JavaScript is disabled in your browser. Please enable JavaScript to view this website.
AB318196

Anti-Cathelicidin/CLP antibody [EPR28791-612] - BSA and Azide free

Be the first to review this product! Submit a review

|

(0 Publication)

Rabbit Recombinant Monoclonal Cathelicidin/CLP antibody. Carrier free. Suitable for ICC/IF, Flow Cyt (Intra), WB, IP, IHC-P and reacts with Mouse, Rat samples.

View Alternative Names

Cnlp, Cramp, 24.1, Y10A, Cathelicidin antimicrobial peptide, Cathelin-like protein, CLP

14 Images
Immunocytochemistry/ Immunofluorescence - Anti-Cathelicidin/CLP antibody [EPR28791-612] - BSA and Azide free (AB318196)
  • ICC/IF

Supplier Data

Immunocytochemistry/ Immunofluorescence - Anti-Cathelicidin/CLP antibody [EPR28791-612] - BSA and Azide free (AB318196)

This data was developed using ab318195, the same antibody clone in a different buffer formulation.

Immunofluorescent analysis of 4% Paraformaldehyde-fixed, 0.1% TritonX-100 permeabilized mouse primary neuron cells labelling Cathelicidin/CLP with ab318195 at 1/500 (1.038 ug/ml) dilution, followed by ab150081 Goat Anti-Rabbit IgG H&L (Alexa Fluor® 488) preadsorbed antibody at 1/1000 2 ug/ml dilution (Green).

Negative control : Confocal image showing negative staining in mouse primary neuron (shown in green). The counterstain was observed in magenta. Nuclear DNA was labeled with DAPI (shown in blue). Image was taken with a confocal microscope (Leica-Microsystems, TCS SP8).

ab11267 Anti-MAP2 mouse monoclonal antibody was used to counterstain tubulin at 1/500 4ug/ml dilution (Magenta). The Nuclear counterstain was DAPI (Blue).

Secondary antibody only control : Secondary antibody is ab150081 Goat Anti-Rabbit IgG H&L (Alexa Fluor® 488) preadsorbed at 1/1000 2 ug/ml dilution.

Immunohistochemistry (Formalin/PFA-fixed paraffin-embedded sections) - Anti-Cathelicidin/CLP antibody [EPR28791-612] - BSA and Azide free (AB318196)
  • IHC-P

Supplier Data

Immunohistochemistry (Formalin/PFA-fixed paraffin-embedded sections) - Anti-Cathelicidin/CLP antibody [EPR28791-612] - BSA and Azide free (AB318196)

This data was developed using ab318195, the same antibody clone in a different buffer formulation.

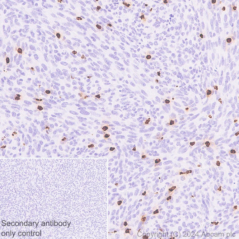
Immunohistochemical analysis of paraffin-embedded Mouse pancreatic tumor tissue labeling Cathelicidin/CLP with ab318195 at 1/5000 (0.104 ug/ml) dilution, followed by a ready to use LeicaDS9800 (Bond™ Polymer Refine Detection).

Positive staining on granulocytes in mouse pancreatic tumor. The section was incubated with ab318195 for 30 mins at room temperature.
The immunostaining was performed on a Leica Biosystems BOND® RX instrument. Incubate slides with 3% Hydrogen Peroxide for 10 mins at room temperature after secondary antibody incubation to reduce the background

Counterstained with Hematoxylin.

Secondary antibody only control : Secondary antibody is a ready to use LeicaDS9800 (Bond™ Polymer Refine Detection).

Heat mediated antigen retrieval was performed with Tris-EDTA buffer (pH 9.0, Epitope Retrieval Solution2) for 20 mins

Immunohistochemistry (Formalin/PFA-fixed paraffin-embedded sections) - Anti-Cathelicidin/CLP antibody [EPR28791-612] - BSA and Azide free (AB318196)
  • IHC-P

Supplier Data

Immunohistochemistry (Formalin/PFA-fixed paraffin-embedded sections) - Anti-Cathelicidin/CLP antibody [EPR28791-612] - BSA and Azide free (AB318196)

This data was developed using ab318195, the same antibody clone in a different buffer formulation.

