JavaScript is disabled in your browser. Please enable JavaScript to view this website.
AB283665

Anti-CASZ1 antibody [EPR23824-4] - BSA and Azide free

Be the first to review this product! Submit a review

|

(0 Publication)

Rabbit Recombinant Monoclonal CASZ1 antibody. Carrier free. Suitable for WB, IHC-P, IHC-Fr and reacts with Mouse, Rat samples.

View Alternative Names

Cst, D4Ertd432e, Kiaa3026, Casz1, Zinc finger protein castor homolog 1, Castor-related protein

9 Images
Immunohistochemistry (Formalin/PFA-fixed paraffin-embedded sections) - Anti-CASZ1 antibody [EPR23824-4] - BSA and Azide free (AB283665)
  • IHC-P

Supplier Data

Immunohistochemistry (Formalin/PFA-fixed paraffin-embedded sections) - Anti-CASZ1 antibody [EPR23824-4] - BSA and Azide free (AB283665)

This data was developed using ab259847, the same antibody clone in a different buffer formulation.

Immunohistochemical analysis of paraffin-embedded Rat lung tissue labelling CASZ1 with ab259847 at 1/300 (1.947 ug/ml) followed by a ready to use LeicaDS9800 (Bond™ Polymer Refine Detection). Positive staining on rat lung. The section was incubated with ab259847 for 30 mins at room temperature.The immunostaining was performed on a Leica Biosystems BOND® RX instrument Counterstained with Hematoxylin.

Secondary antibody only control : Secondary antibody is a ready to use LeicaDS9800 (Bond™ Polymer Refine Detection).

Heat mediated antigen retrieval with Tris-EDTA buffer (pH 9.0, epitope retrieval solution2) for 20 mins

Immunohistochemistry (Formalin/PFA-fixed paraffin-embedded sections) - Anti-CASZ1 antibody [EPR23824-4] - BSA and Azide free (AB283665)
  • IHC-P

Supplier Data

Immunohistochemistry (Formalin/PFA-fixed paraffin-embedded sections) - Anti-CASZ1 antibody [EPR23824-4] - BSA and Azide free (AB283665)

This data was developed using ab259847, the same antibody clone in a different buffer formulation.

Immunohistochemical analysis of paraffin-embedded Mouse retina tissue labelling CASZ1 with ab259847 at 1/300 (1.947 ug/ml) followed by a ready to use LeicaDS9800 (Bond™ Polymer Refine Detection). Positive staining on mouse retina. (PMID : 15226823, 25654255) The section was incubated with ab259847 for 30 mins at room temperature. The immunostaining was performed on a Leica Biosystems BOND® RX instrument Counterstained with Hematoxylin.

Secondary antibody only control : Secondary antibody is a ready to use LeicaDS9800 (Bond™ Polymer Refine Detection).

Heat mediated antigen retrieval with Tris-EDTA buffer (pH 9.0, epitope retrieval solution2) for 20 mins

Immunohistochemistry (Frozen sections) - Anti-CASZ1 antibody [EPR23824-4] - BSA and Azide free (AB283665)
  • IHC-Fr

Supplier Data

Immunohistochemistry (Frozen sections) - Anti-CASZ1 antibody [EPR23824-4] - BSA and Azide free (AB283665)

This data was developed using ab259847, the same antibody clone in a different buffer formulation.

Immunohistochemical analysis of 4% PFA-fixed, 0.2% Triton X-100 permeabilized frozen Mouse cerebrum (fresh) tissue labeling CASZ1 with ab259847 at 1/100 (5.84 ug/ml) dilution followed by ab150081 Goat Anti-Rabbit IgG H&L (Alexa Fluor® 488) preadsorbed at 1/1000 (2 ug/ml) dilution (Green). The nuclear counterstain was DAPI (Blue).

Negative control : No staining on mouse cerebrum (PMID : 16631614).

Secondary antibody control : Secondary antibody is ab150081 Goat Anti-Rabbit IgG H&L (Alexa Fluor® 488) preadsorbed at 1/1000 (2 ug/ml) dilution.

Immunohistochemistry (Formalin/PFA-fixed paraffin-embedded sections) - Anti-CASZ1 antibody [EPR23824-4] - BSA and Azide free (AB283665)
  • IHC-P

Supplier Data

Immunohistochemistry (Formalin/PFA-fixed paraffin-embedded sections) - Anti-CASZ1 antibody [EPR23824-4] - BSA and Azide free (AB283665)

This data was developed using ab259847, the same antibody clone in a different buffer formulation.

