JavaScript is disabled in your browser. Please enable JavaScript to view this website.
AB264481

Anti-CaSR antibody [HL1499] - BSA and Azide free

Be the first to review this product! Submit a review

|

(0 Publication)

Mouse Recombinant Monoclonal CASR antibody. Carrier free. Suitable for IHC-P and reacts with Rat, Mouse, Human samples.

View Alternative Names

GPRC2A, PCAR1, CASR, Extracellular calcium-sensing receptor, CaR, CaSR, hCasR, Parathyroid cell calcium-sensing receptor 1, PCaR1

2 Images
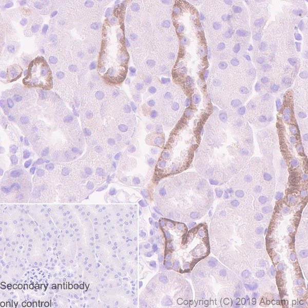
Immunohistochemistry (Formalin/PFA-fixed paraffin-embedded sections) - Anti-CaSR antibody [HL1499] - BSA and Azide free (AB264481)
  • IHC-P

Supplier Data

Immunohistochemistry (Formalin/PFA-fixed paraffin-embedded sections) - Anti-CaSR antibody [HL1499] - BSA and Azide free (AB264481)

Immunohistochemical analysis of paraffin-embedded mouse kidney tissue labeling CaSR with ab255957 at 0.665μg/ml, followed by ready to use secondary. Positive staining on the ascending limb in mouse kidney is observed. The section was incubated with ab255957 for 30 mins at RT. The immunostaining staining was performed on a Leica Biosystems BOND® RX instrument. Counterstained with hematoxylin.

Secondary antibody only control : Used PBS instead of primary antibody, followed by ready to use secondary.

Heat mediated antigen retrieval with Tris-EDTA buffer (pH 9.0, epitope retrieval solution 2) for 20 mins.

This data was developed using the same antibody clone in a different buffer formulation containing PBS, BSA, and sodium azide (ab255957).

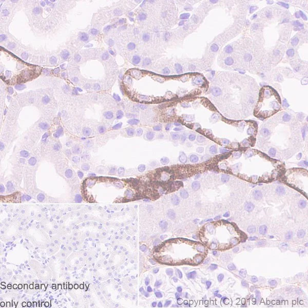
Immunohistochemistry (Formalin/PFA-fixed paraffin-embedded sections) - Anti-CaSR antibody [HL1499] - BSA and Azide free (AB264481)
  • IHC-P

Supplier Data

Immunohistochemistry (Formalin/PFA-fixed paraffin-embedded sections) - Anti-CaSR antibody [HL1499] - BSA and Azide free (AB264481)

Immunohistochemical analysis of paraffin-embedded rat kidney tissue labeling CaSR with ab255957 at 0.665μg/ml, followed by ready to use secondary. Positive staining on the ascending limb in rat kidney is observed. The section was incubated with ab255957 for 30 mins at RT. The immunostaining staining was performed on a Leica Biosystems BOND® RX instrument. Counterstained with hematoxylin.

Secondary antibody only control : Used PBS instead of primary antibody, followed by ready to use secondary.

Heat mediated antigen retrieval with Tris-EDTA buffer (pH 9.0, epitope retrieval solution 2) for 20 mins.

This data was developed using the same antibody clone in a different buffer formulation containing PBS, BSA, and sodium azide (ab255957).

Key facts

Host species

Mouse

Clonality

Monoclonal

Clone number

HL1499

Isotype

IgG1

Carrier free

Yes

Reacts with

Mouse, Rat, Human

Applications

IHC-P

applications

Immunogen

The exact immunogen used to generate this antibody is proprietary information.

Reactivity data

{ "title": "Reactivity Data", "filters": { "stats": ["", "Species", "Dilution Info", "Notes"], "tabs": { "all-applications": {"fullname" : "All Applications", "shortname": "All Applications"}, "WB" : {"fullname" : "Western blot", "shortname":"WB"}, "IHCFr" : {"fullname" : "Immunohistochemistry (Frozen sections)", "shortname":"IHC-Fr"}, "IHCP" : {"fullname" : "Immunohistochemistry (Formalin/PFA-fixed paraffin-embedded sections)", "shortname":"IHC-P"} }, "product-promise": { "all": "all", "testedAndGuaranteed": "tested", "guaranteed": "expected", "predicted": "predicted", "notRecommended": "not-recommended" } }, "values": { "Human": { "WB-species-checked": "notRecommended", "WB-species-dilution-info": "", "WB-species-notes": "<p></p>", "IHCFr-species-checked": "notRecommended", "IHCFr-species-dilution-info": "", "IHCFr-species-notes": "<p></p>", "IHCP-species-checked": "guaranteed", "IHCP-species-dilution-info": "0.665 µg/mL", "IHCP-species-notes": "<p></p>" }, "Mouse": { "WB-species-checked": "notRecommended", "WB-species-dilution-info": "", "WB-species-notes": "<p></p>", "IHCFr-species-checked": "notRecommended", "IHCFr-species-dilution-info": "", "IHCFr-species-notes": "<p></p>", "IHCP-species-checked": "testedAndGuaranteed", "IHCP-species-dilution-info": "0.665 µg/mL", "IHCP-species-notes": "<p></p>" }, "Rat": { "WB-species-checked": "notRecommended", "WB-species-dilution-info": "", "WB-species-notes": "<p></p>", "IHCFr-species-checked": "notRecommended", "IHCFr-species-dilution-info": "", "IHCFr-species-notes": "<p></p>", "IHCP-species-checked": "testedAndGuaranteed", "IHCP-species-dilution-info": "0.665 µg/mL", "IHCP-species-notes": "<p></p>" } } }

Product details

ab264481 is the carrier-free version of ab255957.