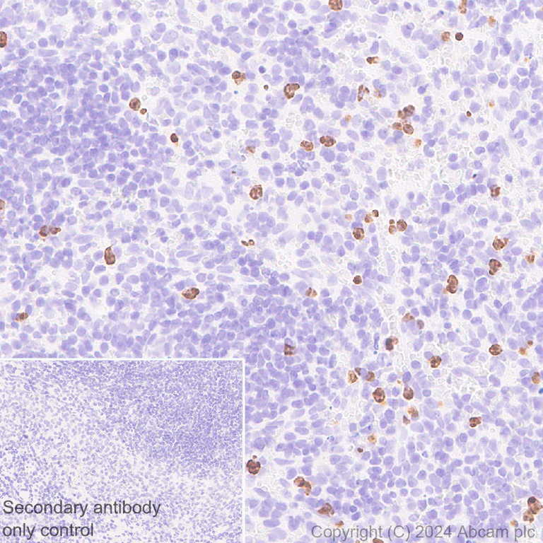
Immunohistochemical analysis of paraffin-embedded Mouse spleen tissue labeling Cathelicidin/CLP with ab318195 at 1/5000 (0.104 ug/ml) dilution, followed by a ready to use LeicaDS9800 (Bond™ Polymer Refine Detection).

Positive staining on mouse spleen. The section was incubated with ab318195 for 30 mins at room temperature.
The immunostaining was performed on a Leica Biosystems BOND® RX instrument. Incubate slides with 3% Hydrogen Peroxide for 10 mins at room temperature after secondary antibody incubation to reduce the background

Counterstained with Hematoxylin.

Secondary antibody only control : Secondary antibody is a ready to use LeicaDS9800 (Bond™ Polymer Refine Detection).

Heat mediated antigen retrieval was performed with Tris-EDTA buffer (pH 9.0, Epitope Retrieval Solution2) for 20 mins

Immunohistochemistry (Formalin/PFA-fixed paraffin-embedded sections) - Anti-Cathelicidin/CLP antibody [EPR28791-612] - BSA and Azide free (AB318196)
  • IHC-P

Supplier Data

Immunohistochemistry (Formalin/PFA-fixed paraffin-embedded sections) - Anti-Cathelicidin/CLP antibody [EPR28791-612] - BSA and Azide free (AB318196)

This data was developed using ab318195, the same antibody clone in a different buffer formulation.

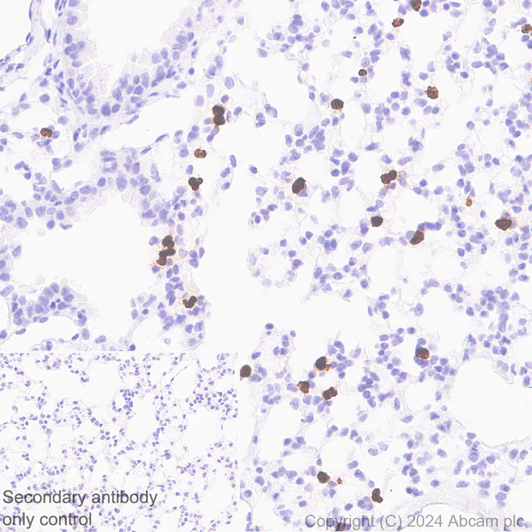
Immunohistochemical analysis of paraffin-embedded Mouse lung tissue labeling Cathelicidin/CLP with ab318195 at 1/5000 (0.104 ug/ml) dilution, followed by a ready to use LeicaDS9800 (Bond™ Polymer Refine Detection).

Positive staining on granulocytes in mouse lung. The section was incubated with ab318195 for 30 mins at room temperature.
The immunostaining was performed on a Leica Biosystems BOND® RX instrument. Incubate slides with 3% Hydrogen Peroxide for 10 mins at room temperature after secondary antibody incubation to reduce the background

Counterstained with Hematoxylin.

Secondary antibody only control : Secondary antibody is a ready to use LeicaDS9800 (Bond™ Polymer Refine Detection).

