JavaScript is disabled in your browser. Please enable JavaScript to view this website.
AB207758

Anti-Cathelicidin/CLP antibody [EPR20469]

Be the first to review this product! Submit a review

|

(2 Publications)

Rabbit Recombinant Monoclonal Cathelicidin/CLP antibody. Suitable for IP, WB, IHC-P and reacts with Human samples. Cited in 2 publications.

View Alternative Names

CAP18, FALL39, HSD26, CAMP, Cathelicidin antimicrobial peptide, 18 kDa cationic antimicrobial protein, CAP-18, hCAP-18

4 Images
Immunohistochemistry (Formalin/PFA-fixed paraffin-embedded sections) - Anti-Cathelicidin/CLP antibody [EPR20469] (AB207758)
  • IHC-P

Supplier Data

Immunohistochemistry (Formalin/PFA-fixed paraffin-embedded sections) - Anti-Cathelicidin/CLP antibody [EPR20469] (AB207758)

Immunohistochemical analysis of paraffin-embedded human tonsil tissue labeling Cathelicidin/CLP with ab207758 at 1/4000 dilution, followed by Goat Anti-Rabbit IgG H&L (HRP) (ab97051) at 1/500 dilution.

Cytoplasmic staining on neutrophils in a blood vessel [PMID : 10858248].

Counter stained with Hematoxylin.

Secondary antibody only control : Used PBS instead of primary antibody, secondary antibody is Goat Anti-Rabbit IgG H&L (HRP) (ab97051) at 1/500 dilution.

Perform heat mediated antigen retrieval with Tris/EDTA buffer pH 9.0 before commencing with IHC staining protocol.

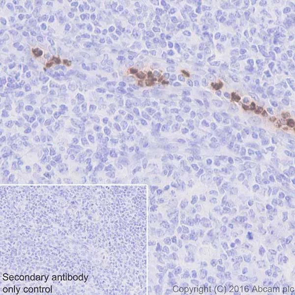
Immunohistochemistry (Formalin/PFA-fixed paraffin-embedded sections) - Anti-Cathelicidin/CLP antibody [EPR20469] (AB207758)
  • IHC-P

Supplier Data

Immunohistochemistry (Formalin/PFA-fixed paraffin-embedded sections) - Anti-Cathelicidin/CLP antibody [EPR20469] (AB207758)

Immunohistochemical analysis of paraffin-embedded human spleen tissue labeling Cathelicidin/CLP with ab207758 at 1/4000 dilution, followed by Goat Anti-Rabbit IgG H&L (HRP) (ab97051) at 1/500 dilution.

Cytoplasmic staining on neutrophils of human spleen is observed [PMID : 10858248].

Counter stained with Hematoxylin.

Secondary antibody only control : Used PBS instead of primary antibody, secondary antibody is Goat Anti-Rabbit IgG H&L (HRP) (ab97051) at 1/500 dilution.

Perform heat mediated antigen retrieval with Tris/EDTA buffer pH 9.0 before commencing with IHC staining protocol.

Immunoprecipitation - Anti-Cathelicidin/CLP antibody [EPR20469] (AB207758)
  • IP

Supplier Data

Immunoprecipitation - Anti-Cathelicidin/CLP antibody [EPR20469] (AB207758)

Cathelicidin/CLP was immunoprecipitated from 0.35 mg of human spleen lysate with ab207758 at 1/30 dilution.

Western blot was performed from the immunoprecipitate using ab207758 at 1/1000 dilution.

VeriBlot for IP Detection Reagent (HRP) (ab131366), was used for detection at 1/10000 dilution.

Lane 1 : Human spleen lysate, 10 μg (Input).

Lane 2 : ab207758 IP in human spleen lysate.

Lane 3 : Rabbit monoclonal IgG (ab172730) instead of ab207758 in human spleen lysate.

Blocking and dilution buffer and concentration : 5% NFDM/TBST.

Exposure time : 1 second.

All lanes:

Immunoprecipitation - Anti-Cathelicidin/CLP antibody [EPR20469] (ab207758)

Predicted band size: 19 kDa

Observed band size: 18 kDa

false

Western blot - Anti-Cathelicidin/CLP antibody [EPR20469] (AB207758)
  • WB

Supplier Data

Western blot - Anti-Cathelicidin/CLP antibody [EPR20469] (AB207758)

Blocking/Dilution buffer : 5% NFDM/TBST.

Exposure time : Lane 1 : 3 seconds; Lane 2 : 3 minutes; Lane 3 : 2 seconds.

The molecular weight observed is consistent with what has been described in the literature (PMID 10858248).

All lanes:

Western blot - Anti-Cathelicidin/CLP antibody [EPR20469] (ab207758) at 1/1000 dilution

Lane 1:

Human serum at 10 µg

Lane 2:

Human plasma at 10 µg

Lane 3:

Human fetal spleen lysate at 10 µg

Secondary

All lanes:

Western blot - VeriBlot for IP Detection Reagent (HRP) (<a href='/en-us/products/reagents/veriblot-for-ip-detection-reagent-hrp-ab131366'>ab131366</a>) at 1/4000 dilution

Predicted band size: 19 kDa

Observed band size: 18 kDa

false

Key facts

Host species

Rabbit

Clonality

Monoclonal

Clone number

EPR20469

Isotype

IgG

Carrier free

No

Reacts with

Human

Applications

WB, IP, IHC-P

applications

Immunogen

The exact immunogen used to generate this antibody is proprietary information.

