JavaScript is disabled in your browser. Please enable JavaScript to view this website.
AB69484

Anti-Cathelicidin/CLP antibody

1

(2 Reviews)

|

(12 Publications)

Rabbit Polyclonal Cathelicidin/CLP antibody. Suitable for WB, ICC/IF, IHC-P and reacts with Human samples. Cited in 12 publications. Immunogen corresponding to Synthetic Peptide within Human CAMP aa 50-100.

View Alternative Names

CAP18, FALL39, HSD26, CAMP, Cathelicidin antimicrobial peptide, 18 kDa cationic antimicrobial protein, CAP-18, hCAP-18

3 Images
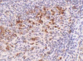
Immunohistochemistry (Formalin/PFA-fixed paraffin-embedded sections) - Anti-Cathelicidin/CLP antibody (AB69484)
  • IHC-P

Unknown

Immunohistochemistry (Formalin/PFA-fixed paraffin-embedded sections) - Anti-Cathelicidin/CLP antibody (AB69484)

ab69484 at 5 μg/ml staining Cathelicidin/CLP in human spleen tissue by Immunohistochemistry (Formalin/PFA-fixed paraffin-embedded sections).

Immunocytochemistry/ Immunofluorescence - Anti-Cathelicidin/CLP antibody (AB69484)
  • ICC/IF

Unknown

Immunocytochemistry/ Immunofluorescence - Anti-Cathelicidin/CLP antibody (AB69484)

Immunofluorescence of Cathelicidin/CLP in Human Spleen cells using ab69484 at 20 ug/ml.

Western blot - Anti-Cathelicidin/CLP antibody (AB69484)
  • WB

Unknown

Western blot - Anti-Cathelicidin/CLP antibody (AB69484)

All lanes:

Western blot - Anti-Cathelicidin/CLP antibody (ab69484) at 1 µg/mL

All lanes:

Human spleen tissue lysate at 15 µg

Predicted band size: 19 kDa

Observed band size: 19 kDa

false

Key facts

Host species

Rabbit

Clonality

Polyclonal

Isotype

IgG

Carrier free

No

Reacts with

Human

Applications

ICC/IF, IHC-P, WB

applications

Immunogen

Synthetic Peptide within Human CAMP aa 50-100. The exact immunogen used to generate this antibody is proprietary information.

P49913

Specificity

There is 71% homology between the immunogen and mouse cathelicidin/CLP. This antibody has been published (see PubMed: 21724991) with mouse samples, but we were unable to see an appropriately sized band in mouse spleen or small intestine by WB. It may be that certain lots have worked with mouse, but we are unable to guarantee cross-reactivity with mouse after our testing.

Reactivity data

{ "title": "Reactivity Data", "filters": { "stats": ["", "Species", "Dilution Info", "Notes"], "tabs": { "all-applications": {"fullname" : "All Applications", "shortname": "All Applications"}, "WB" : {"fullname" : "Western blot", "shortname":"WB"}, "ICCIF" : {"fullname" : "Immunocytochemistry/ Immunofluorescence", "shortname":"ICC/IF"}, "IHCP" : {"fullname" : "Immunohistochemistry (Formalin/PFA-fixed paraffin-embedded sections)", "shortname":"IHC-P"} }, "product-promise": { "all": "all", "testedAndGuaranteed": "tested", "guaranteed": "expected", "predicted": "predicted", "notRecommended": "not-recommended" } }, "values": { "Human": { "WB-species-checked": "testedAndGuaranteed", "WB-species-dilution-info": "1 µg/mL", "WB-species-notes": "<p></p>", "ICCIF-species-checked": "testedAndGuaranteed", "ICCIF-species-dilution-info": "20 µg/mL", "ICCIF-species-notes": "<p></p>", "IHCP-species-checked": "testedAndGuaranteed", "IHCP-species-dilution-info": "5 µg/mL", "IHCP-species-notes": "<p></p>" } } }

Properties and storage information

Form
Liquid
Purification technique
Affinity purification Immunogen
Storage buffer
pH: 7.2 Preservative: 0.02% Sodium azide Constituents: PBS
Shipped at conditions
Blue Ice
Appropriate short-term storage duration
1-2 weeks
Appropriate short-term storage conditions
+4°C
Appropriate long-term storage conditions
+4°C

Supplementary information

This supplementary information is collated from multiple sources and compiled automatically.

Cathelicidin also known as LL-37 peptide is an antimicrobial peptide with a mass of around 18 kDa. It plays an important role in the innate immune system by disrupting microbial membranes. LL-37 is expressed in various tissues including skin mucosal surfaces and certain immune cells. These peptides protect the host from infection by directly killing bacteria viruses and fungi and by modulating immune responses.
Biological function summary

Peptides like Cathelicidin are essential for host defense mechanisms contributing to cell signaling and pathogen clearance. LL-37 does not function within a complex but acts independently to influence immune cell chemotaxis. It promotes wound healing angiogenesis and tissue repair thereby ensuring rapid response to injury or infection.

