JavaScript is disabled in your browser. Please enable JavaScript to view this website.
AB255957

Anti-CaSR antibody [HL1499]

Be the first to review this product! Submit a review

|

(0 Publication)

Mouse Recombinant Monoclonal CASR antibody. Suitable for IHC-P and reacts with Mouse, Rat, Human samples.

View Alternative Names

GPRC2A, PCAR1, CASR, Extracellular calcium-sensing receptor, CaR, CaSR, hCasR, Parathyroid cell calcium-sensing receptor 1, PCaR1

2 Images
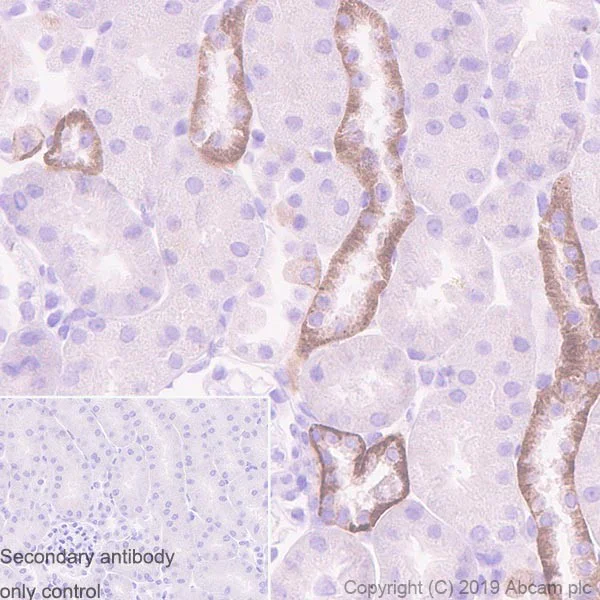
Immunohistochemistry (Formalin/PFA-fixed paraffin-embedded sections) - Anti-CaSR antibody [HL1499] (AB255957)
  • IHC-P

Supplier Data

Immunohistochemistry (Formalin/PFA-fixed paraffin-embedded sections) - Anti-CaSR antibody [HL1499] (AB255957)

Immunohistochemical analysis of paraffin-embedded mouse kidney tissue labeling CaSR with ab255957 at 0.665μg/ml, followed by ready to use secondary. Positive staining on the ascending limb in mouse kidney is observed. The section was incubated with ab255957 for 30 mins at RT. The immunostaining staining was performed on a Leica Biosystems BOND® RX instrument. Counterstained with hematoxylin.

Secondary antibody only control : Used PBS instead of primary antibody, followed by ready to use secondary.

Heat mediated antigen retrieval with Tris-EDTA buffer (pH 9.0, epitope retrieval solution 2) for 20 mins.

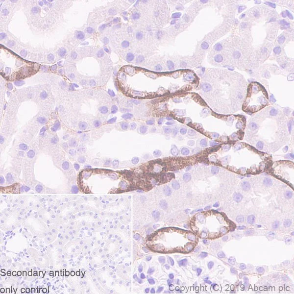
Immunohistochemistry (Formalin/PFA-fixed paraffin-embedded sections) - Anti-CaSR antibody [HL1499] (AB255957)
  • IHC-P

Supplier Data

Immunohistochemistry (Formalin/PFA-fixed paraffin-embedded sections) - Anti-CaSR antibody [HL1499] (AB255957)

Immunohistochemical analysis of paraffin-embedded rat kidney tissue labeling CaSR with ab255957 at 0.665μg/ml, followed by ready to use secondary. Positive staining on the ascending limb in rat kidney is observed. The section was incubated with ab255957 for 30 mins at RT. The immunostaining staining was performed on a Leica Biosystems BOND® RX instrument. Counterstained with hematoxylin.

Secondary antibody only control : Used PBS instead of primary antibody, followed by ready to use secondary.

Heat mediated antigen retrieval with Tris-EDTA buffer (pH 9.0, epitope retrieval solution 2) for 20 mins.