Heat mediated antigen retrieval was performed with Tris-EDTA buffer (pH 9.0, Epitope Retrieval Solution2) for 20 mins

Immunohistochemistry (Formalin/PFA-fixed paraffin-embedded sections) - Anti-Cathelicidin/CLP antibody [EPR28791-612] - BSA and Azide free (AB318196)
  • IHC-P

Supplier Data

Immunohistochemistry (Formalin/PFA-fixed paraffin-embedded sections) - Anti-Cathelicidin/CLP antibody [EPR28791-612] - BSA and Azide free (AB318196)

This data was developed using ab318195, the same antibody clone in a different buffer formulation.

Immunohistochemical analysis of paraffin-embedded Mouse cerebrum tissue labeling Cathelicidin/CLP with ab318195 at 1/5000 (0.104 ug/ml) dilution, followed by a ready to use LeicaDS9800 (Bond™ Polymer Refine Detection).

Negative control : no staining on mouse cerebrum. The section was incubated with ab318195 for 30 mins at room temperature.
The immunostaining was performed on a Leica Biosystems BOND® RX instrument. Incubate slides with 3% Hydrogen Peroxide for 10 mins at room temperature after secondary antibody incubation to reduce the background

Counterstained with Hematoxylin.

Secondary antibody only control : Secondary antibody is a ready to use LeicaDS9800 (Bond™ Polymer Refine Detection).

Heat mediated antigen retrieval was performed with Tris-EDTA buffer (pH 9.0, Epitope Retrieval Solution2) for 20 mins

Immunohistochemistry (Formalin/PFA-fixed paraffin-embedded sections) - Anti-Cathelicidin/CLP antibody [EPR28791-612] - BSA and Azide free (AB318196)
  • IHC-P

Supplier Data

Immunohistochemistry (Formalin/PFA-fixed paraffin-embedded sections) - Anti-Cathelicidin/CLP antibody [EPR28791-612] - BSA and Azide free (AB318196)

This data was developed using ab318195, the same antibody clone in a different buffer formulation.

Immunohistochemical analysis of paraffin-embedded Rat cerebrum tissue labeling Cathelicidin/CLP with ab318195 at 1/5000 (0.104 ug/ml) dilution, followed by a ready to use LeicaDS9800 (Bond™ Polymer Refine Detection).

Negative control : no staining on rat cerebrum. The section was incubated with ab318195 for 30 mins at room temperature.
The immunostaining was performed on a Leica Biosystems BOND® RX instrument. Incubate slides with 3% Hydrogen Peroxide for 10 mins at room temperature after secondary antibody incubation to reduce the background

Counterstained with Hematoxylin.

Secondary antibody only control : Secondary antibody is a ready to use LeicaDS9800 (Bond™ Polymer Refine Detection).

Heat mediated antigen retrieval was performed with Tris-EDTA buffer (pH 9.0, Epitope Retrieval Solution2) for 20 mins

Flow Cytometry (Intracellular) - Anti-Cathelicidin/CLP antibody [EPR28791-612] - BSA and Azide free (AB318196)
  • Flow Cyt (Intra)

Supplier Data

Flow Cytometry (Intracellular) - Anti-Cathelicidin/CLP antibody [EPR28791-612] - BSA and Azide free (AB318196)

This data was developed using ab318195, the same antibody clone in a different buffer formulation.

Flow cytometric analysis of 4% paraformaldehyde fixed 90% methanol permeabilized mouse primary neuron cells labelling Cathelicidin/CLP with ab318195 at 1/5000 dilution (0.01 ug)/Right (Red) compared with a Rabbit monoclonal IgG (ab172730) / Left isotype control and an unlabelled control (cells without incubation with primary antibody and secondary antibody) (Blue).

Goat Anti-Rabbit IgG (Alexa Fluor® 488, ab150081) at 1/5000 dilution was used as the secondary antibody.

Negative control : mouse primary neuron

Flow Cytometry (Intracellular) - Anti-Cathelicidin/CLP antibody [EPR28791-612] - BSA and Azide free (AB318196)
  • Flow Cyt (Intra)

Supplier Data

Flow Cytometry (Intracellular) - Anti-Cathelicidin/CLP antibody [EPR28791-612] - BSA and Azide free (AB318196)

This data was developed using ab318195, the same antibody clone in a different buffer formulation.

