JavaScript is disabled in your browser. Please enable JavaScript to view this website.
AB92428

Anti-CAST antibody

Be the first to review this product! Submit a review

|

(1 Publication)

Rabbit Polyclonal CAST antibody. Suitable for ICC/IF, IHC-P and reacts with Human samples. Cited in 1 publication. Immunogen corresponding to Synthetic Peptide within Human POLR1G aa 400-500.

View Alternative Names

ASE1, CAST, CD3EAP, PAF49, POLR1G, DNA-directed RNA polymerase I subunit RPA34, A34.5, Antisense to ERCC-1 protein, CD3-epsilon-associated protein, DNA-directed RNA polymerase I subunit G, RNA polymerase I-associated factor PAF49, ASE-1, CD3E-associated protein

2 Images
Immunocytochemistry/ Immunofluorescence - Anti-CAST antibody (AB92428)
  • ICC/IF

Unknown

Immunocytochemistry/ Immunofluorescence - Anti-CAST antibody (AB92428)

Formaldehyde fixed asynchronous HeLa cells detected with ab92428 at 1/250 dilution

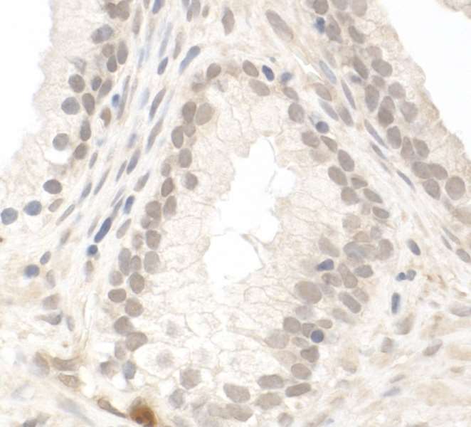
Immunohistochemistry (Formalin/PFA-fixed paraffin-embedded sections) - Anti-CAST antibody (AB92428)
  • IHC-P

Supplier Data

Immunohistochemistry (Formalin/PFA-fixed paraffin-embedded sections) - Anti-CAST antibody (AB92428)

Detection of human PAF49 by immunohistochemistry.

Sample : FFPE section of human lung carcinoma.

Antibody : Affinity purified rabbit anti-PAF49 used at 1/1,250 dilution.

Detection : DAB

Key facts

Host species

Rabbit

Clonality

Polyclonal

Isotype

IgG

Carrier free

No

Reacts with

Human

Applications

ICC/IF, IHC-P

applications

Immunogen

Synthetic Peptide within Human POLR1G aa 400-500. The exact immunogen used to generate this antibody is proprietary information.

O15446

Reactivity data

{ "title": "Reactivity Data", "filters": { "stats": ["", "Species", "Dilution Info", "Notes"], "tabs": { "all-applications": {"fullname" : "All Applications", "shortname": "All Applications"}, "ICCIF" : {"fullname" : "Immunocytochemistry/ Immunofluorescence", "shortname":"ICC/IF"}, "IHCP" : {"fullname" : "Immunohistochemistry (Formalin/PFA-fixed paraffin-embedded sections)", "shortname":"IHC-P"} }, "product-promise": { "all": "all", "testedAndGuaranteed": "tested", "guaranteed": "expected", "predicted": "predicted", "notRecommended": "not-recommended" } }, "values": { "Human": { "ICCIF-species-checked": "testedAndGuaranteed", "ICCIF-species-dilution-info": "", "ICCIF-species-notes": "<p></p>", "IHCP-species-checked": "testedAndGuaranteed", "IHCP-species-dilution-info": "1/100 - 1/5000", "IHCP-species-notes": "<p></p>" }, "Chimpanzee": { "ICCIF-species-checked": "predicted", "ICCIF-species-dilution-info": "", "ICCIF-species-notes": "", "IHCP-species-checked": "predicted", "IHCP-species-dilution-info": "", "IHCP-species-notes": "" }, "Gorilla": { "ICCIF-species-checked": "predicted", "ICCIF-species-dilution-info": "", "ICCIF-species-notes": "", "IHCP-species-checked": "predicted", "IHCP-species-dilution-info": "", "IHCP-species-notes": "" } } }

Properties and storage information

Form
Liquid
Purification technique
Affinity purification Immunogen
Storage buffer
pH: 6.8 - 7.4 Preservative: 0.09% Sodium azide Constituents: Tris buffered saline, 0.1% BSA
Shipped at conditions
Blue Ice
Appropriate short-term storage conditions
+4°C
Appropriate long-term storage conditions
+4°C
Aliquoting information
Upon delivery aliquot
Storage information
Avoid freeze / thaw cycle

Supplementary information

This supplementary information is collated from multiple sources and compiled automatically.

Calpastatin also known as CAST is a specific inhibitor of calpain a calcium-dependent cysteine protease. Calpastatin has an approximate mass of 86 kDa and is expressed in various tissues throughout the body including the brain and muscle tissue. Its expression ensures the tight regulation of calpain activity allowing appropriate control of cellular processes which calpain influences through proteolysis.
Biological function summary

Calpastatin acts to regulate calpain's protease activity within cells. It achieves this by directly binding with and inhibiting the activated form of calpain therefore preventing unwanted proteolysis of substrates. Calpastatin does not function as an isolated protein but often forms part of larger protein complexes. Through these interactions calpastatin modulates activities important for cellular homeostasis differentiation and apoptosis.

Pathways

Several cellular pathways integrate calpastatin function owing to its modulation of calpain activity. The calcium signaling pathway significantly involves calpastatin as its inhibition of calpain helps balance cellular responses to changes in calcium ion concentrations. Calpastatin is also closely related to the ubiquitin-proteasome pathway given that calpain can process proteins involved in this regulatory pathway influencing protein degradation and cell cycle progression.

Calpastatin has implications in muscular dystrophies and neurodegenerative diseases. In conditions like muscular dystrophy calpastatin may become dysregulated leading to excessive calpain activity that damages muscle protein structures. Calpastatin's dysregulation is also linked with Alzheimer's disease where aberrant calpain activation appears to contribute to neuronal damage. Understanding how calpastatin interacts with these pathways provides insight into potential therapeutic targets such as calpain in these diseases.

Product protocols

For this product, it's our understanding that no specific protocols are required. You can visit:

Target data

Component of RNA polymerase I (Pol I), a DNA-dependent RNA polymerase which synthesizes ribosomal RNA precursors using the four ribonucleoside triphosphates as substrates. Involved in UBTF-activated transcription, presumably at a step following PIC formation.. Isoform 2. Has been described as a component of preformed T-cell receptor (TCR) complex.
See full target information POLR1G

Publications (1)

Recent publications for all applications. Explore the full list and refine your search

Cell cycle (Georgetown, Tex.) 21:439-449 PubMed35030041

2022

NPSR1-AS1 activates the MAPK pathway to facilitate thyroid cancer cell malignant behaviors via recruiting ELAVL1 to stabilize NPSR1 mRNA.

Applications

Unspecified application

Species

Unspecified reactive species

Tiangen Ni,Dan Guo,Ling Tan,Zhesi Xiao,Yanjie Shi
View all publications

Product promise

We are committed to supporting your work with high-quality reagents, and we're here for you every step of the way. In the unlikely event that one of our products does not perform as expected, you're protected by our Product Promise.
For full details, please see our Terms & Conditions

Please note: All products are 'FOR RESEARCH USE ONLY. NOT FOR USE IN DIAGNOSTIC OR THERAPEUTIC PROCEDURES'.

For licensing inquiries, please contact partnerships@abcam.com