JavaScript is disabled in your browser. Please enable JavaScript to view this website.
AB137408

Anti-CaSR antibody

4

(3 Reviews)

|

(14 Publications)

Rabbit Polyclonal CASR antibody. Suitable for WB, ICC/IF, IHC-P and reacts with Human samples. Cited in 14 publications. Immunogen corresponding to Recombinant Fragment Protein within Human CASR aa 150-400.

View Alternative Names

GPRC2A, PCAR1, CASR, Extracellular calcium-sensing receptor, CaR, CaSR, hCasR, Parathyroid cell calcium-sensing receptor 1, PCaR1

2 Images
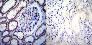
Immunohistochemistry (Formalin/PFA-fixed paraffin-embedded sections) - Anti-CaSR antibody (AB137408)
  • IHC-P

Unknown

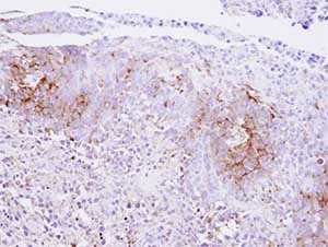
Immunohistochemistry (Formalin/PFA-fixed paraffin-embedded sections) - Anti-CaSR antibody (AB137408)

Immunohistochemical analysis of paraffin-embedded SAS xenograft labelling CaSR with ab137408 at 1/500 dilution.

Immunohistochemistry (Formalin/PFA-fixed paraffin-embedded sections) - Anti-CaSR antibody (AB137408)
  • IHC-P

AbReview55243****

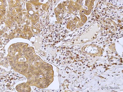
Immunohistochemistry (Formalin/PFA-fixed paraffin-embedded sections) - Anti-CaSR antibody (AB137408)

ab137408 staining CaSR in Human colon cancer tissue sections by Immunohistochemistry (IHC-P - paraformaldehyde-fixed, paraffin-embedded sections). Tissue was fixed with formaldehyde and blocked with protein block serum-free for 20 minutes at 20°C; antigen retrieval was by heat mediation in a citrate buffer. Samples were incubated with primary antibody (1/100) for 2 hours at 22°C. A HRP-conjugated Goat polyclonal was used as the 0secondary antibody.

This image is courtesy of an anonymous Abreview

Key facts

Host species

Rabbit

Clonality

Polyclonal

Isotype

IgG

Carrier free

No

Reacts with

Human

Applications

ICC/IF, IHC-P, WB

applications

Immunogen

Recombinant Fragment Protein within Human CASR aa 150-400. The exact immunogen used to generate this antibody is proprietary information.

P41180

Reactivity data

{ "title": "Reactivity Data", "filters": { "stats": ["", "Species", "Dilution Info", "Notes"], "tabs": { "all-applications": {"fullname" : "All Applications", "shortname": "All Applications"}, "WB" : {"fullname" : "Western blot", "shortname":"WB"}, "ICCIF" : {"fullname" : "Immunocytochemistry/ Immunofluorescence", "shortname":"ICC/IF"}, "IHCP" : {"fullname" : "Immunohistochemistry (Formalin/PFA-fixed paraffin-embedded sections)", "shortname":"IHC-P"} }, "product-promise": { "all": "all", "testedAndGuaranteed": "tested", "guaranteed": "expected", "predicted": "predicted", "notRecommended": "not-recommended" } }, "values": { "Human": { "WB-species-checked": "guaranteed", "WB-species-dilution-info": "1/500 - 1/3000", "WB-species-notes": "<p></p>", "ICCIF-species-checked": "guaranteed", "ICCIF-species-dilution-info": "1/100 - 1/1000", "ICCIF-species-notes": "<p></p>", "IHCP-species-checked": "testedAndGuaranteed", "IHCP-species-dilution-info": "1/100 - 1/1000", "IHCP-species-notes": "<p>Suggested antigen retrieval using heat mediated 10mM Citrate buffer (pH6.0) or Tris-EDTA buffer (pH8.0).</p>" }, "Mouse": { "WB-species-checked": "predicted", "WB-species-dilution-info": "", "WB-species-notes": "", "ICCIF-species-checked": "predicted", "ICCIF-species-dilution-info": "", "ICCIF-species-notes": "", "IHCP-species-checked": "predicted", "IHCP-species-dilution-info": "", "IHCP-species-notes": "" }, "Rat": { "WB-species-checked": "predicted", "WB-species-dilution-info": "", "WB-species-notes": "", "ICCIF-species-checked": "predicted", "ICCIF-species-dilution-info": "", "ICCIF-species-notes": "", "IHCP-species-checked": "predicted", "IHCP-species-dilution-info": "", "IHCP-species-notes": "" }, "Cat": { "WB-species-checked": "predicted", "WB-species-dilution-info": "", "WB-species-notes": "", "ICCIF-species-checked": "predicted", "ICCIF-species-dilution-info": "", "ICCIF-species-notes": "", "IHCP-species-checked": "predicted", "IHCP-species-dilution-info": "", "IHCP-species-notes": "" }, "Cow": { "WB-species-checked": "predicted", "WB-species-dilution-info": "", "WB-species-notes": "", "ICCIF-species-checked": "predicted", "ICCIF-species-dilution-info": "", "ICCIF-species-notes": "", "IHCP-species-checked": "predicted", "IHCP-species-dilution-info": "", "IHCP-species-notes": "" }, "Dog": { "WB-species-checked": "predicted", "WB-species-dilution-info": "", "WB-species-notes": "", "ICCIF-species-checked": "predicted", "ICCIF-species-dilution-info": "", "ICCIF-species-notes": "", "IHCP-species-checked": "predicted", "IHCP-species-dilution-info": "", "IHCP-species-notes": "" } } }