Flow cytometric analysis of 4% paraformaldehyde fixed 90% methanol permeabilized mouse bone marrow cells labelling Cathelicidin/CLP with ab318195 at 1/5000 dilution (0.01 ug)/Right (Red) compared with a Rabbit monoclonal IgG (ab172730) / Left isotype control and an unlabelled control (cells without incubation with primary antibody and secondary antibody) (Blue).

Goat Anti-Rabbit IgG (Alexa Fluor® 488, ab150081) at 1/5000 dilution was used as the secondary antibody.

Immunohistochemistry (Formalin/PFA-fixed paraffin-embedded sections) - Anti-Cathelicidin/CLP antibody [EPR28791-612] - BSA and Azide free (AB318196)
  • IHC-P

Supplier Data

Immunohistochemistry (Formalin/PFA-fixed paraffin-embedded sections) - Anti-Cathelicidin/CLP antibody [EPR28791-612] - BSA and Azide free (AB318196)

This data was developed using ab318195, the same antibody clone in a different buffer formulation.

Immunohistochemical analysis of paraffin-embedded Rat lung tissue labeling Cathelicidin/CLP with ab318195 at 1/5000 (0.104 ug/ml) dilution, followed by a ready to use LeicaDS9800 (Bond™ Polymer Refine Detection).

Positive staining on granulocytes in rat lung. The section was incubated with ab318195 for 30 mins at room temperature.
The immunostaining was performed on a Leica Biosystems BOND® RX instrument. Incubate slides with 3% Hydrogen Peroxide for 10 mins at room temperature after secondary antibody incubation to reduce the background

Counterstained with Hematoxylin.

Secondary antibody only control : Secondary antibody is a ready to use LeicaDS9800 (Bond™ Polymer Refine Detection).

Heat mediated antigen retrieval was performed with Tris-EDTA buffer (pH 9.0, Epitope Retrieval Solution2) for 20 mins

Immunohistochemistry (Formalin/PFA-fixed paraffin-embedded sections) - Anti-Cathelicidin/CLP antibody [EPR28791-612] - BSA and Azide free (AB318196)
  • IHC-P

Supplier Data

Immunohistochemistry (Formalin/PFA-fixed paraffin-embedded sections) - Anti-Cathelicidin/CLP antibody [EPR28791-612] - BSA and Azide free (AB318196)

This data was developed using ab318195, the same antibody clone in a different buffer formulation.

Immunohistochemical analysis of paraffin-embedded Rat spleen tissue labeling Cathelicidin/CLP with ab318195 at 1/5000 (0.104 ug/ml) dilution, followed by a ready to use LeicaDS9800 (Bond™ Polymer Refine Detection).

Positive staining on rat spleen. The section was incubated with ab318195 for 30 mins at room temperature.
The immunostaining was performed on a Leica Biosystems BOND® RX instrument. Incubate slides with 3% Hydrogen Peroxide for 10 mins at room temperature after secondary antibody incubation to reduce the background

Counterstained with Hematoxylin.

Secondary antibody only control : Secondary antibody is a ready to use LeicaDS9800 (Bond™ Polymer Refine Detection).

Heat mediated antigen retrieval was performed with Tris-EDTA buffer (pH 9.0, Epitope Retrieval Solution2) for 20 mins

Immunocytochemistry/ Immunofluorescence - Anti-Cathelicidin/CLP antibody [EPR28791-612] - BSA and Azide free (AB318196)
  • ICC/IF

Supplier Data

Immunocytochemistry/ Immunofluorescence - Anti-Cathelicidin/CLP antibody [EPR28791-612] - BSA and Azide free (AB318196)

This data was developed using ab318195, the same antibody clone in a different buffer formulation.

Immunofluorescent analysis of 4% Paraformaldehyde-fixed, 0.1% TritonX-100 permeabilized Mouse bone marrow cells labelling Cathelicidin/CLP with ab318195 at 1/500 (1.038 ug/ml) dilution, followed by ab150081 Goat Anti-Rabbit IgG H&L (Alexa Fluor® 488) preadsorbed antibody at 1/1000 2 ug/ml dilution (Green).