Pathways

Cathelicidin interacts within inflammatory and wound healing pathways. It is involved in the NF-kB signaling pathway which regulates immune response and is linked to TLR (Toll-like receptor) pathways impacting cytokine production and further immune modulation. Proteins such as defensins share similar pathways indicating their collective influence in antimicrobial defense and tissue repair.

Peptides like Cathelicidin are associated with conditions like psoriasis and atopic dermatitis. Overexpression or dysregulation of LL-37 can exacerbate inflammation in these autoimmune skin disorders. Related to these diseases proteins such as interleukins (IL-1 and IL-6) are often co-expressed or influenced by Cathelicidin levels indicating their intertwined role in skin homeostasis and immune responses.

Product protocols

For this product, it's our understanding that no specific protocols are required. You can visit:

Target data

Antimicrobial protein that is an integral component of the innate immune system (PubMed : 14978112, PubMed : 16637646, PubMed : 18818205, PubMed : 22879591, PubMed : 9736536). Binds to bacterial lipopolysaccharides (LPS) (PubMed : 16637646, PubMed : 18818205). Acts via neutrophil N-formyl peptide receptors to enhance the release of CXCL2 (PubMed : 22879591). Postsecretory processing generates multiple cathelicidin antimicrobial peptides with various lengths which act as a topical antimicrobial defense in sweat on skin (PubMed : 14978112). The unprocessed precursor form, cathelicidin antimicrobial peptide, inhibits the growth of Gram-negative E.coli and E.aerogenes with efficiencies comparable to that of the mature peptide LL-37 (in vitro) (PubMed : 9736536).. Antibacterial peptide LL-37. Antimicrobial peptide that is an integral component of the innate immune system (PubMed : 10417311, PubMed : 15778390, PubMed : 16637646, PubMed : 18818205, PubMed : 22879591, PubMed : 32753597, PubMed : 33060695, PubMed : 34708076, PubMed : 8681941, PubMed : 9736536). Binds to bacterial lipopolysaccharides (LPS) (PubMed : 10417311, PubMed : 16637646, PubMed : 18818205, PubMed : 33060695, PubMed : 9736536). Causes membrane permeabilization by forming transmembrane pores (in vitro) (PubMed : 22879591, PubMed : 32753597, PubMed : 33060695). Causes lysis of E.coli (PubMed : 10417311). Exhibits antimicrobial activity against Gram-negative bacteria such as P.aeruginosa, S.typhimurium, E.aerogenes, E.coli and P.syringae, Gram-positive bacteria such as L.monocytogenes, S.epidermidis, S.pyogenes and S.aureus, as well as vancomycin-resistant enterococci (in vitro) (PubMed : 10417311, PubMed : 32753597, PubMed : 8681941, PubMed : 9736536). Exhibits antimicrobial activity against methicillin-resistant S.aureus, P.mirabilis, and C.albicans in low-salt media, but not in media containing 100 mM NaCl (in vitro) (PubMed : 9736536). Forms chiral supramolecular assemblies with quinolone signal (PQS) molecules of P.aeruginosa, which may lead to interference of bacterial quorum signaling and perturbance of bacterial biofilm formation (PubMed : 34708076). May form supramolecular fiber-like assemblies on bacterial membranes (PubMed : 29133814). Induces cytokine and chemokine production as well as TNF/TNFA and CSF2/GMCSF production in normal human keratinocytes (PubMed : 15778390). Exhibits hemolytic activity against red blood cells (PubMed : 10417311).. Antibacterial peptide FALL-39. Exhibits antimicrobial activity against E.coli and B.megaterium (in vitro).. Antibacterial peptide KR-20. Acts synergistically with peptides KS-30 and KR-31, killing bacteria such as S.aureus, E.coli and C.albicans at lower concentrations when present together, and maintains activity at increased salt condition (PubMed : 14978112). Does not have the ability to stimulate CXCL8/IL8 release from keratinocytes (PubMed : 14978112).. Antibacterial peptide LL-23. Poorly active (MIC > 150 uM) against E.coli strain K12 (PubMed : 14978112). Is able to induce the pro-inflammatory cytokine TNF/TNFA or the chemokine CCL2/MCP1 (PubMed : 14978112).. Antibacterial peptide LL-29. Moderately antibacterial.. Antibacterial peptide KS-30. Moderately antibacterial (PubMed : 14978112). Acts synergistically with peptides KR-20 and KR-31, killing bacteria such as S.aureus, E.coli and C.albicans at lower concentrations when present together, and maintain activity at increased salt condition (PubMed : 14978112). Does not have the ability to stimulate CXCL8/IL8 release from keratinocytes (PubMed : 14978112).. Antibacterial peptide RK-31. Acts synergistically with peptides KS-30 and KR-31, killing bacteria such as S.aureus, E.coli and C.albicans at lower concentrations when present together, and maintain activity at increased salt condition (PubMed : 14978112). Does not have the ability to stimulate CXCL8/IL8 release from keratinocytes (PubMed : 14978112).. Antibacterial peptide FF-33. Inhibits the growth of E.coli and B.megaterium and exhibits hemolytic activity against human red blood cells.
See full target information CAMP

Publications (12)

Recent publications for all applications. Explore the full list and refine your search

iScience 28:111925 PubMed40034857

2025

Gasdermin D-dependent neutrophil extracellular traps exacerbate cytokine storm contributing to pyoderma gangrenosum pathogenesis.