Properties and storage information

Form
Liquid
Purification technique
Affinity purification Immunogen
Storage buffer
pH: 7 Preservative: 0.025% Proclin 300 Constituents: PBS, 20% Glycerol (glycerin, glycerine)
Shipped at conditions
Blue Ice
Appropriate short-term storage conditions
+4°C
Appropriate long-term storage conditions
-20°C
Aliquoting information
Upon delivery aliquot
Storage information
Avoid freeze / thaw cycle

Supplementary information

This supplementary information is collated from multiple sources and compiled automatically.

The calcium-sensing receptor often referred to as CaSR is a critical G-protein coupled receptor involved in calcium ion homeostasis. Also known as CASR this receptor detects changes in extracellular calcium concentration and modulates signaling pathways accordingly. The CaSR protein has a molecular weight of approximately 120 kDa. It is mainly expressed in the parathyroid gland kidney and several other tissues playing a significant role in regulating serum calcium levels.
Biological function summary

The calcium-sensing receptor modulates parathyroid hormone secretion and renal calcium excretion in response to calcium fluctuations. Although not typically part of a larger protein complex it interacts with several other proteins to perform its functions efficiently. CaSR ensures the stability of calcium concentration which is essential for bone health muscle contraction and nerve function.

Pathways

Several other proteins work alongside the calcium-sensing receptor in the calcium signaling and parathyroid hormone secretion pathways. In particular CaSR influences the MAPK pathway which impacts cell growth and differentiation. Phosphate transporters and calbindins are related to CaSR within these pathways indicating its broad scope in calcium metabolism.

The calcium-sensing receptor is closely associated with conditions like hypercalcemia and autosomal dominant hypocalcemia. CaSR mutations can result in dysfunctional calcium regulation impacting parathyroid hormone levels. The relationship between CaSR and parathyroid hormone-related peptide highlights its significance in maintaining calcium balance and preventing skeletal and neurological complications.

Product protocols

For this product, it's our understanding that no specific protocols are required. You can visit:

Target data

G-protein-coupled receptor that senses changes in the extracellular concentration of calcium ions and plays a key role in maintaining calcium homeostasis (PubMed : 17555508, PubMed : 19789209, PubMed : 21566075, PubMed : 22114145, PubMed : 22789683, PubMed : 23966241, PubMed : 25104082, PubMed : 25292184, PubMed : 25766501, PubMed : 26386835, PubMed : 7759551, PubMed : 8636323, PubMed : 8702647, PubMed : 8878438). Senses fluctuations in the circulating calcium concentration and modulates the production of parathyroid hormone (PTH) in parathyroid glands (By similarity). The activity of this receptor is mediated by a G-protein that activates a phosphatidylinositol-calcium second messenger system (PubMed : 7759551). The G-protein-coupled receptor activity is activated by a co-agonist mechanism : aromatic amino acids, such as Trp or Phe, act concertedly with divalent cations, such as calcium or magnesium, to achieve full receptor activation (PubMed : 27386547, PubMed : 27434672).
See full target information CASR

Publications (14)

Recent publications for all applications. Explore the full list and refine your search

Problemy endokrinologii 69:24-34 PubMed37448244

2023

[The role of calcium sensitive and vitamin D receptors in the pathogenesis of sporadic multiple parathyroid gland disease].