Immunohistochemical analysis of paraffin-embedded Mouse cerebrum tissue labelling CASZ1 with ab259847 at 1/300 (1.947 ug/ml) followed by a ready to use LeicaDS9800 (Bond™ Polymer Refine Detection). The section was incubated with ab259847 for 30 mins at room temperature. The immunostaining was performed on a Leica Biosystems BOND® RX instrument Counterstained with Hematoxylin.

Negative control : no staining on mouse cerebrum.

Secondary antibody only control : Secondary antibody is a ready to use LeicaDS9800 (Bond™ Polymer Refine Detection).

Heat mediated antigen retrieval with Tris-EDTA buffer (pH 9.0, epitope retrieval solution2) for 20 mins

Immunohistochemistry (Frozen sections) - Anti-CASZ1 antibody [EPR23824-4] - BSA and Azide free (AB283665)
  • IHC-Fr

Supplier Data

Immunohistochemistry (Frozen sections) - Anti-CASZ1 antibody [EPR23824-4] - BSA and Azide free (AB283665)

This data was developed using ab259847, the same antibody clone in a different buffer formulation.

Immunohistochemical analysis of 4% PFA-fixed, 0.2% Triton X-100 permeabilized frozen Rat cerebrum (fresh) tissue labeling CASZ1 with ab259847 at 1/100 (5.84 ug/ml) dilution followed by ab150081 Goat Anti-Rabbit IgG H&L (Alexa Fluor® 488) preadsorbed at 1/1000 (2 ug/ml) dilution (Green). The nuclear counterstain was DAPI (Blue).

Negative control : No staining on rat cerebrum (PMID : 16631614).

Secondary antibody control : Secondary antibody is ab150081 Goat Anti-Rabbit IgG H&L (Alexa Fluor® 488) preadsorbedat 1/1000 (2 ug/ml) dilution.

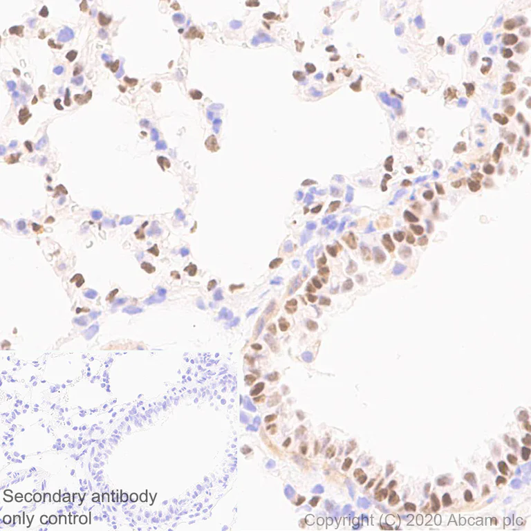
Immunohistochemistry (Formalin/PFA-fixed paraffin-embedded sections) - Anti-CASZ1 antibody [EPR23824-4] - BSA and Azide free (AB283665)
  • IHC-P

Supplier Data

Immunohistochemistry (Formalin/PFA-fixed paraffin-embedded sections) - Anti-CASZ1 antibody [EPR23824-4] - BSA and Azide free (AB283665)

This data was developed using ab259847, the same antibody clone in a different buffer formulation.

Immunohistochemical analysis of paraffin-embedded Mouse lung tissue labelling CASZ1 with ab259847 at 1/300 (1.947 ug/ml) followed by a ready to use LeicaDS9800 (Bond™ Polymer Refine Detection). Positive staining on mouse lung. (PMID : 25333685) The section was incubated with ab259847 for 30 mins at room temperature. The immunostaining was performed on a Leica Biosystems BOND® RX instrument Counterstained with Hematoxylin.

Secondary antibody only control : Secondary antibody is a ready to use LeicaDS9800 (Bond™ Polymer Refine Detection.

Heat mediated antigen retrieval with Tris-EDTA buffer (pH 9.0, epitope retrieval solution2) for 20 mins

Immunohistochemistry (Frozen sections) - Anti-CASZ1 antibody [EPR23824-4] - BSA and Azide free (AB283665)
  • IHC-Fr

Supplier Data

Immunohistochemistry (Frozen sections) - Anti-CASZ1 antibody [EPR23824-4] - BSA and Azide free (AB283665)

This data was developed using ab259847, the same antibody clone in a different buffer formulation.

Immunohistochemical analysis of 4% PFA-fixed, 0.2% Triton X-100 permeabilized frozen Mouse lung (fresh) tissue labeling CASZ1 with ab259847 at 1/100 (5.84 ug/ml) dilution followed by ab150081 Goat Anti-Rabbit IgG H&L (Alexa Fluor® 488) preadsorbed at 1/1000 (2 ug/ml) dilution (Green). Nuclear staining on mouse lung is observed. The nuclear counterstain was DAPI (Blue).

