JavaScript is disabled in your browser. Please enable JavaScript to view this website.
AB314644

Anti-Cathepsin C antibody [EPR26636-76]

  • BOND RX™ Validated
  • 20ul selling size
  • RabMAb
  • Recombinant
  • KO Validated
  • What is this?

Be the first to review this product! Submit a review

|

(0 Publication)

Knockout Tested Rabbit Recombinant Monoclonal Cathepsin C antibody. Suitable for Flow Cyt (Intra), WB, IHC-P and reacts with Human, Mouse, Rat samples.

View Alternative Names

CPPI, CTSC, Dipeptidyl peptidase 1, Cathepsin C, Cathepsin J, Dipeptidyl peptidase I, Dipeptidyl transferase, DPP-I, DPPI

8 Images
Flow Cytometry (Intracellular) - Anti-Cathepsin C antibody [EPR26636-76] (AB314644)
  • Flow Cyt (Intra)

Supplier Data

Flow Cytometry (Intracellular) - Anti-Cathepsin C antibody [EPR26636-76] (AB314644)

Flow cytometric analysis of 4% paraformaldehyde fixed 90% methanol permeabilized CTSC KO HeLa (human CTSC knockout cervical adenocarcinoma epithelial cell, Left) / Parental HeLa (Right) cells labelling Cathepsin C with ab314644 at 1/5000 dilution (0.01 ug, Red) compared with a Rabbit monoclonal IgG (ab172730) (Black) isotype control and an unlabelled control (cells without incubation with primary antibody and secondary antibody) (Blue). A Goat Anti-Rabbit IgG (Alexa Fluor® 488, ab150081) at 1/5000 dilution was used as the secondary antibody.

Immunohistochemistry (Formalin/PFA-fixed paraffin-embedded sections) - Anti-Cathepsin C antibody [EPR26636-76] (AB314644)
  • IHC-P

Supplier Data

Immunohistochemistry (Formalin/PFA-fixed paraffin-embedded sections) - Anti-Cathepsin C antibody [EPR26636-76] (AB314644)

Immunohistochemical analysis of paraffin-embedded human lung tissue labeling Cathepsin C with ab314644 at 1/5000 (0.101 ug/ml) followed by a ready to use LeicaDS9800 (Bond™ Polymer Refine Detection). Positive staining on human lung. The section was incubated with ab314644 for 30 mins at room temperature. The immunostaining was performed on a Leica Biosystems BOND® RX instrument. Counterstained with Hematoxylin. Secondary antibody only control : Secondary antibody is a ready to use LeicaDS9800 (Bond™ Polymer Refine Detection). Heat mediated antigen retrieval was performed with Tris-EDTA buffer (pH 9.0, Epitope Retrieval Solution2) for 20 mins.

Immunohistochemistry (Formalin/PFA-fixed paraffin-embedded sections) - Anti-Cathepsin C antibody [EPR26636-76] (AB314644)
  • IHC-P

Supplier Data

Immunohistochemistry (Formalin/PFA-fixed paraffin-embedded sections) - Anti-Cathepsin C antibody [EPR26636-76] (AB314644)

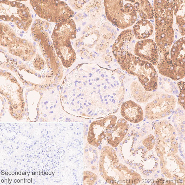
Immunohistochemical analysis of paraffin-embedded human kidney tissue labeling Cathepsin C with ab314644 at 1/5000 (0.101 ug/ml) followed by a ready to use LeicaDS9800 (Bond™ Polymer Refine Detection). Positive staining on human kidney. The section was incubated with ab314644 for 30 mins at room temperature. The immunostaining was performed on a Leica Biosystems BOND® RX instrument. Counterstained with Hematoxylin. Secondary antibody only control : Secondary antibody is a ready to use LeicaDS9800 (Bond™ Polymer Refine Detection). Heat mediated antigen retrieval was performed with Tris-EDTA buffer (pH 9.0, Epitope Retrieval Solution2) for 20 mins.

Immunohistochemistry (Formalin/PFA-fixed paraffin-embedded sections) - Anti-Cathepsin C antibody [EPR26636-76] (AB314644)
  • IHC-P

Supplier Data

Immunohistochemistry (Formalin/PFA-fixed paraffin-embedded sections) - Anti-Cathepsin C antibody [EPR26636-76] (AB314644)

Immunohistochemical analysis of paraffin-embedded Panel A. Wild-type HeLa (human cervix adenocarcinoma epithelial cell) pellets. Panel B. CTSC knockout HeLa cell pellets. tissue labeling Cathepsin C with ab314644 at 1/2000 (0.254 ug/ml) followed by a ready to use LeicaDS9800 (Bond™ Polymer Refine Detection). Positive staining on Wild-type HeLa cell pellets (Panel A); No staining on CTSC knockout HeLa cell pellets (Panel B). The section was incubated with ab314644 for 30 mins at room temperature. The immunostaining was performed on a Leica Biosystems BOND® RX instrument. Counterstained with Hematoxylin. Secondary antibody only control : Secondary antibody is a ready to use LeicaDS9800 (Bond™ Polymer Refine Detection). Heat mediated antigen retrieval was performed with Tris-EDTA buffer (pH 9.0, Epitope Retrieval Solution2) for 20 mins.