Applications

Unspecified application

Species

Unspecified reactive species

E A Ilyicheva,I A Shurygina,N N Dremina,G A Bersenev,E G Grigoryev

Cellular signalling 107:110676 PubMed37028778

2023

Asymmetric dimethylarginine positively modulates calcium-sensing receptor signalling to promote lipid accumulation.

Applications

Unspecified application

Species

Unspecified reactive species

Laura Dowsett,Lucie Duluc,Erin Higgins,Fatmah Alghamdi,Walter Fast,Ian P Salt,James Leiper

Medicine 101:e32009 PubMed36482540

2022

Production of parathyroid-like cells from thyroid stem cells in co-culture environment.

Applications

Unspecified application

Species

Unspecified reactive species

Özge Karabiyik Acar,Gülçin Delal Nozhatzadeh,Alperen Tuncer,Gamze Torun Köse,Ezgi Hacihasanoğlu,Fikrettin Sahin,Erhan Aysan

Cell communication and signaling : CCS 20:175 PubMed36348350

2022

Elevation of spermine remodels immunosuppressive microenvironment through driving the modification of PD-L1 in hepatocellular carcinoma.

Applications

Unspecified application

Species

Unspecified reactive species

Hong-Xiang Shi,Chao Liang,Chao-Yan Yao,Zi-Xuan Gao,Jia Qin,Jin-Lan Cao,Ming-Zhu Zhang,Ying-Ying Li,Meng-Qing Wang,Hua Sun,Song-Qiang Xie,Dong Fang

American journal of physiology. Lung cellular and molecular physiology 322:L737-L760 PubMed35318857

2022

Mechanosensitive channel Piezo1 is required for pulmonary artery smooth muscle cell proliferation.

Applications

Unspecified application

Species

Unspecified reactive species

Jiyuan Chen,Marisela Rodriguez,Jinrui Miao,Jing Liao,Pritesh P Jain,Manjia Zhao,Tengteng Zhao,Aleksandra Babicheva,Ziyi Wang,Sophia Parmisano,Ryan Powers,Moreen Matti,Cole Paquin,Zahra Soroureddin,John Y-J Shyy,Patricia A Thistlethwaite,Ayako Makino,Jian Wang,Jason X-J Yuan

Journal of animal science 100: PubMed35294536

2022

Calcium-sensing receptor is not expressed in the absorptive enterocytes of weaned piglets.

Applications

Unspecified application

Species

Unspecified reactive species

Xiaoya Zhao,Qianru Hui,Paula Azevedo,Charles Martin Nyachoti,Karmin O,Chengbo Yang

Poultry science 100:101060 PubMed33752067

2021

Molecular distribution and localization of extracellular calcium-sensing receptor (CaSR) and vitamin D receptor (VDR) at three different laying stages in laying hens (Gallus gallus domesticus).

Applications

Unspecified application

Species

Unspecified reactive species

Qianru Hui,Xiaoya Zhao,Peng Lu,Shangxi Liu,Martin Nyachoti,Karmin O,Chengbo Yang

Iranian journal of basic medical sciences 23:1353-1359 PubMed33149870

2020

Calcium sensing receptor involving in therapy of embryonic stem cell transplantation alleviates acute myocardial infarction by inhibiting apoptosis and oxidative stress in rats.

Applications

Unspecified application

Species

Unspecified reactive species

Hui Yuan,Guohong Yang,Shu Li,Li Li,Tao Wei,Gaochen Song,Hairong Luan,Jin Meng,Qi Wang,Yaquan Yu,Jian Sun

Molecular biology reports 47:7723-7734 PubMed33001312

2020

Efficient detection of eukaryotic calcium-sensing receptor (CaSR) by polyclonal antibody against prokaryotic expressed truncated CaSR.

Applications

Unspecified application

Species

Unspecified reactive species

Aghdas Ramezani,Mohammad Javad Rasaee,Amirmohsen Jalaeefar,Ali Hatef Salmanian

Frontiers in oncology 10:305 PubMed32269963

2020

CaSR Induces Osteoclast Differentiation and Promotes Bone Metastasis in Lung Adenocarcinoma.

Applications

Unspecified application

Species

Unspecified reactive species

Lian Liu,Yichang Fan,Zhaoxin Chen,Yujian Zhang,Jing Yu
View all publications

Product promise

We are committed to supporting your work with high-quality reagents, and we're here for you every step of the way. In the unlikely event that one of our products does not perform as expected, you're protected by our Product Promise.
For full details, please see our Terms & Conditions

Please note: All products are 'FOR RESEARCH USE ONLY. NOT FOR USE IN DIAGNOSTIC OR THERAPEUTIC PROCEDURES'.

For licensing inquiries, please contact partnerships@abcam.com