  • Carrier free

    Anti-CaSR antibody [HL1499] - BSA and Azide free

Key facts

Host species

Mouse

Clonality

Monoclonal

Clone number

HL1499

Isotype

IgG1

Carrier free

No

Reacts with

Mouse, Rat, Human

Applications

IHC-P

applications

Immunogen

The exact immunogen used to generate this antibody is proprietary information.

Reactivity data

{ "title": "Reactivity Data", "filters": { "stats": ["", "Species", "Dilution Info", "Notes"], "tabs": { "all-applications": {"fullname" : "All Applications", "shortname": "All Applications"}, "WB" : {"fullname" : "Western blot", "shortname":"WB"}, "IHCFr" : {"fullname" : "Immunohistochemistry (Frozen sections)", "shortname":"IHC-Fr"}, "IHCP" : {"fullname" : "Immunohistochemistry (Formalin/PFA-fixed paraffin-embedded sections)", "shortname":"IHC-P"} }, "product-promise": { "all": "all", "testedAndGuaranteed": "tested", "guaranteed": "expected", "predicted": "predicted", "notRecommended": "not-recommended" } }, "values": { "Human": { "WB-species-checked": "notRecommended", "WB-species-dilution-info": "", "WB-species-notes": "<p></p>", "IHCFr-species-checked": "notRecommended", "IHCFr-species-dilution-info": "", "IHCFr-species-notes": "<p></p>", "IHCP-species-checked": "guaranteed", "IHCP-species-dilution-info": "0.665 µg/mL", "IHCP-species-notes": "<p></p>" }, "Mouse": { "WB-species-checked": "notRecommended", "WB-species-dilution-info": "", "WB-species-notes": "<p></p>", "IHCFr-species-checked": "notRecommended", "IHCFr-species-dilution-info": "", "IHCFr-species-notes": "<p></p>", "IHCP-species-checked": "testedAndGuaranteed", "IHCP-species-dilution-info": "0.665 µg/mL", "IHCP-species-notes": "<p></p>" }, "Rat": { "WB-species-checked": "notRecommended", "WB-species-dilution-info": "", "WB-species-notes": "<p></p>", "IHCFr-species-checked": "notRecommended", "IHCFr-species-dilution-info": "", "IHCFr-species-notes": "<p></p>", "IHCP-species-checked": "testedAndGuaranteed", "IHCP-species-dilution-info": "0.665 µg/mL", "IHCP-species-notes": "<p></p>" } } }

Product details

What are the advantages of a recombinant monoclonal antibody?
This product is a recombinant monoclonal antibody, which offers several advantages including:

  • - High batch-to-batch consistency and reproducibility
  • - Improved sensitivity and specificity
  • - Long-term security of supply
  • - Animal-free batch production

For more information, read more on recombinant antibodies.

Want a custom formulation?
This antibody clone is manufactured by Abcam. If you require a custom buffer formulation or conjugation for your experiments, please contact orders@abcam.com

Properties and storage information

Form
Liquid
Purification technique
Affinity purification Protein A
Storage buffer
pH: 7.2 - 7.4 Preservative: 0.01% Sodium azide Constituents: PBS, 40% Glycerol (glycerin, glycerine), 0.05% BSA
Shipped at conditions
Blue Ice
Appropriate short-term storage duration
1-2 weeks
Appropriate short-term storage conditions
+4°C
Appropriate long-term storage conditions
-20°C
Aliquoting information
Upon delivery aliquot
Storage information
Avoid freeze / thaw cycle

Supplementary information

This supplementary information is collated from multiple sources and compiled automatically.