Applications

Unspecified application

Species

Unspecified reactive species

Sheng Li,Shuni Ying,Hong Fang,Jianjun Qiao

Skin pharmacology and physiology 36:117-124 PubMed36702115

2023

Application of Topical Sandalore® Increases Epidermal Dermcidin Synthesis in Organ-Cultured Human Skin ex vivo.

Applications

Unspecified application

Species

Unspecified reactive species

Janin Edelkamp,Marta B Lousada,Daniela Pinto,Jérémy Chéret,James D B O'Sullivan,Antonio Biundo,Francisco Jimenez,Wolfgang Funk,Christian Roessing,Volker Rippmann,Ralf Paus,Marta Bertolini

PLoS biology 20:e3001554 PubMed36026478

2022

The antimicrobial peptide cathelicidin drives development of experimental autoimmune encephalomyelitis in mice by affecting Th17 differentiation.

Applications

Unspecified application

Species

Unspecified reactive species

Katie J Smith,Danielle Minns,Brian J McHugh,Rebecca K Holloway,Richard O'Connor,Anna Williams,Lauren Melrose,Rhoanne McPherson,Veronique E Miron,Donald J Davidson,Emily Gwyer Findlay

The journal of pathology. Clinical research 7:495-506 PubMed33988317

2021

Colonic epithelial cathelicidin (LL-37) expression intensity is associated with progression of colorectal cancer and presence of CD8 T cell infiltrate.

Applications

Unspecified application

Species

Unspecified reactive species

Ross J Porter,Graeme I Murray,Abdo Alnabulsi,Matthew P Humphries,Jacqueline A James,Manuel Salto-Tellez,Stephanie G Craig,Ji M Wang,Teizo Yoshimura,Mairi H McLean

Molecular medicine reports 22:5243-5250 PubMed33174023

2020

Human cathelicidin antimicrobial peptide suppresses proliferation, migration and invasion of oral carcinoma HSC-3 cells via a novel mechanism involving caspase-3 mediated apoptosis.

Applications

Unspecified application

Species

Unspecified reactive species

Xi Chen,Shenying Ji,Jia Si,Xiangyu Zhang,Xiaoyan Wang,Yong Guo,Xianqiong Zou

EMBO molecular medicine 12:e10233 PubMed31782624

2019

Genetically engineered distal airway stem cell transplantation protects mice from pulmonary infection.

Applications

Unspecified application

Species

Unspecified reactive species

Yue-Qing Zhou,Yun Shi,Ling Yang,Yu-Fen Sun,Yu-Fei Han,Zi-Xian Zhao,Yu-Jia Wang,Ying Liu,Yu Ma,Ting Zhang,Tao Ren,Tina P Dale,Nicholas R Forsyth,Fa-Guang Jin,Jie-Ming Qu,Wei Zuo,Jin-Fu Xu

Journal of immunology (Baltimore, Md. : 1950) 203:2276-2290 PubMed31519860

2019

Intra- and Extracellular Degradation of Neutrophil Extracellular Traps by Macrophages and Dendritic Cells.

Applications

Unspecified application

Species

Unspecified reactive species

Beatrice Lazzaretto,Bengt Fadeel

Acta biomaterialia 97:187-199 PubMed31386930

2019

Eluted 25-hydroxyvitamin D from radially aligned nanofiber scaffolds enhances cathelicidin production while reducing inflammatory response in human immune system-engrafted mice.

Applications

Unspecified application

Species

Unspecified reactive species

Shixuan Chen,Liangpeng Ge,Hongjun Wang,Yan Cheng,Santhi Gorantla,Larisa Y Poluektova,Adrian F Gombart,Jingwei Xie

Clinical and experimental allergy : journal of the British Society for Allergy and Clinical Immunology 49:990-999 PubMed31046155

2019

LL-37 promotes neutrophil extracellular trap formation in chronic rhinosinusitis with nasal polyps.

Applications

Unspecified application

Species

Unspecified reactive species

Yujie Cao,Fenghong Chen,Yueqi Sun,Haiyu Hong,Yihui Wen,Yinyan Lai,Zhaofeng Xu,Xin Luo,Yang Chen,Jianbo Shi,Huabin Li

Stem cell research & therapy 8:157 PubMed28676123

2017

Antimicrobial peptides secreted by equine mesenchymal stromal cells inhibit the growth of bacteria commonly found in skin wounds.

Applications

Unspecified application

Species

Unspecified reactive species

Rebecca M Harman,Steven Yang,Megan K He,Gerlinde R Van de Walle
View all publications

Product promise

We are committed to supporting your work with high-quality reagents, and we're here for you every step of the way. In the unlikely event that one of our products does not perform as expected, you're protected by our Product Promise.
For full details, please see our Terms & Conditions

Please note: All products are 'FOR RESEARCH USE ONLY. NOT FOR USE IN DIAGNOSTIC OR THERAPEUTIC PROCEDURES'.

For licensing inquiries, please contact partnerships@abcam.com