Immunohistochemistry (Formalin/PFA-fixed paraffin-embedded sections) - Anti-Cathepsin C antibody [EPR26636-76] (AB314644)
  • IHC-P

Supplier Data

Immunohistochemistry (Formalin/PFA-fixed paraffin-embedded sections) - Anti-Cathepsin C antibody [EPR26636-76] (AB314644)

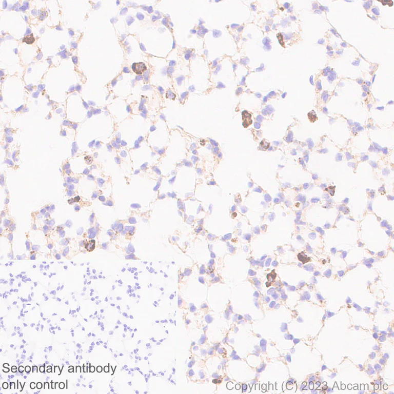
Immunohistochemical analysis of paraffin-embedded rat lung tissue labeling Cathepsin C with ab314644 at 1/5000 (0.101 ug/ml) followed by a ready to use LeicaDS9800 (Bond™ Polymer Refine Detection). Positive staining on rat lung. The section was incubated with ab314644 for 30 mins at room temperature. The immunostaining was performed on a Leica Biosystems BOND® RX instrument. Counterstained with Hematoxylin. Secondary antibody only control : Secondary antibody is a ready to use LeicaDS9800 (Bond™ Polymer Refine Detection). Heat mediated antigen retrieval was performed with Tris-EDTA buffer (pH 9.0, Epitope Retrieval Solution2) for 20 mins.

Immunohistochemistry (Formalin/PFA-fixed paraffin-embedded sections) - Anti-Cathepsin C antibody [EPR26636-76] (AB314644)
  • IHC-P

Supplier Data

Immunohistochemistry (Formalin/PFA-fixed paraffin-embedded sections) - Anti-Cathepsin C antibody [EPR26636-76] (AB314644)

Immunohistochemical analysis of paraffin-embedded mouse lung tissue labeling Cathepsin C with ab314644 at 1/2000 (0.254 ug/ml) followed by a ready to use LeicaDS9800 (Bond™ Polymer Refine Detection). Positive staining on mouse lung. The section was incubated with ab314644 for 30 mins at room temperature. The immunostaining was performed on a Leica Biosystems BOND® RX instrument. Counterstained with Hematoxylin. Secondary antibody only control : Secondary antibody is a ready to use LeicaDS9800 (Bond™ Polymer Refine Detection). Heat mediated antigen retrieval was performed with Tris-EDTA buffer (pH 9.0, Epitope Retrieval Solution2) for 20 mins.

Western blot - Anti-Cathepsin C antibody [EPR26636-76] (AB314644)
  • WB

Supplier Data

Western blot - Anti-Cathepsin C antibody [EPR26636-76] (AB314644)

Blocking and diluting buffer and concentration : 5% NFDM/TBST 20-kDa mature form of Cathepsin C is observed. The MW is consistent with that described in the literature (PMID : 25244098). In Western blot, ab314644 was shown to bind specifically to Cathepsin C. Target of interest was observed at 20 kDa in wild-type HeLa cell lysates (lane 1, wild-type cell line ab255928) with no signal observed at this size in CTSC knockout cell line (lane 2, knockout cell line ab265822/ knockout cell lysate ab257909). In Western blot, Anti-GAPDH antibody [EPR16891] - Loading Control (ab181602) staining at 1/200000 dilution.

All lanes:

Western blot - Anti-Cathepsin C antibody [EPR26636-76] (ab314644) at 1/1000 dilution

Lane 1:

Wild-type HeLa (human cervix adenocarcinoma epithelial cell) whole cell lysate at 20 µg

Lane 2:

CTSC knockout HeLa whole cell lysate at 20 µg

Lane 3:

U-937 (human histiocytic lymphoma monocyte) whole cell lysate at 20 µg

Secondary

All lanes:

Western blot - Goat Anti-Rabbit IgG H&L (HRP) (<a href='/en-us/products/secondary-antibodies/goat-rabbit-igg-h-l-hrp-ab97051'>ab97051</a>) at 1/100000 dilution

Observed band size: 20 kDa

false

Exposure time: 180s

Western blot - Anti-Cathepsin C antibody [EPR26636-76] (AB314644)
  • WB

Supplier Data

Western blot - Anti-Cathepsin C antibody [EPR26636-76] (AB314644)

Blocking and diluting buffer and concentration : 5% NFDM/TBST 20-kDa mature form of Cathepsin C is observed. The MW is consistent with that described in the literature (PMID : 25244098).