The calcium-sensing receptor often referred to as CaSR is a critical G-protein coupled receptor involved in calcium ion homeostasis. Also known as CASR this receptor detects changes in extracellular calcium concentration and modulates signaling pathways accordingly. The CaSR protein has a molecular weight of approximately 120 kDa. It is mainly expressed in the parathyroid gland kidney and several other tissues playing a significant role in regulating serum calcium levels.
Biological function summary

The calcium-sensing receptor modulates parathyroid hormone secretion and renal calcium excretion in response to calcium fluctuations. Although not typically part of a larger protein complex it interacts with several other proteins to perform its functions efficiently. CaSR ensures the stability of calcium concentration which is essential for bone health muscle contraction and nerve function.

Pathways

Several other proteins work alongside the calcium-sensing receptor in the calcium signaling and parathyroid hormone secretion pathways. In particular CaSR influences the MAPK pathway which impacts cell growth and differentiation. Phosphate transporters and calbindins are related to CaSR within these pathways indicating its broad scope in calcium metabolism.

The calcium-sensing receptor is closely associated with conditions like hypercalcemia and autosomal dominant hypocalcemia. CaSR mutations can result in dysfunctional calcium regulation impacting parathyroid hormone levels. The relationship between CaSR and parathyroid hormone-related peptide highlights its significance in maintaining calcium balance and preventing skeletal and neurological complications.

Product protocols

For this product, it's our understanding that no specific protocols are required. You can visit:

Target data

G-protein-coupled receptor that senses changes in the extracellular concentration of calcium ions and plays a key role in maintaining calcium homeostasis (PubMed : 17555508, PubMed : 19789209, PubMed : 21566075, PubMed : 22114145, PubMed : 22789683, PubMed : 23966241, PubMed : 25104082, PubMed : 25292184, PubMed : 25766501, PubMed : 26386835, PubMed : 32817431, PubMed : 33603117, PubMed : 34194040, PubMed : 34467854, PubMed : 7759551, PubMed : 8636323, PubMed : 8702647, PubMed : 8878438). Senses fluctuations in the circulating calcium concentration : activated by elevated circulating calcium, leading to decreased parathyroid hormone (PTH) secretion in parathyroid glands (By similarity). In kidneys, acts as a key regulator of renal tubular calcium resorption (By similarity). Ligand binding causes a conformation change that triggers signaling via guanine nucleotide-binding proteins (G-proteins) and modulates the activity of downstream effectors (PubMed : 38632411). CASR is coupled with different G(q)/G(11), G(i)/G(o)- or G(s)-classes of G-proteins depending on the context (PubMed : 38632411). In the parathyroid and kidney, CASR signals through G(q)/G(11) and G(i)/G(o) G-proteins : G(q)/G(11) coupling activates phospholipase C-beta, releasing diacylglycerol (DAG) and inositol 1,4,5-trisphosphate (IP3) second messengers, while G(i)/G(o) coupling mediates inhibition of adenylate cyclase activity (PubMed : 38632411, PubMed : 7759551). The G-protein-coupled receptor activity is activated by a co-agonist mechanism : aromatic amino acids, such as Trp or Phe, act concertedly with divalent cations, such as calcium or magnesium, to achieve full receptor activation (PubMed : 27386547, PubMed : 27434672, PubMed : 32817431, PubMed : 33603117, PubMed : 34194040). Acts as an activator of the NLRP3 inflammasome via G(i)/G(o)-mediated signaling : down-regulation of cyclic AMP (cAMP) relieving NLRP3 inhibition by cAMP (PubMed : 32843625). Acts as a regulator of proton-sensing receptor GPR68 in a seesaw manner : CASR-mediated signaling inhibits GPR68 signaling in response to extracellular calcium, while GPR68 inhibits CASR in presence of extracellular protons (By similarity).
See full target information CASR

Product promise

We are committed to supporting your work with high-quality reagents, and we're here for you every step of the way. In the unlikely event that one of our products does not perform as expected, you're protected by our Product Promise.
For full details, please see our Terms & Conditions

Please note: All products are 'FOR RESEARCH USE ONLY. NOT FOR USE IN DIAGNOSTIC OR THERAPEUTIC PROCEDURES'.

For licensing inquiries, please contact partnerships@abcam.com