Specificity

Specificity for Antibacterial peptide LL-37

Reactivity data

{ "title": "Reactivity Data", "filters": { "stats": ["", "Species", "Dilution Info", "Notes"], "tabs": { "all-applications": {"fullname" : "All Applications", "shortname": "All Applications"}, "IP" : {"fullname" : "Immunoprecipitation", "shortname":"IP"}, "WB" : {"fullname" : "Western blot", "shortname":"WB"}, "IHCP" : {"fullname" : "Immunohistochemistry (Formalin/PFA-fixed paraffin-embedded sections)", "shortname":"IHC-P"} }, "product-promise": { "all": "all", "testedAndGuaranteed": "tested", "guaranteed": "expected", "predicted": "predicted", "notRecommended": "not-recommended" } }, "values": { "Human": { "IP-species-checked": "testedAndGuaranteed", "IP-species-dilution-info": "1/30", "IP-species-notes": "<p></p>", "WB-species-checked": "testedAndGuaranteed", "WB-species-dilution-info": "1/1000", "WB-species-notes": "<p></p>", "IHCP-species-checked": "testedAndGuaranteed", "IHCP-species-dilution-info": "1/4000", "IHCP-species-notes": "<p></p> Perform heat-mediated antigen retrieval with Tris/EDTA buffer pH 9.0 before commencing with IHC staining protocol." } } }

Product details

Species reactivity
Mouse, Rat: We have preliminary internal testing data to indicate this antibody may not react with these species.
Please contact us for more information.

Patented technology
Our RabMAb® technology is a patented hybridoma-based technology for making rabbit monoclonal antibodies. For details on our patents, please refer to RabMAb® patents.

What are the advantages of a recombinant monoclonal antibody?
This product is a recombinant monoclonal antibody, which offers several advantages including:

  • - High batch-to-batch consistency and reproducibility
  • - Improved sensitivity and specificity
  • - Long-term security of supply
  • - Animal-free batch production

For more information, read more on recombinant antibodies.

Properties and storage information

Form
Liquid
Purification technique
Affinity purification Protein A
Storage buffer
pH: 7.2 - 7.4 Preservative: 0.01% Sodium azide Constituents: PBS, 40% Glycerol (glycerin, glycerine), 0.05% BSA
Shipped at conditions
Blue Ice
Appropriate short-term storage duration
1-2 weeks
Appropriate short-term storage conditions
+4°C
Appropriate long-term storage conditions
-20°C
Aliquoting information
Upon delivery aliquot
Storage information
Avoid freeze / thaw cycle

Supplementary information

This supplementary information is collated from multiple sources and compiled automatically.

Cathelicidin also known as LL-37 peptide is an antimicrobial peptide with a mass of around 18 kDa. It plays an important role in the innate immune system by disrupting microbial membranes. LL-37 is expressed in various tissues including skin mucosal surfaces and certain immune cells. These peptides protect the host from infection by directly killing bacteria viruses and fungi and by modulating immune responses.
Biological function summary

Peptides like Cathelicidin are essential for host defense mechanisms contributing to cell signaling and pathogen clearance. LL-37 does not function within a complex but acts independently to influence immune cell chemotaxis. It promotes wound healing angiogenesis and tissue repair thereby ensuring rapid response to injury or infection.

Pathways

Cathelicidin interacts within inflammatory and wound healing pathways. It is involved in the NF-kB signaling pathway which regulates immune response and is linked to TLR (Toll-like receptor) pathways impacting cytokine production and further immune modulation. Proteins such as defensins share similar pathways indicating their collective influence in antimicrobial defense and tissue repair.

Peptides like Cathelicidin are associated with conditions like psoriasis and atopic dermatitis. Overexpression or dysregulation of LL-37 can exacerbate inflammation in these autoimmune skin disorders. Related to these diseases proteins such as interleukins (IL-1 and IL-6) are often co-expressed or influenced by Cathelicidin levels indicating their intertwined role in skin homeostasis and immune responses.