All lanes:

Western blot - Anti-Cathepsin C antibody [EPR26636-76] (ab314644) at 1/1000 dilution

Lane 1:

Human spleen tissue lysate at 20 µg

Lane 2:

Human liver tissue lysate at 20 µg

Lane 3:

Human lung tissue lysate at 20 µg

Lane 4:

Mouse lung tissue lysate at 20 µg

Lane 5:

Rat spleen tissue lysate at 20 µg

Lane 6:

Rat liver tissue lysate at 20 µg

Lane 7:

Rat lung tissue lysate at 20 µg

Secondary

All lanes:

Goat Anti-Rabbit IgG (HRP) with minimal cross-reactivity with human IgG at 1/2000 dilution

Observed band size: 20 kDa

false

Exposure time: 81s

Key facts

Host species

Rabbit

Clonality

Monoclonal

Clone number

EPR26636-76

Isotype

IgG

Carrier free

No

Reacts with

Human, Mouse, Rat

Applications

IHC-P, Flow Cyt (Intra), WB

applications

Immunogen

The exact immunogen used to generate this antibody is proprietary information.

Reactivity data

{ "title": "Reactivity Data", "filters": { "stats": ["", "Species", "Dilution Info", "Notes"], "tabs": { "all-applications": {"fullname" : "All Applications", "shortname": "All Applications"}, "FlowCytIntra" : {"fullname" : "Flow Cytometry (Intracellular)", "shortname":"Flow Cyt (Intra)"}, "WB" : {"fullname" : "Western blot", "shortname":"WB"}, "IHCP" : {"fullname" : "Immunohistochemistry (Formalin/PFA-fixed paraffin-embedded sections)", "shortname":"IHC-P"}, "ICCIF" : {"fullname" : "Immunocytochemistry/ Immunofluorescence", "shortname":"ICC/IF"}, "IP" : {"fullname" : "Immunoprecipitation", "shortname":"IP"} }, "product-promise": { "all": "all", "testedAndGuaranteed": "tested", "guaranteed": "expected", "predicted": "predicted", "notRecommended": "not-recommended" } }, "values": { "Human": { "FlowCytIntra-species-checked": "testedAndGuaranteed", "FlowCytIntra-species-dilution-info": "1/5000", "FlowCytIntra-species-notes": "<p></p>", "WB-species-checked": "testedAndGuaranteed", "WB-species-dilution-info": "1/1000", "WB-species-notes": "<p></p>", "IHCP-species-checked": "testedAndGuaranteed", "IHCP-species-dilution-info": "1/2000 - 1/5000", "IHCP-species-notes": "<p></p> Perform heat-mediated antigen retrieval with Tris/EDTA buffer pH 9.0 before commencing with IHC staining protocol.", "ICCIF-species-checked": "notRecommended", "ICCIF-species-dilution-info": "", "ICCIF-species-notes": "<p></p>", "IP-species-checked": "notRecommended", "IP-species-dilution-info": "", "IP-species-notes": "<p></p>" }, "Mouse": { "FlowCytIntra-species-checked": "guaranteed", "FlowCytIntra-species-dilution-info": "", "FlowCytIntra-species-notes": "", "WB-species-checked": "testedAndGuaranteed", "WB-species-dilution-info": "1/1000", "WB-species-notes": "<p></p>", "IHCP-species-checked": "testedAndGuaranteed", "IHCP-species-dilution-info": "1/2000", "IHCP-species-notes": "<p></p> Perform heat-mediated antigen retrieval with Tris/EDTA buffer pH 9.0 before commencing with IHC staining protocol.", "ICCIF-species-checked": "notRecommended", "ICCIF-species-dilution-info": "", "ICCIF-species-notes": "", "IP-species-checked": "notRecommended", "IP-species-dilution-info": "", "IP-species-notes": "" }, "Rat": { "FlowCytIntra-species-checked": "guaranteed", "FlowCytIntra-species-dilution-info": "", "FlowCytIntra-species-notes": "", "WB-species-checked": "testedAndGuaranteed", "WB-species-dilution-info": "1/1000", "WB-species-notes": "<p></p>", "IHCP-species-checked": "testedAndGuaranteed", "IHCP-species-dilution-info": "1/5000", "IHCP-species-notes": "<p></p> Perform heat-mediated antigen retrieval with Tris/EDTA buffer pH 9.0 before commencing with IHC staining protocol.", "ICCIF-species-checked": "notRecommended", "ICCIF-species-dilution-info": "", "ICCIF-species-notes": "", "IP-species-checked": "notRecommended", "IP-species-dilution-info": "", "IP-species-notes": "" } } }

You may be interested in:

AB65302

Cathepsin D Activity Assay Kit (Fluorometric)

4

3 Reviews

View product

We recommend this product because it’s often used in the same experiment or related research.