Confocal image showing cytoplasmic staining in subsets of mouse bone marrow (shown in green). The counterstain was observed in magenta. Nuclear DNA was labeled with DAPI (shown in blue). Image was taken with a confocal microscope (Leica-Microsystems, TCS SP8).

ab195889 Anti-alpha Tubulin mouse monoclonal antibody - Microtubule Marker (Alexa Fluor® 594) was used to counterstain tubulin at 1/200 2.5ug/ml dilution (Magenta). The Nuclear counterstain was DAPI (Blue).

Secondary antibody only control : Secondary antibody is ab150081 Goat Anti-Rabbit IgG H&L (Alexa Fluor® 488) preadsorbed at 1/1000 2 ug/ml dilution.

Immunoprecipitation - Anti-Cathelicidin/CLP antibody [EPR28791-612] - BSA and Azide free (AB318196)
  • IP

Supplier Data

Immunoprecipitation - Anti-Cathelicidin/CLP antibody [EPR28791-612] - BSA and Azide free (AB318196)

This data was developed using ab318195, the same antibody clone in a different buffer formulation.

Cathelicidin/CLP was immunoprecipitated from 0.35 mg Mouse spleen tissue lysate with ab318195 at 1/30 dilution (2ug in 0.35mg lysates). Western blot was performed on the immunoprecipitate using ab318195 at 1/1000 dilution. VeriBlot for IP secondary antibody(HRP)(ab131366) was used at 1/5000 dilution.

Lane 1 : Mouse spleen tissue lysate
Lane 2 : ab318195 IP in Mouse spleen tissue lysate
Lane 3 : Rabbit monoclonal IgG (ab172730) instead of ab318195 in Mouse spleen tissue

The band around 18 kDa is the immature form and 16 kDa is the cathelin-like domain processed from the immature full-length protein (PMID : 12454100, 34125490)

Lane 2:

Immunoprecipitation - Anti-Cathelicidin/CLP antibody [EPR28791-612] (<a href='/en-us/products/primary-antibodies/cathelicidin-clp-antibody-epr28791-612-ab318195'>ab318195</a>) at 1/30 dilution

Lane 2:

Immunoprecipitation - Anti-Cathelicidin/CLP antibody [EPR28791-612] - BSA and Azide free (ab318196) at 1/30 dilution

All lanes:

Mouse spleen tissue lysate

Secondary

All lanes:

Immunoprecipitation - VeriBlot for IP Detection Reagent (HRP) (<a href='/en-us/products/reagents/veriblot-for-ip-detection-reagent-hrp-ab131366'>ab131366</a>) at 1/5000 dilution

false

Exposure time: 10s

Western blot - Anti-Cathelicidin/CLP antibody [EPR28791-612] - BSA and Azide free (AB318196)
  • WB

Supplier Data

Western blot - Anti-Cathelicidin/CLP antibody [EPR28791-612] - BSA and Azide free (AB318196)

This data was developed using ab318195, the same antibody clone in a different buffer formulation.

The band around 18 kDa is the immature form and 16 kDa is the cathelin-like domain processed from the immature full-length protein (PMID : 12454100, 34125490)

All lanes:

Western blot - Anti-Cathelicidin/CLP antibody [EPR28791-612] (<a href='/en-us/products/primary-antibodies/cathelicidin-clp-antibody-epr28791-612-ab318195'>ab318195</a>) at 1/1000 dilution

All lanes:

Mouse bone marrow tissue lysate at 50 µg

Secondary

All lanes:

Western blot - Goat Anti-Rabbit IgG H&L (HRP) (<a href='/en-us/products/secondary-antibodies/goat-rabbit-igg-h-l-hrp-ab97051'>ab97051</a>) at 1/20000 dilution

Observed band size: 18 kDa,16 kDa

false

Exposure time: 1s

Western blot - Anti-Cathelicidin/CLP antibody [EPR28791-612] - BSA and Azide free (AB318196)
  • WB

Supplier Data

Western blot - Anti-Cathelicidin/CLP antibody [EPR28791-612] - BSA and Azide free (AB318196)

This data was developed using ab318195, the same antibody clone in a different buffer formulation.

Negative control : brain, skeletal mucle (PMID : 9148921).

The band around 18 kDa is the immature form and 16 kDa is the cathelin-like domain processed from the immature full-length protein (PMID : 12454100, 34125490)

In Western blot, Anti-GAPDH antibody [EPR16891] - Loading Control (ab181602) staining at 1/200000 dilution.