What are the advantages of a recombinant monoclonal antibody?
This product is a recombinant monoclonal antibody, which offers several advantages including:

  • - High batch-to-batch consistency and reproducibility
  • - Improved sensitivity and specificity
  • - Long-term security of supply
  • - Animal-free batch production

For more information, read more on recombinant antibodies.

Want a custom formulation?
This antibody clone is manufactured by Abcam. If you require a custom buffer formulation or conjugation for your experiments, please contact orders@abcam.com

Conjugation ready
Our carrier-free antibodies are typically supplied in a PBS-only formulation, purified and free of BSA, sodium azide and glycerol. This conjugation-ready format is designed for use with fluorochromes, metal isotopes, oligonucleotides, and enzymes, which makes them ideal for antibody labelling, functional and cell-based assays, flow-based assays (e.g. mass cytometry) and Multiplex Imaging applications.

Use our conjugation kits for antibody conjugates that are ready-to-use in as little as 20 minutes with 1 minute hands-on-time and 100% antibody recovery: available for fluorescent dyes, HRP, biotin and gold.

Compatibility
This product is compatible with the Maxpar® Antibody Labeling Kit from Fluidigm, without the need for antibody preparation. Maxpar® is a trademark of Fluidigm Canada Inc.

Properties and storage information

Form
Liquid
Purification technique
Affinity purification Protein A
Storage buffer
pH: 7.2 - 7.4 Constituents: PBS
Shipped at conditions
Blue Ice
Appropriate short-term storage conditions
+4°C
Appropriate long-term storage conditions
+4°C
Storage information
Do Not Freeze

Supplementary information

This supplementary information is collated from multiple sources and compiled automatically.

The calcium-sensing receptor often referred to as CaSR is a critical G-protein coupled receptor involved in calcium ion homeostasis. Also known as CASR this receptor detects changes in extracellular calcium concentration and modulates signaling pathways accordingly. The CaSR protein has a molecular weight of approximately 120 kDa. It is mainly expressed in the parathyroid gland kidney and several other tissues playing a significant role in regulating serum calcium levels.
Biological function summary

The calcium-sensing receptor modulates parathyroid hormone secretion and renal calcium excretion in response to calcium fluctuations. Although not typically part of a larger protein complex it interacts with several other proteins to perform its functions efficiently. CaSR ensures the stability of calcium concentration which is essential for bone health muscle contraction and nerve function.

Pathways

Several other proteins work alongside the calcium-sensing receptor in the calcium signaling and parathyroid hormone secretion pathways. In particular CaSR influences the MAPK pathway which impacts cell growth and differentiation. Phosphate transporters and calbindins are related to CaSR within these pathways indicating its broad scope in calcium metabolism.

The calcium-sensing receptor is closely associated with conditions like hypercalcemia and autosomal dominant hypocalcemia. CaSR mutations can result in dysfunctional calcium regulation impacting parathyroid hormone levels. The relationship between CaSR and parathyroid hormone-related peptide highlights its significance in maintaining calcium balance and preventing skeletal and neurological complications.

Product protocols

For this product, it's our understanding that no specific protocols are required. You can visit:

Target data

G-protein-coupled receptor that senses changes in the extracellular concentration of calcium ions and plays a key role in maintaining calcium homeostasis (PubMed : 17555508, PubMed : 19789209, PubMed : 21566075, PubMed : 22114145, PubMed : 22789683, PubMed : 23966241, PubMed : 25104082, PubMed : 25292184, PubMed : 25766501, PubMed : 26386835, PubMed : 7759551, PubMed : 8636323, PubMed : 8702647, PubMed : 8878438). Senses fluctuations in the circulating calcium concentration and modulates the production of parathyroid hormone (PTH) in parathyroid glands (By similarity). The activity of this receptor is mediated by a G-protein that activates a phosphatidylinositol-calcium second messenger system (PubMed : 7759551). The G-protein-coupled receptor activity is activated by a co-agonist mechanism : aromatic amino acids, such as Trp or Phe, act concertedly with divalent cations, such as calcium or magnesium, to achieve full receptor activation (PubMed : 27386547, PubMed : 27434672).
See full target information CASR

Product promise

We are committed to supporting your work with high-quality reagents, and we're here for you every step of the way. In the unlikely event that one of our products does not perform as expected, you're protected by our Product Promise.
For full details, please see our Terms & Conditions

Please note: All products are 'FOR RESEARCH USE ONLY. NOT FOR USE IN DIAGNOSTIC OR THERAPEUTIC PROCEDURES'.

For licensing inquiries, please contact partnerships@abcam.com