Secondary antibody control : Secondary antibody is ab150081 Goat Anti-Rabbit IgG H&L (Alexa Fluor® 488) preadsorbedat 1/1000 (2 ug/ml) dilution.

Immunohistochemistry (Frozen sections) - Anti-CASZ1 antibody [EPR23824-4] - BSA and Azide free (AB283665)
  • IHC-Fr

Supplier Data

Immunohistochemistry (Frozen sections) - Anti-CASZ1 antibody [EPR23824-4] - BSA and Azide free (AB283665)

This data was developed using ab259847, the same antibody clone in a different buffer formulation.

Immunohistochemical analysis of 4% PFA-fixed, 0.2% Triton X-100 permeabilized frozen Rat lung (fresh) tissue labeling CASZ1 with ab259847 at 1/100 (5.84 ug/ml) dilution followed by ab150081 Goat Anti-Rabbit IgG H&L (Alexa Fluor® 488) preadsorbed at 1/1000 (2 ug/ml) dilution (Green). Nuclear staining on rat lung is observed. The nuclear counterstain was DAPI (Blue).

Secondary antibody control : Secondary antibody is ab150081 Goat Anti-Rabbit IgG H&L (Alexa Fluor® 488) preadsorbedat 1/1000 (2 ug/ml) dilution.

Western blot - Anti-CASZ1 antibody [EPR23824-4] - BSA and Azide free (AB283665)
  • WB

Lab

Western blot - Anti-CASZ1 antibody [EPR23824-4] - BSA and Azide free (AB283665)

This data was developed using ab259847, the same antibody clone in a different buffer formulation.

Blocking and diluting buffer and concentration : 5% NFDM/TBST

Negative control : Mouse liver (PMID : 16631614)

The expression profile/ molecular weight observed is consistent with what has been described in the literature (PMID : 33594190, 32060262)

Exposure time : 81 seconds

All lanes:

Western blot - Anti-CASZ1 antibody [EPR23824-4] (<a href='/en-us/products/primary-antibodies/casz1-antibody-epr23824-4-ab259847'>ab259847</a>) at 1/1000 dilution

Lane 1:

Mouse lung tissue lysate at 20 µg

Lane 2:

Mouse E18 heart tissue lysate at 20 µg

Lane 3:

Mouse P20 retina tissue lysate at 20 µg

Lane 4:

Mouse liver tissue lysate at 20 µg

Secondary

All lanes:

Western blot - Goat Anti-Rabbit IgG H&L (HRP) (<a href='/en-us/products/secondary-antibodies/goat-rabbit-igg-h-l-hrp-ab97051'>ab97051</a>) at 1/20000 dilution

Predicted band size: 190 kDa

Observed band size: 150 kDa,250 kDa

false

Key facts

Host species

Rabbit

Clonality

Monoclonal

Clone number

EPR23824-4

Isotype

IgG

Carrier free

Yes

Reacts with

Rat, Mouse

Applications

IHC-P, IHC-Fr, WB

applications

Immunogen

The exact immunogen used to generate this antibody is proprietary information.

Specificity

Rat unsuitable for WB application

Reactivity data

{ "title": "Reactivity Data", "filters": { "stats": ["", "Species", "Dilution Info", "Notes"], "tabs": { "all-applications": {"fullname" : "All Applications", "shortname": "All Applications"}, "IP" : {"fullname" : "Immunoprecipitation", "shortname":"IP"}, "WB" : {"fullname" : "Western blot", "shortname":"WB"}, "IHCP" : {"fullname" : "Immunohistochemistry (Formalin/PFA-fixed paraffin-embedded sections)", "shortname":"IHC-P"}, "IHCFr" : {"fullname" : "Immunohistochemistry (Frozen sections)", "shortname":"IHC-Fr"} }, "product-promise": { "all": "all", "testedAndGuaranteed": "tested", "guaranteed": "expected", "predicted": "predicted", "notRecommended": "not-recommended" } }, "values": { "Human": { "IP-species-checked": "notRecommended", "IP-species-dilution-info": "", "IP-species-notes": "<p></p>", "WB-species-checked": "notRecommended", "WB-species-dilution-info": "", "WB-species-notes": "<p>Rat unsuitable for WB application</p>", "IHCP-species-checked": "notRecommended", "IHCP-species-dilution-info": "", "IHCP-species-notes": "<p></p>", "IHCFr-species-checked": "notRecommended", "IHCFr-species-dilution-info": "", "IHCFr-species-notes": "" }, "Mouse": { "IP-species-checked": "notRecommended", "IP-species-dilution-info": "", "IP-species-notes": "<p></p>", "WB-species-checked": "testedAndGuaranteed", "WB-species-dilution-info": "", "WB-species-notes": "<p>Rat unsuitable for WB application</p>", "IHCP-species-checked": "testedAndGuaranteed", "IHCP-species-dilution-info": "", "IHCP-species-notes": "<p></p>", "IHCFr-species-checked": "testedAndGuaranteed", "IHCFr-species-dilution-info": "", "IHCFr-species-notes": "<p></p>" }, "Rat": { "IP-species-checked": "notRecommended", "IP-species-dilution-info": "", "IP-species-notes": "", "WB-species-checked": "notRecommended", "WB-species-dilution-info": "", "WB-species-notes": "<p>Rat unsuitable for WB application</p>", "IHCP-species-checked": "testedAndGuaranteed", "IHCP-species-dilution-info": "", "IHCP-species-notes": "<p></p>", "IHCFr-species-checked": "testedAndGuaranteed", "IHCFr-species-dilution-info": "", "IHCFr-species-notes": "<p></p>" } } }