Exposure time : Lane 2 : 3 seconds, lanes 1, 3-5 : 180 seconds

All lanes:

Western blot - Anti-Cathelicidin/CLP antibody [EPR28791-612] (<a href='/en-us/products/primary-antibodies/cathelicidin-clp-antibody-epr28791-612-ab318195'>ab318195</a>) at 1/1000 dilution

Lane 1:

Mouse lung tissue lysate at 50 µg

Lane 2:

Mouse spleen tissue lysate at 50 µg

Lane 3:

Mouse cerebral cortex tissue lysate at 50 µg

Lane 4:

Mouse skeletal muscle tissue lysate at 50 µg

Lane 5:

Mouse brain tissue lysate at 50 µg

Secondary

All lanes:

Western blot - Goat Anti-Rabbit IgG H&L (HRP) (<a href='/en-us/products/secondary-antibodies/goat-rabbit-igg-h-l-hrp-ab97051'>ab97051</a>) at 1/20000 dilution

Observed band size: 18 kDa,16 kDa,36 kDa

false

  • Unconjugated

    Anti-Cathelicidin/CLP antibody [EPR28791-612]

Key facts

Host species

Rabbit

Clonality

Monoclonal

Clone number

EPR28791-612

Isotype

IgG

Carrier free

Yes

Reacts with

Mouse, Rat

Applications

IHC-P, Flow Cyt (Intra), WB, ICC/IF, IP

applications

Immunogen

The exact immunogen used to generate this antibody is proprietary information.

Specificity

Unsuitable for rat WB.

Reactivity data

{ "title": "Reactivity Data", "filters": { "stats": ["", "Species", "Dilution Info", "Notes"], "tabs": { "all-applications": {"fullname" : "All Applications", "shortname": "All Applications"}, "ICCIF" : {"fullname" : "Immunocytochemistry/ Immunofluorescence", "shortname":"ICC/IF"}, "FlowCytIntra" : {"fullname" : "Flow Cytometry (Intracellular)", "shortname":"Flow Cyt (Intra)"}, "WB" : {"fullname" : "Western blot", "shortname":"WB"}, "IP" : {"fullname" : "Immunoprecipitation", "shortname":"IP"}, "IHCP" : {"fullname" : "Immunohistochemistry (Formalin/PFA-fixed paraffin-embedded sections)", "shortname":"IHC-P"} }, "product-promise": { "all": "all", "testedAndGuaranteed": "tested", "guaranteed": "expected", "predicted": "predicted", "notRecommended": "not-recommended" } }, "values": { "Human": { "ICCIF-species-checked": "notRecommended", "ICCIF-species-dilution-info": "", "ICCIF-species-notes": "", "FlowCytIntra-species-checked": "notRecommended", "FlowCytIntra-species-dilution-info": "", "FlowCytIntra-species-notes": "", "WB-species-checked": "notRecommended", "WB-species-dilution-info": "", "WB-species-notes": "<p></p>", "IP-species-checked": "notRecommended", "IP-species-dilution-info": "", "IP-species-notes": "", "IHCP-species-checked": "notRecommended", "IHCP-species-dilution-info": "", "IHCP-species-notes": "<p></p>" }, "Mouse": { "ICCIF-species-checked": "testedAndGuaranteed", "ICCIF-species-dilution-info": "", "ICCIF-species-notes": "<p></p>", "FlowCytIntra-species-checked": "testedAndGuaranteed", "FlowCytIntra-species-dilution-info": "", "FlowCytIntra-species-notes": "<p></p>", "WB-species-checked": "testedAndGuaranteed", "WB-species-dilution-info": "", "WB-species-notes": "<p></p>", "IP-species-checked": "testedAndGuaranteed", "IP-species-dilution-info": "", "IP-species-notes": "<p></p>", "IHCP-species-checked": "testedAndGuaranteed", "IHCP-species-dilution-info": "", "IHCP-species-notes": "<p></p>" }, "Rat": { "ICCIF-species-checked": "guaranteed", "ICCIF-species-dilution-info": "", "ICCIF-species-notes": "", "FlowCytIntra-species-checked": "guaranteed", "FlowCytIntra-species-dilution-info": "", "FlowCytIntra-species-notes": "", "WB-species-checked": "notRecommended", "WB-species-dilution-info": "", "WB-species-notes": "<p></p>", "IP-species-checked": "guaranteed", "IP-species-dilution-info": "", "IP-species-notes": "", "IHCP-species-checked": "testedAndGuaranteed", "IHCP-species-dilution-info": "", "IHCP-species-notes": "<p></p>" } } }

Product details

ab318196 is the carrier-free version of ab318195.

