmonary Fibrosis.

Applications

Unspecified application

Species

Unspecified reactive species

Kasope Wolffs,Renjiao Li,Bethan Mansfield,Daniel A Pass,Richard T Bruce,Ping Huang,Rachel Paes de Araújo,Bahareh Sadat Haddadi,Luis A J Mur,Jordanna Dally,Ryan Moseley,Rupert Ecker,Harry Karmouty-Quintana,Keir E Lewis,A John Simpson,Jeremy P T Ward,Christopher J Corrigan,Renata Z Jurkowska,Benjamin D Hope-Gill,Daniela Riccardi,Polina L Yarova

Physiological reports 12:e16125 PubMed39031618

2024

Stimulation of the calcium-sensing receptor induces relaxations through CGRP and NK1 receptor-mediated pathways in male rat mesenteric arteries.

Applications

Unspecified application

Species

Unspecified reactive species

Simonette R E Carlton-Carew,Harry Z E Greenberg,Iain A Greenwood,Anthony P Albert

British journal of pharmacology 181:2676-2696 PubMed38627101

2024

Calcium-sensing receptor regulates Kv7 channels via G protein signalling and modulates excitability of human induced pluripotent stem cell-derived nociceptive-like neurons.

Applications

Unspecified application

Species

Unspecified reactive species

Nontawat Chuinsiri,Nannapat Siraboriphantakul,Luke Kendall,Polina Yarova,Christopher J Nile,Bing Song,Ilona Obara,Justin Durham,Vsevolod Telezhkin

Physiological reports 12:e15926 PubMed38281732

2024

Stimulation of the calcium-sensing receptor induces relaxations of rat mesenteric arteries by endothelium-dependent and -independent pathways via BK and K channels.

Applications

Unspecified application

Species

Unspecified reactive species

Simonette R E Carlton-Carew,Harry Z E Greenberg,Eleanor J Connor,Pooneh Zadeh,Iain A Greenwood,Anthony P Albert

Journal of the Endocrine Society 7:bvad126 PubMed37885910

2023

A Knock-In Mouse Model of the Variant p.Y392S Develops Normal Parathyroid Glands.

Applications

Unspecified application

Species

Unspecified reactive species

Vaishali I Parekh,Lauren R Brinster,Bin Guan,William F Simonds,Lee S Weinstein,Sunita K Agarwal

The Journal of clinical endocrinology and metabolism 109:549-556 PubMed37602721

2023

Cinacalcet Reverses Short QT Interval in Familial Hypocalciuric Hypercalcemia Type 1.

Applications

Unspecified application

Species

Unspecified reactive species

Thomas Cuny,Pauline Romanet,Michelle Goldsworthy,Carole Guérin,Marie Wilkin,Philippe Roche,Frédéric Sebag,Lynn E van Summeren,Mark Stevenson,Sarah A Howles,Jean-Claude Deharo,Rajesh V Thakker,David Taïeb

The Journal of reproduction and development 69:185-191 PubMed37245986

2023

Role of calcium-sensing receptor in regulating activation susceptibility of postovulatory aging mouse oocytes.

Applications

Unspecified application

Species

Unspecified reactive species

Rui Yang,Chang-Li Ji,Min Zhang,Jie Zhang,Hong-Jie Yuan,Ming-Jiu Luo,Guang-Zhong Jiao,Jing-He Tan
View all publications

Product promise

We are committed to supporting your work with high-quality reagents, and we're here for you every step of the way. In the unlikely event that one of our products does not perform as expected, you're protected by our Product Promise.
For full details, please see our Terms & Conditions

Please note: All products are 'FOR RESEARCH USE ONLY. NOT FOR USE IN DIAGNOSTIC OR THERAPEUTIC PROCEDURES'.

For licensing inquiries, please contact partnerships@abcam.com