Product details

ab283665 is the carrier-free version of ab259847.

Patented technology
Our RabMAb® technology is a patented hybridoma-based technology for making rabbit monoclonal antibodies. For details on our patents, please refer to RabMAb® patents.

What are the advantages of a recombinant monoclonal antibody?
This product is a recombinant monoclonal antibody, which offers several advantages including:

  • - High batch-to-batch consistency and reproducibility
  • - Improved sensitivity and specificity
  • - Long-term security of supply
  • - Animal-free batch production

For more information, read more on recombinant antibodies.

Conjugation ready
Our carrier-free antibodies are typically supplied in a PBS-only formulation, purified and free of BSA, sodium azide and glycerol. This conjugation-ready format is designed for use with fluorochromes, metal isotopes, oligonucleotides, and enzymes, which makes them ideal for antibody labelling, functional and cell-based assays, flow-based assays (e.g. mass cytometry) and Multiplex Imaging applications.

Use our conjugation kits for antibody conjugates that are ready-to-use in as little as 20 minutes with 1 minute hands-on-time and 100% antibody recovery: available for fluorescent dyes, HRP, biotin and gold.

Compatibility
This product is compatible with the Maxpar® Antibody Labeling Kit from Fluidigm, without the need for antibody preparation. Maxpar® is a trademark of Fluidigm Canada Inc.

Properties and storage information

Form
Liquid
Purification technique
Affinity purification Protein A
Storage buffer
pH: 7.2 - 7.4 Constituents: PBS
Shipped at conditions
Blue Ice
Appropriate short-term storage conditions
+4°C
Appropriate long-term storage conditions
+4°C

Supplementary information

This supplementary information is collated from multiple sources and compiled automatically.

CASZ1 also known as Castor zinc finger 1 is a transcription factor with a molecular mass around 131 kDa. It contains zinc finger motifs which allow it to bind DNA and regulate gene expression. This protein is ubiquitously expressed prominently found during development in tissues like the heart brain and vascular systems. CASZ1 plays an important role in cellular processes through its regulatory actions.
Biological function summary

This transcription factor influences cardiovascular development and neural differentiation. It is part of no known complex but interacts with other proteins for its function. CASZ1 regulates gene networks that are necessary for proper cell cycle progression and differentiation. Its presence ensures cells develop with the right timing and destinations especially in tissues demanding precise regulation.

Pathways

CASZ1 integrates into significant developmental pathways. It participates in the Notch signaling pathway important for vascular development and heart formation. Through these pathways CASZ1 interacts with other proteins such as Notch receptors and Delta ligands. This linkage helps synchronize gene expression for tissue-specific development.

CASZ1 links to congenital heart disease and neuroblastoma. Mutations or deregulation in CASZ1 expression have been associated with improper heart formation in congenital defects. In neuroblastoma its dysregulation alters cellular differentiation. CASZ1 interacts with proteins like MYCN in neuroblastoma relating to the malignancy's progression. Understanding CASZ1's roles could reveal therapeutic targets for these conditions.

Product protocols

For this product, it's our understanding that no specific protocols are required. You can visit:

Target data

Transcription factor involved in vascular assembly and morphogenesis through direct transcriptional regulation of EGFL7.
See full target information Casz1

Product promise

We are committed to supporting your work with high-quality reagents, and we're here for you every step of the way. In the unlikely event that one of our products does not perform as expected, you're protected by our Product Promise.
For full details, please see our Terms & Conditions

Please note: All products are 'FOR RESEARCH USE ONLY. NOT FOR USE IN DIAGNOSTIC OR THERAPEUTIC PROCEDURES'.

For licensing inquiries, please contact partnerships@abcam.com