Patented technology
Our RabMAb® technology is a patented hybridoma-based technology for making rabbit monoclonal antibodies. For details on our patents, please refer to RabMAb® patents.

What are the advantages of a recombinant monoclonal antibody?
This product is a recombinant monoclonal antibody, which offers several advantages including:

  • - High batch-to-batch consistency and reproducibility
  • - Improved sensitivity and specificity
  • - Long-term security of supply
  • - Animal-free batch production

For more information, read more on recombinant antibodies.

Conjugation ready
Our carrier-free antibodies are typically supplied in a PBS-only formulation, purified and free of BSA, sodium azide and glycerol. This conjugation-ready format is designed for use with fluorochromes, metal isotopes, oligonucleotides, and enzymes, which makes them ideal for antibody labelling, functional and cell-based assays, flow-based assays (e.g. mass cytometry) and Multiplex Imaging applications.

Use our conjugation kits for antibody conjugates that are ready-to-use in as little as 20 minutes with 1 minute hands-on-time and 100% antibody recovery: available for fluorescent dyes, HRP, biotin and gold.

Compatibility
This product is compatible with the Maxpar® Antibody Labeling Kit from Fluidigm, without the need for antibody preparation. Maxpar® is a trademark of Fluidigm Canada Inc.

Properties and storage information

Form
Liquid
Purification technique
Affinity purification Protein A
Storage buffer
pH: 7.2 - 7.4 Constituents: PBS
Shipped at conditions
Blue Ice
Appropriate short-term storage conditions
+4°C
Appropriate long-term storage conditions
+4°C

Supplementary information

This supplementary information is collated from multiple sources and compiled automatically.

Cathelicidin also known as LL-37 peptide is an antimicrobial peptide with a mass of around 18 kDa. It plays an important role in the innate immune system by disrupting microbial membranes. LL-37 is expressed in various tissues including skin mucosal surfaces and certain immune cells. These peptides protect the host from infection by directly killing bacteria viruses and fungi and by modulating immune responses.
Biological function summary

Peptides like Cathelicidin are essential for host defense mechanisms contributing to cell signaling and pathogen clearance. LL-37 does not function within a complex but acts independently to influence immune cell chemotaxis. It promotes wound healing angiogenesis and tissue repair thereby ensuring rapid response to injury or infection.

Pathways

Cathelicidin interacts within inflammatory and wound healing pathways. It is involved in the NF-kB signaling pathway which regulates immune response and is linked to TLR (Toll-like receptor) pathways impacting cytokine production and further immune modulation. Proteins such as defensins share similar pathways indicating their collective influence in antimicrobial defense and tissue repair.

Peptides like Cathelicidin are associated with conditions like psoriasis and atopic dermatitis. Overexpression or dysregulation of LL-37 can exacerbate inflammation in these autoimmune skin disorders. Related to these diseases proteins such as interleukins (IL-1 and IL-6) are often co-expressed or influenced by Cathelicidin levels indicating their intertwined role in skin homeostasis and immune responses.

Product protocols

For this product, it's our understanding that no specific protocols are required. You can visit:

Target data

Antimicrobial protein that is an integral component of the innate immune system (By similarity). Binds to bacterial lipopolysaccharides (LPS) (By similarity).. Cathelin-related antimicrobial peptide. Acts via neutrophil N-formyl peptide receptors to enhance the release of CXCL2.
See full target information Camp

Product promise

We are committed to supporting your work with high-quality reagents, and we're here for you every step of the way. In the unlikely event that one of our products does not perform as expected, you're protected by our Product Promise.
For full details, please see our Terms & Conditions

Please note: All products are 'FOR RESEARCH USE ONLY. NOT FOR USE IN DIAGNOSTIC OR THERAPEUTIC PROCEDURES'.

For licensing inquiries, please contact partnerships@abcam.com