We advise that you always check the datasheet to ensure it fits your experiments, or contact ourtechnical teamfor help.

Product details

Patented technology
Our RabMAb® technology is a patented hybridoma-based technology for making rabbit monoclonal antibodies. For details on our patents, please refer to RabMAb® patents.

What are the advantages of a recombinant monoclonal antibody?
This product is a recombinant monoclonal antibody, which offers several advantages including:

  • - High batch-to-batch consistency and reproducibility
  • - Improved sensitivity and specificity
  • - Long-term security of supply
  • - Animal-free batch production

For more information, read more on recombinant antibodies.

Properties and storage information

Form
Liquid
Purification technique
Affinity purification Protein A
Storage buffer
pH: 7.2 - 7.4 Preservative: 0.01% Sodium azide Constituents: PBS, 40% Glycerol (glycerin, glycerine), 0.05% BSA
Shipped at conditions
Blue Ice
Appropriate short-term storage duration
1-2 weeks
Appropriate short-term storage conditions
+4°C
Appropriate long-term storage conditions
-20°C
Aliquoting information
Upon delivery aliquot
Storage information
Avoid freeze / thaw cycle

Supplementary information

This supplementary information is collated from multiple sources and compiled automatically.

Cathepsin C also known as dipeptidyl peptidase I is a lysosomal cysteine protease with a molecular mass of approximately 51 kDa. It functions mechanically by cleaving off dipeptides from the N-terminal end of proteins and peptides. Cathepsin C is widely expressed in various tissues with higher levels in immune cells like neutrophils and macrophages. This enzyme activates serine proteases from their inactive zymogen forms which is important for immune responses.
Biological function summary

The enzyme contributes significantly to the immune system. It forms part of a multi-enzyme complex that processes proenzymes such as granzymes and cathepsin G into their active forms. Through these actions Cathepsin C regulates cellular activities linked to inflammation and apoptosis. The proteolytic activity it provides is critical for the functioning of immune-related cells facilitating defense mechanisms against pathogens.

Pathways

Cathepsin C plays roles in the inflammatory and immune response pathways. It connects to the granzyme and lysosomal pathways important in processing and regulating granzyme activities critical for cytotoxic T lymphocyte functions. Cathepsin C maintains connections with proteins like granzymes and cathepsin G each involved in mediating immune responses and cellular death.

Cathepsin C is associated with conditions such as Papillon-Lefèvre Syndrome and aggressive periodontitis. These disorders arise due to disruptions in immune protection resulting from mutations in the Cathepsin C gene. The enzyme's abnormal activity in these diseases highlights its connection with proteins such as neutrophil elastase which play critical roles in tissue degradation processes leading to periodontal disease.

Product protocols

For this product, it's our understanding that no specific protocols are required. You can visit:

Target data

Thiol protease (PubMed : 1586157). Has dipeptidylpeptidase activity (PubMed : 1586157). Active against a broad range of dipeptide substrates composed of both polar and hydrophobic amino acids (PubMed : 1586157). Proline cannot occupy the P1 position and arginine cannot occupy the P2 position of the substrate (PubMed : 1586157). Can act as both an exopeptidase and endopeptidase (PubMed : 1586157). Activates serine proteases such as elastase, cathepsin G and granzymes A and B (PubMed : 8428921).
See full target information CTSC

Product promise

We are committed to supporting your work with high-quality reagents, and we're here for you every step of the way. In the unlikely event that one of our products does not perform as expected, you're protected by our Product Promise.
For full details, please see our Terms & Conditions

Associated Products

Select an associated product type
Alternative Version
Primary Antibodies

AB314645

Anti-Cathepsin C antibody [EPR26636-76] - BSA and Azide free

primary-antibodies

cathepsin-c-antibody-epr26636-76-bsa-and-azide-free-ab314645

0

(0 reviews)

Please note: All products are 'FOR RESEARCH USE ONLY. NOT FOR USE IN DIAGNOSTIC OR THERAPEUTIC PROCEDURES'.

For licensing inquiries, please contact partnerships@abcam.com