Product protocols

For this product, it's our understanding that no specific protocols are required. You can visit:

Target data

Antimicrobial protein that is an integral component of the innate immune system (PubMed : 14978112, PubMed : 16637646, PubMed : 18818205, PubMed : 22879591, PubMed : 9736536). Binds to bacterial lipopolysaccharides (LPS) (PubMed : 16637646, PubMed : 18818205). Acts via neutrophil N-formyl peptide receptors to enhance the release of CXCL2 (PubMed : 22879591). Postsecretory processing generates multiple cathelicidin antimicrobial peptides with various lengths which act as a topical antimicrobial defense in sweat on skin (PubMed : 14978112). The unprocessed precursor form, cathelicidin antimicrobial peptide, inhibits the growth of Gram-negative E.coli and E.aerogenes with efficiencies comparable to that of the mature peptide LL-37 (in vitro) (PubMed : 9736536).. Antibacterial peptide LL-37. Antimicrobial peptide that is an integral component of the innate immune system (PubMed : 10417311, PubMed : 15778390, PubMed : 16637646, PubMed : 18818205, PubMed : 22879591, PubMed : 32753597, PubMed : 33060695, PubMed : 34708076, PubMed : 8681941, PubMed : 9736536). Binds to bacterial lipopolysaccharides (LPS) (PubMed : 10417311, PubMed : 16637646, PubMed : 18818205, PubMed : 33060695, PubMed : 9736536). Causes membrane permeabilization by forming transmembrane pores (in vitro) (PubMed : 22879591, PubMed : 32753597, PubMed : 33060695). Causes lysis of E.coli (PubMed : 10417311). Exhibits antimicrobial activity against Gram-negative bacteria such as P.aeruginosa, S.typhimurium, E.aerogenes, E.coli and P.syringae, Gram-positive bacteria such as L.monocytogenes, S.epidermidis, S.pyogenes and S.aureus, as well as vancomycin-resistant enterococci (in vitro) (PubMed : 10417311, PubMed : 32753597, PubMed : 8681941, PubMed : 9736536). Exhibits antimicrobial activity against methicillin-resistant S.aureus, P.mirabilis, and C.albicans in low-salt media, but not in media containing 100 mM NaCl (in vitro) (PubMed : 9736536). Forms chiral supramolecular assemblies with quinolone signal (PQS) molecules of P.aeruginosa, which may lead to interference of bacterial quorum signaling and perturbance of bacterial biofilm formation (PubMed : 34708076). May form supramolecular fiber-like assemblies on bacterial membranes (PubMed : 29133814). Induces cytokine and chemokine production as well as TNF/TNFA and CSF2/GMCSF production in normal human keratinocytes (PubMed : 15778390). Exhibits hemolytic activity against red blood cells (PubMed : 10417311).. Antibacterial peptide FALL-39. Exhibits antimicrobial activity against E.coli and B.megaterium (in vitro).. Antibacterial peptide KR-20. Acts synergistically with peptides KS-30 and KR-31, killing bacteria such as S.aureus, E.coli and C.albicans at lower concentrations when present together, and maintains activity at increased salt condition (PubMed : 14978112). Does not have the ability to stimulate CXCL8/IL8 release from keratinocytes (PubMed : 14978112).. Antibacterial peptide LL-23. Poorly active (MIC > 150 uM) against E.coli strain K12 (PubMed : 14978112). Is able to induce the pro-inflammatory cytokine TNF/TNFA or the chemokine CCL2/MCP1 (PubMed : 14978112).. Antibacterial peptide LL-29. Moderately antibacterial.. Antibacterial peptide KS-30. Moderately antibacterial (PubMed : 14978112). Acts synergistically with peptides KR-20 and KR-31, killing bacteria such as S.aureus, E.coli and C.albicans at lower concentrations when present together, and maintain activity at increased salt condition (PubMed : 14978112). Does not have the ability to stimulate CXCL8/IL8 release from keratinocytes (PubMed : 14978112).. Antibacterial peptide RK-31. Acts synergistically with peptides KS-30 and KR-31, killing bacteria such as S.aureus, E.coli and C.albicans at lower concentrations when present together, and maintain activity at increased salt condition (PubMed : 14978112). Does not have the ability to stimulate CXCL8/IL8 release from keratinocytes (PubMed : 14978112).. Antibacterial peptide FF-33. Inhibits the growth of E.coli and B.megaterium and exhibits hemolytic activity against human red blood cells.
See full target information CAMP

Publications (2)

Recent publications for all applications. Explore the full list and refine your search

Cellular and molecular life sciences : CMLS 79:309 PubMed35596804

2022

Role of LL-37 in thrombotic complications in patients with COVID-19.

Applications

Unspecified application

Species

Unspecified reactive species

Zilei Duan,Juan Zhang,Xue Chen,Ming Liu,Hongwen Zhao,Lin Jin,Zhiye Zhang,Ning Luan,Ping Meng,Jing Wang,Zhaoxia Tan,Yaxiong Li,Guohong Deng,Ren Lai

Molecular therapy oncolytics 12:195-203 PubMed30847383

2019

Cathelicidin Suppresses Colon Cancer Metastasis via a P2RX7-Dependent Mechanism.

Applications

Unspecified application

Species

Unspecified reactive species

Jiani Wang,Michelle Cheng,Ivy K M Law,Christina Ortiz,Mingjun Sun,Hon Wai Koon
View all publications

Product promise

We are committed to supporting your work with high-quality reagents, and we're here for you every step of the way. In the unlikely event that one of our products does not perform as expected, you're protected by our Product Promise.
For full details, please see our Terms & Conditions

Please note: All products are 'FOR RESEARCH USE ONLY. NOT FOR USE IN DIAGNOSTIC OR THERAPEUTIC PROCEDURES'.

For licensing inquiries, please contact partnerships@abcam.com